Fragen zu Histologischen Bildern

Begonnen von Baumelbaer, Juni 18, 2012, 10:34:29 VORMITTAG

Vorheriges Thema - Nächstes Thema

Baumelbaer

Guten Tag liebe Histo Freunde,

ich bin grad am Büfferln und mir fällt es schwer zum Teil aufgrund der schlechten Qualität der Bilder
einige histologische Bilder zu identifizieren.

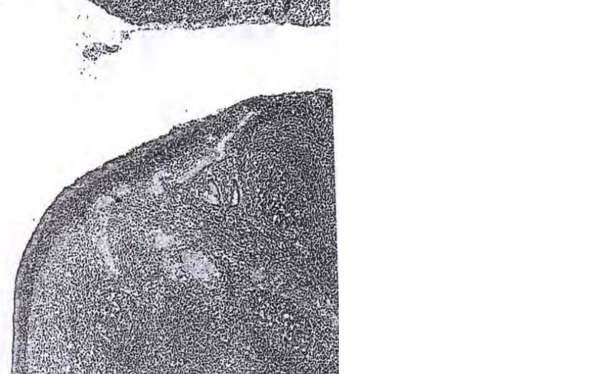
FRAGE 1:

Welche Aussage tifft nicht zu?
Das Epithel des in Abb. 13 gezeigten Organs.

(1) ist mehrschichtig unverhornt
(2) ist stellenweise von Lymphozyten durchsetzt
(3) enthält M-Zellen
(4) setzt sich in Krypten fort
(5) sitzt einer durchgängigen Basallamina auf



Mein problem ist es, das ich aufgrund der schlechten qualität des Bildes
nicht genau identifizieren um was für ein Organ es sich handelt

=> meine vermutung ein epithel aus dem canalis analis aus der Kolorektalen Zone
somit würde (1), (2) und (3) und (4) richtig sein

=> richtig falsche antwort wäre demnach (5)

Ulf Titze

#1
... IMPP-Fragen!? Na wundervoll. Der Alptraum meiner Studentenzeit, jetzt verfolgen sie mich sogar schon bis hier ins Forum...

Na ja, sei es denn. Ein kleiner Hinweis zur Beantwortung von MC-Fragen: "Use the clues" ! Wenn Du Dir nur die Antworten unabhängig von der Frage ansiehst, kannst Du schon eine Vorauswahl treffen! In Deinem Beispiel schließen sich m. E. Aussage (1) und (4) gegenseitig aus. Plattenepithel setzt sich nicht in der Tiefe in Krypten fort - never! Eine von beiden muss falsch sein - auch ohne das Bild gesehen zu haben! Oder handelt es sich um eine Mehrfach-Auswahl-Frage, Du Schlingel???

Man sieht das Bild übrigens tatsächlich nicht!

Grüße

Ulf

P.S. Ich habe noch Erinnerungsreste an meine Physikumsvorbereitung. Da gab es in einer diesder blöden gelben oder schwarzen Reihen eine Frage mit einem grottenschlechten Bild, das die Peyer-Plaques im Ileum zeigte (bzw. zeigen sollte). Wenn Du zufällig an dieser Frage rummachst, dann ist (1) falsch.
"Do not worry about your problems with mathematics, I assure you mine are far greater." (A. Einstein)

"Komm wir essen Opi!" - Satzzeichen können Leben retten!!!

Baumelbaer

Hmm ich bin grad am tüffteln wie ich das Bild hochladen
Irgendwas scheint da nicht zu funktionieren




wenn ich auf bild einfügen klicke kommt der text img /img in eckigen klammern jeweils

Baumelbaer



ich habs nun hinbekommen:)

Also ich würde Illeum ausschließen, weil die z.B typische sekündarfollikel fehlen, parafollikuläre zone ebenfalls nicht ersichtlich
außerdem ist die Kryptenstrucktur im illeum schon ausgeprägter

ich meine schon mehrschichtig unverhorntes Plattenepithel zu erkennen.
(1) und (4) müssen sich meiner Meinung nach nicht ausschließen siehe tonsilla palatina

ich freue mich auf euren professionalen rat

Ulf Titze

#4
... wenn das das einzige Bild ist, finde ich die Frage unfair - man erkennt nämlich nur sehr wenig! Vor allem das Epithel ist nicht gut zu erkennen. Man hat auch keinen Maßstab um abschätzen zu können, wie breit das Epithel ist.

Ich denke weiterhin, daß es die DOM-Region im terminalen Ileum darstellen soll. Das Fehlen von Sekundärfollikeln schließt doch das Ileum nicht aus! Außerdem sind da Keinzentren mit Sternhimmelmakrophagen, demnach also auch Sekundärfollikel. Evtl. vorhandene oder fehlende parafollikuläre Zonen sind dennoch kein Kriterium für Organdiagnosen! Eine Tonsille erkenne ich nicht, das überkleidende Epithel scheint mir jedenfalls kein mehrschichtiges Plattenepithel, sondern Zylinderepithel zu sein! Die erkennbaren Krypten sind in der Tat spärlich - was aber in der DOM-Region des Ileums schon sein kann - und soweit ich erkenne durch Drüsenepithel ausgekleidet. Letzteres spricht auch gegen Tonsille. Ich denke, das Bild wurde in einem 10er Objektiv o.ä. gemacht, das schätze ich anhand der Größe der Lymphozyten ab. In einem solchen Maßstab müsste ein mehrschichtiges Plattenepithel wie in der Tonsille breiter sein. Aber wie gesagt, man erkennt es nicht, man kann nur ahnen. Nur am linken unteren Bildrand erkennt man in den Epithelien längliche Zellkerne in einer Palisadenstellung, das haben Plattenepithelien in dieser Form nicht.

Insbesondere unter Berücksichtigung der Antwortmöglichkeiten würde ich weiterhin (1) ankreuzen: Wenn wirklich nur eine falsch sein darf, dann weisen die Antwortmöglichkeiten ("Use the clues") jedenfalls auf DOM-Region hin: intraepitheliale Lymphozyten, M-Zellen, Kryptenstruktur und unvollständige Basalmembran. Raus fällt das Plattenepithel.

Wo kommt denn diese Frage her? Ist das eine Altklausur? Mich würde am Ende die Auflösung interessieren!


Grüße

Ulf
"Do not worry about your problems with mathematics, I assure you mine are far greater." (A. Einstein)

"Komm wir essen Opi!" - Satzzeichen können Leben retten!!!

Baumelbaer

Erstmal danke für deine schlüssige Antwort.

Das Bild habe ich aus einer Altklausurfrage. Leider ist es das einzige Bild
Leider gibt es dazu keine Musterlösung

Meine Kommilitonen tendieren auch größtenteils zu (1)

Wenn ich an den Illeum denke fällt mir immer sofort das Bild ein indem ich nebeneinandergereiht
viele Lymphfollikel sehe die über parafollikuläre T-Zell region voneinander getrennt sind.
Aber, das ist ja auch nur im terminalen Illeum gegenüber des Mesenterialansatzes der Fall. Stichwort Peyer-Plaques

(2)-(5) charakteriesieren das histolgische Erscheinungsbild des Illeums.
Mir fällt aber auch spontan Appendix vermiformis sowie aboraler jejunum ein, allerdings kann ich hier keine Becherzellen ausmachen

Meine Kommilitonen tendieren auch größtenteils zu (1)



Ulf Titze

#6
... Jetzt habe ich doch nochmal meinen alten Junqueira in die Hand genommen. Die Tonsille als Differentialdiagnose bleibt weiterhin bestehen, denn alle 5 (!) Antwortmöglichkeiten sind in der Tonsilla pharyngea beschrieben: intraepitheliale Lymphozyten, M-Zellen, Kryptenstruktur und unvollständige Basalmembran und auch das Plattenepithel.

Letztlich konzentriert sich die Frage nun darauf, ob das Organ von einem Plattenepithel oder von einem Zylinderepithel überkleidet ist. Zilien wie beim respiratorischen Epithel - was ja bei einer Tonsille auch noch sein kann - erkenne ich nicht. Anhand das sehr schlechten Bildes würde ich mich gegen das Plattenepithel entscheiden, bin mir aber wirklich nicht sicher, ob das richtig ist.

Unfair wird die Frage deshalb, weil man bei der Arbeit im Mikroskop ja auch die Übersichtsvergrößerungen zur Verfügung hat, was die Differentialdiagnose erheblich vereinfacht. So kriegst Du einen schon recht kleinen Ausschnitt in schlechter Qualität hingeworfen. Das ist in etwa so, wie wenn Dir einer eine verwackelte Makrofotografie vom Fell eines Hundes gibt und von Dir die richtige Rasse hören will.

Ich weiß schon, warum ich diese IMPP-Fragen immer gehasst habe ....

Grüße

Ulf
"Do not worry about your problems with mathematics, I assure you mine are far greater." (A. Einstein)

"Komm wir essen Opi!" - Satzzeichen können Leben retten!!!

Baumelbaer

Vielen dank für deine Hilfe

ich werde das an meine Kommiltonen weitergeben.

Letztlich spricht alles für (1)

nochmals danke

Jürgen Boschert

Hallo zusammen,

bei mir ist´s zwar auch schon ein "Weilchen" her, aber ich favorisiere hier Tonsille. Wo seht ihr denn da Krypten, wo ist die Muskularis-wenigstens die propria, wo ist die durchgehende Basalmembran ?

Beste Grüße !

JB
Beste Grüße !

JB