Unbekannte Histologische Strucktur

Begonnen von Baumelbaer, Juli 14, 2012, 19:27:01 NACHMITTAGS

Vorheriges Thema - Nächstes Thema

Baumelbaer

Hi Leute, ich bin beim Kreuzen auf eine Histofragen gestoßen, wo ich nicht eindeutig die Strucktur erkennen kann.
Vielleicht weiß jemand mehr.

In dem elektroenmirkroskopischen Bild aus den Zentralnervensystem markieren Pfeil A und das
Rechteck einen Abschnitt eines Zellforsatzes. Welche der folgenden Funktionen findet dort am
wenigsten statt.

A) Umwandlung gradierter Potentiale in Aktionpotentiale
B) Proteinsynthese
C) Schneller anterograder Transport
D) Schneller retrograder Transport
E) Bildung von Dornen

Bild



=> spricht allles für axon und axonhügel
=> B falsch

für mich ist es schwer die markierten struckturen zu erkennen.

danke für hilfe


Ronald Schulte

#1
'Baumelbeer',

Ich denke das die Fragestellung so ist das hier nur wenige antworten zu erwarten sind.
Histologie machen hier nur wenige und dann sind es noch nur sehr wenige die richtig was aussagen können.
Auch ich kann nicht viel aussagen aber versuche es doch!

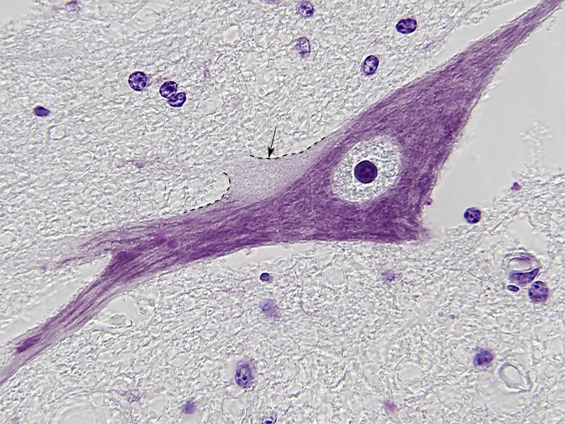
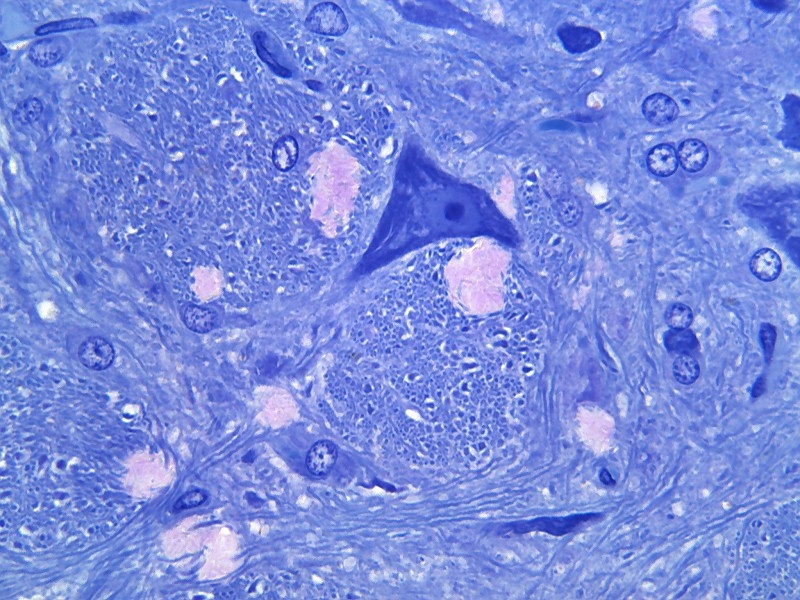
Ich denke das das gezeigte Bild ein Neuron sein könnte wie hier im gezeichnetes Bild. In dein Bild könnte 'B' dann den Kern sein.




In mein Ratten-gehirn sehe ich links und unten von das Neuron quergeschnittene Axone und Dendriten (im Negativ-Bild noch besser zu erkennen).
Das könnte natürlich sehr gut deine stelle 'A' sein.






Stelle 'C' in dein Bild könnte den Axonhügel sein aber ich meine da welches 'Raues Endoplasmatisches Retikulum' zu erkennen und das musste im Axonhügel eigentlich nicht da sein.
Siehe meine Kresylecht-Färbung.




Vielleicht könntest du noch was mehr Details zeigen?

Grüße Ronald
Mikroskope:
Leitz Orthoplan (DL, AL-Fluoreszenz und Diskussionseinrichtung).
Leica/Wild M715 Stereomikroskop.
Mikrotom:
LKB 2218 Historange Rotationsmikrotom.

purkinje

#2
Ich bin für E: Bildung von spines (Dornen), das halte ich am Axonhügel für am wenigsten wahrscheinlich; ER (B) ist zwar rar aber eben etwas "weniger unwahrscheinlich" -Willkommen zur Logik von medizinischen Prüfungsfragen   ???

Beste Grüße

Stefan

PS. Immerhin gibt es in euren Examensfragen schon EM-Bilder  ;D

ThomasJ

Hallo Baumelbaer,

Pfeil A zeigt eindeutig auf einen myelinisierten Axonquerschnitt. Da A und die Struktur im Rechteck abschnitte des selben Zellfortsatzes sein sollen, muss C folglich der Axonhügel sein. Differentialdiagnostisch kann man den zwar auch für sich genommen erkennen, aber definitiv nicht in dieser Kombination von niedriger Bildauflösung und geringer Vergrößerung.

Kriterien zum Erkennen von Axonen im EM Bild sind die folgenden:

- Fehlen von Nissl Substanz (insbesondere: raues ER, Ribosomen) => CAVE kann jedoch im Axonhügel noch vorhanden sein (s. Antwortmöglichkeit B)
- konstanter Durchmesser, idR. geringer als der von dendritischen Segmenten. An Verzweigungspunkten ist der Durchmesser der Tochtersegmente gleich dem des Stammes, im Gegensatz dazu sind Dendriten höherer Verzweigungsgeneration immer dünner als der Stamm.
- Verzweigungspunkte zeigen idR. stumpfere Winkel als dendritische Verzweigungsstellen.
- Die Oberfläche erscheint im Regefall glatt und ist regelmäßiger als die von dendritischen Abschnitten. Außnahme bilden gelegentliche Auftreibungen (Varikositäten) und die Axonterminalen, diese sind allerdings idR. an dem Vorhandensein von synaptischen Vesikeln eindeutig zu erkennen (Cave: diese können auch außerhalb der Schnittebene liegen)
- Das Vorhandensein einer Myelinscheide. Aber Achtung, viele Axone im ZNS sind nicht myelinisiert.
- Das Fehlen von postsynaptischen Spezialisierungen (postsynaptic densities) in Opposition zu Axonterminalen. Außnahme bildet hierbei das Axoninitialsegment, dass häufig hemmende (symmetrische, Gray II) synaptische Eingänge von Axo-axonischen Zellen empfängt. Diese jedoch direkt am Axoninitialsegment und nicht an postsynaptischen Spezialisierungen (thornes oder spines).

(Die drei letztgenannten Kriterien (Myelinscheide, synaptische Vesikel im Abschnitt, PSD) sind im allgemeinen als eindeutig anzusehen. Außnahmen sind sehr selten und kommen nur in wenigen Abschnitten des ZNS vor.)

Proteinsynthese ist definitiv keine Funktion des Axons, kann jedoch zumindest im Axonhügel gelegentlich vorkommen. Bei E müsste man wissen, was genau hier mit dem Begriff "Dornen" gemeint sein soll. Neuronale Abschnitte zeigen viele Arten von Frotsätzen (z.B. (echte) spines, thornes, filopodial extensions (letztere sowohl als Adnex am Dendriten, als auch als sonderform von Präsynaptischen Terminals, z.B. bei Moosfasern des Gyrus Dentatus). Den deutschen Begriff "Dornen" hätte ich intuitiv mit "spines" übersetzt, damit wäre E definitiv weniger wahrscheinlich als B (weder Axone noch Axonhügel empfangen nach derzeitigem Kenntnisstand Synapsen an Spines). Bezieht sich der Begriff jedoch auch auf andere Formen von kurzen neuronalen Fortsätzen wäre B die richtige Antwort.

Im Zweifelsfall ist die Frage m.E. gut anfechtbar, für Literaturbelege würde ich nachschlagen in: A. Peters, S. Palay, H. Webster "Fine Structure of the Nervous System"

purkinje

#4
Ein lebendiges Beispiel für die in der Approbationsordnung geforderte klinische und ALLGEMEINÄRZTLICHE Ausrichtung des Studiums und der Prüfungen: wieviel ER dort ist, im Vergleich zu spines wird einem im täglichen Umgang mit MS-, Parkinson- und anderen an degenerativen ZNS-Erkrankungen leidenden Patienten sicher sehr hilfreich sein : wann wird dieser Quark endlich genug breitgetreten sein? das Mindesthaltbarkeitsdatum dieser Art von Fragen ist derart überschritten...

Peter V.

Zitat von: purkinje in Juli 15, 2012, 13:42:41 NACHMITTAGS
Ein lebendiges Beispiel für die in der Approbationsordnung geforderte klinische und ALLGEMEINÄRZTLICHE Ausrichtung des Studiums und der Prüfungen: wieviel ER dort ist, im Vergleich zu spines wird einem im täglichen Umgang mit MS-, Parkinson- und anderen an degenerativen ZNS-Erkrankungen leidenden Patienten sicher sehr hilfreich sein : wann wird dieser Quark endlich genug breitgetreten sein? das Mindesthaltbarkeitsdatum dieser Art von Fragen ist derart überschritten...

...deshlab ist es ja auch so, dass man nach 6 Jahren Studium der Humanmedizin und anschlie0end 5 - 6 Jahren Facharztweiterbildung als sich niederlassender Arzt zunächst einmal praktisch NICHTS abrechen darf und für alle möglichen Untersuchungen und Verfahren weitere Prüfungen und "Kolloquien" abglegen muss.
Vermutlich gibt es ein derart ineffizientes Ausbildungssystem nur in der Medizin - man stelle sich so etwas bei Piloten vor, bevor die selbstständig ein Flugzeug fliegen dürften, hätten sie schon wieder ihre Altersgrenze erreicht  ;)
(Ich weiss, voll OT).

Aber mal ehrlich: Einen Arzt, der diese Frage nicht beantworetn kann, würde ich doch nicht an mich heranlassen...  ;D  ;D  ;D

Hezrliche Grüße
Peter
Dieses Posting ist frei von kultureller Aneigung, vegan und wurde CO2-frei erstellt. Für 100 Posts lasse ich ein Gänseblümchen in Ecuador pflanzen.

Baumelbaer

Hey danke,

danke für die großartigen Beiträge. Hat mich echt gefreut.
Ich bin leider nur über use the clues draufgekommen ;)