Hauptmenü

neutrophiler Granulozyt?

Begonnen von Sebo, März 11, 2011, 11:27:00 VORMITTAG

Vorheriges Thema - Nächstes Thema

Sebo

Hallo Allerseits,
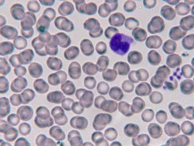
hier habe ich meiner Meinung nach einen sehr jungen neutrophilen Granulozyten fotografiert.

Liege ich da richtig? kann man schon von Granulation im Zellkern sprechen?


Leider konnte ich das Foto (noch) nicht schärfer machen.

Immerhin ist es mir gelungen die Coolpixringe zu eliminieren.  :D



Viele Grüße

von Sebo

Ronald Schulte

#1
Sebo,

Es könnte eben so gut ein Monozyt sein aber ich bin kein Mediker. Dazu frage zum Beispiel mal Dr Florian Stellmacher.

Die Coolpix Artefakten sind nicht zu beseitigen, nur zu verringern. Siehe ein Bericht aus meinen Website/download pagina, von Klaus Henkel aus 2003: http://www.ronaldschulte.nl/Downloads/coolpix-artefact-report.pdf

An schärfe ist da noch viel zu verbessern und das geht mit viel uben und probiren. Ist dein sehschirm des kamera's wohl gross genug um das Bild gut zu beurteilen?

Grüße Ronald
Mikroskope:
Leitz Orthoplan (DL, AL-Fluoreszenz und Diskussionseinrichtung).
Leica/Wild M715 Stereomikroskop.
Mikrotom:
LKB 2218 Historange Rotationsmikrotom.

Holger Adelmann

#2
Hallo Sebo,

um dies zu sagen muss man zunächst einen korrekten Weissabgleich machen.
Und siehe da - es ist vermutlich ein ein basophiler Granulozyt, auch wenn die Granulation schwach ist, evt auch ein Monozyt, aber dafür ist mir das Plasma etwas zu blau.
Es ist wichtig, das korrekte Färbeprotokoll für Giemsa oder Pappenheim einzuhalten.

Herzliche Grüsse
Holger




CaDi

Hallo Sebo,

sieht für mich aus wie ein Monozyt. Relativ klares Zytoplasma (daher kein Granulozyt) und sehr großer, plumper Zellkern.
Bei hoher Auflösung sieht man idR. auch eine Granulierung des Zytoplasmas bei Eosinophilen und Neutrophilen. Daher kann man
es nicht ganz genau sagen.

Hier mal eine Übersicht von Zellen eines meiner Blutausstriche. Es war leider nur eine sehr einfache Färbung, hat auch nicht ganz geklappt
(war vor ziemlich genau 2 Jahren). Ich kann zurzeit irgendwie keine neuen Fotos hochladen, daher die relativ kleine Zusammenstellung.


(1. Reihe: Basophile, 2. Reihe: Eosinophile, 3. Reihe: Lymphozyten?, 4. Reihe: Monozyten, Rest: Neutrophile)



Ein Neutrophiler aus einem Knochenmarkausstrich.




Man sieht bei Basophilen manchmal keinen Zellkern, weil die Zelle mit sehr großen, basophilen Granula "vollgestopft" ist. Diese verdecken oft alle anderen Strukturen.
Der Leukozyt in Deinem Präparat zeigt kein einziges Granulum im Zytoplasma, daher ist es m.E. kein Basophiler. Das Zytoplasma ist völlig homogen, und zu basophil
für einen Neutrophilen.

Auf meiner Übersicht sieht man trotz der kleinen Bilder sehr gut die vielen Granula der Basophilen. Sie sind zwar sehr selten, aber sie sind fast immer gut von anderen Zellen abgrenzbar. Die Granula von Eosinophilen und Neutrophilen sind nicht nur kleiner, sondern haben auch eine andere Farbe (wenn richtig gefärbt).




Bernhard Lebeda

Zitat von: Ronald Schulte in März 11, 2011, 13:17:40 NACHMITTAGS

Die Coolpix Artefakten sind nicht zu beseitigen, nur zu verringern. Siehe ein Bericht aus meinen Website/download pagina, von Klaus Henkel aus 2003: http://www.ronaldschulte.nl/Downloads/coolpix-artefact-report.pdf



...ausser mit Bildbearbeitung/Flatfieldkorrektur, und ich denke das meint Sebo!!

Viele Grüsse

Bernhard
Ich bevorzuge das "DU"

Vorstellung

Sebo

Hach, ich bin der Thematik doch treu geblieben.
Wie schön. Ich habe nun auch ein anständiges Mikroskop. Demnächst mehr von mir.

Ganz dollen Dank für Eure Antworten.

Sebo