Hauptmenü

Novex - Kameraadaption

Begonnen von Mikroman, Dezember 21, 2013, 18:00:14 NACHMITTAGS

Vorheriges Thema - Nächstes Thema

Mikroman

Schöne vorweihnachtliche Grüsse erst einmal,

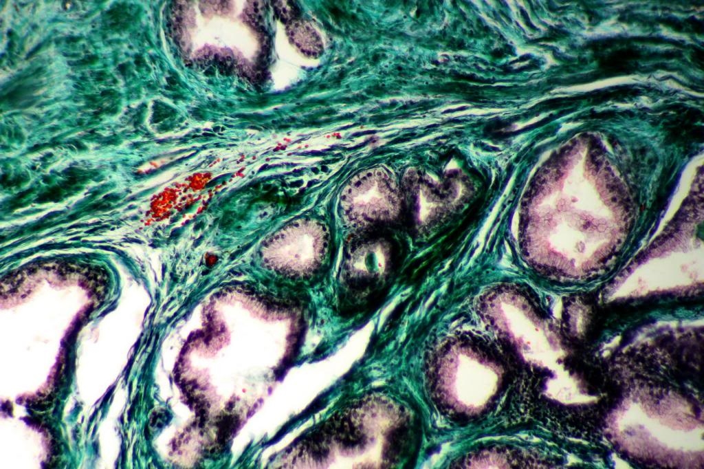
ich bin vor kurzer Zeit an ein Novex (s. https://www.mikroskopie-forum.de/index.php?topic=18401.0) Mikroskop gekommen mit scheinbar funktionstüchtiger Fotoadaption. Mich hat es jetzt mal gereizt, wieweit man mikrofotografisch mit einer "Billiglösung" kommen kann. Neben dem Mikrometer habe ich mal zu den erst besten Präparaten gegriffen (1: beschriftet: Prostata massou goldner; 2: Schmelze Aluminiumoxid). Der Originalfotoadapter von Novex liess sich via T2-Anschluss/-Kameraadapter direkt mit meiner EOS 600D verbinden. Bei den ersten Probeaufnahmen zeigte sich, dass das Auslösen an der Kamera selbst wenig zielführend ist (und bei Objektiven > 10x zu Verwacklungen führt). Aus dem Grund wurden die EOS wie gewohnt mit dem PC verbunden. Die Grenzen der Optik liegen auf der Hand (s. Mikrometeraufnahmen), für allgemeine(re) Zwecke und angesichts des Preises ist die Lösung vertretbar.



















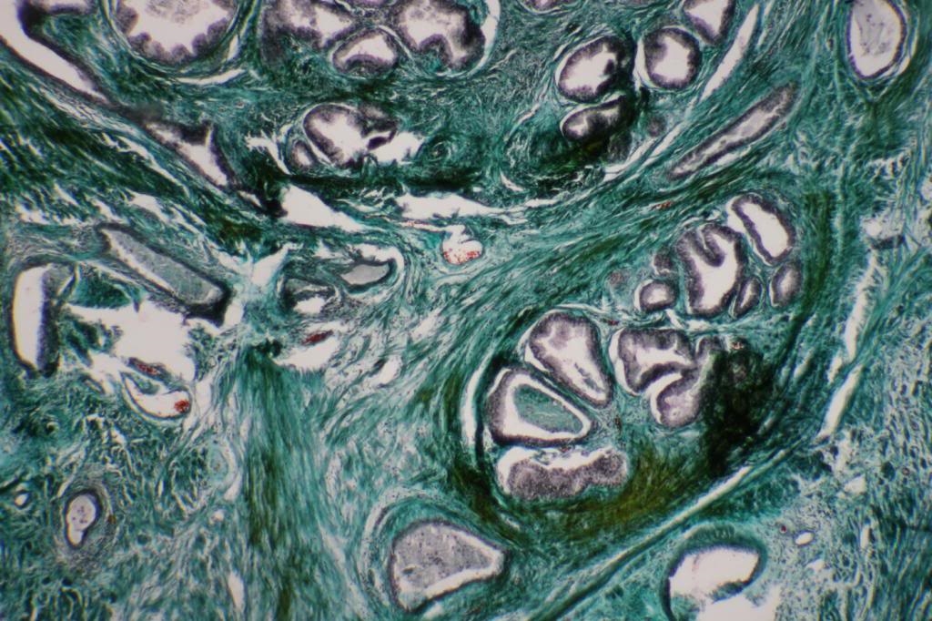
Das Meiji-Objektiv kam deshalb zum Zuge, weil das Original Novex 40/0.65 defekt ist.

Schönen Abend noch
Peter

Zu sehr auf sich selbst zu beharren,
ist ein unvernünftiges Vergeuden der Weltsubstanz (Juarroz, 9. Vertikale Poesie,1)

Jan Kros

Hallo Peter,
welches Programm benutz du da, denn du hast ein schoen grosses Bild
danke fuer die Auskunft
Jan

Mikroman

Hallo Jan,

ich benutzte die (kostenlosen) EOS Utilities an einem 24 Zoll Monitor. Großer Vorteil: ich kann sogar in das Bild reinzoomen zwecks besserer / genauerer Scharfstellung.

Gruß
Peter
Zu sehr auf sich selbst zu beharren,
ist ein unvernünftiges Vergeuden der Weltsubstanz (Juarroz, 9. Vertikale Poesie,1)

Jan Kros

Hallo Peter,
danke fuer die Auskunft
herzlichen Gruss
Jan