Hoffentlich kommt bald wieder der Sommer.....

Begonnen von Jürgen H., Januar 23, 2014, 22:56:43 NACHMITTAGS

Vorheriges Thema - Nächstes Thema

Jürgen H.

Liebe Mitmikroskopiker,

geht euch das auch manchmal so? Man präpariert tagelang an einem Objekt und dann missrät es. Aber da zeigt sich dann doch noch etwas in dem unvollkommenen Präparat, dass einen sehr interessiert hätte. Nur: Jetzt ist alles verschwommen. Oder zerrissen. oder überprozessiert.

Oder man macht nur einmal eine schnelle Präparation ganz fix und dann entdeckt man etwas, was eine aufwändige sorgfältige Behandlung verdient hätte. Oder versäumt, weiter zu schneiden. Und dann fehlen Schnitte.....

Und jetzt? Man muss noch einmal von vorne anfangen. Oder noch ärgerlicher: Man kommt an ein neues Präparationsobjekt nicht heran. Bei mir: Es gibt keine Zikaden. Wespen fliegen auch nicht. Was macht man? Man sehnt sich nach dem nächsten Sommer.

Z.B. um den Mitteldarm der Wespe näher zu untersuchen: Siehe den Nachbarthread zum Mitteldarm der Insekten. Oder aber z.B. dies hier:







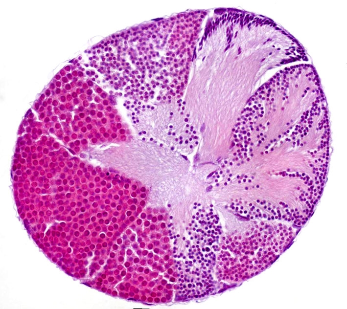
Das ist ein Hoden der Rhododendronzikade, quer geschnitten.  Bei 11 Uhr sieht man schon einige fast reife Samenzellen. Drum herum verschiedene Entwicklungsstadien.

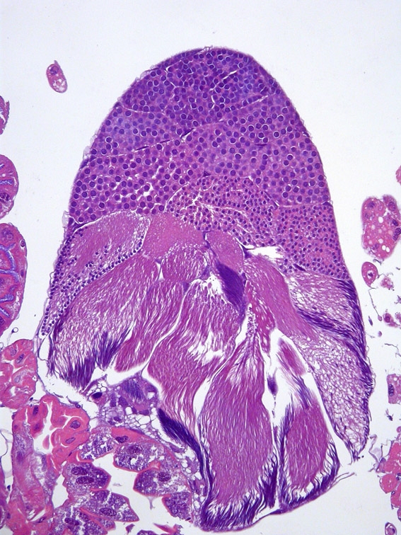
Hier ein Längsschnitt. Aber wo ist der Samenleiter? Wie geht es vom Hoden weiter? Bei beiden Präparationen missrieten die folgenden Schnitte aus verschiedenen Gründen. Auch wäre zu klären, wann den eigentlich die Teilungsprozesse stattfinden. In beiden Schnitten sind keine zu finden.

Oder hier: Schnitte, die erbärmlich überprozessiert sind und Schrumpfungsartefakte zeigen: Eine Übersicht über den Stachel einer Rhododendronzikade.



Hier etwas näher gezeigt:


Man kann noch sehr gut den Aufbau des Stachels ST erkennen, der aus vier Teilen besteht, die ineinander verhakt sind, ähnlich dem Legestachel des gleichen Tiers. In der mittigen Öffnung wird der Pflanzensaft angesaugt. Ich vermute, dass in den seitlichen Öffnungen das Speichelsekret in das Bohrlöchelchen der Pflanze fließt, mit dem das Tier eine Art gallertartige Scheide um den Stachel innerhalb der Pflanze bilden kann. (Auf dass nur ja kein Pflanzensaft daneben fließt) Aber wie findet die Zikade eigentlich das Xylem das sie anbohrt? Nach der Literatur zu urteilen, kann sie mit dem Stachel auch kurvig in das Pflanzenblatt hineinstechen. Die Muskulatur SM könnte den Stachel bewegen. Und sind SZ etwa Sinneszellen, die dem Tier eine Rückkopplung zu den Bewegungen des Stachels liefern? Sind das Abrisse der SZ zum darum liegenden Integument? Fragen über Fragen....


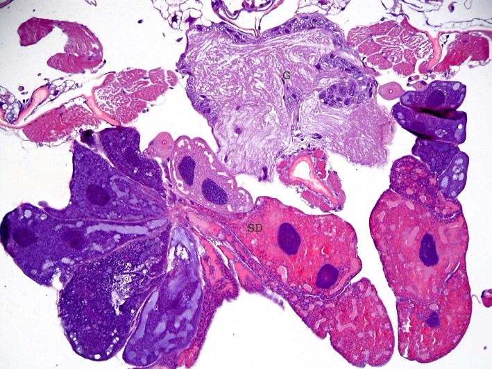
Oder dieser überprozessierte Schnitt hier: Er zeigt in der unteren Hälfte die Speicheldrüse der Zikade SD oben ist ein Ganglienknoten G? Aber wie genau gestaltet sich diese Drüse? Wo sind die Ausgänge? Warum färbt sie sich einmal rot einmal blau? Fehlerhafter Färbeprozess oder verschiedene Speichelarten? Verschiedene Entwicklungsstadien? Was sind das für regelmäßige tiefblaue Flecken mittig in den Drüsenlappen? Auch hier: Warten bis zum nächsten Sommer....


Oder hier der Wespenfühler im Längsschnitt: In der Mitte der zentrale Nerv N. G sind die Segmentgrenzen. SZ die Sinneszellen, mit denen die Wespen riechen und schmecken können wird:



Hier sind ein paar verschiedenartige Sinneszellen SZ 1-3 zu sehen. Nur: der genauen Aufbau der Sinneszellen lässt sich mit diesem Schnitt nicht ermitteln. Auch fehlen die Verbindungen zum mittigen Hauptnerv. Ein paar neue Wespen müssen her!



Und so warte ich auf den nächsten Sommer.... Das werden wohl die nächsten Projekte!

Schöne Grüße

Jürgen

HDD

Lieber Jürgen

Das sind absolut faszinierende Schnitte. Einen Querschnitt durch einen Zikadenstachel
in dieser Präzision dürfte schon ziemlich einmalig sein. Und erst der Wespenfühler ....
Den Hoden möchte ich nicht weiter kommentieren. Was für Schmerzen ...;D ;D ;D
Ich bin von dieser Arbeit total begeistert. Wie dick sind diese Schnitte und mit welchen
Objektiven hast Du gearbeitet?

Danke für diese Bilder und herzliche Grüße

Horst-Dieter

HDD

In den beiden Kanälen der Halbschalen, die dem Stachel seine Führung geben,
dürfte sich auch ein Schmiermittel befinden.
Das dient dazu, den Stachel besser in den Halbschalen gleiten zu lassen. Bei meinen
Präparationen hat sich gezeigt, dass die Halbschalen wesentlich härter als der Saugrüssel
sind.
Diese biomechanische Konstruktion ist einfach nur faszinierend. Ich werde mich in diesem
Jahr auch wieder mit den Rhododendronzikaden beschäftigen.

Darf ich Deine Bilder in unserer Linsenbeute.de verwenden?

Viele Grüße

Horst-Dieter

Ronald Schulte

Jürgen,

Mir sieht das erste Bild gar nicht aus wie ein Hoden aber von Insekten weis ich ja auch nichts!
Ich wurde sagen das es Gehirngewebe ist mit hier und da einige Neuronen Perikarya und viele Neuronen am Rand.
Warum sind keine Zellteilungsfiguren zu sehen?
Ich könnte ein Kunststoff Schnitt von ein Hoden mitbringen wo sämtliche Zellteilungen zu sehen sind, wenn du möchtest!

Grusse Ronald
Mikroskope:
Leitz Orthoplan (DL, AL-Fluoreszenz und Diskussionseinrichtung).
Leica/Wild M715 Stereomikroskop.
Mikrotom:
LKB 2218 Historange Rotationsmikrotom.

Jürgen H.

Lieber Horst Dieter,

Ich kann wenig zu den Schnitten sagen. Die Schnittdicke dürfte ca. 4 µ betragen. Es handelt sich sämtlich um Aufnahmen, die ich nur für meine to do Liste kommender Sommer gefertigt habe, so dass ich nicht sicher bin, ob die nachfolgenden Angaben zutreffend sind:

die Hodenaufnahmen düften mit dem 20er Obj. gefertigt sein, das erste Zikadenbild wahrscheinlich mit dem 10er, das zweite vermutlich mit dem 63er Öl, das dritte mit dem 40er, das letzte Wespenfühlerbild wohl auch mit dem 63er Öl. Ich sollte mir wirklich angewöhnen, meinen Bildern einen Maßstab zu verpassen. Nur ist das etwas umständlich. Mit der Coolpix muss ich jedesmal zoomen, damit die schwarzen Ecken verschwinden. Ich habe also jedesmal einen anderen Zoomfaktor und muss daher den Maßstab jedesmal neu ermitteln, indem ich eine beliebige Objektstruktur ausmesse.

Im Sommer werde ich sicher neue Zikadenpräparate machen. Wenn sie gelingen, bin ich froh, wenn Du sie für eure Homepage verwenden willst. Ich werde mich dann melden.

In der Tat müsste sich zwischen den beiden Stechborstenpaaren auch ein Schmiermittel befinden. Denn die Borstenpaare werden gegeneinander beweglich sein......da darf nichts haken oder reiben. Schnitte oberhalb der abgebildeten Stelle  zeigen außerdem, dass sich die Borsten anfangs isoliert im Kopf befinden und sich erst im weiteren Verlauf zusammensetzen. Die muskulär erzeugte Beweglichkeit und die Ansatzstellen der Muskeln stehen ebenfalls auf der to do Liste. Faszinierend ist die Natur in jedem Fall, je mehr man sich damit beschäftigt.....

Lieber Ronald,

die beiden ersten Bilder zeigen sicher die Hoden. Das erste ist ein ungefährer Querschnitt durch den Hoden etwa in halber Höhe des im zweiten Bild gezeigten Längsschnittes.  Das feine weißliche Gefussel sind die Geißeln der Spermien, im ersten Bild bei 13 Uhr stammen sie von den fast fertig ausgebildeten Spermien, im zweiten Bild befinden sich die reifen Spermien am unteren Teil des Hodens. Warum keine Teilungsfiguren zu sehen sind frage ich mich auch. Es könnte sein, dass die Teilungen synchron zu bestimmten Tageszeiten stattfinden.

Ein Präparat eines Vertebratenhodens würde ich gerne sehen. Bitte bring es mit!

Schöne rüße

Jürgen

Oecoprotonucli

Zitat von: Jürgen H. in Januar 24, 2014, 11:04:49 VORMITTAG
Das feine weißliche Gefussel sind die Geißeln der Spermien, im ersten Bild bei 13 Uhr stammen sie von den fast fertig ausgebildeten Spermien, im zweiten Bild befinden sich die reifen Spermien am unteren Teil des Hodens. Warum keine Teilungsfiguren zu sehen sind frage ich mich auch. Es könnte sein, dass die Teilungen synchron zu bestimmten Tageszeiten stattfinden.

Hallo Ihr Insektenschnippler!

Ich denke, wir Menschen werden seit unserer Schulzeit getrimmt, immer sehr den Menschen in den Mittelpunkt zu stellen, auch in Politik und Öffentlichkeit geht es meist um Humanmedizin, wenn sich mal irgendetwas um den Körper dreht. Dass da aber noch ein paar Millionen andere Arten mit uns wohnen, wird schnell mal vergessen. Die ständige, zu allen Tages- und vor allem Jahreszeiten potentiell verfügbare Fortpflanzungsaktivität gilt ja wohl für die wenigsten Arten. Es hat ja nicht jeder so wenig zu tun wie wir Menschen...  ;D. Daher könnte ich mir gut vorstellen, dass auch die Zellteilungen im Heuschreckenhoden nur zu bestimmten Zeiten stattfinden, und das vielleicht nicht mal auf einen Tag, sondern einen längeren Zeitraum gesehen. Natürlich kann man eben auch von einem einzelnen Schnitt noch nicht auf das ganze Organ schließen.

Vielleicht solltest Du Dir aber doch das Tier zu allen Jahreszeiten zur Untersuchung wünschen, statt nur die sogenannte schöne Jahreszeit (bei vielen ist ja auch der Frühling besonders beliebt)...

Besten Gruß

Sebastian

Ich benutze privat:
Leitz SM-Lux mit (LED-) Durchlicht und Phaco-Ausrüstung (ca. 1975-77)
Hensoldt Wetzlar Stereomikroskop DIAMAL (1950er Jahre)

Rawfoto

Hallo Jürgen

Zu Deiner Frage, ja, das geht anderen auch so .-)
Man muss ein Objekt erst kennenlernen um dann zu wissen wo man hin will. Es sind daher mehrere Runden nicht vermeidbar ist meine Erfahrung & dabei ist es unbedeutend um was es geht. Zufallstreffer gibt es aber sehr selten ...

Ich finde das Gezeigte toll, das eröffnet Einblicke ...

Liebe Grüße

Gerhard
Gerhard
http://www.naturfoto-zimmert.at

Rückmeldung sind willkommen, ich bin jederzeit an Weiterentwicklung interessiert, Vorschläge zur Verbesserungen und Varianten meiner eingestellten Bilder sind daher keinerlei Problem für mich ...

JB

Zitat von: Jürgen H. in Januar 23, 2014, 22:56:43 NACHMITTAGS
Bei mir: Es gibt keine Zikaden. Wespen fliegen auch nicht. Was macht man? Man sehnt sich nach dem nächsten Sommer.

Hallo Juergen,

Ein lohnendes Objekt gibt es im Winter: Fliegen. Die Larven von Calliphora vomitoria gibt es als Angelkoeder zu kaufen http://angelkoederversand.de/Caster-165-g-Beutel-03-Liter . Besonders praktisch: Man kann die Tiere vor oder kurz nach dem Schluepfen fixieren, wenn die Cutikula noch weich ist. Dipteren sind ja auch interessant :)

Mit freundlichen Gruessen,

Jon

Jürgen H.

Lieber Sebastian,

nach ein wenig Lektüre ist das geklärt: Die Mitosen (6 bis 8) laufen bei der Spermiogenese   tatsächlich synchron ab. Ob dies auch für die beiden anschließenden Reifungsteilungungen gilt, weiß ich noch nicht, auch nicht, ob es für die synchronen Teilungen bestimmte Tageszeiten gibt.

Lieber Gerhard, vielen Dank für Deine Worte!

Lieber Jon;

das ist eine gute Idee, zumal man auf diese Weise frisch gehäutete Exemplare bekommen kann. Ich habe allerdings noch ein paar Insekten in 70er Alkohol: Nur eben keine Zikaden und keine Wespen und Bienen mehr.

Schöne Grüße

Jürgen