Abdomen einer Wespe 2, Pylorus

Begonnen von Jürgen H., Oktober 28, 2014, 20:23:26 NACHMITTAGS

Vorheriges Thema - Nächstes Thema

Jürgen H.

Liebe Mitmikroskopiker,

dem soeben gezeigten Mitteldarm mit seiner Sekretion folgt die Darstellung des Pylorus, in dem sich die halbverdaute Nahrung sammelt und in den von allen Seiten die bereits einmal dargestellten (https://www.mikroskopie-forum.de/index.php?topic=20463.0) Malphigischen Gefäße münden.

Ein Schemabild zeigt die Stelle, an der sich der Pylorus im Darmtrakt befindet:

IN= Ingluvies (Kropf)
PR= Proventriculus (Ein Zerkleinerungsorgan)
MD= Mitteldarm
MG= Malpighische Gefäße
PY= Pylorus
Vp= Valvula Pylorica

Als Sammelbecken ist der Pylorus ein erweiterter oft kugelförmiger Abschnitt, der zudem in Richtung Hinterdarm einen Verschlussmechanismus, die Valvula pylorica besitzt, damit die Nahrung nicht vorzeitig in den Hinterdarm gelangt. Soweit die allgemeine Theorie.

Nun ein Einzelfall, wie er sich bei meinen Schnitten des Wespenabdomens darstellt.

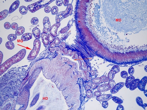
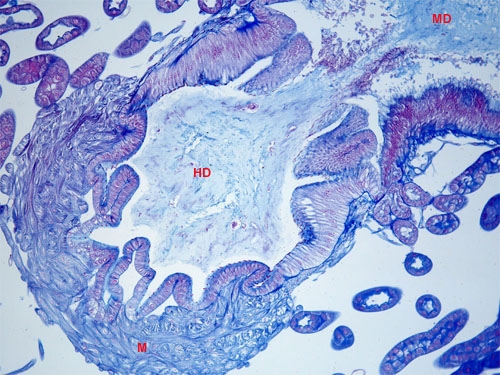
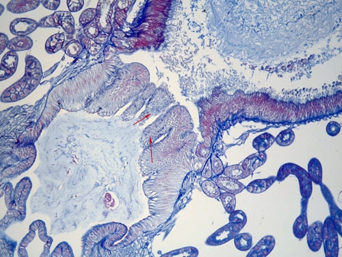
Das erste Bild zeigt die grundsätzliche Situation. Die Nahrung fließt vom Mitteldarm MD in Richtung zum Hinterdarm, mit HD bezeichnet. Bei M befindet sich eine umfangreiche Muskelschicht, dort sind die einzelnen Muskelfasern vielfältig ineinander verwoben. Zu sehen ist weiterhin eine relativ enge Durchtrittsstelle:



Diese Durchtrittsstelle erscheint zudem stark aufgefältet (Pfeile), was das nächste Bild aus einem anderen Schnitt zeigt:



Bei dieser Stelle beginnt ein Bereich, der mit einer Vielzahl von offenbar chitinösen Zähnchen besetzt ist.

Näher betrachtet sind diese Zähnchen gabelartig gespalten. Sie könnten zu einer weiteren Nahrungszerkleinerung, aber auch zur Zerstörung der peritrophischen Membran dienen. Zur Erinnerung: Diese Membran ist ein siebartiger Schlauch, der den Nahrungsbrei im Mitteldarm umhüllt und mechanische Verletzungen des Darmgewebes durch die Nahrung verhindert. Ich habe allerdings in meinen Schnitten an dieser Stelle keine peritrophische Membran oder Überreste hiervon sehen können.

Die Zähne weisen wegen der chitinösen Bewehrung darauf hin, dass hier ein Darmabschnitt ektodermalen Ursprungs beginnt, wir uns also bereits in einem dem Hinterdarm zugehörigen Abschnitt befinden.



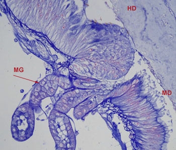
Das nächste Bild zeigt deutlich, dass sich die Malpighischen Gefäße im Bereich der Engstelle und um sie herum sammeln. Ich gehe davon aus, dass  an der Stelle in der Bildmitte (oranger dünner Pfeil) gleichfalls Malpighische Gefäße in den Darmabschnitt aus der Richtung des Betrachters münden.



Das nächste Bild zeigt eine getroffene Stelle einer Einmündung von Malpighischen Gefäßen.



Das Bild entspricht spiegelbildlich weitgehend dieser Lehrbuchdarstellung aus Seifert, Entomologische Praxis.



Viel Freude beim Betrachten wünscht Jürgen


                                                                                       

Rawfoto

Hallo Juergen

Ein toller Beitrag der auch von Laien gut zu lesen ist ...

Danke fuers Zeigen, liebe Gruesse

Gerhard
Gerhard
http://www.naturfoto-zimmert.at

Rückmeldung sind willkommen, ich bin jederzeit an Weiterentwicklung interessiert, Vorschläge zur Verbesserungen und Varianten meiner eingestellten Bilder sind daher keinerlei Problem für mich ...