Hauptmenü

Formalinpigment im Schnitt

Begonnen von Ronald Schulte, Dezember 14, 2014, 19:39:57 NACHMITTAGS

Vorheriges Thema - Nächstes Thema

Ronald Schulte


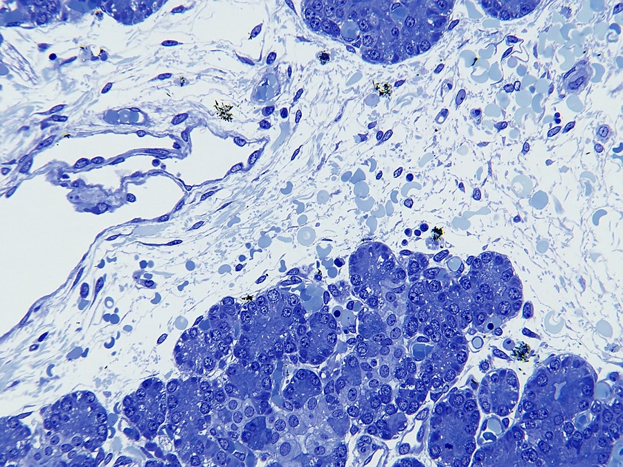
Was passieren kann wenn man Gewebe zu lange (Monate/Jahre) in Formalin liegen lässt zeige ich heute mal.
Es bildet sich Formalin Pigment. Bevorzugte stellen sind Blutreiche Regionen aber auch, wie in meine Schnitte, an andere stellen kann es vorkommen.
In HE gefärbten Paraffin Schnitt kommt das Pigment vor als Braune Ablagerungen und kann einfach entfernt werden durch es einige Stunden stehen zu lassen in gesättigte Alkoholisches Picrinsaure. In Plastik aber geht es nicht wider raus. 







Formalinpigment in Plastik zeigt sich wie schwarze Kristalle.
Objektiv, Leitz Plan Fluotar 25x






Formalinpigment in POL (halb geschlossen)
Objektiv, Leitz Plan Fluotar 25x






Formalinpigment in POL
Objektiv, Leitz Plan Fluotar 25x




Grüße Ronald
Mikroskope:
Leitz Orthoplan (DL, AL-Fluoreszenz und Diskussionseinrichtung).
Leica/Wild M715 Stereomikroskop.
Mikrotom:
LKB 2218 Historange Rotationsmikrotom.

liftboy

Hallo Ronald,

ein ähnliches Problem ergibt sich bei Magnacol als Einbettungsmittel.
Magnacol ist Lichtempfindlich!! (solange es nicht ausgehärtet ist).
Es bilden sich kleine Rhomboeder und längere Nadelstukturen; es fällt auch auf, da sich das Magnacol eintrübt.
Die Rhomboeder sind doppelbrechend, die Nadeln nicht.
Das kann bei manchen Präparaten zu erheblichen Fehldeutungen führen.
Mit Vacuumfiltration leicht zu entfernen. Also dunkel aufheben!

Grüße
Wolfgang
http://www.mikroskopie-forum.de/index.php?topic=785.msg3654#msg3654
LOMO-Service
Das Erstaunen bleibt unverändert- nur unser Mut wächst, das Erstaunliche zu verstehen.
Niels Bohr