Blut Ausstrich mit Hausmitteln färben?

Begonnen von mikromeister, Januar 13, 2015, 16:48:45 NACHMITTAGS

Vorheriges Thema - Nächstes Thema

mikromeister

Meine 11 jährige Tochter hat heute ihr Nasenbluten für einen Blutrausstrich genutzt und jetzt will die 5 Klässlerin ohne Aufwand mal sehen was sich da zeigt.
Der Anspruch ist gering.

Ich habe keine Ahnung vom biologischen Färben und will auch nicht einsteigen, da ich nur Auflichtmikroskopie betreibe.
Deshalb meine Frage:
Gibt es in einem reichsortierten Technikerhaushalt eine Möglichkeit, durch einfache Färbung etwas mehr aus dem Ausstrich raus zu holen als nur rot?
Vielen Dank und freundliche Grüße

Markus


.

liftboy

Hallo Markus,

na ja, eigentlich wie immer:
staubgeschützt trocknen lassen, blaue Tinte aus der Patrone drauf, 10min. warten, mit Wasser abspülen, dann entweder Magnacol drauf, oder mit Isoprop abspülen und dann mit Euparal einbetten oder nach dem Alk nochmal mit Xylol hinterher und mit mit Eukitt einlegen.

Grüße
Wolfgang
http://www.mikroskopie-forum.de/index.php?topic=785.msg3654#msg3654
LOMO-Service
Das Erstaunen bleibt unverändert- nur unser Mut wächst, das Erstaunliche zu verstehen.
Niels Bohr

Gerd Schmahl

Hallo Marcus,
zwei sehr gebräuchliche Farbstoffe der Histologie kann man als Stifte kaufen: Eosin und Methylviolett. Sie sind die Farbgeber der roten und Violetten Kopierstifte (Vorsicht: giftig! zumindest die violetten) . Sind etwas aus der Mode gekommen, aber man reicht damit sehr weit. Ob die bei Blut was bringen weiß ich aber nicht. Wichtig ist vor allem, das der Austrich dünn genug ist, da sonst die roten Blutzellen zusammenkleben. Lieber zu dünn als zu dick ausziehen. Da kann man auch ohne Färben schon einiges sehen. Nur nicht enttäuscht sein: die Farbe Rot bekommt man kaum zu Gesicht. Selbst die Roten Blutzellen sehen eher grün aus im Durchlicht.
Beste Grüße
Gerd
Man sagt der Teufel sei, im Detail versteckt,
doch hab' ich mit dem Mikroskop viel Göttliches entdeckt.

mikromeister

#3
So schauts aus:




Durchlicht hat langweilige Ergebnisse gebracht, gleichmäßig bläulich statt gräulich.
DIC Auflicht mit kleinen Durchlichtanteil finde ich ganz dekorativ.
Danke für die Hilfe. Den Tipp mit den Kopierstiften konnte ich nicht mehr ausprobieren. Zu spät.

Zeiss NPL 100 Auflicht DIC mit Adapterhülse durchs Okular fotografiert.

Vielen Dank und freundliche Grüße

Markus


.

piu58

> Vorsicht: giftig! zumindest die violetten

Das hält sich in Grenzen. Methylviolett ist ein etwas aus der Mode gekommenes Medikament gegen Pilzerkrnakungen. Es wird (oder wurde) sogar Kleinkindern auf die Zunge gepinselt (bei Soor).

Gemäß Paracelsus ist es freilich Gift.
Bleibt dran, am Okular.
--
Uwe

liftboy

Hallo Uwe,

ist mein Fernet aber auch :-)

Grüße
Wolfgang
http://www.mikroskopie-forum.de/index.php?topic=785.msg3654#msg3654
LOMO-Service
Das Erstaunen bleibt unverändert- nur unser Mut wächst, das Erstaunliche zu verstehen.
Niels Bohr

ortholux

Lieber Gerd,

danke für den Tip. Ich kenne die Stifte noch aus meiner Kindheit und hab mir nie Gedanken gemacht, ob es die noch gibt.

Zur Giftigkeit: wir haben die immer schön angelutscht, damit sie fett schreiben. Vielleicht ist der Allgäuer ansich aber aus irgendwelchen Gründen, wie z.B. Jodmangel, resistent gegen die genannten Gifte.

Viele Grüße
Wolfgang

Gerd Schmahl

Hallo,
meines Wissens, aber das ist so wage aus der Erinnerung, sollte das nicht in Wunden gelangen. Angeleckt wurde die früher eigentlich immer, aber man sollte sich damit nicht stechen. Aber wie gesagt - ist eher ein Halbwissen, was ich hier zum Besten gebe.
Beste Grüße
Gerd
Man sagt der Teufel sei, im Detail versteckt,
doch hab' ich mit dem Mikroskop viel Göttliches entdeckt.

liftboy

Hallo Jorrit,

also entweder die Direktfärbung (da reicht ein Tropfen) oder die Komplettfärbung (1 Karton = 6 Flaschen; das Blut entnimmt dann der Arzt :-)  )

Grüße
Wolfgang
http://www.mikroskopie-forum.de/index.php?topic=785.msg3654#msg3654
LOMO-Service
Das Erstaunen bleibt unverändert- nur unser Mut wächst, das Erstaunliche zu verstehen.
Niels Bohr

piu58

> sollte das nicht in Wunden gelangen

Dafür wird es auch verwendet. Es werden Fisteln angefärbt, damit man bei der Operation sieht, wo man langschneiden muss.

Natürlich ist es immer schlecht, wenn Spitzreste wie Holzkrümel in Wunden kommen. Aber das gilt auch für Bleistifte.
Bleibt dran, am Okular.
--
Uwe

rhamvossen

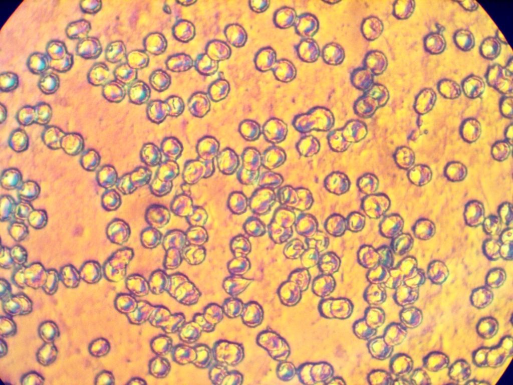
#10
Hallo Markus,

ZitatDurchlicht hat langweilige Ergebnisse gebracht

Wichtig ist eine gute Beleuchtung, von deine Bilder is deutlich das etwas nicht gut eingestellt ist. Eine normale Hellfeldaufname von frisches Blut sieht so aus:



Aufname gemacht mit Achromat 100. Im Mittel ist eine Leukozyt zu sehen. Auch zu sehen sind die typische Formen der Erythrozyten (bikonkav).
Und noch etwas: probier mal die bewegungen (ähnlich einer Amöbe) von ein Leukozyt zu beobachten, einfach fascinierend.

Beste Grüsse,

Rolf

mikromeister

#11
Ich habe einen 1 Zellen dicken getrockneten Ausstrich mit Auflicht DIC gezeigt.
Darüber hinaus habe ich auch nur Auflichtobjektive und kann somit nicht mir Deckglas arbeiten.

Dass dein Durchlicht Bild von frischem Blut mit lebenden Leukozyten anders aussieht wundert mich nicht.
Vielen Dank und freundliche Grüße

Markus


.

Jürgen Boschert

Hallo Uwe,

nur der Korrektheit halber: Fistelgänge werden nicht mit Methylviolett, sondern mit Vitalblau (= Methylenblau) angefärbt, selten einmal mit Fluorescein.

Gruß !

JB
Beste Grüße !

JB