HISTOLOGIE: Nasenhöhle mit Flimmerzellen und Zilien

Begonnen von Ronald Schulte, Februar 01, 2015, 15:10:04 NACHMITTAGS

Vorheriges Thema - Nächstes Thema

Ronald Schulte

Nasenhöhle,
In der Nasenhöhle (Cavum nasi) liegt die Mukosa auf dem Knochengewebe der Nasenmuscheln und dem Knochen- und Knorpelgewebe des Nasenseptums. An der Nasenschleimhaut lassen sich eine Regio respiratoria und eine Regio olfactoria unterscheiden.

Regio respiratoria,
Zur Regio respiratoria gehört der weitaus größte Teil der Nasenschleimhaut. Sie dient der Erwärmung und dem Anfeuchten der Atemluft und dem Abfangen von Schmutzpartikeln aus der eingeatmeten Luft. Kennzeichen der Regio respiratoria sind:
• Ein hohes respiratorisches Oberflächenepithel mit lange Zilien und einzelnen endoepithelialen mukösen Drüsen;
• Eine Lamina propria, die zellreich ist und gemischte seromuköse Drüsen enthält;
• Ein komplexes Gefäßsystem mit einem speziellen Venenplexus als Besonderheit. Die viele Venen helfen bei die Erwärmung der Atemluft.



Die Schnittstelle ist hier angegeben.







Ein Scan aus das Buch ,, A Color Atlas of Sectional Anatomy of the Mouse".







Zur Orientierung ist hier eine übersichtsaufname (Paraffinschnitt, Farbung: Kernechtrubin/Orange-G/Anilin B);
Der Nasebereich liegt oben in die Mitte. Die Zunge ist schön zu sehen, ebenfalls die Zwei Zahnglocken im Unterkiefer.








Übersicht der Nase (Paraffinschnitt, Farbung: Kernechtrubin/Orange-G/Anilin B);

OE  = Olfaktorisches Epithel;
KNS = Knorpel Nasi Septum;
UZ  = Übergangszone von Nasenschleim haut nach Riechschleimhaut;
NS  = Nasenschleimhaut;
GSD = Gemischte seromuköse Drüsen;
OJ  = Organ von Jacobson (Organum vomeronasale). Dieses Organ hat der Mensch nur in die Emryo fase.
Viele Tiere haben es weiterentwickelt und gilt als sehr sensibeles extra riechorgan;
KN  = Knochen oberkiefer;
NK  = Nasen Knochen;
BB  = Blutgefäße im Bindegewebe;
VK  = 'Vomer' Knochen.








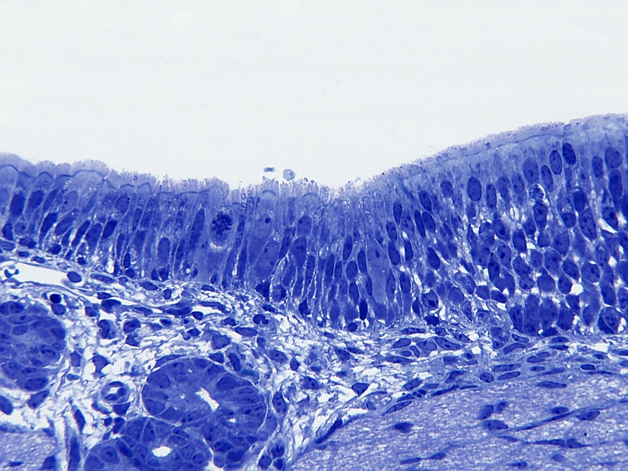
Nasenschleimhaut (Plastik Schnitt, 1,5µm, Farbung: Toluidin B in Borax);
Stitch von 4 Bilder, Objektiv Leitz Planapo 63x NA 1.4;

Oben ist das Epithel mit Zilien zu beobachten, zellreiches Bindegewebe (Lamina propria) und viele grosse Venen. Unter eine Arteriole mit Links davon einige Drüsen.








Nasenschleimhaut (Plastik Schnitt, 1,5µm, Farbung: Toluidin B in Borax);
Objektiv Leitz Planapo 63x NA 1.4;

A = Schleimbecherzelle;
B = Kern von eine Flimmerzelle mit hohen Zilien;
C = Basalzellen.





Grüße Ronald
Mikroskope:
Leitz Orthoplan (DL, AL-Fluoreszenz und Diskussionseinrichtung).
Leica/Wild M715 Stereomikroskop.
Mikrotom:
LKB 2218 Historange Rotationsmikrotom.

Jan Kros

Hallo Ronald,
Wunschoene Schnitte und sehr gut dokumentiert
Ein Genuss zun anschauen.
Herzlichen
Gruss
Jan

Heino Lauer

Lieber Ronald,

vielen Dank für diesen Beitrag. Das sind beeindruckende Bilder.

Hättest Du noch eine Aufnahme des in der Übersicht als Übergangszone (UZ) bezeichneten Bereiches?

Herzlicher Gruß

Heino


Peter V.

Lieber Ronald,

Wahnsinn! Ich habe noch nie solche lichtmikroskopischen Bilder von Kinozilien gesehen! In Reih und Glied, sauber abgegrenzt. Das ist wirklich eine Klasse für sich.

Herzliche Grüße
Peter
Dieses Posting ist frei von kultureller Aneigung, vegan und wurde CO2-frei erstellt. Für 100 Posts lasse ich ein Gänseblümchen in Ecuador pflanzen.

Ronald Schulte

@Peter, Schön ja aber kann noch besser. Diesen Schnitt hat 1,5µm. Wenn ich ein besseres Stemi hätte könnte ich das Gewebe auspraparieren und einbetten für das Ultra. Dann wären Schnitte von so 0,7-0,8µm möglich.

@Heino,
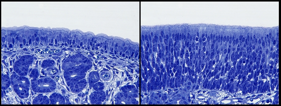
Hier die gefragten Bilder. Mein 63x habe ich schon wider abgeschraubt (ich brauchte mal ein Sechs faches Revolver statt ein Fünf faches), deshalb hier die Stelle mit ein Trocken Planapo 40x.

Links die Nasenschleimhaut wie schon gezeigt, rechts aber das Riechepithel (Olfaktorisches Epithel). Sogar die Olfaktorische Vesikel (Bläschen) sind wie kleine Knopsen im Epithel zu sehen.






Die ubergangszone ist hier abgebildet. Links die Nasenschleimhaut, rechts das Olfaktorisches Epithel.
Links von die Mitte noch ein Zelle in Teilung.




Grüße Ronald
Mikroskope:
Leitz Orthoplan (DL, AL-Fluoreszenz und Diskussionseinrichtung).
Leica/Wild M715 Stereomikroskop.
Mikrotom:
LKB 2218 Historange Rotationsmikrotom.

CaDi

Lieber Ronald,

so schöne Flimmerzellen/ Kinozilien habe ich lichtmikroskopisch noch nie gesehen.
Und elektronenmikroskopisch nur im REM, also nicht vergleichbar. Das letzte Bild
mit den 7.7µm Kinozilien ist "der Hammer!".

Viele Grüße,
Carsten

Rawfoto

Hallo Ronald

Die qualitaet ist unglaublich, Dein zweites Bild ist unglaublich ...

Danke & liebe Gruesse

Gerhard
Gerhard
http://www.naturfoto-zimmert.at

Rückmeldung sind willkommen, ich bin jederzeit an Weiterentwicklung interessiert, Vorschläge zur Verbesserungen und Varianten meiner eingestellten Bilder sind daher keinerlei Problem für mich ...

Ronald Schulte

@Carsten und Gerhard,

Danke meine Herrn für den Lob.
Manchmal glaube ich auch meine Augen nicht was die Kunststoff Technik alles möglich macht.

Grusse Ronald
Mikroskope:
Leitz Orthoplan (DL, AL-Fluoreszenz und Diskussionseinrichtung).
Leica/Wild M715 Stereomikroskop.
Mikrotom:
LKB 2218 Historange Rotationsmikrotom.