Zur Eignung des Leitz Planachromaten NPl 25/0.50 170/0,17 in der Histologie

Begonnen von Heino Lauer, März 23, 2015, 17:17:27 NACHMITTAGS

Vorheriges Thema - Nächstes Thema

Heino Lauer

Hallo,

angeregt durch eine parallele Diskussion im Mikromarkt habe ich das Leitz NPl 25/0.50  170/0,17 etwas genauer untersucht.


Meine Fragestellung:

- Wie ist die Ebnung dieses Planachromaten im Vergleich zu einem Plan-Apochromaten unter der Nutzung eines großen Sehfeldes am Orthoplan?

- Wie groß sind die Unterschiede, die sich bei vergleichender Anwendung dieser beiden Objektive am histologischen Präparat darbieten?


Die Objektive:

Ein Planachromat Leitz NPl 25/0.50  170/0,17 (nachfolgend NPl 25 genannt)  und ein Plan-Apochromat 25/0.65  160/0,17 (nachfolgend als PL APO 25 bezeichnet).

Das Leitz NPl 25 ist als Normal-Plan bezeichnet; die Ebnung reicht für das 18er Sehfeld.

Beide Objektive haben eine Abgleichlänge von 45 mm und waren für diesen kleinen Versuch nebeneinander im Revolver des Leitz Orthoplan eingeschraubt. Die Fotos wurden mit der Canon EOS 1000d  gemacht, das Fotookular war ein Periplan GW 8x Brille. Adaption der Kamera über ein Weitwinkelobjektiv. Die visuelle Beobachtung über Okulare Periplan GW 8x Brille M, Tubusfaktor 1,00.


Vorgehen:

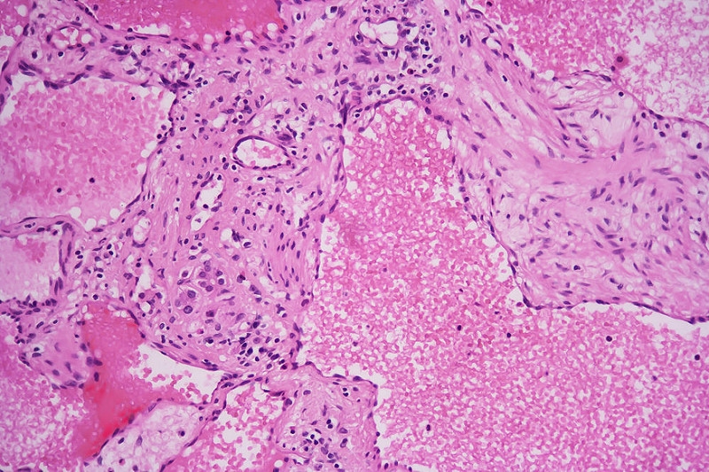
Jeweils eine Aufnahme eines Objektmikrometers, sodann jeweils ein Foto eines histologischen Routine-Präparates, eines kavernösen Hämangioms der Leber, in HE - Färbung. Die beiden Objektive sind nicht vollständig parfokal und auch nicht parzentrisch. Zum Ausgleich der Schärfe genügte aber ein geringes Nachstellen des Feintriebes. Das Fokussieren erfolgte unter Vergrößerung am Monitor, beim histologischen Präparat an einem Zellkern, um Unterschiede in der Güte der Scharfstellung so weit es mir möglich war auszuschliessen. Die RAW Dateien wurden in Adobe Lightroom importiert und dort identisch bearbeitet.


Ergebnisse:

Visuelle Beobachtung: Das übersehbare Feld hat nach dem Objektmikrometer einen Durchmesser von 0,94 mm. Unter dem PL APO 25 sind die Linien des Objektmikrometers bis zum Sehrand ohne sichtbare Einschränkung scharf abgebildet. Unter dem NPl 25 gibt es einen Unschärfebereich von umlaufend 3 bis 4/100 Millimeter Breite.

Fotografie: Mit der vorliegenden Adaption kann ich unter den beschriebenen Bedingungen eine Objektbreite von 0,7 mm abbilden. Beide Objektive zeichnen die Linien des Objektmikrometers bis an den Bildrand scharf. Am histologischen Präparat erscheinen einige tiefere Partien weniger gut durchgezeichnet, aber einen wesentlichen Unterschied vermag ich nicht zu erkennen.

Insgesamt erscheint mit das Bild des Plan-Apochromaten ganz etwas "knackiger".


Mein Fazit:  

Die Ebnung des vorliegenden NPl 25 geht weit über "Normal-Plan" hinaus. Bei etwas reduzierten Ansprüchen an die Ebnung in der visuellen Beobachtung kann man mit einem Bereich reduzierter Schärfe von weniger als 10% des Sehfeldes am Orthoplan durchaus befriedigend arbeiten. Bei kleineren Sehfeldern kann man zumindest das vorliegende NPl 25 als echten Planachromaten bezeichnen. Inwieweit sich das auf die gesamte NPl - Objektivreihe übertragen lässt, konnte ich nicht prüfen, bin mir aber nach dieser Erfahrung sicher, und mir wurde dies von einem erfahrenen Mikroskopiker bestätigt, das Leitz in der Ebnung erhebliche Sicherheitsreserven berücksichtigt hat. Der Vergleich am histologischen Präparat hat mir gezeigt, das es für diesen Anwendungsbereich nicht zwingend Plan-Apochromaten sein müssen. Aber es ist schön, sie zu haben.


Hier nun noch die Bilder:



Abb.1  Objektmikrometer mit Leitz NPl 25/0.50  170/0,17    (kleinster Linienabstand 1/100 mm)





Abb. 2  Objektmikrometer mit Leitz PL APO 25/0.65  160/0,17    (kleinster Linienabstand 1/100 mm)





Abb. 3   Präparat eines kavernösen Hämangioms mit Leitz NPl 25/0.50  170/0,17    





Abb. 4  Präparat eines kavernösen Hämangioms mit Leitz PL APO 25/0.65  160/0,17


Über Anregung und Kritik freue ich mich.


Herzlicher Gruß

Heino

Schrodt

Hallo Heino,

zur Leistungsfähigkeit der Leitz NPL-Planachromaten möchte ich folgenden Beitrag anfügen. Hier NPL 10 x / 0.20 P !  Achat-Dünnschliff.









Nach meiner Ansicht sind auch im Randbereich beim Sehfeld 28 kaum Unschärfen zu erkennen.

Viele Grüße
Jürgen aus Hemer

Ronald Schulte

Heino,

Tollen Beitrag!

Ich finde auch das Planapo Bild etwas Knackiger aber nur etwas. Es sind die Details die das unterschied machen aber finde das wohl ganz wichtig.
Auch finde ich nicht immer die Planapo's die besten für die Histologie, ausgenommen natürlich das 63x mit NA von 1.4. Meist finde ich das die Fluotare ein sehr schönes Knackiges Bild erzeugen. Für die Fluoreszenz z.B. nehme ich gerne das Fluotar 40x weil das besser aussieht wie mit ein Planapo 40x.

Grusse Ronald
Mikroskope:
Leitz Orthoplan (DL, AL-Fluoreszenz und Diskussionseinrichtung).
Leica/Wild M715 Stereomikroskop.
Mikrotom:
LKB 2218 Historange Rotationsmikrotom.

Heino Lauer

Hallo Jürgen,

vielen Dank für Deine wertvolle Ergänzung.

Sehe ich das richtig, Du kannst mit Deiner Adaption den Sehfeldrand abbilden?

Herzlicher Gruß

Heino

Heino Lauer

Lieber Ronald,

danke für Dein Lob!

Vielleicht wäre der Unterschied deutlicher ausgefallen, wenn der Vergleich an einem Deiner sehr dünnen Schnitte gemacht worden wäre?

Herzlicher Gruß

Heino

Schrodt

Hallo Heino,

ja, ich bilde bei meiner Canon G11-Adaption das volle Sehfeld ab.

Viele Grüße
Jürgen aus Hemer