Hauptmenü

HISTOLOGIE: Florfliege

Begonnen von Peter Herkenrath, April 21, 2015, 09:42:11 VORMITTAG

Vorheriges Thema - Nächstes Thema

Peter Herkenrath

Guten Tag,

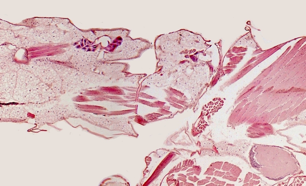
hier ist ein Übersichtsbild der Florfliege Chrysopa, die man in Gärten häufig findet. Man erkennt v.r.n.l. den Kopf mit Gehirn und Facettenauge, die Brust mit der mächtigen Flugmuskulatur. Der Hinterleib ist ausgefüllt vom Fettkörper, und in Höhe des Übergangs von Mitteldarm zu Enddarm mehrere Organe. Die Strukturerhaltung ist schlecht, weil ich bei der Fixierung Fehler gemacht habe, deshalb lohnt eine höhere Vergrößerung leider nicht.

Wie das Tier von außen aussieht, zeigt Heike (Rheinweib) in ihrem einschlägigen Beitrag. https://www.mikroskopie-forum.de/index.php?topic=21432.msg160147#msg160147.

Grüße, Peter




Chrysopa, Paraffinschnitt, Färbung H.E.

Ronald Schulte

Peter,

Ich freue mich Gans, endlich mal wieder was Histologie! ;)

Mag sein das etwas beim Fixieren schief gegangen ist aber den Übersicht ist Prima gelungen. Wieviele aufnahmen hast du hier gebraucht?
In die Muskulatur sehe ich was Bruchstellen aber bedenke das Muskulatur meist gar nicht so einfach ist um das schön Egal zu schneiden.
Was ist bei dir denn schief gegangen? Jürgen Harst hat viel Erfahrung mit Fixierungen von Insekten, vielleicht meldet er sich noch.

Grüße Ronald
Mikroskope:
Leitz Orthoplan (DL, AL-Fluoreszenz und Diskussionseinrichtung).
Leica/Wild M715 Stereomikroskop.
Mikrotom:
LKB 2218 Historange Rotationsmikrotom.

Jürgen H.

Lieber Peter,

da hast Du aber die sagittale Schnittebene fast vollständig perfekt median getroffen! Den Darm sieht man ja beinahe auf der gesamten Länge. Der Kopf ist wohl ein wenig verdreht: So sieht man ein Komplexauge sehr schön.

Was für eine Fixierung hast Du denn verwendet? Und wie ist Dein Einbettungsprotokoll?

Und auch, wenn Du meinst, größere Vergrößerung lohne sich nicht, so würde ich doch gerne wissen, wie einzelne Strukturen näher aussehen. Ich habe dazu einmal Dein Photo mit ein paar Pfeilen versehen:




Pfeil 1 dürfte die Übergangsstelle zum Hinterdarm zeigen. An der Pfeilspitze ist daher vermutlich die Einmündung der Malphigischen Gefäße zu sehen. Die Strukturen darunter erschließen sich mir in dieser Vergrößerung nicht. Bei Pfeil 2 rästele ich ebenfalls. Pfeil 3 ist vermutlich eine Drüse (Speicheldrüse?). Ein Thorakalganglienknoten ist auch unter dem Darm zu erkennen. Das Auge weist eine auffällige Färbung auf... rote Striche, wo die Ommatidien sein dürften. Pigmente zur optischen Abschirmung der einzlnen Ommatidien?


Danke fürs Zeigen und schöne Grüße

Jürgen

Peter Herkenrath

Hier sind die Details, die Jürgen gefordert hat, vielleicht lohnt ein genaueres Hinsehen ja doch.









Ja, die Schnittebene ist wirklich wunderbar getroffen. Weil es so ein extremes Querformat ist, musste ich vier Bilder stitchen, hat mir einige Mühe gemacht.
Es hieß, dass man man Insekten sinnvoll mit AFE fixiert, das kannte und hatte ich. Dass die Zoologen unter dieser Bezeichnung eine viel stärkere Mischung verstehen als die Botaniker, erfuhr ich erst, als der Block fertig war. Man sollte die Tiere wohl auch entfetten, weil die Chitinhülle mit Hartwachs imprägniert ist. Und die Histologie-übliche Entwässerung
mit zwei Portionen Isopropanol ist für Insekten wohl nicht gründlich genug. Auch diese Informationen erreichten mich zu spät.

Gruß, Peter

Ronald Schulte

Peter,

Wenn du jetzt weist was du falsch gemacht hast ist ein zweitversuch doch sicher lohnend.
Vieleicht wäre dann ein grossbild, die du mit zoomify einstellst, mal was. So wie ich hier schon mal eingestellt habe.

Grüße Ronald
Mikroskope:
Leitz Orthoplan (DL, AL-Fluoreszenz und Diskussionseinrichtung).
Leica/Wild M715 Stereomikroskop.
Mikrotom:
LKB 2218 Historange Rotationsmikrotom.

Jürgen H.

Lieber Peter,

herzlichen Dank für Deine Mühe, weitere Bilder einzustellen. Leider kann ich mit der Identifizierung der Strukturen nicht weiterhelfen. Bloße Vermutungen möchte ich nicht äußern.

Ich sehe, was Du mit unzureichender Fixierung meinst. Was verstehst Du unter stärkerer AFE Mischung? Vermutlich ein höherer Prozentsatz Formol? 

Seifert empfiehlt in seinem "Entomologischen Praktikum" pauschal 50 ml. ETOH abs. 30 ml. Formol und 5 ml Eisessig. Davidson geht von 33 ml ETOH 95% 22 ml Formalin, 11,5 ml Eisessig und 33,5 ml aqua dest. aus.  Ich selbst war mit den AFE Fixierungen nicht so zufrieden, sie lieferten bei mir Bilder, die ich als leicht verwaschen empfunden habe. Ronald hat für seine Kunststoffeinbettung Glutaraldyd verwendet, aber das ist eine andere Liga.

In jedem Fall ist zu empfehlen, nur Teilstücke eines Tieres zu verwenden oder doch zumindest das Tier anzustechen oder anzuritzen um das leichte Eindringen des Fixans und der weiteren Flüssigkeiten zu erleichtern (wie Ronald das bei dem gezeigten wunderbaren Präparat der drosophila gemacht hat, indem er das Ende abgeschnitten hat.

Die Entwässerung mit Iso funktioniert. Allerdings verwende ich Iso, das über Molekularsieb trocken gehalten wurde. Als Intermedium für die Paraffineinbettung ist ISO bei Insekten meiner bescheidenen Ansicht nach hingegen im Hinblick auf die Ergebnisse nicht optimal.

Wenn Du weitere Versuche mit Insekten startest wäre ich sehr daran interessiert, weitere Ergebnisse von Dir zu sehen!


Schöne Grüße

Jürgen

Peter Herkenrath

@Ronald, Jürgen
Von mir kommt sicher noch was zu Insekten. Und zu Schnecken. Und zu diversen botanischen Themen. Ich habe reichlich Ideen, um qualitativ besser zu werden, da ist viel Luft nach oben. Danke für eure Hinweise.

Gruß, Peter