HISTOLOGIE oder doch PATHOLOGIE im Zungenschnitt; Mastzellen!

Begonnen von Ronald Schulte, Mai 13, 2015, 22:08:16 NACHMITTAGS

Vorheriges Thema - Nächstes Thema

Ronald Schulte


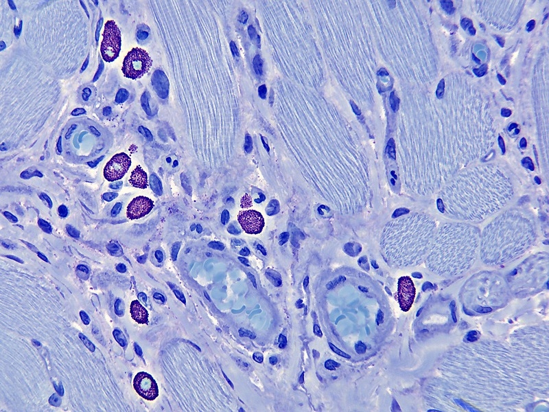
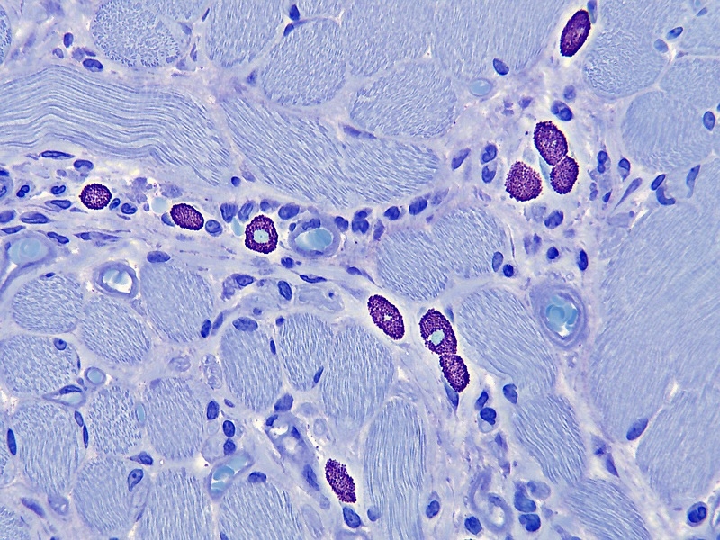
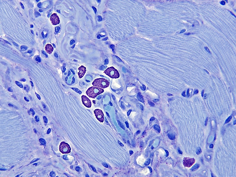
Immer schon habe ich mich gewundert warum in ein meine Maus-Zungenschnitte so viele Mastzellen zu sehen sind. Meine erste Meinung war immer das so was nicht Gans Normal sein muss aber da habe ich mich doch geirrt! Mein letztes Maus Buch gibt da die Antwort. Ist Gans Normal, die gehören da einfach!







Vier Bilder von ein Plastikschnitt.
Farbung: Toluidin Blau;
Objektiv: Leitz Planapo 40x
Kamera: Moticam 2300 am Leitz Orthoplan.













Grüße Ronald
Mikroskope:
Leitz Orthoplan (DL, AL-Fluoreszenz und Diskussionseinrichtung).
Leica/Wild M715 Stereomikroskop.
Mikrotom:
LKB 2218 Historange Rotationsmikrotom.

Jan Kros

lieber Ronald,
das ist wieder eine schoenen Beitrag
die Bilder sind hervorragend
gruss
Jan

Fahrenheit

#2
Lieber Ronald,

die Schnitte und Bilder sind mal wieder fantastisch!
Danke für die interessanten Erläuterungen, Deine Beiträge lese ich auch als Pflanzenschnippler immer wieder gerne.

Herzliche Grüße
Jörg
Hier geht's zur Vorstellung: Klick !
Und hier zur Webseite des MKB: Klick !

Arbeitsmikroskop: Leica DMLS
Zum Mitnehmen: Leitz SM
Für draussen: Leitz HM

Ronald Schulte

Jan, Jörg,

Danke für euren Lob. Ja die Mastzellen bleiben immer mein Favorit, die Farben sich so schon metachromatisch und sind mit die viele scharfe Körnchen immer sehr schon um zu sehen.

Grusse Ronald
Mikroskope:
Leitz Orthoplan (DL, AL-Fluoreszenz und Diskussionseinrichtung).
Leica/Wild M715 Stereomikroskop.
Mikrotom:
LKB 2218 Historange Rotationsmikrotom.