HISTOLOGIE: Spermatogenese Heuschrecke (Durchlicht und Auflicht Fluoreszenz).

Begonnen von Ronald Schulte, August 31, 2015, 21:36:14 NACHMITTAGS

Vorheriges Thema - Nächstes Thema

Ronald Schulte


Angeregt durch den 'physocephala rufipes Abdomen' Beitrag von Jürgen Harst habe ich mal versucht um die Spermien eine Heuschrecke zu Präparieren in Paraffin.
Ein Praktikum von die Universität Hamburg hat mich weitergeholfen um mich in die Histologie ein zu arbeiten (http://www.uni-hamburg.de/biologie/BioZ/zis/tph/Gametogenese.pdf.

Die Hoden wurde Fixiert in Formol 4% und eingebettet in Paraplast Plus.
Geschnitten am A&O 820 Mikrotom.
Färbungen sind HE und DAPI für Fluoreszenz.
Bilder wie üblig am Leitz Orthoplan und Moticam 2300.























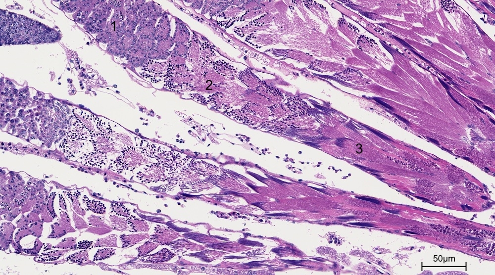
1 = Region der Spermatozyten;
2 = Region der Spermatiden;
3 = Region der fertigen Spermien.





Angefarbt mit DAPI (4',6-diamidino-2-fenylindool) und mit Leitz Filterblock A im UV Licht betrachtet.





Das DNA haltige Teil von die Spermien sind Purper angefarbt.





Ein Querschnitt von ein Tubuli zeigt auch hier die Quersgeschnittene Schwanzen wie Rote Punkte, den Spermienkopf ist Dunkelblau.





Ein Querschnitt in Fluoreszenz.





Schön zu sehen wie die Spermien zusammenhalten, sogenannte 'Spermatodesms'.




















Viel spaß beim anschauen, Ronald
Mikroskope:
Leitz Orthoplan (DL, AL-Fluoreszenz und Diskussionseinrichtung).
Leica/Wild M715 Stereomikroskop.
Mikrotom:
LKB 2218 Historange Rotationsmikrotom.

koestlfr

Liebe Grüße
Franz

Oecoprotonucli

Hallo Ronald,

grossartig wie immer...! Hast Du eventuell noch stärkere Vergrößerungen, auch aus der apikalen Region? Ich würde mir ein paar Meiosestadien erhoffen...

Viele Grüße

Sebastian
Ich benutze privat:
Leitz SM-Lux mit (LED-) Durchlicht und Phaco-Ausrüstung (ca. 1975-77)
Hensoldt Wetzlar Stereomikroskop DIAMAL (1950er Jahre)

Jürgen H.

Lieber Ronald,

was für ein schöner Beitrag und was für phantastische Bilder!

Mich erstaunt immer wieder, wie sich die Spermien bei den Insekten in ihren Zysten schön geordnet und zeitlich synchron entwickeln.Vor allem die strikt gleichzeitige Ausbildung der verschiedenen Stadien hat es mir angetan. Hierüber würde ich gerne mehr wissen.

Hast Du entsprechend der Anleitung, die Du verlinkt hast, die Hoden separiert und eingebettet? So isoliert würde sicher auch eine Kunststoffeinbettung zu phantastischen Ergebnissen führen!

Dem Wunsch von Sebastian nach stärkerer Vergrößerung aus der apikalen Region schließe ich mich an.

Schöne Grüße und Dank für den schönen Beitrag

Jürgen

Ronald Schulte

@Sebastian,

Stärkere Vergrosserungen leidet in diesen Schnitt nur zu unscharfe. Diesen Schnitt war eigentlich nur als Probe gedacht um zuerst mal aus zu finden ob ich die richtige stelle erwischt habe (in eine Maus oder Ratte kenne ich mich besser aus wie in ein Insekt. Maus oder Ratte ist wesentlich einfacher!). Die Schnittdicke ist hier viel zu dick um die Bilder zu sehen was ich sehen möchte. Darum wird das kommende Block auch in Kunststoff eingebettet.


@Jürgen,

Ja die Präparation habe ich genau so gemacht wie im Praktikum nur habe es nicht zerquetscht sondern in Paraplast eingebettet. Ich habe noch weitere Heuschrecken im Fixativ und weil ich jetzt weis das ich richtig ausgenommen habe wird das nächste Block in Kunststoff eingebettet. Dann kann ich bis 1,5µm schneiden und auf das Ultra bis zu 0,8-0,9µm. Meist sind die Chromosomen dann besser zu sehen und zu Fotografieren mit grossere Vergrosserungen.
Warten wir es mal ab ob es gelingt.

Grüße Ronald
Mikroskope:
Leitz Orthoplan (DL, AL-Fluoreszenz und Diskussionseinrichtung).
Leica/Wild M715 Stereomikroskop.
Mikrotom:
LKB 2218 Historange Rotationsmikrotom.

Oecoprotonucli

Zitat von: Ronald Schulte in September 01, 2015, 22:54:04 NACHMITTAGS
Dann kann ich bis 1,5µm schneiden und auf das Ultra bis zu 0,8-0,9µm. Meist sind die Chromosomen dann besser zu sehen und zu Fotografieren mit grossere Vergrosserungen.
Warten wir es mal ab ob es gelingt.

Hallo Ronald, ich drücke die Daumen und freue mich schon bzw. hoffe, dass es so toll wie viele Deiner anderen hier gezeigten Schnitte wird!

Besten Gruß

Sebastian
Ich benutze privat:
Leitz SM-Lux mit (LED-) Durchlicht und Phaco-Ausrüstung (ca. 1975-77)
Hensoldt Wetzlar Stereomikroskop DIAMAL (1950er Jahre)

Ronald Schulte

Sebastian,

Das auspräparieren von neue Hoden und einige Ovarien (denke ich jedenfalls) ist gelungen und die Teile liegen schon im Fixativ. Ich habe genug Material um verschiedene Blöcke für das Historange und für mein Ultramikrotom her zu stellen.
Dauert natürlich noch was Wochen aber kommt!

Grüße Ronald
Mikroskope:
Leitz Orthoplan (DL, AL-Fluoreszenz und Diskussionseinrichtung).
Leica/Wild M715 Stereomikroskop.
Mikrotom:
LKB 2218 Historange Rotationsmikrotom.

Oecoprotonucli

Ich benutze privat:
Leitz SM-Lux mit (LED-) Durchlicht und Phaco-Ausrüstung (ca. 1975-77)
Hensoldt Wetzlar Stereomikroskop DIAMAL (1950er Jahre)