Hauptmenü

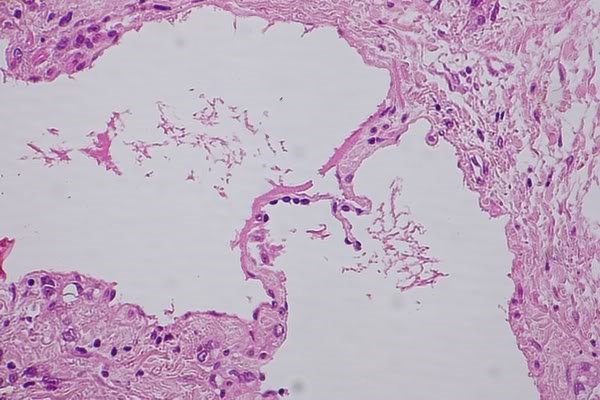
Lymphgefäß mit Klappe

Begonnen von CaDi, September 10, 2009, 17:37:28 NACHMITTAGS

Vorheriges Thema - Nächstes Thema

CaDi

Hallo,

hier zu sehen ein Zufallsfund, eine angeschnittene Klappe in einem Lymphgefäß.
Es handelt sich hier um einen Magen vom Menschen, Bouin-fixiert und mit H.-E. gefärbt.
Ich habe 2µm dünn geschnitten, weswegen die Zellen schön nebeneinander liegen.

Zur Aufnahmetechnik:
- Phomi I mit Canon Eos 450d, KPL 10x als Fotookular und Euromex-Adapter am Trino
- Alle Fotos sind mit Planapos (10x, 25x, 40x) gemacht.
- Ich habe pro Bildausschnitt mehrere Bereiche scharf gestellt und mit Corel Photopaint
herausgeschnitten, anschließend mit Autostitch zusammenfügen lassen.

Offensichtlich sind diese komischen Artefakte bei der Aufnahme, muss an der Kamera liegen,
haben sich gedreht als ich isoliert die Kamera gedreht hatte.
Hat jemand einen Tipp um das zu beheben?







Das Lymphsystem ist kein geschlossener Kreislauf wie das Blutsystem. Es hat seinen Ursprung "blind"
mit sehr dünnen diskontinuierlichen Lymphkapillaren im Gewebe. Es fließen baumartig mehrere Gefäße
zusammen und münden im Venensystem.

Kann jemand was zu den einzelnen Zellen sagen? SInd das auch Lymphozyten die an der
Klappe hängen?

Viele Grüße,
Carsten


Jürgen Boschert

Hallo,

das sieht für mich aus wie Staub, aber auf dem Okular. Staub auf dem Sensor kommt i.d.R. als scharfe schwarze Kllumpen im Bild rüber. Wurde beim Drehen der Kamera das KPL-Fotookular mitgedreht ?

Gruß !

JB
Beste Grüße !

JB

CaDi

Hallo,

mich stören vor allem diese "Rippchen", ich muss mir das nochmal anschauen um
herauszufinden wann es sich dreht.

Viele Grüße,
Carsten

Klaus Herrmann

Hallo Carsten,

wenn die Rippchen sich nicht mitdrehen beim Drehen der Kamera, dann ist es das was ich vermute: es ist auf dem Präparat!

Ist es mit Eiweiß-Gly aufgezogen?
Mit herzlichen Mikrogrüßen

Klaus


ich ziehe das freundschaftliche "Du" vor! ∞ λ ¼


Vorstellung: hier klicken

CaDi

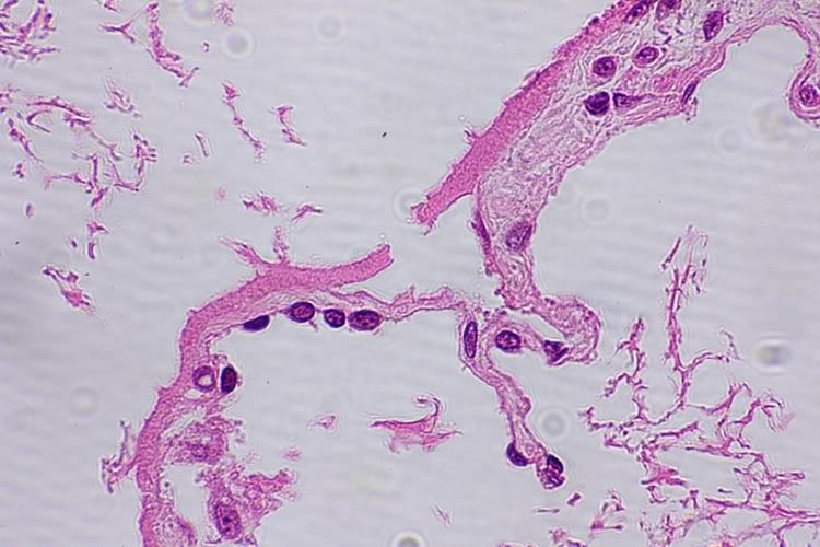
#4
Hallo Klaus,

es liegt wohl wirklich am Okular, habe es ausgewechselt und es funktioniert nun
ohne Rippchen. Woran kann das liegen? Was ist mit dem Okular?
Kann es sein, dass es durch zu starken Druck in seiner Fassung kaputt gehen kann?

Hier mal ein neues Bild, aus 2 scharfen Teilen zusammengeschnitten:



Die Farben kommen aber nicht so gut rüber, muss wohl noch etwas dran drehen.

Viele Grüße,
Carsten

Jürgen Boschert

Hallo,

nein, ich glaube nicht dass es kaputt ist. Könnte da vielleicht ein hauchzarter Fingerabdruck irgendwo drauf sein ? Einfach mal mit der Lupe oder dem Stemi mit schrägem Auflicht durchmustern.

Gruß !

JB
Beste Grüße !

JB

Ronald Schulte

Carsten,

Sehr schön um wider was Histologie zu sehen. Sieht aus wie eine HE Färbung, stimmt das?

Grüße Ronald
Mikroskope:
Leitz Orthoplan (DL, AL-Fluoreszenz und Diskussionseinrichtung).
Leica/Wild M715 Stereomikroskop.
Mikrotom:
LKB 2218 Historange Rotationsmikrotom.

reblaus

@CaDi -
Ja, es müsste sich um Lymphocyten handeln: Sollten etwa 12 µm groß sein (aus deinen Bildern leider nicht zu entnehmen), und bestehen fast ausschließlich aus Kern und ganz wenig Plasma.

Gruß
Rolf