Hauptmenü

Pilzfragmente präparieren

Begonnen von KlausB, Juli 02, 2016, 19:36:16 NACHMITTAGS

Vorheriges Thema - Nächstes Thema

KlausB

Hallo,
ich versuche gerade Pilzfragmente zu prärarieren.

Habe kleine Lamellenabschnitte eines Champignons in AFE eingelegt für mehrere
Stunden. Danach ausgewaschen mit dest. Wasser, und anschließend mit Kongo rot
gefärbt für ca. 30 min.

Danach von Hand mit Rasierklinge geschnitten und
a.) mit Isopropylalk. Wasser ausgewaschen (3 mal wechseln innerhalb von 5 min.),
danach eindecken mit Euparal.
Ergebnis: Zystiden, Basidien, Hyphen total verformt, nichts mehr zu erkennen

b.) sofort eingedeckt mit Hydro Matrix.
Ergebnis: Zystiden, Basidien, Hyphen total verformt, nichts mehr zu erkennen

Liegt es an der Fixierung mit AFE?
Welche andere Fixierung wäre dann sinnvoll?

Ich habe auch schon versucht ohne Fixierung direkt in Hydro Matrix oder Glyceringelatine
nach Kisser einzudecken. Das Ergebnis war auch nicht besser.

Wer kann mir Tips geben, wie ich solche Präparate herstellen kann ohne dass sich
Zystiden, Basidien, Hyphen total verformen.

Danke
Klaus
Zeiss Phomi III im Einsatz
Zeiss OPMI als Stereo

Web-Seite:
https://www.freizeit2012undmehr.com/

Peter Reil

Hallo Klaus,

ich freue mich, dass endlich mal jemand sich an Pilze heranwagt. Da gibt es noch viele Probleme zu lösen :)

"Fixation is the most tricky and difficult step in the preparation of fungal material" so Heinz Clémençon (2009) in "Methods for Working with Macrofungi". Das sagt eigentlich schon alles. Die bei Clémençon angegebenen Fixiermöglichkeiten sind leider nicht so einfach zu handhaben  und es werden Chemikalien gebraucht, die schwierig zu beschaffen sind.

Pilzmaterial ist recht empfindlich, so dass ich auch keine Einfachlösung parat habe. Einigermaßen brauchbare Ergebnisse erziele ich (teils ohne Fixierung) mit Glyceringelatine und Hydromatrix. Färbungen sind zwar möglich (Baumwollblau klappt prima), viele aber nicht haltbar. Sie verschwinden nach ein paar Tagen wieder.
Ich färbe übrigens erst die fertigen Schnitte, das geht dann in wenigen Sekunden/Minuten.

Aber meine Ergebnisse sind mäßig, so dass sie - bis jetzt - kaum vorzeigbar sind.

Freundliche Grüße
Peter


PS: Das ist ein wirklich tolles, unbedingt empfehlenswertes Buch, das wahrscheinlich aber vergriffen ist.
Meine Arbeitsgeräte: Olympus BHS, BHT, CH2, CHK, Olympus SZ 30, antikes Rotationsmikrotom

Günter

#2
Hallo Klaus,

die Morphologie der Pilze interssiert mich auch, jedoch wohl kein einfaches Thema.
Wenn Peter schon keine Bilder zeigen mag ...

Ich habe keine Erfahrung mit Fixierung und Dauerpräparaten von Pilzen. Aber immer mal aufmerksam geschaut, ob ich was dazu finde. Hier ein paar Stichworte für Dich, vielleicht helfen sie Dir zum Weitersuchen.

In "Mein erster Histo-Pilz" http://www.pilzforum.eu/board/thema-mein-erster-histo-pilz hat Drosophila / Verena Schnitte vorgestellt, "Bouin-fixiert, in Paraffin eingebettet, geschnitten (auf silanisierte OT), HE-gefärbt und in Eukitt eingedeckt". Allerdings war das Objekt wohl weniger empfindlich wie Dein Champignon.

Für dünne Schnitte hatte  Jürgen Marqua die PEG-Methode erwähnt http://www.pilzforum.eu/board/thema-handmikrotom?pid=275456#pid275456. Ob das dann Dauerpräparate sind weiß ich nicht.

In der Botanischen Mikrotechnik von Dieter Gerlach sind 1 1/2 Seiten den Pilz-Präparaten von fixiertem Material gewidmet.
U.a. schreibt er dort "Handschnitte werden meistens ohne vorherige Färbung in Glyceringelatine eingeschlossen, falls sie zu Dauerpräparaten verarbeitet werden sollen" . Dies hattest Du und Peter ja auch schon genannt. Und " ... Paraffineinbettung bereitet bei Pilzen oft große Schwierigkeiten ... "

Ich würde mich freuen, wenn Du von Deinen Erfahrungen berichtest, ob erfolgreich oder nicht.

Grüße
Günter
über mich   
Folge denen, die die Wahrheit suchen.
zweifle an denen, die sie gefunden haben.

Bernhard Kaiser

Hallo Klaus,

versuchen Sie bitte folgendes:
Pilzmaterial in lufttrockenem Zustand mit der Rasierklinge unter dem Bino schneiden. In einen Tropfen dem. Wasser schieben, Deckglas auflegen. Sind Sie mit 1 oder mehreren Schnitten zufrieden, lassen Sie das Wasser verdunsten und fixieren Sie das Deckglas unter etwas Druck an den 4 Ecken mit jeweils einem kleinen Tropfen Nagellack. Sie können nun dem. Wasser an eine Seite des Deckglases geben, dann haben Sie ein Wasserpräparat, oder Kongorotlösung zugeben. Oder wässrige Anilinblaulösung. Saure Farbstoffe färben Pilze. Basische Farbstoffe sind meistens ungeeignet. Ausprobieren!
Um das Präparat aufzubewahren, immer eintrocknen lassen.

Berichten Sie bitte wieder.

mit freundlichen Grüßen
Bernhard Kaiser

KlausB

Hallo Peter und Günter;

danke für Euren Input.

Peter, ja, ich habe das Buch von H. Clemencon, und obwohl das alles sehr kompliziert erscheint
habe ich mal versucht eine Möglichkeit der Präraration von Pilzfragmenten für Hobbymykologen zu finden.

Auf der Seite 53 ist eine Alternative Fixierungsmöglichkeit beschrieben, die ich einmal testen will:

"Alternative Fixation Methods
1.   Good general fixation with some sacrifice on the conservation of the cytoplasm gives the mixture proposed by PFEIFFER (1889) for fresh water algae. It consists of equal volumes of concentrated formaldehyde, absolute methanol and rectified wood vinegar. Wood vinegar (o.g. Chroma 3L 147) can be replaced by 10% acetic acid. But the results are inferior. Fix for 12-24 h, then wash with two changes of 40% ethanol for a total of 6-12 h and dehydrate with methyl cellosolve."


In der Mischung die hier verwendet wird, werden wohl die gleichen Komponenten verwendet wie in AFE, nur in einer anderen Zusammensetzung.
Ich werde das mal probieren, da ich die Komponenten zur Verfügung habe. Vielleicht bringt das mehr Erfolg.
Das Auswaschen mit Ethanol ist auch ok, allerdings ist das anschließende dehydrieren für mich noch unklar. "Methyl cellosolve" = Methylglycol, weiss ich noch nicht wo ich das herbekomme.
Vielleicht hat ja jemand noch Tips.

Ich glaube das Färben ist nicht so das Problem, wenn die Fixierung gelungen ist. Das Eindecken werde ich dann nochmal mit Hydro Matrix versuchen.
(das war dein Tip, den du mir auf der Kornrade gegeben hast, und der war wirklich Klasse)

Natürlich bleibt bei Pilzen immer die Möglichkeit diese zu trocknen, und dann bei Bedarf wieder einzuweichen und zu untersuchen.
Viel lieber würde ich aber Dauerpräparate herstellen, die ich analysieren kann, wann immer ich will.

Bei Sporen klappt das ja ganz gut, wobei ich da aber auch den Eindruck habe, dass diese etwas schrumpfen (ca. 10-20%).


@ Günter
Danke für den Hinweis.
Die Bilder die in dem Posting auf pilzforum.eu dargestellt sind, sind so ählich wie die, die ich auch erhalte. Da ist anscheinend
nichts mehr zu erkennen. Das Einbetten in Paraffin funktioniert nur wenn das Präparat vorher entwässert wird. Ich habe auch
schon mal versucht einen Abschnitt vom Frischpilz einfach so in Paraffin einzubetten. Das Paraffin dringt aber nicht wirklich in das
Präparat ein, so dass man das vergessen kann.
Ich habe das Einbetten mit PEG versucht, und das geht wesentlich besser. Man kann das auch ganz gut schneiden, allerdings
sind mir bisher nur Schnitte gelungen in der Größenordnung ca. 40-50µ mit einem Jung Schlittenmikrotom und Leica Einmalmessern.
Da muß ich noch weiter üben.

Bevor ich jedoch das Einbettungsthema noch mal angehe, möchte ich zuerst das Fixierungsproblem lösen.
Dazu werde ich den Versuch machen mit dem Fixiermittel wie oben beschrieben, und dann anschließend von Hand schneiden,
färben und dann eindecken.

Mal sehen was rauskommt

Viele Grüße
Klaus
Zeiss Phomi III im Einsatz
Zeiss OPMI als Stereo

Web-Seite:
https://www.freizeit2012undmehr.com/

KlausB

Hallo Bernhard,

danke für den Hinweis.

Mit dieser Technik, kann ich dann das Präparat in getrockneter Form unter dem Deckglas aufbewahren.
Um das Prärarat zu einem späten Zeitpunkt wieder anschauen zu können muß ich es dann aufweichen.

Das ist dann fast das gleiche Prizip wie das arbeiten mit Exsikaten.
Ich möchte aber gerne so konservieren, wie auch Pflanzenschnitte behandelt werden.

Vielleicht ist das ja bei Pilzen nur sehr schwierig möglich und für das Hobby ungeeignet.

Mal sehen

Viele Grüße
Klaus
Zeiss Phomi III im Einsatz
Zeiss OPMI als Stereo

Web-Seite:
https://www.freizeit2012undmehr.com/

Klaus Herrmann

Hallo Klaus,

Zitat"Methyl cellosolve" = Methylglycol, weiss ich noch nicht wo ich das herbekomme.
Vielleicht hat ja jemand noch Tips.

Methylglycol habe ich nicht, aber Ethylglycol ("Ethylcellosolve") dürfte ähnlich gut geeignet sein, die Eigenschaften sind ziemlich ähnlich.
Pfeiffers Fixiergemisch habe ich gerade angesetzt, aber das hast du ja. Der Holzessig riecht intensiv nach schwarzwälder Schinken. ;) Warum Essigsäure nicht so gut geeignet ist? Vielleicht sind es die Nebenprodukte.
Mit herzlichen Mikrogrüßen

Klaus


ich ziehe das freundschaftliche "Du" vor! ∞ λ ¼


Vorstellung: hier klicken

Peter Reil

Hallo Klaus,

ich habe mal rausgesucht, was ich so habe und an dem man auch noch ein bisschen etwas erkennen kann.



Russula olivacea, ein Täubling, Lamellenschnitt, gefärbt mit Baumwollblau, in Euparal. Zystiden und Sporen blieben einigermaßen erhalten.



Eine Hymenochaete-Art, Fruchtkörperquerschnitt, die sehr festen Zystiden, Haare und Skeletthyphen sind nicht totzukriegen, der Rest kaum zu erkenen und deformiert, unfixiert, Euparal.



Eine Myxomphalia-Art, Lamellen perradial, Basidien sehr schön zu sehen, wie auch die Sporen. 8 µm dick, Hämatoxylin-Eisenchlorid-Färbung, Entellan. Ein Präparat von Clémençon - leider nicht von mir.

Natürlich freue ich mich über Versuche und Ergebnisse anderer!

Freundliche Grüße
Peter


Meine Arbeitsgeräte: Olympus BHS, BHT, CH2, CHK, Olympus SZ 30, antikes Rotationsmikrotom

Günter

Hallo,

ZitatWarum Essigsäure nicht so gut geeignet ist? Vielleicht sind es die Nebenprodukte.

Das vermutet Armin Eisner hier http://www.aeisner.de/index.html auch.
Fixiergemisch nach Pfeiffer gibts dort ebenfalls  http://www.aeisner.de/rezepte/fixant54.html.

Grüße
Günter
über mich   
Folge denen, die die Wahrheit suchen.
zweifle an denen, die sie gefunden haben.

Bernhard Kaiser

#9
guten Morgen Herr Reil,

die Myxomphalia-Aufnahme finde ich sehr gut.

Mit freundlichen Grüßen
Bernhard Kaiser

liftboy

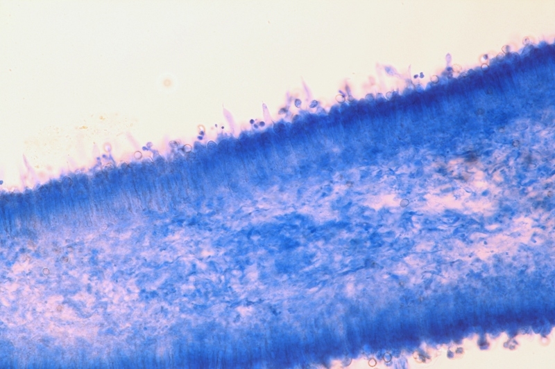
Hallo erstmal,

so wil ich denn auch etwas dazutun.
Hier ein Bresser-Präparat eines weißen Champignons (Agaricus arvensis)



Für ein gekauftes Präparat recht gut gelungen; Färbung vermutlich Bauwollblau.
Das Foto ist nur ein Schnellschuß und unbearbeitet.

Grüße
Wolfgang
http://www.mikroskopie-forum.de/index.php?topic=785.msg3654#msg3654
LOMO-Service
Das Erstaunen bleibt unverändert- nur unser Mut wächst, das Erstaunliche zu verstehen.
Niels Bohr