Hauptmenü

Von Menschen und Mücken

Begonnen von Jürgen H., August 16, 2009, 18:06:28 NACHMITTAGS

Vorheriges Thema - Nächstes Thema

Jürgen H.

Liebe Mitmikroskopiker,

Ich finde bei meinen Mücken (Limoniidae, also keine Stechmücken) ein Organ, das ich nicht exakt einodnen kann, zu dem ich nur eine Vermutung habe.

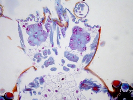
Hier ein Frontalschnitt. Gemeint sind die beiden annähernd gleichen und runden Gebilde rechts und links im Präparat.

Beim sorgfältigen Durchfokussieren des Frontalschnitts kann man erahnen, dass das Organ gegen dem Hämolymphraum durch ein feines Häutchen abgegrenzt ist (Im Photo kaum sichtbar). Außergewöhnlich große Zellkerne befinden sich an der Außengrenze des Organs zum Hämolymphraum. Zur Mitte hin sind annähernd traubenförmige einheitlich hellblau gefärbte Blasen zu erkennen, die , ebenso wie die Zellkerne, in eine feingranuläre Masse eingebettet sind. Im Zentrum findet sich ein  Hohlraum, der sich beim Fokussieren und in den Folgeschnitten als tubulär erweist und  in einem Ausführungsgang zur vorderen Mundpartie zu verlaufen scheint (hier nicht sichtbar)  Diese Röhre ist von einem scharf abgegrenzten mittelblauen Häutchen umgeben, und innerhalb der Röhre findet sich ein blauer Fleck. Auffällig sind mehrere kleine Zellkerne, die sich unmittelbar um den tubulären Hohlraum gruppieren, während sich die großen Zellkerne nur im nach außen gerichteten Bereich des Organs finden.

Das Organ ist offensichtlich paarig angelegt, der Ausführungsgang (hier nicht zu sehen)  ist ebenfalls paarig, vereinigt sich nicht.



Hier kann man die Lage des Organs im Sagittalschnitt (kleinere Vergrößerung! ganz vorne im Kopf oberhalb vom Ansatz des Palpus) orten:



In diesem  Sagittalschnitt erscheint das Organ kreisrund in der Mitte mit einem kleinen hellblauen Fleck, im Frontalschnitt ist es gleichfalls annähernd kreisrund zu erblicken.

Beide Präparate sind Pseudoazan gefärbte Paraffinschnitte von etwa 8 µ Stärke.

Beim näheren Betrachten fiel mir ein Präparat meines Schwagers ein:



Es handelt sich um ein H-E gefärbtes Präparat der Unterzungendrüse des Menschen. Interessant ist in diesem Zusammenhang das etwas oberhalb der Mitte gelegene hellrosa gefärbte kreisrunde Gebilde. Hier findet sich ebenfalls in der Mitte eine Lichtung, und am äußeren Rand Zellkerne, sowie eine hier gut sichtbare scharfe Abgrenzung des Gebildes nach außen. Dieses Gebilde ist ein muköses Endstück in der Unterzungendrüse, in dem im wesentlichen Schleime gebildet werden, Schmierstoffe, die das Schlucken der Nahrung erleichtern.

Meine Vermutung bei dem Mückenorgan geht gleichfalls dahin, dass es sich um eine Drüse handeln muss, in der Verdauungssekrete gebildet werden. Ich denke, dass die beschriebenen traubenförmigen Blasen ebenfalls einen von den Zellen sezernierten Schleim enthalten, der sich blau anfärbt, und auch noch in dem tubulären Ausgang als Rest zu sehen ist. Merkwürdig ist nur die häutige Abgrenzung des Tubus zu den Stellen. diese Abgrenzung müsste wohl, wenn eine Schleimblase reif ist, platzen, damit sich die Blase entleeren kann. Mich wundert außerdem, dass Schleim trotz der Isopropbehandlung und der Paraffineinbettung als färbbar erhalten bleiben soll.

Möglicherweise liege ich aber auch einfach mit meiner Beurteilung hinsichtlich des Mückenorgans falsch. In diesem Fall bitte ich höflich um Korrektur.

Mikrogrüße

Jürgen

CaDi

#1
Hallo Jürgen,

ein sehr schönes Präparat. Da ich mich noch nicht so lange mit der Histologie beschäftige möchte ich nur einige Ideen äußern.

- Ich glaube Du hast Recht damit dass es sich bei dem blauen Punkt in der Mitte um angefärbtes Sekret handelt.
Wahrscheinlich wird da aber kein Schleim erzeugt (jedenfalls überwiegt der Anteil der Muzine wohl nicht), weil es sich ja anfärben lässt und diese langkettigen Zucker nur z.B. mit PAS reagieren weil sie weder basophil noch eosinophil sind.
Deswegen ist es wohl eher ein seröses Sekret, darauf würde auch die Form und Anordnung der Zellkerne hindeuten. Bei mukösen Drüsen sind die "an den Rand gepresst" und nicht so schön ausgeprägt rund/oval in der Mitte der Drüsenzellen. Das Zytoplasma ist bei mukösen Drüsen auch selten so schön kräftig angefärbt sondern eher blass wie in dem anderen Bild (Unterzungendrüse).
- Das mit den Verdauungssekreten könnte stimmen, das sind Proteine die sich anfärben lassen (blauer Punkt).
Aber evtl. sind das auch diese Drüsen die das Sekret produzieren das uns die Biester "spritzen".
- Von den Drüsen der Insekten habe ich leider keine Ahnung, aber zumindest bei Säugern sind es nur die Talgdrüsen die zugrunde gehen wenn das Sekret sezerniert werden soll. Ich würde hier davon ausgehen dass es in das Drüsenlumen durch Exozytose entlassen wird.
- Eine blaue Membran habe ich leider nicht sehen können. Aber da Azan Bindegewebe ja blau anfärbt und eine Basalmembran auch daraus besteht würde ich darauf schließen dass es sich um eine Basalmembran handeln könnte. Epithel ist ja gegenüber Bindegewebe darunter durch eine Basamembran abgegrenzt, das könnte hier ja der Fall sein.
Es gibt z.B. bei Schweiß- und Duftdrüsen Myoepithelzellen, die das Sekret auspressen (nicht bei allen Drüsen). Evtl. handelt es sich ja auch darum (glaube ich aber weniger).
- Eine Detailaufnahme von einem solchen Endstück wäre hilfreich. Die roten Punkte lumenwärts, sind die wie Zellkerne aufgebaut? Könnte es sich auch um Sekretbestandteile handeln? Evtl. Ansammlungen von Vesikeln?

Ich hoffe ich liege mit meinen Vermutungen nicht völlig falsch. Dieses unterschiedliche Muster des Zytoplasmas verunsichert mich etwas. Ein Teil erscheint eher granuliert, der andere homogen. Evtl. liegt einer Art von Drüsen eine andere Art an (bsp. seröse Halbmonde).

Mal gespannt ob es hier im Forum einige Entomologen gibt :-)

Viele Grüße,
Carsten

Jürgen H.

#2
Lieber Carsten,

ganz herzlichen Dank für Deine Kommentierung meines Beitrages und Deine Anregungen.

Ich füge hier einmal eine größere Aufnahme des Organs ein, die ich heute mittag auf die Schnelle mit dem 100er Öl geschossen habe:



Jetzt wird auch - denke ich - die Membran, die das Organ gegen den Hämolymphraum abgrenzt, als feine etwas dun
kelblau gefärbte Linie sichtbar.

Ich meine, dass die einzelnen Zellen, deren Zellwände nicht erkennbar sind, ein Sekret bilden, das sich in den  einheitlich hellblau gefärbten traubenförmigen Räumen sammelt, und das dann durch Exozytose in den mittigen tubulären Hohlraum entlassen werden könnte. Dies ist bei Insekten kein ungewöhnlicher sondern ein "normaler" Vorgang, der bei Drüsen in der Literatur beschrieben wird und sich ebenso auch im Darm für Verdauungssekrete  findet.

Es handelt sich nicht um eine Azanfärbung, sondern um eine simultane Pseudoazanfärbung, bei der nach meiner Erinnerung drei Blaufarbstoffe angewendet werden. Welche Art von Sekret sie anfärben können, entzieht sich leider meiner Kenntnis.

Ich habe keine Hinweise auf Zellen gefunden, die nach der Sekretbildung zugrunde gehen. (Holokrine Sekretion)

Die kleineren hellrot gefärbten Gebilde um den mittigen Tubus scheinen mir Zellkerne zu sein;  eventuell ist der Tubus aus einer Epidermis gebildet, deren Zellkerne hier sichtbar werden? Andererseits scheinen sie nicht nur an dem Tubus anzuliegen.

Ein unterschiedliches Muster des Zytoplasmas sehe ich nicht (Abgesehen von den Blasen, in denen sich das Sekret sammeln könnte.

Ich danke Dir herzlich fürs Mitdenken...

Mikrogrüße

Jürgen

Ralf Feller

Lieber Herr Harst,
das sind mal wieder tolle Bilder. Leider komme ich erst jetzt dazu ein paar
Zeilen zu schreiben. Ich denke bei den Gebilden muss es sich wohl um Speicheldrüsen
handeln (apokrine Drüsen). Diese liegen bei Ihren Tieren wohl recht frontal im Kopfbereich? Ich habe etwas Probleme die genaue Lokalisation zu sehen.
Gerade diese Drüsen interessieren mich bei meinen Stechmücken sehr, denn
durch den Speichel werden doch zahlreiche Krankheitserreger übertragen.
Die Bilder sind reif für ein Lehrbuch. Ich habe gerade heute ein Lehrbuch
über die Histologie der Insekten über die Fernleihe bestellt (Handbuch der
Zoologie / Kükenthal, weitergeführt von Helmcke, Starck und Wermuth),
ich hoffe es hält was es verspricht.

Ich finde ähnliches bei meinen Stechmücken aber eher im Halsbereich.
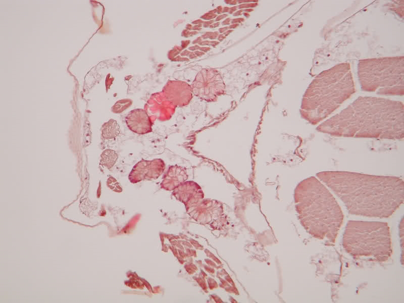
Ich hänge noch mal ein paar meiner Bilder an.
Bild 1 ist der letzte Schnitt auf dem der Kopf noch getroffen ist.
Bild 2 zeigt rechts den Thorax mit der Muskulatur, links im Halsbereich sieht man drüsige
Gebilde. Die stärkere Vergrößerung zeigt hier je vier Drüsen auf jeder Seite, die sich in der
HE-Färbung unterschiedlich eosinophil anfärben-vielleicht handelt es sich um unterschiedliche Stadien der Sekretion.

Drüsen (Culex pipiens)
1

2

3

4

5

6



Viele Grüße,
Ralf

Jürgen H.

Hallo Ralf,

(Darf ich einfach das so sagen?)

Das sind nun ganz eindeutig an dieser Stelle Drüsen der Stechmücke. Hier, an dieser Stelle hätte ich auch die meinen erwartet, im vorderen Thoraxbereich, dann wäre ich mir absolut sicher gewesen.

Wenn ich jetzt Deine Bilder sehe, dann sieht man aber doch große Ähnlichkeiten Deiner Gebilde zu den meinen, nur, dass sich hier bei der Culex mehrere Zellträubchen bilden, die alle verstreut an einem (paarigen)  Ausführungsgang hängen müssten. Vielleicht kannst Du den Ausführungsgang an Deinen Serienschnitten nachkonstruieren. Ich erinnere auch eine Abbildung aus einem Histologielehrbuch, auf dem das Gesamtgebilde (Einzelne zu Träubchen geformte Zellansammlungen, an einem paarigen Ausführungsgang hängend) - und ich meine auch für die Culex - dargestellt war.

Mikrogrüße

Jürgen

Ralf Feller

Hallo Jürgen,
ich werde mal versuchen den Ausführungsgang zu finden.

Hast Du eine Idee wo sich makroskopisch die Drüsen bei deinen Mücken finden lassen?
Gibt es eine Lagebeziehung zu den Augen oder den Mundwerkzeugen?
Gruss Ralf

Jürgen H.

#6
Hallo Ralf,

Ich denke, die Drüsen meiner Mücke befinden sich relativ weit vor den Augen der Höhe nach zwischen den Scapi der Antennen und dem Pharynx und im übrigen irgendwo zwischen Frons und Clypeus. Ganz exakt einordnen kann ich die Lage  noch nicht. Ich habe jedoch noch ein ganzes Tierchen und beabsichtige einmal den ganzen Kopf einzubetten, um ihn seitlich oder frontal betrachten zu können.

Eine nähere Vermutung: Mein erster Frontalschnitt sieht ja in etwa so aus wie ein Längsschnitt durch eine bestimmt Art von beidseitig nutzbarem Eierbecher oder einen JoJo. Die schmale Stelle, wo beim JoJo die Schnur durchläuft, könnte die Naht zwischen Frons und Clypeus werden. (Ich hoffe, ich mache mich verständlich) Die eigentlichen Mundwerkzeuge sind erst auf den tieferen Schnitten zu sehen, sie würden also am oberen Bildrand eine Ebene tiefer folgen.

Ob Deine Culex  auch entsprechende Drüsen (zusätzlich) hat? Du müsstest dazu einige Schnitte tiefer als auf Deinem ersten Bild nachsehen.

Bei dem Gebilde im letzten Deiner Bilder links scheint mir der Ausführungsgang etwas seitlich getroffen zu sein, vielleicht ist hier ein Ansatzpunkt im folgenden Schnitt. Wie dünn schneidest Du?

Mikrogrüße


Jürgen


Fahrenheit

Hallo Jürgen, hallo Ralf,

das sind wirklich interessante Schnitte die Ihr hier zeigt!

Ich verfolge die Diskussion mit großem Interesse und bin gespannt, was Ihr noch alles entdeckt.

Schöne Grüße
Jörg
Hier geht's zur Vorstellung: Klick !
Und hier zur Webseite des MKB: Klick !

Arbeitsmikroskop: Leica DMLS
Zum Mitnehmen: Leitz SM
Für draussen: Leitz HM

Jürgen H.

Hallo Jörg,

Vielen Dank für Dein Interesse. Die wandelnden Blätter kommen übrigens auch noch dran, im Moment zeige ich noch alte Schnitte von den Mücken. Mein Arbeitsspeicher ;-) ist noch zu heiß zum Schneiden....

Mikrogrüße

Jürgen