Hauptmenü

Der Buchsbaum-Zünsler

Begonnen von Carsten Wieczorrek, Mai 21, 2017, 21:20:32 NACHMITTAGS

Vorheriges Thema - Nächstes Thema

Carsten Wieczorrek

Hallo,
auch mich bzw. meine Buchskugeln hat es erwischt. Aber ein guter Griff zur chemischen Keule konnte meine Bäumchen bisher retten.
Vor der Vernichtung habe ich aber einige Exemplare in AFE eingelegt, mit dem Ziel, sie unter das Mikrotom zu bringen.

Nun kann ich erste Ergebnisse zeigen.

Für alle, die diesen eingeschleppten Kleinschmetterling und seine Raupen nicht kennt:

Bild 1: Ein typisches Gespinst am Bäumchen
Bild 2: Die Raupe des Buchsbaum-Zünslers
Bild 3: So sieht es aus, wenn man zu spät handelt (das Viehzeug frist nämlich nicht nur die grünen Blätter, sondern entrindet gleich den Ast mit)

Bild 1


Bild 2


Bild 3


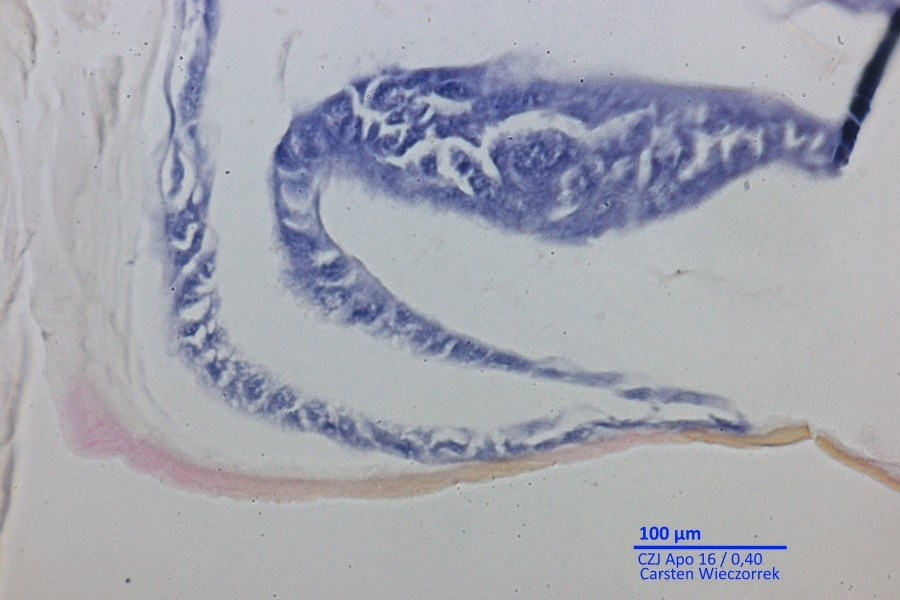
Die Raupen wurden 3 Tage in AFE eingelegt, dann 24 h 80% Ethanol, 24 h 96% Ethanol, 2 mal je 24 h Isopropanol, 2 mal je 24 h 50%Iso/50% Paraffin bei 55°C, 2 mal 25 h Paraffin bei 65°C.

Geschnitten wurden 4 µm, Raupe längs. Ich zeige hier ein Bein des ersten Beinpaares. Was mich erstaunt, ist die große leere zwischen den Geweben. Hat die Prozedur das Bindegewebe zerstört, oder gibt es da viel Fettgewebe, das sich beim Entparaffinieren gleich mit gelöst hat?

Bild 4: erstes Bein mit Krallen, totale



Bild 5: erstes Bein mit Krallen, Detail



Bild 6: Kralle



Viel Spaß beim Betrachten,

Carsten
Für's grobe : GSZ 1
Zum Durchsehen : Amplival Hellfeld, Dunkelfeld, INKO, Phasenkontrast
Zum Draufsehen : Vertival Hellfeld, Dunkelfeld
Zum Polarisieren : Amplival Pol u Auf-/Durchlicht
Für psychedelische Farben : Fluoval 2 Auflichtfluoreszenz
Für farbige Streifen : Epival Interphako

Carsten Wieczorrek

Hallo,

also, ich sehe keine Bilder, statt dess kommt eine Passwortabfrage. Habe noch keine Ahnung, was das passiert.

Carsten
Für's grobe : GSZ 1
Zum Durchsehen : Amplival Hellfeld, Dunkelfeld, INKO, Phasenkontrast
Zum Draufsehen : Vertival Hellfeld, Dunkelfeld
Zum Polarisieren : Amplival Pol u Auf-/Durchlicht
Für psychedelische Farben : Fluoval 2 Auflichtfluoreszenz
Für farbige Streifen : Epival Interphako

Carsten Wieczorrek

Für's grobe : GSZ 1
Zum Durchsehen : Amplival Hellfeld, Dunkelfeld, INKO, Phasenkontrast
Zum Draufsehen : Vertival Hellfeld, Dunkelfeld
Zum Polarisieren : Amplival Pol u Auf-/Durchlicht
Für psychedelische Farben : Fluoval 2 Auflichtfluoreszenz
Für farbige Streifen : Epival Interphako

Jürgen H.

Lieber Carsten,

herzliches Beileid zum Zünslerbefall! Ich kontrolliere sozusagen täglich angstvoll unsere Buchsbaumhecke....

Aber wenigstens bereichert bei Dir der Zünsler unser gemeinsames Hobby.

Die Lehrstellen sind kein ausgewaschener Fettkörper. Von Zellverbund des Fettkörpers bleibt etwas, was Du auf Deinem Präparat finden müsstest.

Die Hohlräume, die Du auf Deinem Präparat siehst, sind einfach mit Hämolymphe, dem "Blut" der Insekten gefüllt, in dem die inneren Organe schwimmen und nahrungsmäßig versorgt werden, während die Sauerstoffversorgung über das Tracheensystem erfolgt.

Ich habe einmal ein Räupchen von nematus ribesii, der Stachelbeerwespe, geschnitten, das sieht an den von Dir gezeigten Stellen recht ähnlich aus. Bei Interesse könnte ich Dir das Bild heraussuchen und zum Vergleich posten.

Danke fürs Einstellen Deiner Bilder

Jürgen

Carsten Wieczorrek

Hallo Jürgen,

ja, ist klar, habe ich gar nicht dran gedacht. Die haben ja keinen geschlossenen Blutkreislauf, und alles Blut oder besser Haemolymphe habe ich durch Paraffin ersetzt, und das bleibt dann als Hohlraum übrig. Sieht aber schon komisch aus - wenn einem die Erfahrung fehlt - dass die Organe so in der Luft schweben.

Grüsse

Carsten
Für's grobe : GSZ 1
Zum Durchsehen : Amplival Hellfeld, Dunkelfeld, INKO, Phasenkontrast
Zum Draufsehen : Vertival Hellfeld, Dunkelfeld
Zum Polarisieren : Amplival Pol u Auf-/Durchlicht
Für psychedelische Farben : Fluoval 2 Auflichtfluoreszenz
Für farbige Streifen : Epival Interphako