Hauptmenü

Morbus Hodgkin (Histologie)

Begonnen von Ralf Feller, Mai 27, 2017, 15:07:30 NACHMITTAGS

Vorheriges Thema - Nächstes Thema

Ralf Feller

Liebe Kollegen,
am Wochenende konnte ich wieder einige Paraffinblöckchen aus der Sammlung von Robin Wacker (egal ob er die nun selbst angelegt hat oder sie von einem anderen kompetenten Kollegen stammen) schneiden und mikroskopieren.

Eine Schachtel war beschriftet mit Hodgkin.

Das Hodgkin Lymphom,
Synonyme sind Morbus Hodgkin oder auch Lymphogranulomatose ist ein Lymphom das vornehmlich bei jüngeren Menschen auftritt. Lymphom bedeutet dabei eigentlich nur ,,Lymphknotenschwellung". Solch eine Lymphknotenschwellung kann reaktive Ursachen haben, meist als Folge einer Infektion. Das kann ein durch Bakterien infizierter Insektenstich oder ein Zahnwurzelabszess sein, wobei die durch die Lymphbahnen verbreiteten Bakterien dann zu einer meist schmerzhaften Abwehrvergrößerung der umliegenden Lymphknoten führen. Eine durch ein Virus verursachte generalisierte Lymymphknoten und Milzschwellung ist das Pfeiffersche Drüsenfieber das durch das Epstein-Barr-Virus (EBV) verursacht wird.
Hier trifft es vor allem Jugendliche die mit Grippeähnlichen Symptomen zum HNO-Arzt kommen. Die Erkrankung wird auch kissing-disease genannt, weil sich das Virus unter Jugendlichen halt so ausbreitet bis das eine sehr hohe Durchseuchung erreicht ist. Das Ganze ist relativ ungefährlich wenn es nicht zu einer Milzruptur kommt.
Übler sind die meist nicht schmerzhaften Lymphknotenvergrößerungen, besonders wenn sie in Kombination mit plötzlicher Leistungsschwäche, Fieber, Nachtschweiß und Gewichtsverlust auftreten. Dann kann eine bösartige, d.h. maligne Erkrankung dahinter stecken. Und so kommen wir zu den ,,malignen Lymphomen". Die meisten bösartigen Lymphome nennt man in der Abgrenzung zum Hodgkin-Lymphom, das eher selten ist,
Non-Hodgkin Lymphome (NHL). Sie bestehen aus bösartigen B- oder T-Lymphozyten die oft auch im Blutausstrich nachgewiesen werden können, und sie enthalten mikroskopisch nicht die typischen Hodgkin und Sternberg-Reed Zellen. Das Hodgkin-Lymphom kann je nach Typ zu 70 bis 80% durch Radio-Chemotherapie geheilt werden. Interessant ist die Assoziation zum Epstein-Barr-Virus.

Aber jetzt zur Histologie.
Ich habe das Blöckchen zunächst bei 5µ geschnitten (Färbung ist immer HE).
In der Übersicht sieht man einen Lymphknoten mit deutlich verdickter Kapsel und fibrösen Strängen die in das Gewebe laufen und lymphozytenreiche Areale begrenzen.


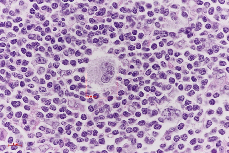
In der stärkeren Vergrößerung fallen zahlreiche große einkernige Zellen (Hodgkinzellen) und besonders große mehrkernige Zellen (Sternberg-Reed Zellen) auf. Das sind die eigentlichen Tumorzellen die sich von B-Lymphozyten ableiten. Die Mehrzahl der umgebenden Zellen sind nicht bösartige Lymphozyten und Entzündungszellen.




Durch Kühlen des Paraffinblöckchens mit einem Eiswürfel gelingen auch gute 4µ Schnitte.
Man sieht hier gut wie sich die Morphologie und Anfärbbarkeit mit der Schnittdicke ändert.


Weiteres Kühlen des Paraffinblöckchens in einem Eisbad jeweils für 30 Min ließ dann Schnitte von 3µ zu. Es ist Vorsicht geboten denn zu starkes Kühlen z.B im Eisfach führt zu Rissen im Blöckchen. Beim schneiden sollte man schnell sein, denn das Blöckchen dehnt sich wieder aus und Folgeschnitte werden dicker (wenn man keine Kühlung am Mikrotom hat).


Im letzten Bild sieht man die bunte Zusammensetzung des Hodgklin-Lymphoms.
Die Hodgkin und Sternberg-Reed Zellen machen nur 0,1 – 10% der Tumormasse aus.
Der Rest besteht aus einer wechselnden Anzahl von Lymphozyten, Plasmazellen,
Histiozyten, Fibroblasten, eosinophilen Granulozyten und anderen nicht malignen Zellen.


viele Grüße aus Mülheim-Ruhr, Ralf

Dünnschliffbohrer

Hallo Rald,
wieder mal ein sehr schöner Beitrag von dir, und ich freue mich auf den nächsten vorgestelten Schnitt. Immerhin hab ich da auch wieder was dazu (oder wieder-)gelernt: dass nur die Hodgkin- und die Sternberg-Reed-Zellen die die maligne entarteten sind - und nicht die ganzen anderen Lymphozyten, die die Hauptmasse der Zellen in dem Schnitt ausmachen - war mir vorher nicht (-mehr?) bewusst.
Gibt es eigentlich Antikörper, die die Sternberg-Reed-Z. und die Hodgkin-Z. selektiv anzufärben vermögen?

Offenbar ist es wohl so wie bei den soliden Tumoren, dass der Tumor immer mit einer +/- ausgeprägten Entzündungsreaktion einher geht. Erstaunlich, dass so wenige entartete Zellen so ein schweres Krankheitsbild hervorrufen können.

Frage an die Pathologen im Forum: Woran stirbt man letztendlich an einem malignen Tumor? Die raumfordernde Wirkung wird es ja wohl nur selten sein, in Anbetracht der oft monströse Ausmasse erreichenden gutartigen Geschwülste. Und die für eine ausreichende Organfunktion sollte meist ja auch noch genug nicht befallenes Parenchym vorhanden sein? Und nicht jeder Tumor-Patient stirbt erst im Zustand völliger Auszehrung durch die Tumorkachexie (ist es eigentlich inzwischen genau geklärt, wodurch die zustande kommt?).
"Und Gott sprach: Es ist nicht gut, daß der Mensch allein sei; und er schuf um ihn Laubmoose und Lebermoose und Flechten und ein Mikroskop!"
[aus: Kleeberg, Bernhard (2005): Theophysis, Ernst Haeckels Philosophie des Naturganzen,  S. 90]

Dr. Jekyll

#2
Hallo Ralf,

Danke für die wieder einmal gelungene und lehrreiche Dokumentation.

Hallo Dünnschliffbohrer,

Zwar bin ich kein Pathologe, aber trotzdem hier eine kurze Antwort.
Die bösartigen Tumore sind in ihrer Ausprägung recht vielfältig, die unmittelbaren Todesursachen sind es demzufolge auch. Einen Tod durch Raumforderung erleidet vor allem der Patient mit einem Hirntumor, wobei es nicht entscheidend ist ob sich der Tumor histologisch durch Malignität auszeichnet. Wie Du schon schreibst können auch benigne Tumore recht voluminös werden, was im Schädel natürlich ungünstig ist. Eine recht häufige Todesursache ist das Leberversagen, da etliche Tumore zunächst in der Leber metastasieren und diese irgendwann ihren Dienst quittiert. Das gleiche gilt für Lunge und Niere. Auch hier finden häufig Metastasierungen statt, da die Krebszellen sich gerne in den Kapillaren der Organe niederlassen. Eine weitere Todesursache ist z.B. bei Leukämie der Verlust an Abwehr gegen Infektionen.
Auch brechen invasiv wachsende Tumore unter Umständen in große Gefäße ein, was zu einer plötzlichen, tödlichen Blutung führen kann.
Meiner Meinung nach versterben auch nicht wenige Krebspatienten an ihrer Therapie😉. Die Chemotherapie wird ja meist mit sehr starken Zellgiften (z.B. Cis-Platin, was zu DNA-Interstrangcrosslinks führt) durchgeführt.
Wenn ein Krebspatient durch die Folgen des Tumors schon geschwächt ist, kann es sein dass er diese Belastung nicht verkraftet. Besonders wenn die Leber schon in Mitleidenschaft gezogen ist, wird es kritisch. Es ist wie so oft im Leben dann eine Nutzen-Risiko-Abwägung.
Beste Grüße
Harald

Jürgen H.

Lieber Ralf,

sehr schöne klare Bilder, vor allem von den 3µ geschnittenen Präparaten und ein instruktiver Beitrag. Ganz herzlichen Dank!

Viele Grüße

Jürgen

Ulf Titze

#4
Hallo Ralf,

Du hast die Kriterien für die Diagnose eines Hodgkin-Lymphoms sehr gut herausgestellt. Wenn ich darf, habe ich noch ein paar Ergänzungen.

Die Unterscheidung in Hodgkin- und Non-Hodgkin-Lymphome ist im Wesentlichen historisch bedingt. Heute gilt als gesichert, dass die neoplastischen Zellen (Hodgkin-, Reed-Sternberg-Zellen) ebenfalls der B-Zell-Reihe entspringen. Neben den konventionellen immunhistologischen Markern CD30 (aktivierte Blasten) und CD15 (aberrante Expression eines Ganulozytenmarkers) kann man auch den nukleären Marker Pax-5 (der während der gesamten B-Zell-Reifung exprimiert wird, Pan-B-Marker) nutzen, um die B-Zell-Natur der Hodgkin- und Sternberg-Reed-Zellen darzustellen.

Hodgkin-Lymphome werden anhand histologischer und zytologischer Kriterien weiter unterteilt. Die klassischen Hodgkin-Lymphome können wiederum in definierten Subtypen (nodulär-sklerosierend, Mischtyp, lymphozytenreich, lymphozyten-depletiert) unter teilt werden. Von diesen Formen wird das (relativ seltene) nodulär-lymphozytenprädominante Hodgkin-Lymphom (,,Paragranulom") abgegrenzt, da es sich histologisch und immunhistologisch von den klassischen Typen unterscheidet (CD30 und CD15 negativ, dafür bcl-6 und EMA positiv) und auch meist in früheren Stadien diagnostiziert wird und einen günstigeren klinischen Verlauf hat.

In Deinem Präparat liegt sicher der häufigste Typ eines klassischen Hodgkin-Lymphoms vor: der nodulär-sklerosierende Subtyp. Der knotige Umbau des Lymphknotens ist ein sehr dankbares diagnostisches Kriterium. Denn anders als in Deinem, sehr schönen und instruktiven Präparat, gibt es auch Fälle, in denen man die Tumorzellen sehr mühsam (unter Anfertigung von Serienschnitten und zahlreichen Sonderfärbungen) aufsuchen muss. Daher sind die bereits von Dir schön dargestellten Begleitphänomene, der noduläre Umbau und das buntzellige Begleitinfiltrat, das nun in einem Lymphknoten absolut gar nichts verloren hat, sehr wichtige Hinweise. Aber Beweise für die Diagnose eines Hodgkin-Lymphoms sind die Tumorzellen!

Wer noch mehr über das Hodgkin-Lymphom wissen will, wird hier mit Sicherheit fündig werden:
https://www.onkopedia.com/de/onkopedia/guidelines/hodgkin-lymphom/@@view/html/index.html

Viele Grüße

Ulf
"Do not worry about your problems with mathematics, I assure you mine are far greater." (A. Einstein)

"Komm wir essen Opi!" - Satzzeichen können Leben retten!!!

Ralf Feller

Lieber Ulf,
danke für Deine erschöpfenden Ergänzungen!
Ich habe allerdings noch eine Morphologiefrage an Dich, vielleicht hast Du eine Antwort. Ich habe oft den Begriff Popcorn-Zelle, bzw. H&L Zelle gelesen.
Sind das spezielle Sternberg-Reed Zellen und könnten die großen Zellen auf Bild 4 solche Popcornzellen sein?

viele Grüße, Ralf

Ulf Titze

#6
Lieber Ralf,

Bei Hodgkin-Lymphomen kann man anhand zytologischer und immunzytologischer Kriterien 5 Zell-Typen unterscheiden.

1. Hodgkin-Zellen. Das sind große, einkernige Blasten mit reichlich Zytoplasma. Die großen Zellkerne haben sehr charakteristische eosiophile Zellkerne ("eulenaugenartiger Aspekt").

2. Sternberg-Reed-Zellen (oder Reed-Sternberg-Zellen ::)): Es handelt sich um mehrkernige Varianten der Hodgkin-Zellen mit 2-5 Kernen.

3. Lakunarzellen: Bei diesen Varianten der Hodkin-Zellen ist das Zytoplasma derart kräftig ausgebildet, dass es bei der üblichen Formalinfixierung schrumpft. Die Zellen scheinen dann in einer Lakune zu sitzen. Daher handelt es sich um diagnostisch nutzbares Artefakt. Ich würde einige der von Dir gezeigten Tumorzellen als Lakunarzellen ansprechen wollen.

4. Mumifizierte Zellen: Varainten der Hodgkin-Reed-Sternberg-Zellen mit kondensiertem Zytoplasma und pyknotischen Kernen. Davon meine ich auch einige in Deinen Bildern gesehen zu haben.

Die Zelltypen 1. bis 4. kennzeichnen das klassische Hodgkin-Lymphom und zeigen den charakteristischen Immunphänotyp (CD30+, CD15+). Da sie letztlich Spielarten einer gemeinsamen Tumorzelle sind, werden sie im Schrifttum auch gerne als HRS-Zellen subsummiert. Die Lakunarzellen gelten als typisch für den nodulär-sklerosierenden Typen, die anderen Zelltypen sind bei allen klassischen HL zu finden.

5. Last but not least unterscheidet man noch die L&H-Zellen oder "Popcorn"-Zellen. L&H steht für "lymphocytic and histiocytic" und soll deren morphologische Zwischenstellung zwischen Lymphozyten und Monozyten unterstreichen. Diese großzelligen Varianten besitzen nur wenig Zytoplasma und einen, gelegentlich auch mehrere Zellkerne, deren gelappte Form an Popkorn erinnern soll. Diese Zellen haben einen konträren Immunphänotyp zu den HRS-Zellen (CD30-, CD15-, bcl-6+ und EMA+) und kommen beim nodulären lymphozytenprädominanten HL vor. Ich gebe zu, ich habe mit dieser Variante auch meine Schwierigkeiten, da man sie nur selten zu sehen kriegt und diese Zellen blöderweise keine Lehrbücher lesen. Ein diagnostischer "Cue" ist eine CD3-Färbung für T-Lymphozyten. Beim Paragranulom weisen die L&H-Zellen einen charakteristischen Kranz aus reifen Lymphozyten auf (Satelitose). Ein sehr hilfreiches Kriterium, um diese Zellen aufzusuchen.

Herzlich

Ulf
"Do not worry about your problems with mathematics, I assure you mine are far greater." (A. Einstein)

"Komm wir essen Opi!" - Satzzeichen können Leben retten!!!

Ronald Schulte

Ralf,

Tolle Schnitte und ja die Wacker Blöcke finde ich auch sehr gut gelungen. Man sieht einfach das die Fixierung in Ordnung war und weil du so schön im übersichtsbild faltenfrei aufziehen kannst, meine ich sagen zu können das auch gut entwässert und infiltriert mit Paraffin ist. Sonst geht das ja nicht so schön.
Weil ich ziemlich oft Kunststoffschnitte ansehe mit ein hohes Detailniveau bin ich schnell geneigt um deine 3µm Schnitte als sehr gut gelungen zu beurteilen. Die Färbung fallt dann immer schwieriger auf aber die Details werden immer besser sichtbar, so wie hier deutlich zu beobachten ist.
Meine Erfahrung mit Kuhlen von Blöcke ist genauso wie bei dir. Zu weit gekühlt dann gibt es Risse im Paraffinblock. Ich kühle einfach im Kühlschrank und Arbeite schnell. Ich schneide dann so fünf bis sechs Schnitte und dann ist es schon schluss. Wenn ich dann noch weitere Schnitte brauche muss erstmal wieder gekühlt werden.
Einfach klasse und ich freue mich schon auf weiter Wacker Blöcke.

Gruße Ronald
Mikroskope:
Leitz Orthoplan (DL, AL-Fluoreszenz und Diskussionseinrichtung).
Leica/Wild M715 Stereomikroskop.
Mikrotom:
LKB 2218 Historange Rotationsmikrotom.

Ralf Feller

@ Ulf
Lieber Ulf, nun hast Du alles Wissenswerte über das Hodgkin-Lymphom kurz und prägnant zusammengefasst, noch mal danke dafür. Damit hast Du diese kurze bebilderte Beschreibung zu einem tollen Dokument auch für unsere jungen angehenden Fachärzte gemacht.
Die Lakunarzellen konnte ich auch gut nachvollziehen. Die H&L-Zellen glaubte ich zu sehen, hatte dann aber große Zweifel denn die sollen ja wie Du auch schreibst beim
lymphozytenprädominanten HL vorkommen und schöne Bilder habe ich im Netz nicht gefunden.

@Ronald
als ich die Bilder machte habe ich an Dich gedacht wegen der Eosinflecken, ich hatte einfach beim färben keine Lust zu filtrieren wie Du mir geraten hattest. Dank Deiner Anleitungen im Netz ( und danke auch für deinen persönlichen Rat an mich) sollte die Histologie auch vielen anderen Kollegen zugänglich sein. Die menschliche Pathologie natürlich nicht, wegen der Beschaffungsprobleme menschlicher Proben. Aber wie es unsere flanzenanatomischen Kollegen immer wider an unzähligen neuen Pflanzen zeigen, gibt es für die ,,tierische" Histologie ja auch mehr als genügend Material, von Säugetier über Vögel, Fische, Amphibien bis hin zur technischen Königsdisziplin der Insekten, die unser Kollege Jürgen mit Exzellenz bearbeitet. Ja und dann gibt es da ja auch noch die Schecken, die in Kollege in München bearbeitet.

Viele Grüße, Ralf

güntherdorn

"Morbus Hodgkin (Histologie)
« am: Mai 27, 2017, 15:07:30 Nachmittag »"
...
könntest du ca.vergrösserung oder massbalken hinzufügen bitte?
güntherdorn
- gerne per du -
günther dorn
http://www.mikroskopie-forum.de/index.php?topic=444.0
www.mikroskopie-gruppe-bodensee.de
gildus-d@gmx.de

Ralf Feller

Hallo Günther,
ich habe noch einmal ein paar Sternberg-Reed Zellen vermessen.
Laut Literatur liegt die Größe zwischen 15 und 45 µm.





Aufnahmen mit Leitz PlanApo 63,
Scalierung mit Axiovision von Zeiss.