Histologie odagmia ornata innere Geschlechtsorgane männlich

Begonnen von Jürgen H., September 07, 2017, 15:19:33 NACHMITTAGS

Vorheriges Thema - Nächstes Thema

Jürgen H.

Liebe Mitmikroskopiker,

Im Folgenden möchte ich euch die inneren Geschlechtsorgane von odagmia ornata, einer Kriebelmückenart darstellen.

Das männliche Tierchen habe ich aus einem Schwarm gefangen. Da die Schwärme zur Partnerfindung dienen, handelt es sich also um ein kopulationsbereites geschlechtsreifes Tierchen.
Zunächst ein Übersichtsbild, aus Rubtsov, Simuliidae:



Ganz oben links ist einer der beiden Hoden sichtbar. Von jedem Hoden führt ein vas deferens oder ductus seminalis sd zu einer komplex und paarig aufgebauten Tasche. Jede der Taschen besteht aus zwei getrennten Kammern, nämlich einmal einer rundlichen 1. Kammer fpsd, die über einen schmalen Zugang in eine länglich gestreckte 2. Kammer epsd führt. Von dort gelangt der Samen über den ductus ejaculatoris ed zum gonosternum gst.

Rubtsov selbst beschreibt die Organe wie folgt:





Der ganze Apparat dient also auch dazu, eine sogenannte Spermatophore zu bilden, also eine Masse von Spermien, die mit einer Hülle versehen, als Paket dem weiblichen Tier appliziert wird. Die Bildung von Spermatophoren ist bei den Insekten, speziell bei den Dipteren nicht selten. Ob und welchen Nutzen die Bildung von Spermatophoren mit sich bringt, ist nicht immer ganz klar. Teilweise wird der Genitalzugang des Weibchens durch eine Spermatophore verschlossen, so dass das Männchen nach der Kopulation die Weitergabe seiner Gene gesichert hat. Auch wird diskutiert, ob das Umhüllungsmaterial der Spermatophore, das weitgehend aus Proteinen bestehen soll, einen Nahrungsvorteil für das  Weibchen bringt.

Unklar ist übrigens in vielen Fällen auch, wann genau die Spermatophore gebildet wird: Vor oder während der Kopulation.

Die Folgenden nicht immer leicht verständlichen Bilder machen zumindest deutlich, welchen großen Vorteil eine Zeichnung gegenüber einem Photo eines Präparates hat ;-). Bei der Zeichnung lässt sich der Sachverhalt übersichtlich geordnet darstellen. Bilder nach Schnitten geben hingegen selten einen schönen ordentlichen Zustand wieder. Sie sind oft verdreht, ein wenig Vorstellungsvermögen müsst ihr also mitbringen. Zunächst ein Übersichtsbild:



Thorax und Kopf würden sich links anschließen. Zu sehen ist der Mitteldarm MD, der in den Hinterdarm HD und über diesen später in das Rectum R führt. Das die Spermatophore bildene Organ liegt zentral im Abdomen. Weil das paarige Organ leicht verdreht im Schnitt liegt, sehen wir jeweils nur eine der eigentlich paarigen Kammern, nämlich einmal eine der beiden ersten Kammern 1.K und darunter eine der beiden zweiten Kammern 2.K. Links von der 2. Kammer ist auch noch ein kleiner Anschnitt der zugehörigen ersten Kammer als rot ummanteltes Pünktchen zu erkennen. Die Vasa deferentia VD lehnen sich eng an die erste Kammer an.

Wenn ich die erste Kammer ein wenig näher heranzoome, sieht es so aus:



Die Vasa deferentia liegen dem Organ an und sind mit Samenfäden gefüllt. Die erste Kammer ist mit einem leicht blau gefärbten granulär erscheinenden Material gefüllt und von rot gefärbten Zellen M umgeben, die Rubtsov wohl als Drüsenzellen interpretierte. Muskelzellen werden es kaum sein, was solllten sie da zusammenziehen? Ein dünner und besser gefärbter Schnitt wäre hier wünschenswert. Der Übergang zur 2. Kammer Ü 2.K ist erkennbar. Das dort vorhandene blau gefärbte Gewebe kann ich nicht deuten.

Etwas später in der Schnittfolge ist der Eingang eines vas deferens zu sehen:



Im nächsten Bild wird der weitere Verlauf des Geschlechtsweges erkennbar:





Erneut erscheint hier der Übergang der 1. zur 2. Kammer Ü 2.K, wobei die zweite Kammer schräg getroffen ist. Das zugehörige Pärchen der 2. Kammer erscheint darunter, von dem aus es in den bereits teilweise angeschnittenen ductus seminalis geht. Dieser ist erkennbar mit viel rot gefärbter Ringmuskulatur umgeben. Die zu bildende Spematophore wird mit ihrer Hilfe aus dem Abdomen herausgepresst. Oben rechts erscheint das rectum mit zwei Rectalpapillen, die ich an anderer Stelle einmal näher dargestellt habe.

Im nächsten Bild findet ihr den ductus seminalis ds noch einmal näher dargestellt. Im Inneren befindet sich anscheinend ein weiches Gewebe, das den Ausstoß der Spermatophore erleichtern wird..





Mit dem folgenden Bild möchte ich die zweite Kammer noch ein wenig näher betrachten:




Die Kammer ist ersichtlich von einer rot gefärbten Ringmuskulatur M umgeben. Rings um das Kammerlumen herum befinden sich sehr stark längs gestreckte Drüsenzellen DZ, die am rechten oberen Bildrand auch quer angeschnitten sind und einen polygonalen, nämlich annähernd fünfeckigen Querschnitt erahnen lassen. Im Inneren der Kammer befindet sich eine stark angefärbte Hüllmasse HM. Auffällig ist, dass diese Masse am Eingang der Kammer zweigeteilt zu sein scheint und wie die umgebenden Drüsenzellen stark blau gefärbt ist. Hingegen wandelt sich die Farbe der Masse sowie der Drüsenzellen  im weiteren Fortgang im Wesentlichen ins stark Rote. Ich habe zunächst an ein färberisches Artefakt geglaubt. Die färberischen Unterschiede finden sich jedoch auch bei der einfachen HE Färbung. Ich nehme daher an, dass den Farbunterschieden auch entsprechende Unterschiede der sekretbildenden Drüsen und des gebildeten Sekretes zugrundeliegen. Eine Erklärung dafür, warum an dieser Stelle verschiedene Drüsensekrete vorkommen könnten, habe ich allerdings nicht.

Im Übrigen deute ich meine Bilder so, dass bei die Speramatophore odagmia ornata erst während der Kopulation gebildet werden kann. Zum Zeitpunkt des Schwarmfluges stehen die fertigen Spermienfäden in den vasa deferentia bei der ersten Kammer an. Während der Kopulation dürften dann die Spermien z.B. durch eine Entspannung der circulären Muskulatur in die erste Kammer gelangen. Wozu die dort  vorhandene granulär erscheinende Substanz dient, weiß ich nicht. Aus der ersten Kammer dürften die vielleicht mit der granulären Substanz vermischten Spermien in die Zweite Kammer gespritzt werden und von der dort bereits vorhandenen Masse als Hülle umgeben werden, so dass sich so eine Spermatophore bildet.
Bei der Kopulation wird die gebildete Spermatophore schließlich über den ductus seminalis in das Weibchen hineingedrückt.

Das Alles ist natürlich leider noch reichlich spekulativ und nur teilweise gestützt durch eine Publikation von Linley über eine Gnitzenart, die ebenfalls Spermatophoren, aber doch wieder auf eine andere Weise bildet.

Es bleibt bei dem Thema also für mich noch zu tun.

Schöne Grüße

Jürgen

Rawfoto

Hallo Jürgen

Unfassbar wie treffsicher Du mit der Schnitten liegst, spitzen Darstellung, da macht mehrfaches Lesen wirklich Spass ...

Danke & liebe Grüsse

Gerhard
Gerhard
http://www.naturfoto-zimmert.at

Rückmeldung sind willkommen, ich bin jederzeit an Weiterentwicklung interessiert, Vorschläge zur Verbesserungen und Varianten meiner eingestellten Bilder sind daher keinerlei Problem für mich ...

Ralf Feller

Lieber Jürgen,
wieder einmal eine tolle Darstellung!
Besonders interessant finde ich die Frage nach dem Farbgradienten in der zweiten Kammer der Spermienleitung.

Die Spermien sind blau und gelangen in eine Tasche mit 2 Kammern, wobei in der zweiten Kammer ein Übergang ins Rote folgt. Wofür steht denn rot und blau in Deiner Färbung?, Säure/Base, Proteine/Zucker? So gibt es ja auch beim Menschen im Magen-Darmsystem pH-Gradienten die z.B. der Deaktivierung der sauren Proteasen des Magens im Duodenum dienen, wo dann die Fettverdauung startet. Vielleicht liegt ja auch hier so ein Gradient vor der etwas aktiviert.

Viele Grüße aus Mülheim, Ralf

reblaus

Hallo .

schließlich werden auch die menschlichen Spermatozoen durch pH-Änderung aktiviert - diese ist nicht nur im Darm wichtig.

Gruß

Rolf

@ Jürgen: Wie gewohnt - tolle Arbeit!

Jürgen H.

#4
Lieber Gerhard, Ralf und Rolf,

herzlichen Dank für eure Worte und Anregungen!

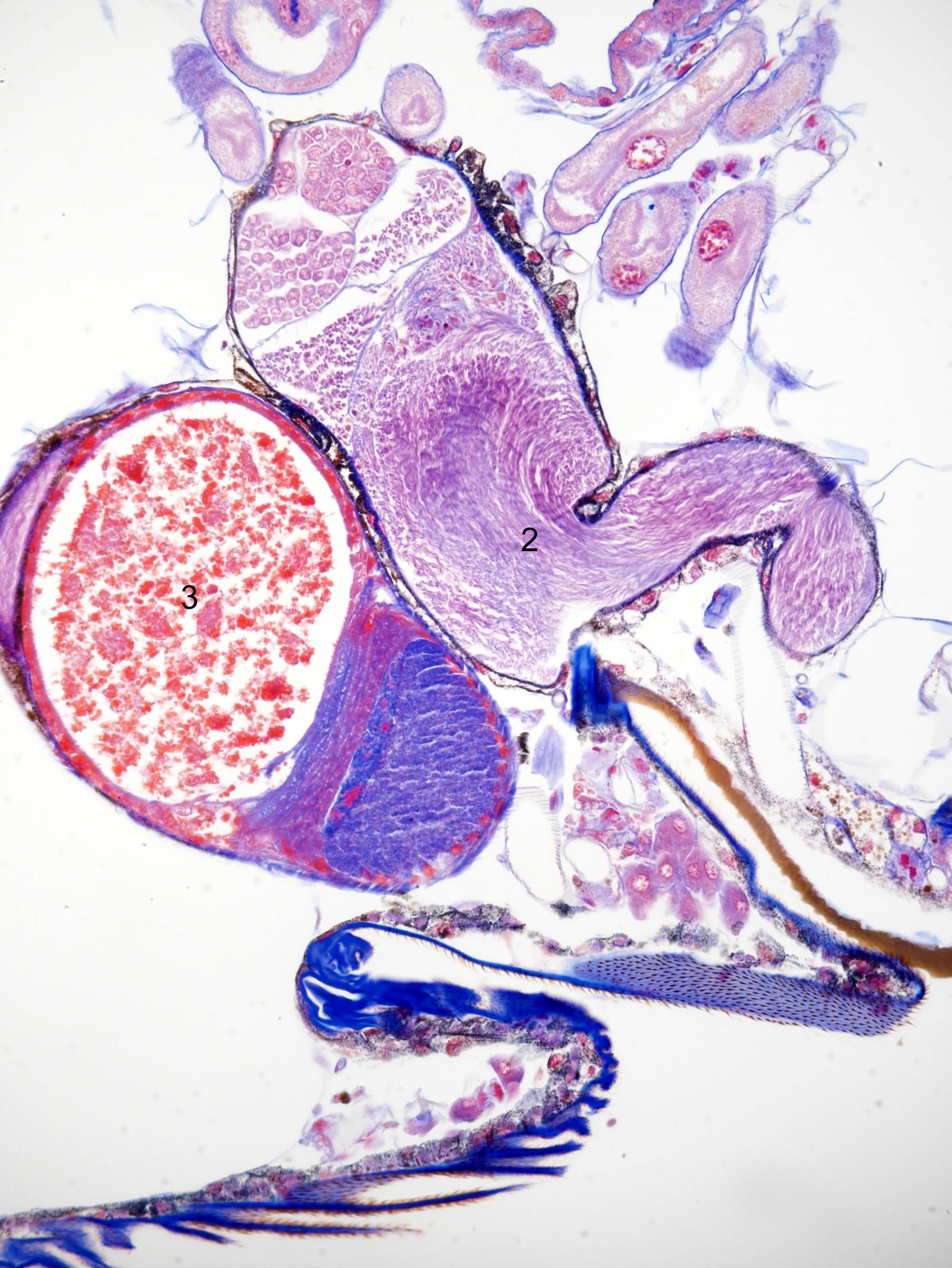
Ich möchte noch ein Bild hinterherschieben, dass vielleicht den Sachverhalt noch klarer machen kann:



2 ist ein vas deferens, kommend von den Hoden, der oberhalb des vas deferens mit angeschnitten ist. Deutlich zu sehen ist, das der vas deferens mit Samenfäden gefüllt ist. Diese Samenfäden lassen sich in den Schnitten im vas deferens verfolgen bis exakt zur der Stelle, wo er in die erste Kammer des beschriebenen Organs mündet. Diese Kammer ist hier im Bild mit Ziffer 3 bezeichnet. Und leicht zu sehen ist, dass sich in der ersten Kammer selbst keinerlei Samenfäden finden, sondern irgendeine granulär erscheinende Substanz. Hieraus schließe ich eben, dass die Samen erst im Moment der Kopulation in die erste Kammer gelangen können, da ich das Tier aus einem Schwarm gefangen habe, der die Kopulation vorbereitet.

Ralf Feller verdanke ich aus einer privaten Mitteilung den Hinweis, dass die erste Kammer funktional so etwas wie die Nebenhoden beim Menschen darstellen könnten. In der Tat besitzen männliche Diptera regelmäßig akzessorische Drüsen als Teil der inneren Geschlechtsorgane, die hier bei odagmia ornata zu fehlen scheinen..... oder eben durch die erste Kammer ersetzt werden.

Die Färbung ist Azan, besteht also aus dem sauren Azokarmin und aus Anilinblau, das saure Mukosubstanzen blau anfärbt. Da sich in der zweiten Kammer ebenfalls keine Samen befinden, wird das dort offenkundig vorhandene stark anfärbbare Material wohl nur Material sein, aus dem der Hüllkörper der Spermatophore gebildet wird: wahrscheinlich mukose proteinreiche Substanzen. Die Vermutung, dass die Farbunterschiede auf einem ph Gradienten beruhen könnten, habe ich auch.

Vielleicht wären Versuche mit Alcianblau oder PAS sinnvoll, wenn ich denn neue Tierchen finde.

Schöne Grüße

Jürgen

Ronald Schulte

Jürgen,

Fantastischen Beitrag. Mir fallt auf das deine Schnitte schön homogen dünn sind. Dein Mikrotom ist schon in Ordnung, da kann kein Zweifel bestehen.
Mit welche Messer schneidest du?
Weil es sich hier um Spermien handelt, also vieles an DNA, wurde ein Dapi Färbung und ein Fluoreszenz Aufnahme richtig schön sein denke ich!
Mussten wir mal drüber reden.

Mache weiter so, Gruße Ronald
Mikroskope:
Leitz Orthoplan (DL, AL-Fluoreszenz und Diskussionseinrichtung).
Leica/Wild M715 Stereomikroskop.
Mikrotom:
LKB 2218 Historange Rotationsmikrotom.

Jürgen H.

Roland,

Dank für Deine Worte. Ich schneide mit Schmalbandklingen von Feather, hier die A35.

DAPI Färbung kann ich leider nicht machen, mir fehlt die Anregung mit UV und der Filterwürfel A 4. Acridinorange würde gehen ist aber natürlich nicht so schön. Ich muss mal sehen ob ich noch ein Mückchen im Alkohol liegen habe, wenn ich zurück bin. Ansonsten wirds frühestens nächstes Jahr. Ich habe ohnehin vor, mich erst einmal wieder den Diopsiden zuzuwenden. Da wird es auch einiges Interessante zu präparieren geben.

Schöne Grüße

Jürgen

p.s.

Was macht Dein Technovit 8100?

Ronald Schulte

Jürgen,

Danke. Ja Feather kenne ich gar nicht. Mein Einwegklingeln Behälter von mein A&O 820 ist für die Leica 818 Hochprofil gedacht und wenn das dann prima schneidet dann bleibt man dabei.

Wenn du noch ein Schnitt hättest, könnte ich die DAPI Farbung auch machen. Kann, muss aber nicht!

Technovit 7100 und 8100 wird diese Woche noch verarbeitet aber dann noch nicht mit Insekten. Die kommen erst in Oktober. Ich habe Artikel gefunden wo beschrieben wird wie Paraffin eingebettete Proben umgebettet werden in Plastik. Das möchte ich mal testen ob das geht. Histo- und Patho Blöcke sind reichlich vorhanden.

Die Fruchtfliegen (Drosophilas) kann man auch einfach online bestellen. Hier in Friesland kennen wir nur Kartoffel, Bete, Zwiebel und Friesische Pferden aber weiter im Land sind tatsachlich alle mögliche Lebend Tiere zu bekommen. Siehe z.B. http://www.blue-lagoon.nl/producten/reptielen-voeding-vitamine/levend-voer

Gruße Ronald
Mikroskope:
Leitz Orthoplan (DL, AL-Fluoreszenz und Diskussionseinrichtung).
Leica/Wild M715 Stereomikroskop.
Mikrotom:
LKB 2218 Historange Rotationsmikrotom.