HISTOLOGIE: Paneth-Körnerzellen im Dünndarmkrypten der Maus

Begonnen von Ronald Schulte, Oktober 22, 2017, 20:57:51 NACHMITTAGS

Vorheriges Thema - Nächstes Thema

Jürgen H.

Lieber Ronald,

eine tolle Darstellung der Paneth Körnerzellen und der Becherzellen, vielen Dank. Ich hatte schon befürchtet, dass Du Dich histologisch aus dem Forum verabschiedet hättest, um so mehr genieße ich Deinen Beitrag.

Was die Färbbarkeit von Technovitschnitten nach Bouinfixierung angeht, habe ich ein wenig andere Erfahrungen gemacht als Du. Die Färbung des Präparats von Dieter Stoffels ( bas. Fuchsin und Methylenblau) funktioniert auch nach alkoholischer Bouinfixierung, ebenso Toluidinblau. Hämatoxylin Ehrlich hingegen nicht, auch nicht Weigerts Hämatoxylin.

Was die Lücken in den Leberschnitten angeht: Das Technovit wird ja prinzipiell nicht aus dem Schnitt herausgelöst und nimmt die Farbe von Fuchsin auch da ein wenig an, wo kein histologisches  Material ist.  Es fällt mir daher bei den schönen Schnitten von Dieter Stoffels auf, dass die angesprochenen Lücken in der Regel völlig ungefärbt sind. Nur an einigen wenigen Stellen der Lücken befindet sich randständig eine schwache Fuchsinfärbung.
Es sieht für daher mich so aus als sei das Technovit hier nicht vollständig eingedrungen, was mich angesichts der Struktur der Leber nicht sehr wundert.

Schöne Grüße

Jürgen


Ronald Schulte

Jürgen,

Eine Reaktion von Dieter:

Die Mausleber ist vollständig Kunstharz-infiltriert, dass gilt auch die die "Hohlräume", die als Stellvertreter für die herausextrahierten Lipide bzw. herausgelöste Glykogen verblieben sind. Wären die Hohlräume nicht gefüllt, wäre es nicht möglich, solche Kunststoffschnitte zu machen. Die scharfe Begrenzung der Hohlräume ist darauf zurückzuführen, dass es sich nicht um ein typisches Technovit, sondern um eine spezielle Abmischung handelt, bei der sich die Kunststoffmatrix in keinerlei  Weise mitfärbt und der polymere Ansatz eine sehr hohe Eigentransparenz besitzt.

Es ist also kein reines Technovit 7100. Es ist ein Mischung.

Gruße Ronald
Mikroskope:
Leitz Orthoplan (DL, AL-Fluoreszenz und Diskussionseinrichtung).
Leica/Wild M715 Stereomikroskop.
Mikrotom:
LKB 2218 Historange Rotationsmikrotom.

Ralf Feller

Hallo Ronald,
danke für die Hinweise.
Ich arbeite ja viel zytologisch, und da stellt man sich eine ,,schöne Zelle" eben rund bis oval mit einem schönen Zellkern in der Mitte vor. Ich denke das bei der Semidünntechnik die Zellen ja sehr dünn geschnitten werden und so herauslösbare Bestandteile eben Löcher verursachen.
Ich habe gerade einige alte Paraffinschnitte von Maus-Leber gefunden.

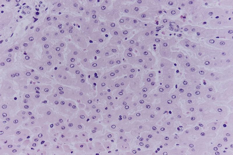
5µ Schnitt:


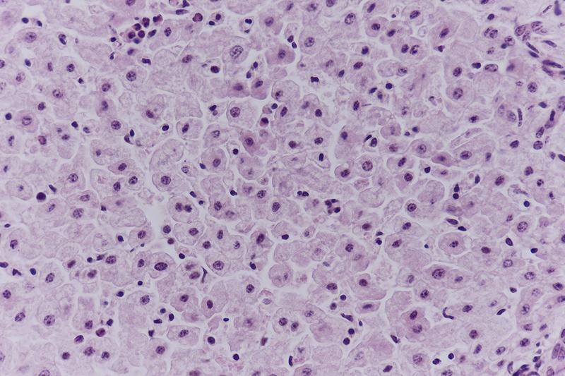
3µ Schnitt


Mann erkennt sehr schön geformte Leberzellen, obwohl man erahnen kann wie locker der Zusammenhalt im Zytoplasma ist.

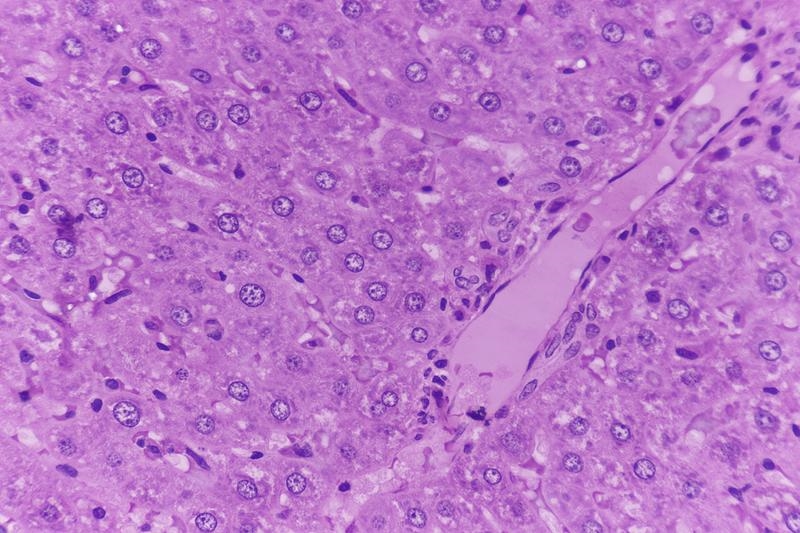
Bei dem Präparat von Dieter (Danke an Dieter für das Bild) sieht man weniger ,,Löcher" als in der Toluidinblaufärbung. Ich denke es ist wohl mit Fuchsin nachgefärbt? Ein sehr schönes Präparat, da würde mich Fixierung und Färbung interessieren.
Ich habe das mit den Schnitten von deinem Leberblöckchen in Technovit auch mal auf die Schnelle probiert, 10 Min Hämalaun, 5 Min Fuchsin aus der TB-Färbung, stark verdünnt. Die Löcher kommen wie ich meine weniger stark zum Vorschein. Der Schnitt war auch 2,5µ.
Das war aber nur ein schneller Versuch ohne Anspruch auf Schönheit.



Kann man das Gewebe vor den Einschluss in Technovit nicht Osmieren?
Im Großen bin ich aber mit der Technik sehr zufrieden.

Viele Grüße auch an Dieter, Ralf

Ronald Schulte


Ralf,

Osmieren geht bei Technovit nicht. Nur Formalin, Glutaraldehyde und was Jürgen sagt, Alkoholisches Bouin. Das letzte werde ich mich kommende Zeit mal vornehmen ob das Vorteile gibt.
Wenn du nachträglich Osmieren möchtest dann ist ein Epoxid (z.B. Epon) angesagt.
Das aber hat wieder andere problematische Sachen, so kannst du das nur mit Diamant oder Glas auf ein Ultramikrotom schneiden und das muss auf ein Wasserboot. 


Hier klicken um das Video zu starten.



Grüße Ronald
Mikroskope:
Leitz Orthoplan (DL, AL-Fluoreszenz und Diskussionseinrichtung).
Leica/Wild M715 Stereomikroskop.
Mikrotom:
LKB 2218 Historange Rotationsmikrotom.