HISTOLOGIE: Rückenmark und Spinalganglion im Kehlkopf der Maus

Begonnen von Ronald Schulte, November 19, 2017, 10:19:31 VORMITTAG

Vorheriges Thema - Nächstes Thema

Ronald Schulte

 
Ich habe mal versucht um ein komplettes Maus Kehlkopf in Technovit einzubetten. Das einbetten an sich ist nicht schwieriger wie ein kleines Teil aber das Schneiden von so ein relativ großen Schnitt gibt einige Herausforderungen die für mich ziemlich neu waren. Richtig dünn schneiden geht kaum und ich musste bei 2 Mikrometer aufhören.
Den Kopf habe ich von das Leib getrennt und im ganzen Fixiert. Fixiert wurde in ein Gemisch von Formalin und Glutaraldehyde (2%, 2,5% nach Karnofsky). Die Fixierte Kopfe habe ich entwässert bis 80% und dann zerschnitten in brauchbare teilen. Das Schneiden von solche große Teile geht bei mir am besten in ein Petri Schale die ein Zentimeter dick abgefüllt ist mit 80% Ethanol oder, wie bei mir, Isopropanol. Die Petrischale Positioniere ich unter mein Stereomikroskop und mit ein altes Mikrotommesser kann ich so sehr bequem den Kopf zerlegen ohne das mein Gewebe austrocknet.
Die gewünschte Teile werden dann in kleine Rollrandgläser weiter entwässert und mit Technovit durchtrankt bis zu das ausgießen in die Spezielle Kulzer Molden.
Die Rollrandflaschen verbleiben den ganzen Prozess in mein selbst angefertigten Specimen rotator. Die Funktioniert noch immer prima und habe ich HIER schon mal gezeigt.

Geschnitten wurde das Block am LKB 2218 Historange rotationsmikrotom mit Stahlmesser von die Firma Kulzer.
Die Schnitte wurden im Wassertropfen auf das OT gestreckt und auf eine 70 Grad warme wärmeplatte getrocknet.
Gefärbt wurde mit eine basische Toluidin Blau Lösung (1% Toluidin B, 1% Natriumtetraboraat AD).
Eingeschlossen wurde mit Depex.
Aufnahmen am Leitz Orthoplan mit ein Canon 700D die über ein 40mm Pancake Objektiv Adaptiert ist.

Dieses Bild zeigt die ungefähre Schnittrichtung






Versucht habe ich um das Rückenmark mit Spinalganglion zu treffen.
Im Schnitt habe ich den Radix ventralis nicht getroffen aber wohl den Radix dorsalis mit das Ganglion.






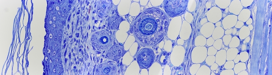
Abb. 1; Stitch von 95 Bilder, Objektiv Leitz plan Fluotar 10x

A = Haut
B1 = Weißes univakuoläres Fettgewebe
B2 = Braunes plurivakuoläres Fettgewebe
C = Muskelgewebe, hauptsachlich Skelettmuskulatur
D = Blutgefäße mit viele blau gefärbte Blutzellen
E = Knochen mit Blutzellbildung
F = Wirbel die hier noch nicht Ossifiziert sind, hier noch Knorpel
G = Thymus
H = Trachea (Luftrohr)
J =  Oesophagus (Speisserohr)
K = Rückenmark
L = Spinal ganglion
M = Radix dorsalis








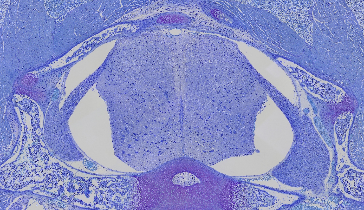
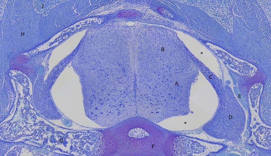
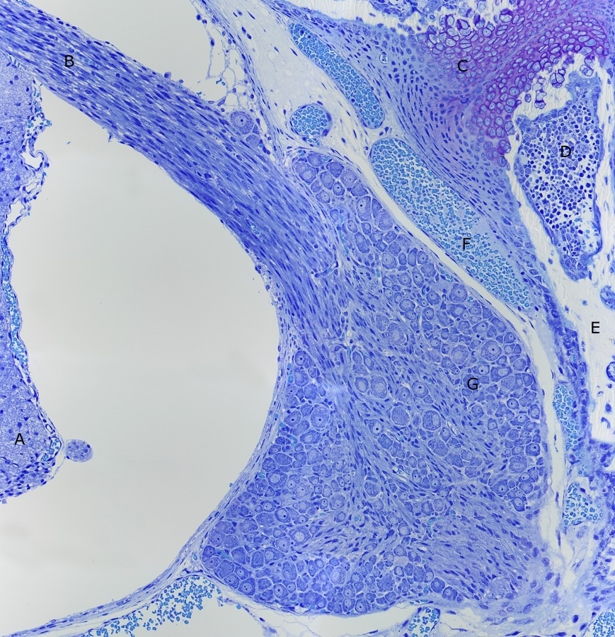
Abb. 2; Stitch von 30 Bilder, Objektiv Leitz plan Fluotar 10x

Wer ein grosseres Bild sehen möchte (weils so schön ist) kann HIER ein 1400x808 Pixel Bild herunterladen.

A = Rückenmark mit wahrscheinlich graue Substanz (weil hier die meisten Zellkörper zu sehen sind)
B = Rückenmark mit wahrscheinlich weiße Substanz (weil hier die meisten Nervenfasern zu sehen sind)
C = Radix dorsalis
D = Spinal ganglion
E = Blutgefäße mit viele blau gefärbte Blutzellen
F = Wirbel die hier noch nicht Ossifiziert sind, hier noch Knorpel
G = Knochen mit Blutzellbildung
H = Muskelgewebe, hauptsachlich Skelettmuskulatur
J =  Braunes plurivakuoläres Fettgewebe
* = Schrumpf Artefakte Anteile des subarachnoidalen Raumes








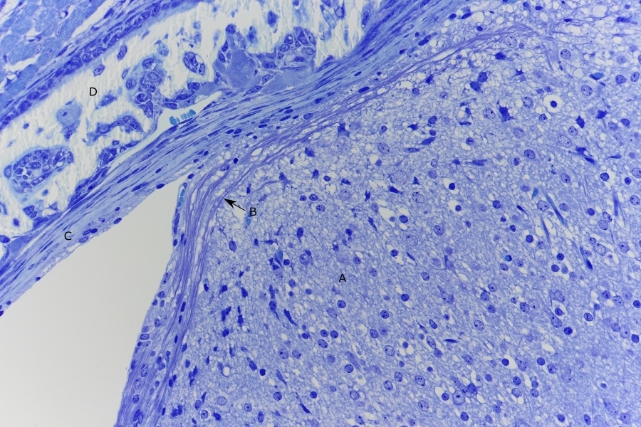
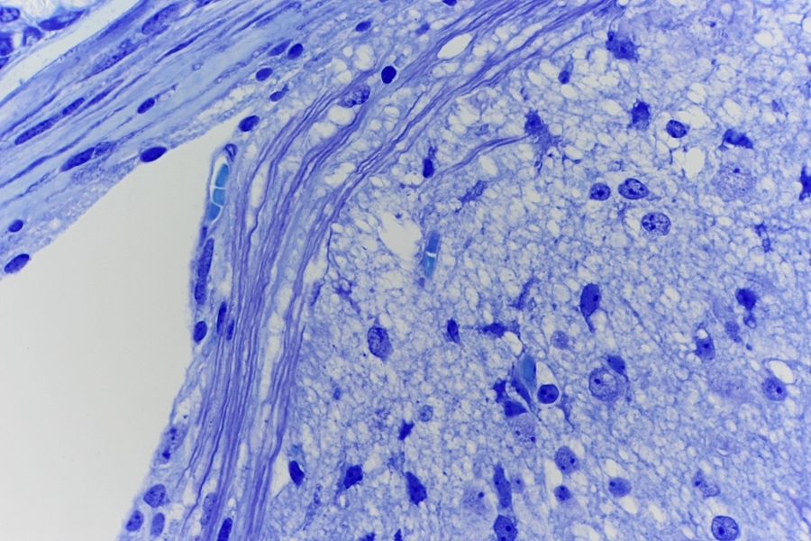
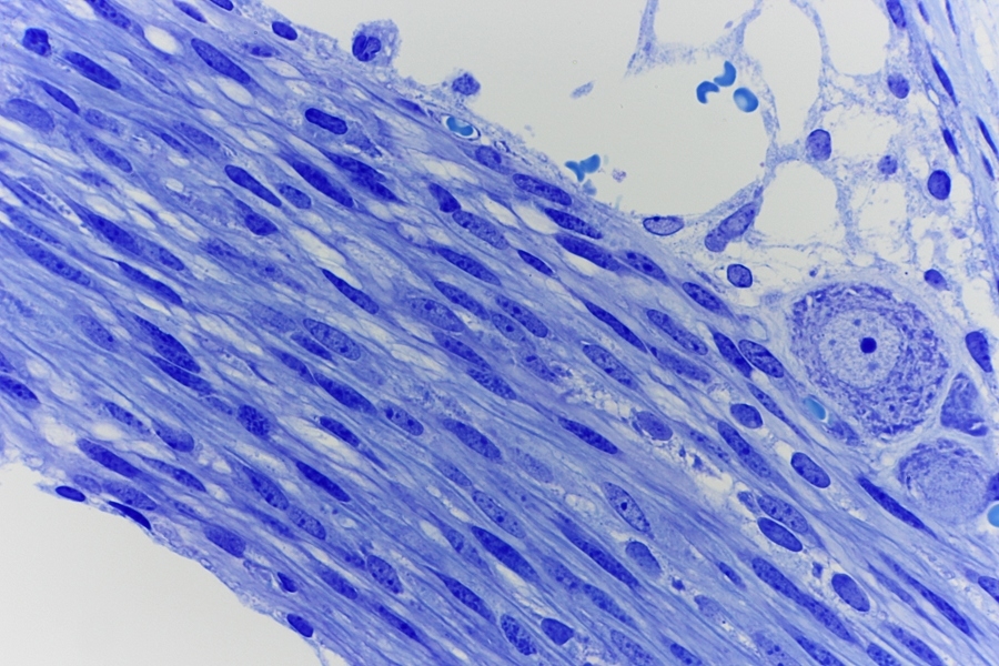
Abb. 3; Objektiv Leitz plan Fluotar 25x

A = Rückenmark mit wahrscheinlich weiße Substanz
B = Die Nervenfasern sind hier einzeln zu erkennen
C = Dura Mater
D = Knochen (werden mit Toluidin nicht angefarbt)







Abb. 4; Objektiv Leitz plan Apo 63x NA 1.4

Die Nervenfasern sind hier einzeln zu erkennen







Abb. 5; Stitch von 8 Bilder, Objektiv Leitz plan Fluotar 25x

A = Rückenmark
B = Radix dorsalis
C = Wirbel die hier noch nicht Ossifiziert sind, hier noch Knorpel
D = Knochen mit Blutzellbildung
E = Knochen
F = Blutgefäße mit viele blau gefärbte Blutzellen
G = Spinal ganglion








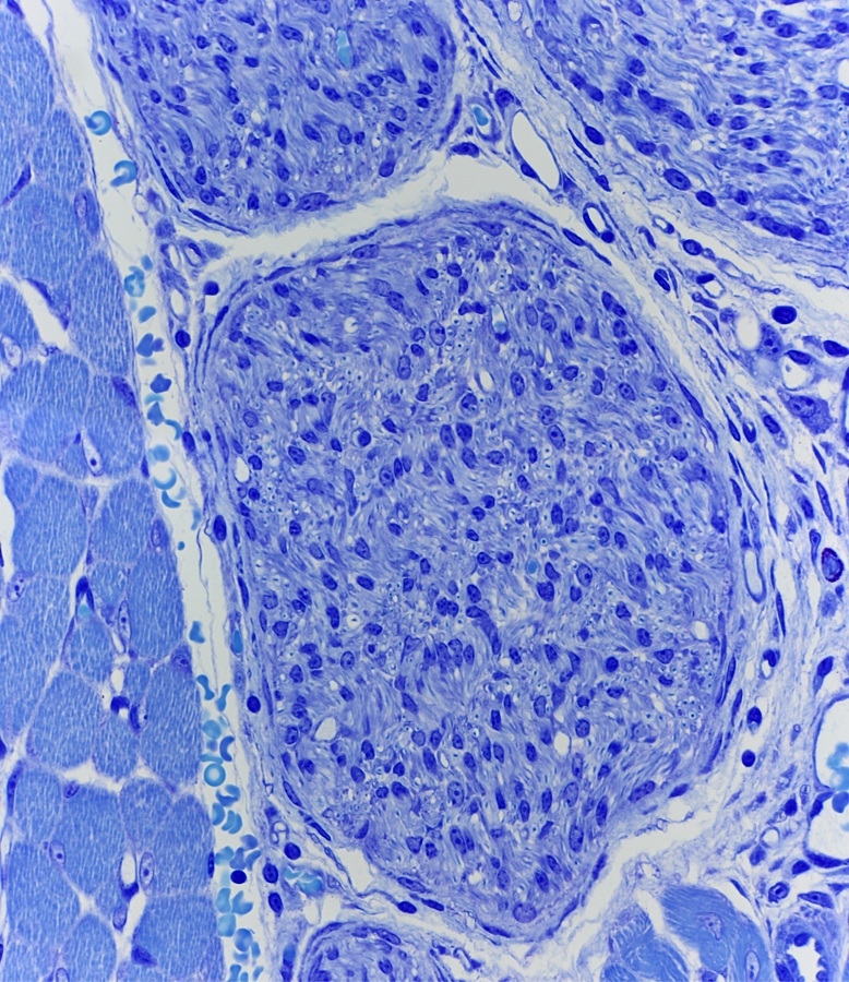
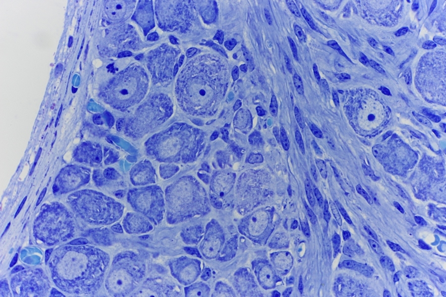
Abb. 6; Objektiv Leitz plan Apo 63x NA 1.4

Nervenfasern im radix dorsalis mit viele Schwann Zell Kerne. Rechts ist ein große Neuron Zellkörper zu erkennen mit hellblauen Nukleolus.







Abb. 7; Objektiv Leitz plan Apo 63x NA 1.4

Den Ganglion spinalis.
Zitat Wiki: Das Spinalganglion (Ganglion spinale), auch Dorsal-, Intervertebral- oder Hinterwurzelganglion (engl. dorsal root ganglion) genannt, ist ein noch innerhalb des Wirbelkanals gelegener Nervenknoten (Ganglion) von Nervenzellen des Peripheren Nervensystems. Es stellt eine Ansammlung von Nervenzellkörpern jener Neuronen dar, die über sensible Nervenfasern afferente Signale zum Hinterhorn des Rückenmarks führen. Pro Rückenmarksegment ist zu beiden Seiten je ein Spinalganglion ausgebildet, das im Zwischenwirbelloch (Foramen intervertebrale) des zugehörigen Segmentes liegt.

Das Spinalganglion enthält sogenannte pseudounipolare Nervenzellen. Ihre Dendriten sammeln segmentbezogen sensible Informationen aus dem Körper, ausgenommen den Kopfbereich (wo Hirnnerven diese Aufgabe übernehmen). Die Axone dieser Neuronen leiten die Information über die hintere Nervenwurzel (Radix posterior oder dorsalis) in das Rückenmark. Die Nervenzellkörper der Spinalganglienzellen werden von speziellen Gliazellen, den Mantelzellen (Satellitenzellen) umgeben. Zwischen den Nervenzellen verlaufen Kapillaren, die – im Unterschied zu denen des zentralen Nervensystems – fenestriert (gefenstert) sind.







Abb. 8; Objektiv Leitz plan Apo 63x NA 1.4
Stitch aus zwei Bilder

Hier sind einige Nerven quer geschnitten. Beachte die viele Kerne von die Zellen von Schwann aber auch die quer geschnittene myelinisierte Axone https://de.wikipedia.org/wiki/Axon die wie Punkte zu sehen sind.






Abb. 10; Objektiv Leitz plan Apo 63x NA 1.4


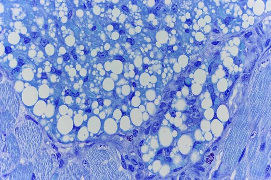
Hier noch einige Bilder was im Schnitt mehr zu sehen ist. Oben ist braun oder plurivakuoläre Fettgewebe zu sehen. Wiki: https://de.wikipedia.org/wiki/Braunes_Fettgewebe
Weiter sieht man Muskulatur und zwei Mastzellen.







Abb. 11; Objektiv Leitz plan Apo 63x NA 1.4


Braun oder plurivakuoläre Fettgewebe. Wiki: https://de.wikipedia.org/wiki/Braunes_Fettgewebe
Weiter sind Kapillaren mit Erythrozyten, Nerven, Muskelzellen, Bindegewebe und endothelzellen zu sehen.








Abb. 12; Objektiv Leitz plan Apo 63x NA 1.4
Stitch von drei Bilder.

Weißes oder univakuoläres Fettgewebe. Wiki: https://de.wikipedia.org/wiki/Fettgewebe
Weiter ist links die Haut zu sehen, Haare Fett und rechts Mukelzellen.








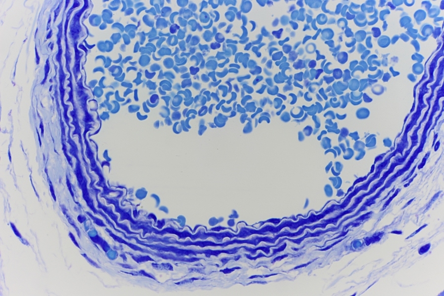
Abb. 13; Objektiv Leitz plan Apo 63x NA 1.4

Ein Arterie mit viele Elastische Fasern und Selbstverständlich Blutzellen.







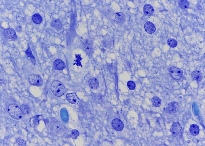
Abb. 14; Objektiv Leitz plan Apo 63x NA 1.4

Im Nervengewebe findet in diesen Mausälter noch Zellteilungen statt.





Viel Spaß beim Anschauen und viele Gruße aus Franeker, Ronald
Mikroskope:
Leitz Orthoplan (DL, AL-Fluoreszenz und Diskussionseinrichtung).
Leica/Wild M715 Stereomikroskop.
Mikrotom:
LKB 2218 Historange Rotationsmikrotom.

JoachimHLD

Hallo Ronald,
wieder eine sehr schöne Arbeit von Dir!
Ich habe bisher noch keinen so vollständigen Schnitt dieser Region der Maus gesehen.
Viele Grüße
Joachim

peter-h

Hallo Ronald,

ich kann leider kein einziges Bild sehen. Ausgesperrt.

Grüße
Peter

Ralf Feller

Hallo Ronald,
das ist beeindruckend!
Wie groß ist denn dein Blöckchen?
Die verschiedenen Größen von Einbettförmchen sind ja bei Morphisto schon sehr teuer, so 300 Euro.

Was mich gerade noch mehr interessier ist: wie wichtig ist das Glutaraldehyd und wie machst du dein Fixiergemisch?

viele Grüße nach Holland, Ralf

Fahrenheit

Lieber Ronald,

wieder eine sehr spannende Dokumentation mit toller Beschreibung anhand Deiner perfekten Bilder!
Vielen Dank für die Mühe, Die Du Dir mit Deinen Threads immer machst.

Herzliche Grüße
Jörg
Hier geht's zur Vorstellung: Klick !
Und hier zur Webseite des MKB: Klick !

Arbeitsmikroskop: Leica DMLS
Zum Mitnehmen: Leitz SM
Für draussen: Leitz HM

Levitron

Lieber Ronald,

großartige Dokumentation! Leicht nachvollziehbar und sehr informativ.
Danke für deine Mühe und den Aufwand.

Gruß
Johannes
Vorstellung: http://www.mikroskopie-forum.de/index.php?topic=29887.0

Ausrüstung:
- Reichert Biovar
- Canon EOS 700D

Ronald Schulte

@Allen, danke für den Lob,

@Peter, anderen können Normal die Bilder beobachten. Könnte das Problem bei dein Rechner liegen?

@Ralf,
Die Blöcke werden gegossen in mein Kulzer Gießmold 'S' und ja diesen Mold ist meine Meinung auch ziemlich überteuert aber wo sonst muss ich es bekommen oder selber herstellen. Das Kunststoff ist gute Qualität und konisch gefräst (das ist keine einfache Bearbeitung in ein Blindes Loch).
Den noch größeren Mold liefert noch größere Blöcke aber das schneiden wird immer schwieriger und man muss immer dicker schneiden um ein guten Schnitt zu bekommen.
Ob das Fixativ nach Karnovsky besser ist wie reine 4% Formalin habe ich noch nicht herausgefunden. Dazu musste man einige Blöcke mit gleichen Gewebe usw ausgießen und schneiden. Zukunft!
Das Rezept (modified Karnovsky FA 2% GA 2,5%) aber kommt von z.B. hier: https://books.google.nl/books?id=AMS1I116VWgC&pg=PA21&lpg=PA21&dq=karnovsky+fixative&source=bl&ots=uQ1dbjxu6I&sig=bE0HgeCruwvkN7bhanvzgkjQKB8&hl=nl&sa=X&ved=0ahUKEwjDxJWa4czXAhWF6aQKHaZqAHM4FBDoAQgtMAE#v=onepage&q=karnovsky%20fixative&f=false






Mikroskope:
Leitz Orthoplan (DL, AL-Fluoreszenz und Diskussionseinrichtung).
Leica/Wild M715 Stereomikroskop.
Mikrotom:
LKB 2218 Historange Rotationsmikrotom.

peter-h

Hallo Ronald,

nun sind die Bilder plötzlich gut sichtbar. Ganz tolle Dokumentation. Danke !

Viele Grüße
Peter

Ronald Schulte

@Ralf,

In die Bilder von die Technovit Blöcke sehe ich gerade das hier noch einige Blöcke dabei sind wo zwei Teilen Gewebe eingebettet ist. Das habe ich am Anfang mal versucht wegen Kosten Reduzierung aber das sollte man nicht machen. In ein Mold gehört nur ein Stuck Gewebe. Den Grund dafür ist das ein Block mit nur ein stuck Gewebe sich viel besser schneidet.

Gruße Ronald
Mikroskope:
Leitz Orthoplan (DL, AL-Fluoreszenz und Diskussionseinrichtung).
Leica/Wild M715 Stereomikroskop.
Mikrotom:
LKB 2218 Historange Rotationsmikrotom.

Ralf Feller

Hallo Ronald,
erst einmal Danke für den Hinweis.

Leider ist meine Kunststoffhistologie etwas ins stocken gekommen denn mein gerade gekauftes Supercut 2050 funktionierte nicht mehr und meine Befürchtung wegen der ich so ein elektrisches Mikrotom eigentlich nicht kaufen wollte wurde wahr. Man kann nicht viel selber reparieren wie bei meinem Leitz 1212. Ich musste also einen Techniker bestellen der das Gerät repariert und komplett überholt hat. Trotzdem möchte ich auf die Annehmlichkeiten dieses Gerätes nicht mehr verzichten, und beim Plastikschneiden kommt man nicht um ein solches Gerät herum.

An dieser Stelle möchte ich noch etwas Werbung für die Firma Techno-Med von Herrn Busse machen. Ich währe ohne diese Firma aufgeschmissen gewesen, denn die Großen Firmen wie Leica liefern keine Ersatzteile mehr für ältere Geräte. Die Fa. Techno-Med hat noch fast alles an Ersatzteilen. Herr Busse hat einen Techniker bei mir vorbei geschickt und der hat alles gerichtet, und sehr kompetent. Der Preis von 576 Euro hört sich vielleicht hoch an, aber für die Arbeit von fast 4 Stunden inklusive Anfahrt aus Bielefeld halte ich das für angemessen.

viele Grüße aus Mülheim-Ruhr, Ralf

Ronald Schulte

Ralf,

Die Befürchtung kenne ich auch und damit bist du nicht alleine, das ist genau auch mein 'Problem'. Was zu machen wenn mal was ist mit die Elektronik. Hier im weiten weiß schon keine überhaupt was ein Mikrotom ist!
Mein altes A&O kann eigentlich nur rosten und vielleicht das mal ein Feder zerbricht, weiter kann eigentlich nichts kaputt. Mein LKB war schon mal kaputt und da sah ich schon sehr schnell das die zwei Antriebsriemen gebrochen waren. Das sind Normale O Ringe die mit der Zeit verharrten und dann brechen. Reparatur könnte ich selber machen und hat mit mal zehn Euro gekostet. Mein Ultracut hörte vor einige Monate her auf zu Bewegen. Alles könnte ich mit den Handrad Normal machen aber Motorantrieb war unmöglich. Dieter Stoffels hat mir da getippt um auch da mal nach den Riemen zu schauen und er wusste auch wie die Maschine zu öffnen war (ist eigentlich sehr einfach nur muss man wohl wissen wie das gemacht werden muss). Und ja da war den Riemen auch gebrochen und könnte ich zum gluck auch selber reparieren. Hat mich so zwei Euro gekostet.
Da hatte ich dann zwei mal Gluck, ein Leica Techniker zu Hause bestellen ist für Privat eigentlich nicht ausführbar und dann muss er auch noch die Teile bestellen können und das ist ja meist auch nicht mehr den Fall.
Hoffen wir das die Technik fehlerfrei bleibt.

Gruße Ronald
Mikroskope:
Leitz Orthoplan (DL, AL-Fluoreszenz und Diskussionseinrichtung).
Leica/Wild M715 Stereomikroskop.
Mikrotom:
LKB 2218 Historange Rotationsmikrotom.

Dieter Stoffels

#11
Lieber Ronald,

da ich erst jetzt wieder selber schreiben kann, kommt meine Rückmeldung zu Deinem Beitrag etwas später. Ich habe den Beitrag mit großem Interesse gelesen und würde gerne noch einige Fragen an Dich stellen und etwas zur Präparation schreiben. Zunächst hätte ich eine Bitte an Dich. Könntest Du in Deinen weiteren Beiträgen die mikrofotografischen Aufnahmen numerisch kennzeichnen, so dass die Möglichkeit besteht, darauf in einer Antwort direkt zu verweisen (z.B. Abb. 1, usw.). Vielen Dank hierfür!

Meine erste Frage bezieht sich auf die zweite, mikrofotografische Aufnahme von oben. In dieser Abbildung ist unter anderem das zentral liegende Rückenmark und die lateral abgehende Radix dorsalis mit Übergang zum Spinalganglion zu erkennen. In dieser Abbildung wurden rechte und linke "Hohlräume" von Dir mit Sternen markiert und als Schrumpfartefakte ausgewiesen. Kann es sein, dass es sich hierbei primär nicht um Schrumpfartefakte, sondern im Anteile des subarachnoidalen Raumes handelt? In der Abbildung 4 von oben hast Du eine Detailaufnahme gezeigt, in der das Rückenmark und die flankierende Dura mater gezeigt wird. Wenn ich die Randbereiche beider Seiten betrachte, habe ich nicht den Eindruck, dass es zu einem zellulären Abriss gekommen ist, was die Vermutung stützen könnte, dass es sich tatsächlich um Anteile der angeschnittenen Subarachnoidalräume handelt. 

Mein zweite Frage bezieht sich auf den Bereich der Abbildung 2 von oben, den Du mit D gekennzeichnet hast. Zu erkennen sind Ansammlungen von  Osteoblasten. Des Weiteren ist eine hyaline Substanz zu erkennen, die sich, wie Du schreibst, mit Toluidinblau nicht oder gar nicht anfärbt(?). Nun meine Frage:  Handelt es sich bei dieser Substanz bereits um Osteoid, das von den Osteoblasten abgesondert wurde, oder ist es Material der postembryonalen Phase (Proteoglykan, usw.)?

Die dritte Frage bezieht sich auf die mikrofotografische Aufnahme der Abbildung 9. In dieser Abbildung zeigst Du braunes, plurivakuoläres Fettgewebe. Könntest Du mir bitte beschreiben, wo sich das Fettgewebe genau befindet. Ich vermute, außerhalb der äußersten Schicht der Dura mater.

Nun zu meiner letzten Frage: In der letzten Abbildung Deines Beitrages zeigst Du eine Aufnahme eines Mitosestadiums. Handelt es sich hierbei um die Zellteilung eines Neurons oder um die Zellteilung einer Gliazelle (Schwannschen Zelle)?

In mehreren Deinen Aufnahmen sind knorpelige Anteile zu erkennen, die vermutlich im Zuge einer enchondrialen Ossifikation verknöchern werden um sich zu belastbaren Wirbelkörpern zu entwickeln. Leider handelt es sich bei diesen knorpeligen Anteilen nicht um frühes Gewebe des Larynx (dem Kehlkopf). Der Larynx wäre aus phylogenetischer Sicht außerordenlich interessant, da ja viele Nager auch ein, wenn auch begrenztes Repertoire an Lauten von sich geben könnnen (und hierbei meine ich nicht das Geräusch, das ensteht, wenn die Mausefalle am Dachboden weidmännisch die Maus erlegt). Nicht zuletzt ist es der Larynx, der dem Menschen zu Sprache und somit zu Kommunikation verholfen hat. Das biogenetische Grundgesetzt nach Heckel besagt, dass in der Ontogenie die Phylogenie rekapituliert wird, was bedeutet, dass in der Entwicklung des Einzellebewesens, die Stammesentwicklung wiederholt wird. Unter diesem Gesichtspunkt ist eine vergleichende, histologische Untersuchung des Larynx besonders interessant! Hier könnte ich helfen.

Noch ein paar Worte zur Präparation:   Das großflächige Schneiden von Technovit 7100 mit Einwegklingen ist sicher eine große Herausforderung und mit hohen Schnittverlusten verbunden gewesen. Im vorliegenden Fall sprechen wird ja noch von nicht kalzifiziertem Gewebe. Beginnt die Kalzifizierung oder ist das Gewebe bereits kalzifiziert muss vor dem Schneiden zum Beispiel mit EDTA-entkalkt werden. Anschließend ist es praktisch nicht mehr möglich, den gleichen, großflächigen Schnittbereich nach Einbettung in Technovit 7100 in der gezeigten Qualität zu verarbeiten. Hinzu kommt, dass sich die "lockeren", leicht quellbaren Bindegewebsanteile vom kompakten Bindegewebe der entkalkten (hiermit ist nicht die Auflösung von Kalk, sondern das Herauslösen des Calciumhydroxylapatites gemeint), zellulären Knochen-/Knorpelsubstanz ablösen. Um mit diesem Material zu guten Ergebnissen zu kommen, muss zur Kunststoffeinbettung ein höher vernetzendes und weniger quellbares Polymer eingesetzt werden.

Eine Färbung von Semidünnschnitten mit einer Schnittdicke von größer/gleich 2 Mikrometern mit Toluidinblau halte ich für kritisch, da hier schon der Eindruck einer "Schmierfärbung"auftreten kann.  Eine Schnittdicke von/bis 1,5 Mikrometern ist noch tolerabel. Da sich bei Technovit 7100 auch die polymere Matrix, des Glykolmethacrylates (GMA) mitfärbt, muss bei einer Schnittdicke von 2 Mikrometern die mikrofotografische Aufnahme elektronisch stark nachbearbeitet werden, wobei häufig der metachromatische Efffekt des Toluidinblaus verloren geht. Alternativ kommt eine Methylenblau-Fuchsinfärbung in Frage, bei der der scheinbare "Schmiereffekt" unterbleibt.

Lieber Ronald, danke für diesen Beitrag!

Dieter


Ronald Schulte

Dieter,

Etwas späte Reaktion von mir aber dann noch;
Danke für dein Kommentar. Die Bilder sind jetzt genummert und werde ich zukünftig auch so machen.

In Bild 2 sind die Sternen kein Schrumpfartefakte, du hast vollkommen recht. Es handelt sich hier um Anteile des subarachnoidalen Raumes. Ich weiß nur nicht ob es im Lebenden Wesen auch so groß ist. Vielleicht kann hier jemand noch was zu sagen. In meine Fixierte Mauskopfe die ich noch habe sind die Raumen auch gut zu erkennen.

Ob D in Bild 3 Proteoglykane sind oder bereits Osteoid ist weiß ich nicht mit Sicherheit. Es ist auf jeden Fall ziemlich Hart und kommt genauso vor in die Zahne die im Kiefer zu finden sind.

In Bild 10 und 11 zeigst Du braunes, plurivakuoläres Fettgewebe. Könntest Du mir bitte beschreiben, wo sich das Fettgewebe genau befindet. Ich vermute, außerhalb der äußersten Schicht der Dura mater.
Antwort: Genau. In Bild 1 habe ich die Stellen wie B2 bezeichnet.

Gruße Ronald
Mikroskope:
Leitz Orthoplan (DL, AL-Fluoreszenz und Diskussionseinrichtung).
Leica/Wild M715 Stereomikroskop.
Mikrotom:
LKB 2218 Historange Rotationsmikrotom.