HISTOLOGIE: Nabel und Nabelschnur eine vier Tagen alte Maus.

Begonnen von Ronald Schulte, Februar 06, 2018, 20:22:55 NACHMITTAGS

Vorheriges Thema - Nächstes Thema

Ronald Schulte


Zitat Wikipedia:
Die Nabelschnur (lateinisch Funiculus umbilicalis) verbindet bei allen Säugetieren (außer Kloakentieren und Beuteltieren) inklusive des Menschen den Embryo beziehungsweise Fetus im Mutterleib über die Plazenta mit dem Blutkreislauf des Muttertieres bzw. der Schwangeren. Sie stellt damit die Versorgung mit Nährstoffen und Sauerstoff sowie die Entsorgung von Stoffwechselabbauprodukten wie Kohlenstoffdioxid sicher.

Zitat Sobotta Welsch, Lehrbuch Histologie, 2e Auflage, Seite 535:
Die 50-60 cm lange Nabelschnur verbindet Plazenta und Leibesfrucht und hat Versorgungs- und Entsorgungsfunktion. Sie besteht aus einem Strang gallertigen Bindegewebes, der vom Amnionepithel bedeckt wird und in dem die zwei Arteria umbilicales und die Vena umbilicalis verlaufen. Die Vena umbilicalis fuhrt O2-reiches Blut, die zwei Umbilikalarterien leiten )2-armes Blut aus dem Embryo bzw. Fetus in die Plazenta. Der in den ersten Schwangerschaftsmonaten noch gut ausgebildete Allantoisgang ist in der reifen Nabelschnur weitgehend zurückgebildet. Die Allantois ist die rudimentäre embryonale Harnblase. Bei Reptilien und Vögeln ist ihre kapillarreiche Wand auch Atemorgan, das der Eischale innen anliegt. Der primäre Kapillarreichtum der Allantois befähigt dieses Organ in besonderem Maße, zu Plazentastrukturen beizutragen. Die Bindegewebsmatrix enthält Bündel feiner Kollagenfibrillen und in reichem Maße Hyaluronsäure und Proteoglykane. Die Fibroblasten sind noch in der reifen Nabelschnur sehr aktive, große Zellen. Blutkapillaren fehlen in der Nabelschnur.


Zum Präparat:

Die vier Tagen alte Maus wurde schon in 2015 Fixiert in eine Formalin/Glutaraldehyde Lösung und aufbewahrt in eine 80% 2 Propanol Lösung. Im Prinzip kann man es so ewig aufbewahren.
Ziel war hier um sichtbar zu machen wo und wie den Nabelschnur im Leib hineintritt.
Dazu habe ich eine Transversale Scheibe ausgeschnitten von ungefähr drei Millimeter dick. Da kam unmittelbar den ersten Fehler hoch; die Scheibe war so dünn das einige Organen einfach heraus gefallen sind. So musste in diesen Schnitt noch einige teilen von die Leber sichtbar sein! Ist aber leider nicht der Fall.
Eingebettet wurde das Teil über eine steigende Ethanolreihe in Technovit 7100. Geschnitten wurde das Block am LKB 2218 Historange Mikrotom mit Kulzer einmalklingeln und den eigentlichen Schnitt wurde geschnitten mit ein Leica Hartmetall D Schliff Messer.
Die Färbung ist eine Toluidin Blau (1%) / Natriumtetraborat (1%) in Aqua Dest. Eingeschlossen wurde in Depex.
Die Aufnahmen sind gemacht worden am Leitz Orthoplan mit Canon 700D Kamera.



Erklärung zu die verschiedene Schnitt Richtungen.






Das Technovit Block.






Ein Bild aus Sobotta.







Diese Website ist frei zuganglich und zeigt sehr viel Details an Mausschnitte.
Link zu den Kaufman ,e mouse atlas'








Bild 1: Stitch von 16 Bilder, Leitz Plan Achnromat 4x.
Die Nabelschnur ist unten zu sehen. Oben zeigt sich das Rückenmark. Mitte, Darmen und dazwischen Pancreas. Links, anschnitt von das Linker Hinterbein.







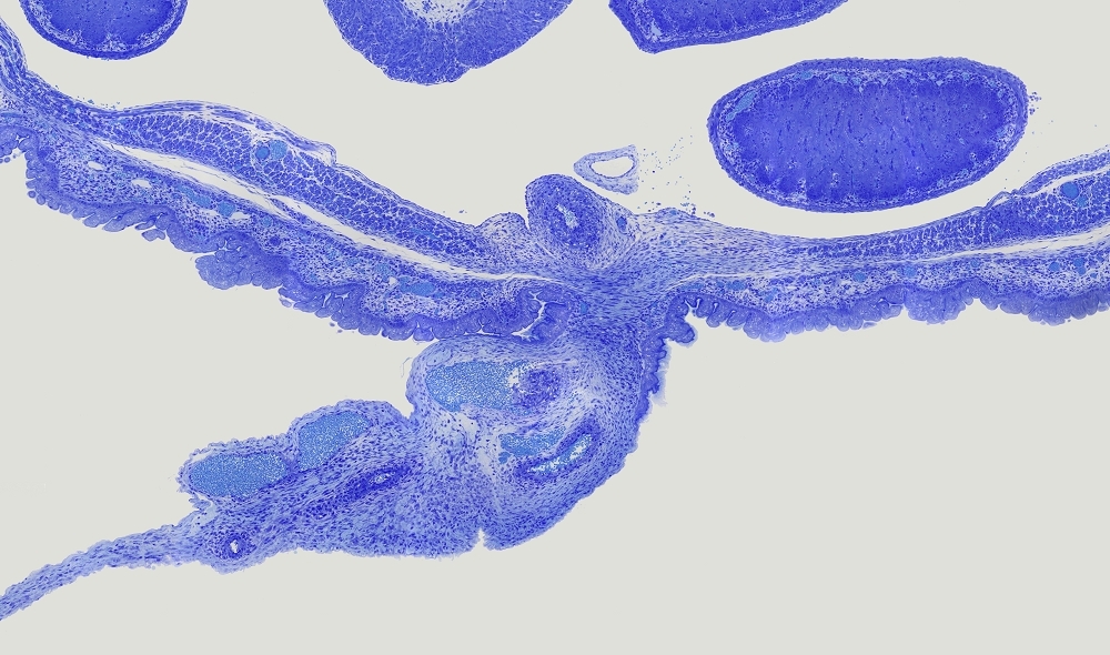
Bild 2: Stitch von 43 Bilder, Leitz Plan Fluotar 16x.
Die Nabelschnur ist jetzt besser zu sehen und man sieht schon die anschnitte von die Vene und Arterien mit viele Blau gefärbte Blutzellen.







Bild 3: Stitch von 14 Bilder, Leitz Plan Fluotar 25x.
Die Nabelschnur, Bindegewebe und anschnitte von die Vene und Arterien mit viele Blau gefärbte Blutzellen.






Grüße Ronald
Mikroskope:
Leitz Orthoplan (DL, AL-Fluoreszenz und Diskussionseinrichtung).
Leica/Wild M715 Stereomikroskop.
Mikrotom:
LKB 2218 Historange Rotationsmikrotom.

Reinhard

Hallo Ronald,

wie gewohnt, ein sehr interessanter und informativer Beitrag mit großartigen Bildern.

viele Grüße
Reinhard
seit wann ist Kunst ein Fehler ?



-----------------------------------------------------
www.mikrochemie.net