Hauptmenü

Anatomie der Maus : die Zunge

Begonnen von Carsten Wieczorrek, April 05, 2018, 23:02:54 NACHMITTAGS

Vorheriges Thema - Nächstes Thema

Carsten Wieczorrek

Hallo,
und noch ein Organ: die Zunge.

Die Zunge besteht im wesentlichen aus mehreren Muskeln, die sowohl längs als auch quer angeordnet sind. Die Zunge, die beim Menschen auch für das Sprechen verantwortlich ist, ist nach Anzahl der "Sensoren" in erster Linie ein Tastorgan. Sie ertastet die Nahrungsbestandteile und schiebt den gekauten Nahrungsbrei zurück zu den Zähnen. Auch am Schluckvorgang ist sie maßgeblich beteiligt. Das Erkennen von Geschmack kommt nach Anzahl der Sinneszellen erst an zweiter Stelle.

Auf der Oberfläche der Zunge befinden sich kleine "Warzen", die Papillen. Die Papillen können fadenförmig, keulenartig oder platt sein. Sie arbeiten im wesentlichen als Berührungssensor. Nach WIKI besitzen die Papillen einiger Säugetiere (Rind, Schaf, Katze) kleine rachenwärts gerichtete Hornspitzen. Offensichtlich gehört die Maus auch dazu. Ob sich die Zunge daher "und verleihen der Zunge eine gewisse Rauhigkeit" anfühlt, konnte ich nicht überprüfen, da das Tierchen mich nicht mehr lecken konnte  ;D.

Auch hier nehme ich Ratschläge anatomischer Fachleute gerne zur Kenntnis.

Alle Bilder sind nicht gestackt.


Präparation :
Nach Entnahme der Organe wurden diese 3 Tage in AFE eingelegt. Entwässert wurde über 70% Ethanol, 80% Ethanol, 98% Ethanol, Isopropanol (2 x 24 h), n-Butanol (2 x 24 h). Die so entwässerten Organe wurden 24 Stunden in 50% Paraffin/n-Butanol bei 62°C eingelegt und anschließend 2 x 24 Stunden in reinem Paraffin. Die paraffinierten Organe wurden dann in Paraffinblöckchen eingegossen und vor dem Schneiden 24 Stunden im Gefrierfach gelagert.

Schneiden:
Geschnitten wurde auf einem Rotationsmikrotom (Beck) mit einem C-Messer. Die Schnittdicke betrug 2 µm. Die Zunge wurde längs geschnitten.

Färbung:
Die Schnitte wurden auf Objektträger aufgezogen, 24 h bei RT getrocknet und 24 h bei 42°C nachgetrocknet. Entparaffiniert wurde je 5 Minuten in Xylon und Roticlear. Über Isopropanol, Spiritus, 80% Ethanol und 70% Ethanol wurden die Schnitte in Wasser überführt und mit der Tri-Chrom-Färbung nach Mallory gefärbt. Nach der üblichen Entwässerung wurden die Schnitte eingedeckt in"Dammer Xylol".

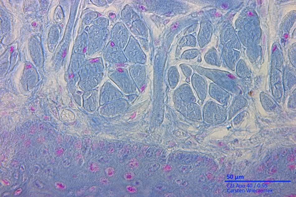
Zu sehen gibt es:

Bild 1 : Zunge nahe der Spitze,  mit dem 10er
Bild 2 : Zunge, die Spitze,  mit dem 10er
Bild 3 : Zunge nahe der Spitze,  mit dem 10er
Bild 4 : Zunge nahe der Spitze, andere Region,  quergestreifte Muskulatur ist gut zu erkennen, mit dem 10er
Bild 5 : Papillen, Schleimhaut und Geschmaksknospen? mit dem 25er
Bild 6 : Papillen, Anbindung an die Nerven,  mit dem 40er
Bild 7 : Geschmaksknospen? mit dem 40er


Viel Spaß,
Carsten


Bild 1



Bild 2



Bild 3



Bild 4



Bild 5



Bild 6



Bild 7



P. S.: Die nächsten Versuche werde ich - wenn es das Material hergibt - doch wieder mit 1 µm probieren. Irgendwie fokussiert das besser....
Für's grobe : GSZ 1
Zum Durchsehen : Amplival Hellfeld, Dunkelfeld, INKO, Phasenkontrast
Zum Draufsehen : Vertival Hellfeld, Dunkelfeld
Zum Polarisieren : Amplival Pol u Auf-/Durchlicht
Für psychedelische Farben : Fluoval 2 Auflichtfluoreszenz
Für farbige Streifen : Epival Interphako