Anatomie der Maus : die Niere

Begonnen von Carsten Wieczorrek, März 26, 2018, 08:57:25 VORMITTAG

Vorheriges Thema - Nächstes Thema

Carsten Wieczorrek

Hallo,
ich hatte mal wieder die Gelegenheit, eine von Nachbars Katze angeschleppte Maus zu sezieren. Ich möchte hier ein paar Bilder der Niere zeigen.

Präparation:
Nach Entnahme der Organe wurden diese 3 Tage in AFE eingelegt. Entwässert wurde über 70% Ethanol, 80% Ethanol, 98% Ethanol, Isopropanol (2 x 24 h), n-Butanol (2 x 24 h). Die so entwässerten Organe wurden 24 Stunden in 50% Paraffin/n-Butanol bei 62°C eingelegt und anschließend 2 x 24 Stunden in reinem Paraffin. Die paraffinierten Organe wurden dann in Paraffinblöckchen eingegossen und vor dem Schneiden 24 Stunden im Gefrierfach gelagert.

Schneiden:
Geschnitten wurde auf einem Rotationsmikrotom (Beck) mit einem C-Messer. Die Schnittdicke betrug 1 µm.

Färbung:
Die Schnitte wurden auf Deckgläser aufgezogen, 24 h bei RT getrocknet und 24 h bei 42°C nachgetrocknet. Entparaffiniert wurde je 5 Minuten in Xylon und Roticlear. Über Isopropanol, Spiritus, 80% Ethanol und 70% Ethanol wurden die Schnitte in Wasser überführt und mit der Tri-Chrom-Färbung nach Mallory gefärbt. Nach der üblichen Entwässerung wurden die Schnitte eingedeckt in, ja, in was? Auf dem Fläschchen steht "Dammer Xylol", das Zeugs ist super, dünnflüssig, trocknet über Nacht und ohne bemerkbaren Schwund. Im Internet habe ich nichts darüber gefunden (muss wohl mal meine Quelle befragen).

Zu den Bildern habe ich ein paar Fragen, vielleicht kennt sich hier jemand richtig aus. Ich kann viele der in den Zeichnungen im Internet zu sehenden Details nicht erkennen oder korrekt zuordnen. Zudem habe ich keine Erklärung für die hunderfacht auftauchenden roten Körnchen.

Zu sehen gibt es:

Bilder 1 bis 4, die Nebenniere. Bild 1 zur Übersicht. Bild 2 zeigt die Stelle, wo die Nebenniere an der Niere hängt. Die Niere ist natürlich nicht mit der Nebenniere verbunden, beide "hängen" aber in einem gemeinsamen Bindegewebe. Die Niere ist oben. Die Bilder 3 und 4 zeigen Details der "Haut" der Nebenbniere (Capsula).

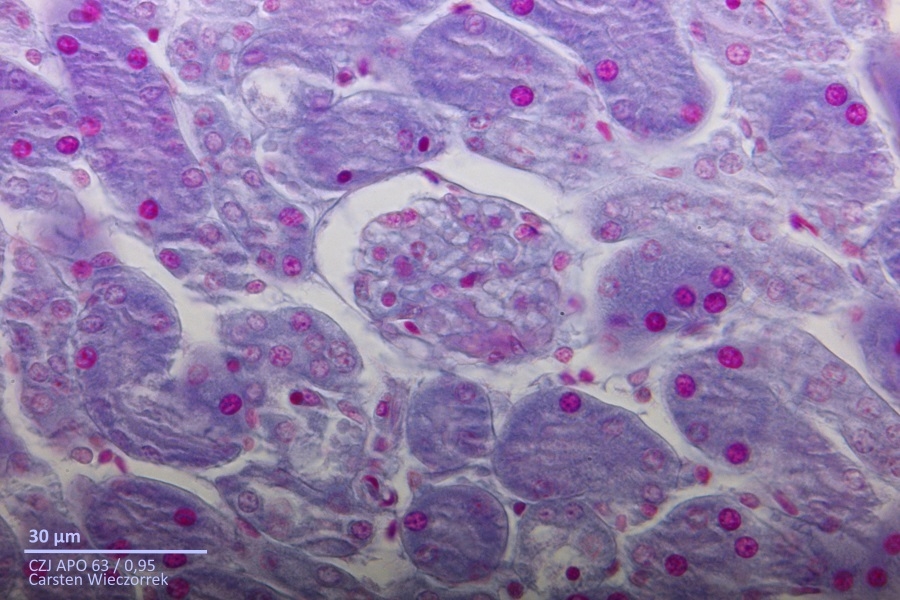
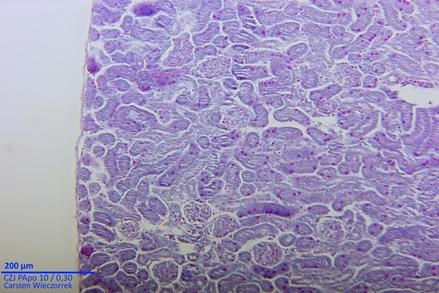
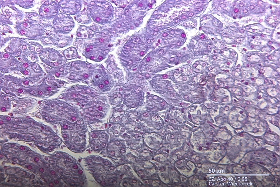
Die Bilder 5 bis 10 zeigen die Niere, 5 den Randbereich mit deutlich größeren Zellen, Bilder 6 und 7 bewegen sich dann weiter nach innen. Die Bilder 8, 9 und 10 zeigen Details. Auffällig sind die grosse "runden" Zellen (Bild 10) und die vielen roten Körperchen.

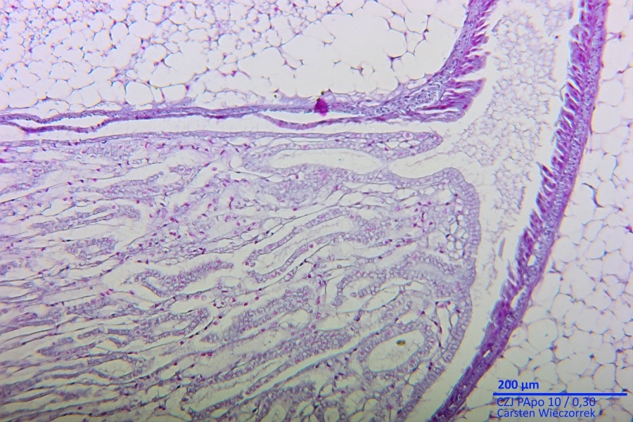
Die Bilder 11 bis 15 zeigen meiner Meinung nach (Korrekturen sind willkommen) das Nierenmark (einen Markkegel) und das Nierenbecken mit Abgang zum Harnleiter (in Bild 11 der Gang nach oben).


Und nun viel Spaß beim Betrachten,

Carsten


Bild 1 : Nebenniere



Bild 2 : Nebenniere unten, Niere oben



Bild 3 : Nebenniere, Capsula mit dem 40er



Bild 4 : Nebenniere, Capsula mit dem 63er



Bild 5 : Niere, Randbereich mit grossen Zellen



Bild 6 : Niere, Randbereich



Bild 7 : Niere, innen, kleinere Zellen



Bild 8 : Niere, Randbereich, Details



Bild 9 : Niere, Übergang grosse/kleine Zellen, Details, grosse runde Zelle



Bild 10 : Niere, Randbereich, Details, grosse runde Zelle



Bild 11 : Niere, Nierenbecken mit Markkegel (?)



Bild 12 : Niere, Nierenbecken, Mark/Harnleiter



Bild 13 : Niere, Nierenbecken, Spitze der Markkegel



Bild 14 : Niere, Nierenbecken, Spitze der Markkegel, Details



Bild 15 : Niere, Nierenbecken Mark/Harnleiter Details
Für's grobe : GSZ 1
Zum Durchsehen : Amplival Hellfeld, Dunkelfeld, INKO, Phasenkontrast
Zum Draufsehen : Vertival Hellfeld, Dunkelfeld
Zum Polarisieren : Amplival Pol u Auf-/Durchlicht
Für psychedelische Farben : Fluoval 2 Auflichtfluoreszenz
Für farbige Streifen : Epival Interphako

Ralf Feller

Hallo Carsten,
es hätte mir gefallen wenn die Profihistologen unseres Forums geantwortet hätten, aber nun versuche ich es weil ich mehr Histo-interessierte Kollegen für unser Forum gewinnen möchte. Das hier Niere geschnitten wurde ist gut zu erkennen. Bei der Nebenniere fällt es mir schon schwerer die Anatomie zu erkennen. Die Übersicht ist unscharf, du solltest z.B. Autostitch verwenden.

Generell ist AFE für die Fixierung von tierischem Gewebe nicht die beste Wahl. Ich benutze 4% Formalin, am besten neutral gepuffert.
Als Intermedium bei der Paraffineinbettung kenne ich Butanol nur bei Insekten, es funktioniert offenbar auch gut an tierischem Gewebe. Ich habe die besten Erfahrungen allerdings mit Xylol gemacht, obwohl ich auch viele Intermedien ausprobiert habe.

Nach dem schneiden kann man das Paraffin mit Rotihistol anlösen, dann, vor der absteigenden Alkoholreihe, sollte man aber in Xylol gehen.

Die vielen roten Pünktchen sollten Zellkerne sein, oder was meinst du?

Die Malloryfärbung ist sicher für den Anfang zu speziell. Ich verwende meist HE, das ist auch einfach zu interpretieren, denn die Zellkerne sind immer blau.

Ich fände es schön wenn du weiter Histologie betreiben würdest, ich würde aber erst einmal zu einfacheren und auch besser zu fixierenden Geweben raten. Ich habe mit Schweineleber und Hähnchenherzen vom Metzger angefangen.

Bei richtiger Fixierung interessiert mich sehr ob Butanol bei tierischem Gewebe etwas taugt.

viele Grüße aus Mülheim-Ruhr,
Ralf

Jürgen H.

Lieber Carsten,

wie schön, dass Du wieder etwas Histologie zeigst! Leider kann ich zur Niere der Maus nichts sagen, ,,meine" Insekten haben ja statt der Niere die Malphigischen Schläuche, Roland wird sich vielleicht noch melden.

Auch zum Verfahrensprozess bei Mäusen kann ich leider kaum etwas sagen, kann nur von meinen Erfahrungen  mit Insekten  versuchen etwas beizutragen:

Die Einbettung über n Butanol funktioniert sicher auch bei der Histologie der Tiere und nicht nur bei der der Insekten gut, Deine Präparation deckt sich jedenfalls mit der von Heinz Streble/Annegret Bäuerle, Histologie der Tiere im Wesentlichen.

Allerdings vermute ich, dass die Schnitte in den letzten alkoholischen Stufen und besonders in den Paraffinbädern überprozessiert sein könnten, 2x48 für das Paraffin Butanolgemisch und 2x 48 Stunden für das Paraffinbad sind doch sehr sehr lang. Streble Bäuerle geben bei den Paraffinbädern keine Zeiten an, das dürfte ja auch von der Größe der Präparate abhängig sein. Sie schreiben nur, dass gewechselt werden sollte, bis der Butanolgeruch verschwunden ist. Bei meinen Insekten bleibe ich jedenfalls ganz wesentlich unter Deinen Zeiten und die dürften, was die Infiltration angeht, ja nun eher zu den schwierigen Objekten gehören.

Jedenfalls sehe ich bei den Nieren viele Lücken im Gewebe in der Regel quer im Bildverlauf. Die Gewebezereissungen könnten etwas mit einer Überprozessierung zu tun haben, vielleicht auch mit einer zu hohen Temperatur beim Aufziehen der Schnitte oder mit der Schnittgeschwindigkeit beim Schneiden.. Kennst Du das hier:

https://www.leicabiosystems.com/fileadmin/img_uploads/histology_systemsz/2010/Microtomy_booklet_german_online.pdf

Eventuell ist die Schnittdicke von 1 mü nun doch zu sportlich und führt nach meinen Erfahrungen ebenfalls schnell zu Rissen und Faltenbildungen.

Die Malloryfärbung ist eine wunderschöne Färbung mit Säurefuchsin rotgefärbten Zellkernen und rot gefärbter Muskulatur und wunderschon scharf blau gefärbtem Bindegewebe. Allerdings vermute ich, dass eine AFE Fixierung die Vorteile dieser Färbemethode nicht vollständig zum Vorschein bringen kann. Bouin wäre da wohl besser. Ansonsten würde ich bei einer Formolfixierung eher HE versuchen. Ralf Feller hat da nach meiner Meinung völlig Recht.

In jedem Fall aber wünsche ich mir wie Ralf, das Du Feuer an der Histologie gefangen hast. Leider gibt es hier im Forum viel zu wenig davon zu sehen und dabei ist sie doch eine so interessante vielfältige Materie.

Schöne Grüße

Jürgen