Hauptmenü

Anatomie der Maus : das Ovar

Begonnen von Carsten Wieczorrek, April 05, 2018, 14:40:23 NACHMITTAGS

Vorheriges Thema - Nächstes Thema

Carsten Wieczorrek

Hallo,
kommen wir zu einem weiteren Organ: das Ovar. Auch hier verstehe ich nicht alles, was ich sehe. Ich hätte erwartet, irgendwo etwas als Follikel zu identifizieren. Über Nachhilfe bin ich wie immer dankbar.

Alle Bilder sind nicht gestackt.


Präparation (wie beim letzten mal) :
Nach Entnahme der Organe wurden diese 3 Tage in AFE eingelegt. Entwässert wurde über 70% Ethanol, 80% Ethanol, 98% Ethanol, Isopropanol (2 x 24 h), n-Butanol (2 x 24 h). Die so entwässerten Organe wurden 24 Stunden in 50% Paraffin/n-Butanol bei 62°C eingelegt und anschließend 2 x 24 Stunden in reinem Paraffin. Die paraffinierten Organe wurden dann in Paraffinblöckchen eingegossen und vor dem Schneiden 24 Stunden im Gefrierfach gelagert.

Schneiden:
Geschnitten wurde auf einem Rotationsmikrotom (Beck) mit einem C-Messer. Die Schnittdicke betrug 2 µm. Das Ovar wurde quer geschnitten.

Färbung:
Die Schnitte wurden auf Objektträger aufgezogen, 24 h bei RT getrocknet und 24 h bei 42°C nachgetrocknet. Entparaffiniert wurde je 5 Minuten in Xylon und Roticlear. Über Isopropanol, Spiritus, 80% Ethanol und 70% Ethanol wurden die Schnitte in Wasser überführt und mit der Tri-Chrom-Färbung nach Mallory gefärbt. Nach der üblichen Entwässerung wurden die Schnitte eingedeckt in"Dammer Xylol".

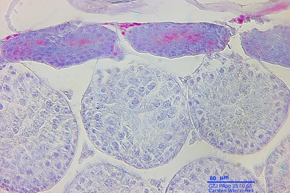
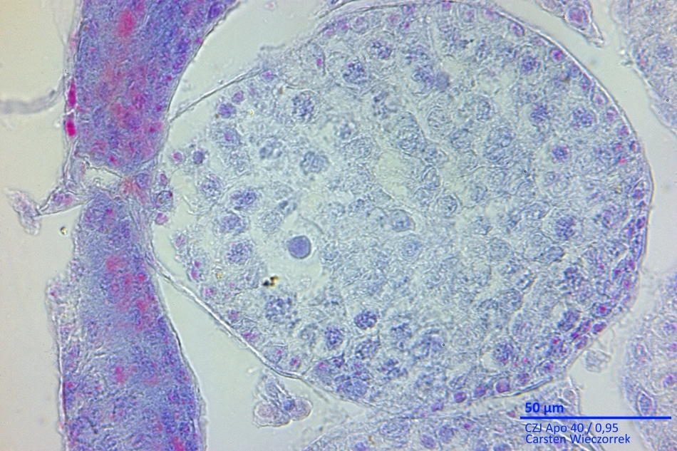
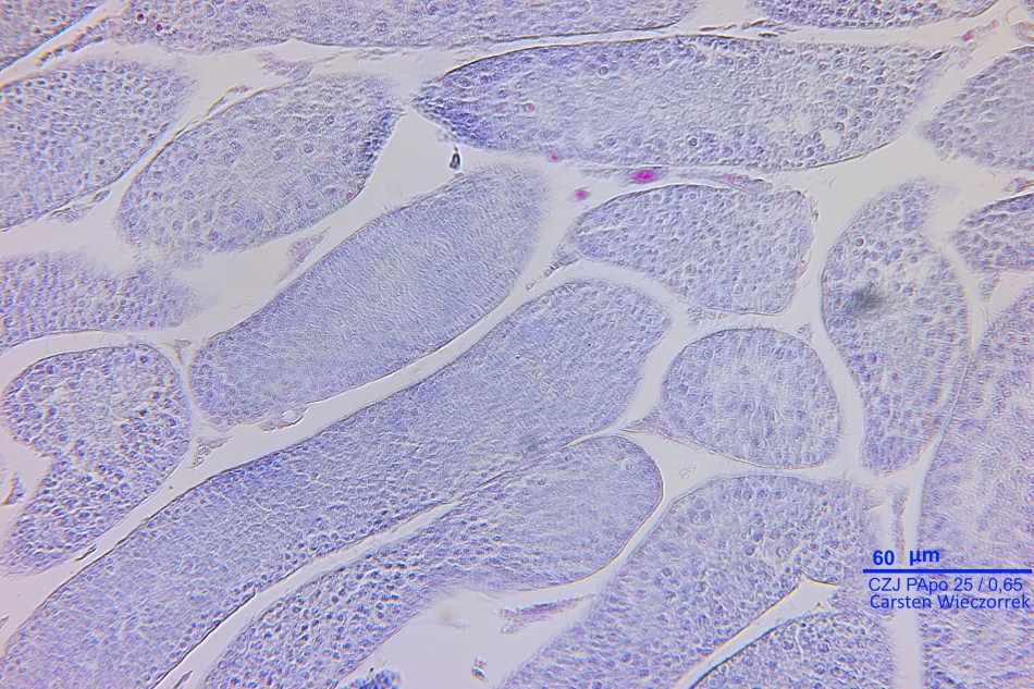
Zu sehen gibt es:

Bild 1 : äusserer Rand mit einschichtigen isoprismatischen Epithel mit dem 10er
Bild 2 : gleicher Ausschnitt mit dem 25er
Bild 3 : in etwa wie Bild 2 zwei Zelllagen tiefer, mit dem 25er
Bild 2 : andere Zellform am gegenüber liegenden Rand mit dem 25er
Bild 5 : gleicher Ausschnitt wie Bild 2 mit dem 40er


Viel Spaß,
Carsten

Bild 1



Bild 2



Bild 3



Bild 4



Bild 5
Für's grobe : GSZ 1
Zum Durchsehen : Amplival Hellfeld, Dunkelfeld, INKO, Phasenkontrast
Zum Draufsehen : Vertival Hellfeld, Dunkelfeld
Zum Polarisieren : Amplival Pol u Auf-/Durchlicht
Für psychedelische Farben : Fluoval 2 Auflichtfluoreszenz
Für farbige Streifen : Epival Interphako

Ronald Schulte

Carsten,

Prima das mal was an Histologie zu sehen ist. Wenn es deine erste Einbettung und Schnitte sind dann Hut ab. Meine erste Schnitte waren eher dramatisch und könnte ich hier gar nicht zeigen.
Einige Kritische Bemerkungen habe ich aber wohl;
Ich lese das du Fixierst in AFE. Musste gehen aber warum nicht wie üblich in Formalin oder, für die Trichrom Färbung sehr empfehlenswert, in Bouin?
Ich merke das auf weil ich die Details von ein Ovar nicht sehe. Es scheint als ob hier nicht richtig oder zu wenig Fixiert ist.
Warum hast du die Blöcke tiefgefroren? Wenn ich das mache dann zerbricht mir das Block und kann es gar nicht mehr schneiden. Im Kühlschrank für eine Nacht aufbewahren geht ohne Bruch und ein gekühltes Block schneidet dünner wie ein nicht gekühltes Block. Einfacher schneidet sich aber ein Zimmertemperatur Block und ich wurde zum Anfang erstmals auf ZT schneiden. Dann sind 4µm Schnitte auch sehr gut möglich und lassen schon vieles an Detail sehen.
Ob die Schnitte 2µm sind bezweifele ich darum.
Was ich an deine Bilder erkennen kann kommt mir mehr vor wie ein Testis dann ein Ovar. Weißt du sicher dass es Ovar ist?
Meine Maus Ovar Schnitte habe ich schon mal gezeigt: http://www.mikroskopie-forum.de/index.php?topic=15523.msg119791#msg119791
Und der Testis ist hier zu sehen: http://www.mikroskopie-forum.de/index.php?topic=15756.msg121293#msg121293
Das kommt mehr überein wie Ovar, denke ich (was ich aber denke braucht gar nicht war zu sein).

Gruße Ronald
Mikroskope:
Leitz Orthoplan (DL, AL-Fluoreszenz und Diskussionseinrichtung).
Leica/Wild M715 Stereomikroskop.
Mikrotom:
LKB 2218 Historange Rotationsmikrotom.

Carsten Wieczorrek

@Ronald

ZitatWenn es deine erste Einbettung und Schnitte sind dann Hut ab.
Ich über zwar noch, aber die ersten sind es nicht (siehe auch "die Niere")

Zitataber warum nicht wie üblich in Formalin oder, für die Trichrom Färbung sehr empfehlenswert, in Bouin?
Weil ich kein Bouin habe und noch keine Quelle gefunden habe. Wenn Du etwas abzugeben hast oder eine zuverlässige Quelle kennst : immer her damit!


ZitatWarum hast du die Blöcke tiefgefroren?
Mein Paraffin schneidet sich dann besser.

ZitatOb die Schnitte 2µm sind bezweifele ich darum.
Mein Mikrotom ist geschätzt von 1940. Alle Gewinde sind definitiv imperial. Was es macht, wenn ich die Schraube auf "2 micron" einstelle, weiss ich nicht und kann ich auch nicht überprüfen. Ich weiss nur, 1 micron gibt dünnere Schnitte als 2 micron und mehr, als an der Einstellschraube zu drehen, kann ich ja nicht machen.


ZitatWas ich an deine Bilder erkennen kann kommt mir mehr vor wie ein Testis dann ein Ovar.
Diesen Zweifel hatte ich auch. Aber ich habe auch schon einen Mäusehoden geschnitten und in dem Präparat waren überall Spermien zu sehen, die sehe ich hier auch nicht. Aber vielleicht war es ja eine impotente Maus ::)


Schöne Grüße

Carsten
Für's grobe : GSZ 1
Zum Durchsehen : Amplival Hellfeld, Dunkelfeld, INKO, Phasenkontrast
Zum Draufsehen : Vertival Hellfeld, Dunkelfeld
Zum Polarisieren : Amplival Pol u Auf-/Durchlicht
Für psychedelische Farben : Fluoval 2 Auflichtfluoreszenz
Für farbige Streifen : Epival Interphako

Jürgen H.

#3
lieber Carsten,

die Schnitte, sind, meine ich, viel viel besser als das vorige Mal. Zur Histologie der Maus kenne ich mich leider nicht aus, kann dazu kaum etwas sagen. Was mir aber auffällt, ist, dass Deine Malloryfärbung ganz anders ausfällt als gewöhnlich. Das gilt auch für Deine Zungenbilder. An sich sollten die Kerne kräftig rot, und die Muskulatur, die bei der Zunge ja überreich vorhanden ist, in einer Art Orangetönung gefärbt sein. Bei Dir ist alles ziemlich einheitlich blau und das sieht dann nicht nach Trichrom aus.

Daher würde mich interessieren, nach welchem Malloryrezept ( es gibt meines Wissens nach drei) Du denn gefärbt hast und wie ( ganz genau ) Deine einzelnen Schritt waren.

Hier gibt es das erste Originalrezept von Mallory:

https://www.ncbi.nlm.nih.gov/pmc/articles/PMC2117995/pdf/15.pdf

Und da liest Du auch schon in seiner Vorschrift,dass eine Sublimatfixierung zu verwenden sei und vor allem:

With alcohol and other fixatives everything stains blue. ( wobei hingegen Bouin sehr gut funktioniert)

Daneben habe ich einmal in der Histologietechnik von Gabe geblättert, der im Unterschied zu dem Rezept von Mallory  schreibt, dass nachder Fuchsinfärbung nicht! zu waschen sei. Er weist ebenfalls darauf hin, dass die Malloryfärbung ihren Nachteil in der schlechten Kernfärbung haben könne. Ich spüle die Fuchsinlösung nur einmal kurz mit Wasser ab. Nach meiner Erfahrung ist auch der Differenzierungsschritt mit dem 96er Alkohol sehr kurz zu halten, gerade wenn die Schnitte dünn sind.
Sonst wäscht es Dir die Färbung aus.

Deine Gefrierfachverwendung verstehe ich ehrlich gesagt auch nicht, wohl aber, dass Du kühl schneiden möchtest. Ideal ist für mich ein bischen Eis mit einer dünnen Wasserschicht bedeckt. Darauf wird der Block vor dem Schneiden gekühlt.

Weiterhin viel Erfolg!

Jürgen