HISTOLOGIE: Nierenkörperchen, Podozyten, Riesenmitochondrien im Semidünnschnitt

Begonnen von Ronald Schulte, Juni 26, 2018, 21:02:43 NACHMITTAGS

Vorheriges Thema - Nächstes Thema

Ronald Schulte


Weil es immer wieder fasziniert möchte ich heute mal ein Nierenrinde Kunststoff Schnitt vorstellen.
Hier erstmal das Totalbild, weiter geht es unter das Bild.


Bild 1,





Es handelt sich hier um eine Ratten Niere die Perfusion Fixiert ist und Sekundär mit Osmium Tetroxid Fixiert wurde. Eingebettet über Aceton in Epon 812.
Nachdem das Block getrimmed ist kann es in ein Specimen Behälter eingeklemmt werden.

Bild 2,






Den Specimen Behälter wird dann eingespannt in mein Reichert-Jung Ultracut E Ultramikrotom.
Hier kann man mit Glasmesser oder Diamant Messer schneiden. Weil ein Diamant Messer für Histologische Semidünne Schnitte sehr teuer ist habe ich mich entschieden um mit Glasmesser zu schneiden. Die Messer kann ich selber herstellen und wenn man Glasstreifen genug hat, dauert es viele Jahre vor dass man die mal alle Stumpf geworden sind. Das Herstellen von Glasmesser habe ich hier im Forum schon mal gezeigt. Link dazu ist: https://www.mikroskopie-forum.de/index.php?topic=18608.0

A = Specimen Behälter
B = Das Kunststoff Block mit Präparat
C = Glasmesser
D = Schneidekante
E = Angeschmolzen Wasser Boot
F = Das Boot wird mit Dental wax an das Messer geschmolzen.

Bild 3,






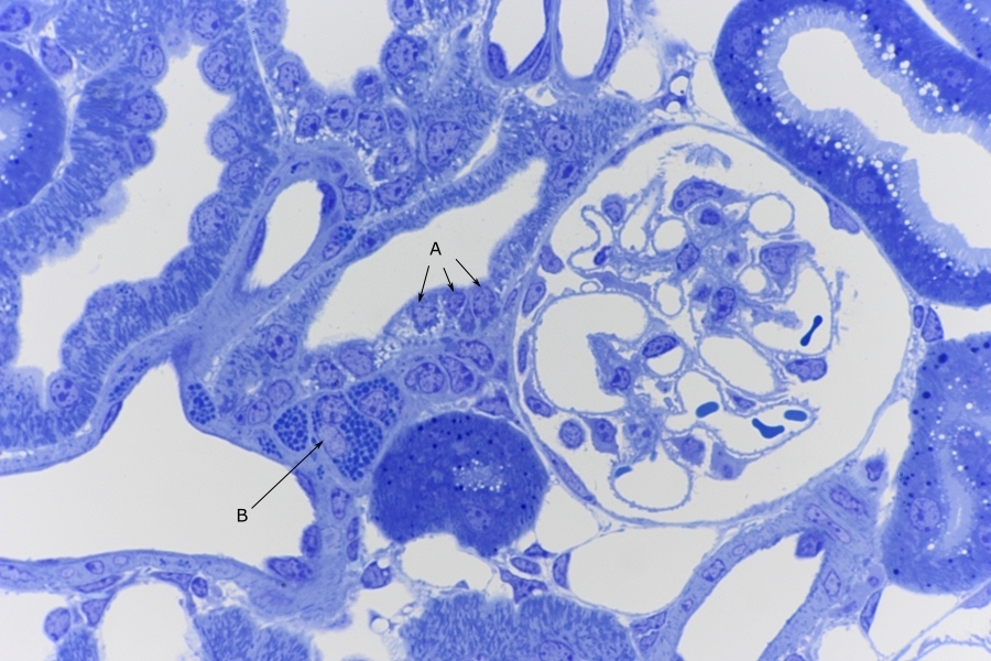
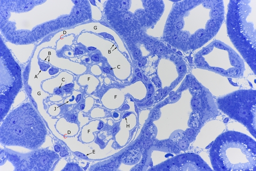
In diesen Beitrag möchte ich nicht Zuviel auf einmal zeigen. Darum beschranke ich mich auf die Nierenkörperchen (glomerulus) und die Zellen die da und in die Nähe zu sehen sind.
Drei Bilder stammen von Wikipedia,

Bild 4,




Bild 5,




Bild 6,








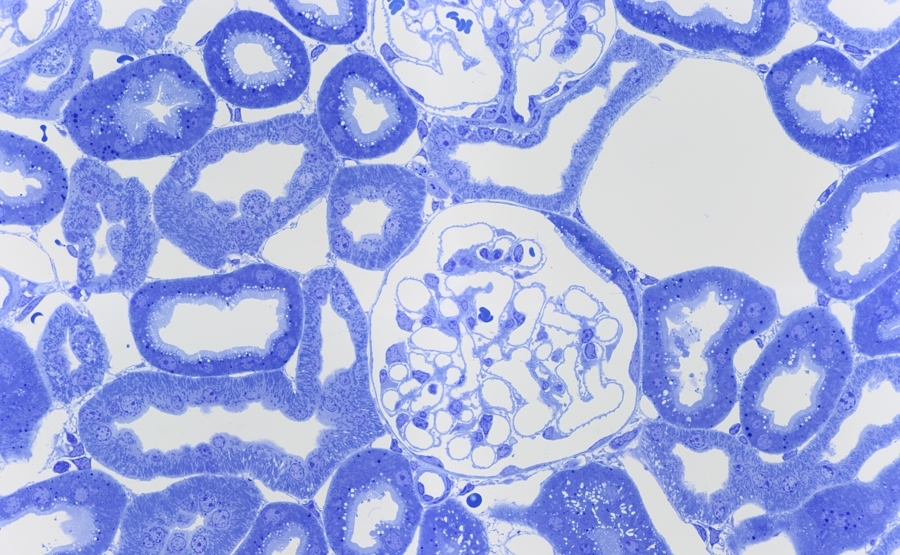
Ein Übersicht Bild mit drei Nierenkörperchen und viele Tubulus.

Bild 7,






A = Nukleus von eine Podozyte
B = Podozytenfortsätze (Füßchen)
C = Mesangiumzellen
D = Filtrations Membran (Blut-Harn Schrank)
E = Epithel Zelle der Bowman Kapsel
F = Blutraum
G = Harnraum
H = Endothelzelle im Blutraum
J = Erythrozyt (Rote Blutzelle)

Die Podozyten sind Zellen der Nierenkörperchen. Sie bilden das innere Blatt der Bowman-Kapsel und sind daher, zusammen mit der Basalmembran, für die Filterfunktion der Nieren von besonderer Bedeutung. Aufgrund ihrer äußeren Form – vielfach miteinander verzahnter Fortsätze – werden sie auch als sogenannte Filtrationsschlitze bezeichnet, da sie nur für Moleküle bis zu einer molaren Masse von etwa 70 kDa durchlässig sind. Sie sind damit Teil der Blut-Harn-Schranke.

Das Mesangium ist ein besonderes Bindegewebe innerhalb und außerhalb des Nierenkörperchens. Die so genannten Mesangiumzellen (Mesangiozyten) stützen die Kapillarwände, phagozytieren und sind auch an der Informationsweiterleitung bei Regulationsvorgängen (tubuloglomeruläres Feedback) beteiligt.

Die Bowman-Kapsel, auch Bowmansche Kapsel, besitzt zwei Schichten. Das äußere (parietale) Blatt der Bowman-Kapsel umschließt das gesamte Nierenkörperchen. Es besteht aus einem dünnen, einschichtigen Plattenepithel.

Bild 8,






Das gleiche wie Bild 8 nur mal in Grautonen. Man sieht hier mehr Detail.

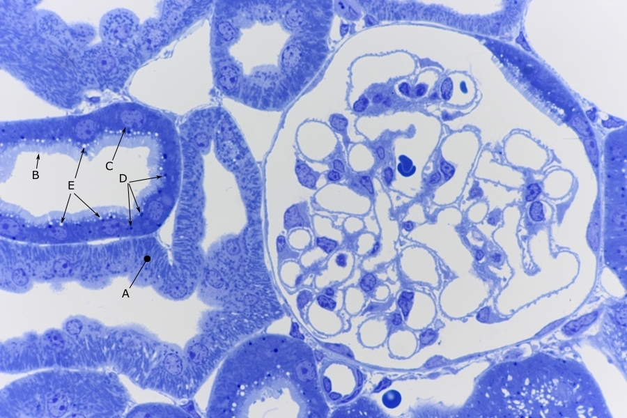
Bild 9,






A = Riesenmitochondrien in den Zellen der Nierentubuli
B = Epithelzellen mit hohem Bürstensaum
C = Nukleus
D = Wahrscheinlich Lysosomen
E = Apikale Vakuolen

Bild 10,






Das gleiche wie Bild 10 nur mal in Grautonen. Man sieht hier mehr Detail.

Bild 11,






A = Zellen der Macula densa (https://de.wikipedia.org/wiki/Macula_densa)
B = Der juxtaglomeruläre Apparat (https://de.wikipedia.org/wiki/Juxtaglomerul%C3%A4rer_Apparat)

Bild 12,






Stitch von vier Bilder. Objektiv plan apo 63x na 1.4

Bild 13,






Sehr viel Information hohle ich aus mein ,,An atlas of Histology" von Johannes Rhodin.
In das Buch werden nur EM Bilder gezeigt aber das große Plus für Lichtmikroskopiker ist dass die Bilder alle anfangen mit niedrige Vergrößerungen und mehr und mehr ,einzoomen' in das Gewebe.
Auch sind alle Bilder beschriftet was selbstverstandlich ein riesen plus ist.
Ich sah gerade im Netzt dass das Buch ab und zu nochmal angeboten wird. Zum Beispiel hier auf Amazon,  https://www.amazon.com/Atlas-Histology-Johannes-G-Rhodin/dp/019501944X

Bild 14,




Bild 15,




Bild 16,




Bild 17,



Viel Spaß beim Anschauen, Gruße aus Holland, Ronald
Mikroskope:
Leitz Orthoplan (DL, AL-Fluoreszenz und Diskussionseinrichtung).
Leica/Wild M715 Stereomikroskop.
Mikrotom:
LKB 2218 Historange Rotationsmikrotom.

Bayer

Lieber Ronald,

vielen Dank für den ausführlichen Artikel, in dem auch gut beschrieben ist, wie man zu den Präparaten kommt, die man dann fotografieren kann.
Sind auch sehr schöne Erklärungen darüber "was man eigentlich sieht".
Ist nicht mein Interessenschwerounkt, aber es dennoch sehr interessant Deinen Beitrag zu lesen.

Beste Grüße
Christian
Stemi 508doc
AxioScope.A1
Nikon D850

Ralf Feller

Lieber Ronald,
du setzt wieder einmal Maßstäbe in der lichtmikroskopischen Histologie!
Man möge nur mal die Google Bildersuche bemühen.
Das kann man nicht besser machen. Besonders die schwarz-weiß Aufnahmen zeigen, das man mit dem Lichtmikroskop in elektronenmikroskopische Dimensionen vordringen kann. Das beweist der Vergleich mit den TEM-Aufnahmen.
Nun habe ich wie immer viele Fragen.

Die schwarz-weiß Bilder sind super, hast du die Kamera auf schwarz-weiß eingestellt oder mit dem PC entfärbt?

Was nimmst du für die primäre Fixierung, Formaldehyd /Glutaraldehyd in Phosphatpuffer?
Und welche Konzentrationen nimmst du hier? Welche Konzentration hat der Puffer?

Die OsO4 Nachfixierung ist auch prima gelungen,
ist das OsO4 auch in Phosphtpuffer?

Hast du auch mal zum Vergleich ohne OsO4 geschnitten?
Der Unterschied würde mich interessieren.

Die Dokumentation ist super, danke fürs zeigen.

viele Grüße, Ralf

Ronald Schulte

@Christian, Danke für dein Lob. Das schwierige teil an die Histologie ist gar nicht die Herstellung von die Schnitte sondern zu Determinieren, also zu verstehen was da zu sehen ist. Im Rückenschau muss immer mitgenommen werden das man ein Fixiertes Gewebe sieht, man nur ein 2D Flache anschaut und kein 3D usw.


@Ralf, Danke auch für dein Lob. Ja so ein Bild ist in die Paraffin Technik fast unmöglich. Darum liebe ich die Kunststoffe auch so, die Details sind einfach super. Problem ist öfters dass man nur wenige fragen kann um Rat oder Hilfe. So viele machen das ja nicht. Ich habe schon öfters an ein Pathologe, wie Florian Stellmacher, gefragt aber der kennt nur das Paraffin Bild und muss auch sagen: ,,das wusste ich auch nicht".

Zu deine Fragen:
- Ich habe das Bild von die Canon 700D Kamera einfach in Photoshop geladen und die Funktion ,Graustufen' abgerufen. Dann habe ich nur das Kontrast etwas erhöht weil man dann mehr Details sieht, weiter ist es unbearbeitet. Auch die gefärbte Bilder sind meist unbearbeitet. Ab und zu verstelle ich den weißabgleich etwas.
- Leider habe ich dieses Block nicht selber hergestellt sondern bekommen von ein Institut aus Hannover. Ich weis nur das es Perfusion Fixiert ist und sekundär Fixiert ist mit Osmium Tetroxid (das Gewebe sieht schwarz aus).

Die weitere Fragen kann ich also jetzt nicht beantworten aber das wird sich wohl ändern. Im Herbst (wenn ich alle Stoffe habe und die Temperatur etwas träglicher ist) werde ich ein vergleich Test machen mit verschiedene primäre und sekundäre Fixativen in verschiedene Kunstoffe. Ich möchte dann in Technovit 7100, LR White und epon einbetten. Das Technovit 8100 was ich mal von dir bekommen habe bringt in vergleich mit das 7100 wenig. Vielleicht aber nehme ich das wohl im Test mit.
Die Fixativen werde ich beschranken auf Formaldehyde, glutaraldehyde, Mischungen von beide und Osmium Tetroxide mit Zufügungen von Kaliumhexacyanoferraat. An Puffer Lösungen werde ich mich beschranken auf Phosphat Puffer mit Zufügungen von Sucrose. Das viel genutzte Cacodylat werde ich nicht gebrauchen weil es mir zu giftig und teuer ist. Dazu bringt es nur was wenn man später mit Uranium Azetat Farben möchte für das EM. Das aber spielt hier keine Rolle also reicht Phosphat völlig aus. 
Die Perfusion werde ich wahrscheinlich nicht selber ausfuhren weil ich dazu zu wenig ,know how' habe und möchte das Tier nicht unnötig quälen. Bei die perfusion kann auch vieles scheitern.
Ich werde mich dann beschranken auf immersions Fixierung. Die Gewebe Stucke aber werden Ultramikrotom entsprechend klein sein.

Gruße Ronald
Mikroskope:
Leitz Orthoplan (DL, AL-Fluoreszenz und Diskussionseinrichtung).
Leica/Wild M715 Stereomikroskop.
Mikrotom:
LKB 2218 Historange Rotationsmikrotom.

Jürgen H.

Lieber Ronald,

ganz große Anerkennung für diesen großartigen Schnitt und seine färberischen Darstellungen, nicht zu verrgessen die Aufbereitung des Themas.

Ich habe mir zum Vergleich einmal die drei Nierenpräparate angesehen, die ich besitze ( Charité, Prof. Haselmann Tübingen, und ein Präparat aus der Uniklinik von meinem Schwiegergroßvater) alles  Paraffinpräpate, das Tübinger Präparat in Azan, die übrigen in H-E. Natürlich kann keines davon mit der Exaktheit Deines Kunststoffpräparates mithalten.

Immerhin: Das jüngste meiner Präparate, das der Charité, 2mü geschnitten, zeigt noch die meisten Details.Aber die Podozytenfüßchen z.B. lassen sich an wenigen Stellen mehr erahnen als sehen (das Erahnen funktioniert bei mir nur nach dem Sehen bei Deinem Präparat :-) ), die Riesenmitochondrien gar nicht als solche, immerhin aber z.B. deutlich den Bürstensaum der Mikrovilli.

Das zweitjüngsten, das auf ein Glimmerplättchen aufgeklebte Tübinger Präparat, gibt noch weniger Detailreichtum,  überzeugt allerdings wegen der färberischen Darstellung des Bindegewebes ( ist eben Azan )

Im ältesten meiner Präparate, dem Kölner Präparat erkennt man, dass es sich um Nierengewebe handelt. Aber wegen der Schnittdicke und des reichlich verwendeten Kanadabalsams sind nicht einmal die feinen kapillären Räume gut zu identifizieren.

Insgesamt sehe ich eine Riesenentwicklung beim Herstellen lichtmikroskopischer Präparate. Es ist großartig, was möglich geworden ist. Wie Ralf schon schrieb: Du gelangst in Regionen der Elektronenmikroskopie.

Dein beabsichtigter Vergleich der verschiedenen Kunststoffe wird sicher interessant!

Schöne Grüße

Jürgen

Bayer

Lieber Ronald,

das Thema Kunststoffschnitte würde mich auch mal interessieren - vor allem auch die Breite der Anwendungsgebiete.
Noch kaufe ich mir meine Präparate, da ich jetzt möglichst viel mikroskopieren möchte und auch Fotografiertechniken ausprobieren will.
Später einmal kommt man um die Eigenpräparation wahrscheinlich nicht herum.

Beste Grüße
Christian
Stemi 508doc
AxioScope.A1
Nikon D850

Ralf Feller

Liebe Kollegen,

nur eine kurze Ergänzung:

Ich habe es selbst bisher nicht ausprobiert,
aber man kann diese phantastische Methode auch in der Botanik einsetzen.

http://www.scielo.br/scielo.php?script=sci_arttext&pid=S0102-33062015000200207

viele Grüße, Ralf

Ronald Schulte

#7
@Jürgen,
Danke für die Blumen! Das gewinn an Detailreichtum ist ja genau warum ich mich so gerne in die Kunststoff Harze herum bewege obwohl das auch wichtige Nachteile hat. Die wichtigen sind:
- immer nur kleine (2x2mm, LR White und Epon, bis max 4x4mm in Technovit) Schnitte,
- nur wenige Farbmöglichkeiten (meiste Farbstoffe sind Basisch, Toluidine B, Fuchsin Basisch, Methylen B, Azur II, usw),
- in Technovit und LR White sind nur begrenzte Histochemie und Immunohistochemie brauchbar,
- die Aufbereitung muss unbedingt sauber und fehlerfrei sein (wo bei Paraffin Einbettung nochmal ein wenig Wasser Erlaubt werden kann muss man bei Kunststoffe absolut Wasserfrei arbeiten),
- die Kosten von Mikrotome und Messer ist höher wie bei Paraffin Schnitte,
- wenn man ganz alleine anfangen möchte kommen zuerst mehr Fragen wie antworten auf! Anders gesagt, es ist günstig um mal was Praxis Probleme teilen zu können mit genossen.

Ich habe vorgestern (während eure dramatische WM Stunden) mal ein Drosophila Kopf in Epon geschnitten.
Leider hat man da auch die sofortige Trennung von Harz und Chitin. Es freute mich aber wohl das ich das Auge Problemlos schneiden könnte also muss das Harz wohl gut Infiltriert sein.

@Christian,
Präparate kaufen wird früher oder später für dich nicht ausreichen. Wenn mal druck aufkommt um es anders zu machen dann ist die Zeit gekommen um dich rum zu sehen und zu suchen nach ein Ordentliches Mikrotom. Dann erst fangt den Spaß richtig an!

@Ralf,
Den Artikel gehört eigentlich nicht hier sondern zu die Botanik boys. Jörg Weis, Hans-Jürgen usw.


Gruße Ronald
Mikroskope:
Leitz Orthoplan (DL, AL-Fluoreszenz und Diskussionseinrichtung).
Leica/Wild M715 Stereomikroskop.
Mikrotom:
LKB 2218 Historange Rotationsmikrotom.