Hauptmenü

Zunge vom Schwein

Begonnen von Alf, Oktober 28, 2019, 10:26:17 VORMITTAG

Vorheriges Thema - Nächstes Thema

Alf

Ich wollte einmal versuchen, ob man aus Supermarkt Ware brauchbare histologische Präparate anfertigen kann. Als Testobjekt habe ich mich für eine Schweinezunge entschieden und das Resultat ist erstaunlich gut. Fixiert wurde in 4% Formalin und mit HE gefärbt.

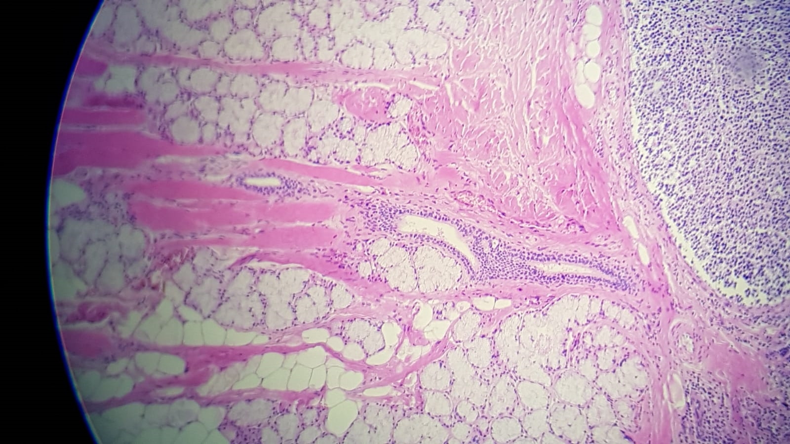
Das Präparat wurde aus dem hinteren Teil der Zunge angefertigt. An der Oberfläche findet man ein mehrschichtig unverhorntes Plattenepithel. Darunter liegt die Zungenmandel (Tonsilla Lingualis) und man erkennt zahlreiche Lymphozyten. Die Zungenmandel ist Teil des Mucosa assoziierten lymphatischen Gewebes (MALT). Unter ihr befinden sich Bindegewebe, zahlreiche muköse Drüsen mit Ausführungsgängen und quergestreifte Skelettmuskulatur.

Meine Fotos wurden mit dem Handy durchs Okular geschossen und haben deshalb leider nicht die beste Qualität.


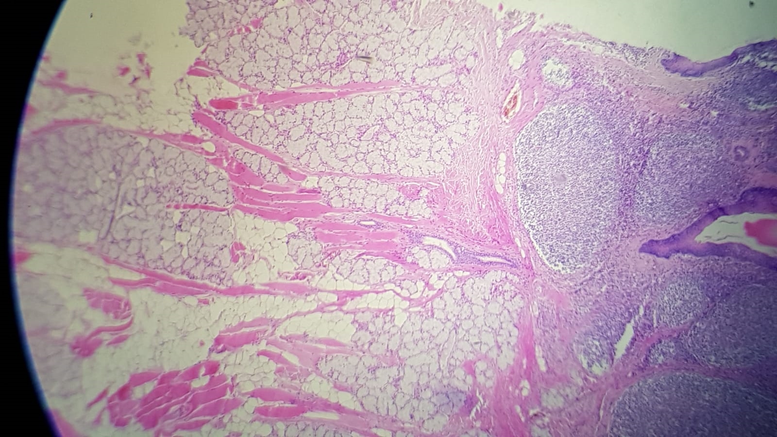
Die Bilder 1 und 2 sind Übersichtsaufnahmen. Man sieht das Epithel, Zungenmandel mit Lymphfollikel, Drüsengewebe, quergestreifte Muskulatur, Gefäße, Drüsenausführungsgänge und Bindegewebe.


Bild 1


Bild 2


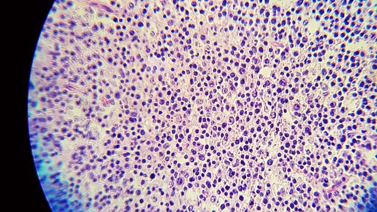
Auf Bild 3 sieht man die Zungenmandel noch etwas vergrößert und auf Bild 4 die Zellen der Zungenmandel, vorwiegend Lymphozyten.


Bild 3


Bild4


Bild 5 zeigt muköse Drüsen, die daran als mukös festzumachen sind, dass die Zellkerne an den Rand gedrängt sind und das Zytoplasma nur sehr schwach angefärbt ist. Auf Bild 6 und 7 sieht man einen Drüsenausführungsgang mit isoprismatischem Epithel.


Bild 5


Bild 6


Bild 7


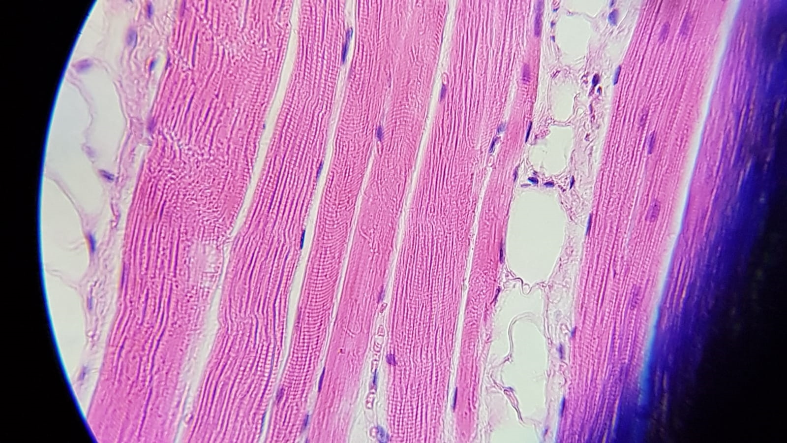
Auf Bild 8 sieht man quergestreifte Skelettmuskulatur.


Bild 8