Hauptmenü

Wurzelschnitt Erbse

Begonnen von rekuwi, September 27, 2009, 23:52:18 NACHMITTAGS

Vorheriges Thema - Nächstes Thema

rekuwi

Liebe Mikroskopiker/innen,

von einem gekauften Präparat (Fa. Microthek) habe ich mal paar Bilder gemacht. Zum Einstieg erstmal eine Platterbse Lathyrus sylvestris sp. mit Blüten und Schoten. Sie wächst häufig an Zäunen und wuchert bis 2 m hoch:





hier hat sich eine Holzbiene gelabt:



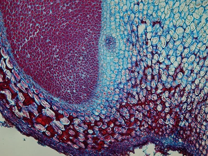
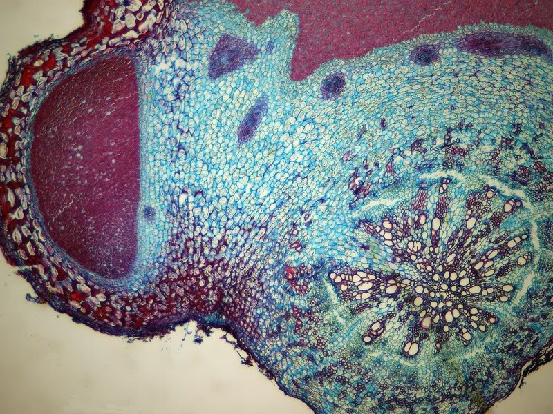
die Übersicht des Schnittes durch die Wurzel mit Speicherknötchen (6,3x Objektiv). Über die Art der Färbung und die Einbettung kann ich nichts sagen, es ist nichts davon auf dem Kästchen erwähnt.



hier mit 10x Objektiv:





hier mit 25x Objektiv:



Eigentlich hatte ich mir von gekauften Präparaten mehr Qualität erhofft. Aber sowas ist wohl doch ein Fließbandprodukt. Jedenfalls keine Konkurrenz zu den hier schon gesehenen Schnitten unserer Stars!

Wer macht mir die Freude und erklärt den Schnitt!?

Liebe Grüße
Regi


Peter V.

Hallo Regi,

ich würde nicht sagen, dass das Präparat "schlecht" ist. ich denke, dass Du die Aperturblende etwas zu weit zugezogen hast und die Zellwände dadurch so "artefaktreich" ausehen.

Herzliche Grüße
Peter


Dieses Posting ist frei von kultureller Aneigung, vegan und wurde CO2-frei erstellt. Für 100 Posts lasse ich ein Gänseblümchen in Ecuador pflanzen.

rekuwi

Lieber Peter,

Zitatich würde nicht sagen, dass das Präparat "schlecht" ist. ich denke, dass Du die Aperturblende etwas zu weit zugezogen hast und die Zellwände dadurch so "artefaktreich" ausehen

das werde ich mal ausprobieren, ob es wirklich hilft!?
Der Schnitt durch die Erbsenwurzel ist schon einer der Besten aus dem ganzen Kästchen, total schlecht ist er natürlich nicht.

Liebe Grüße
Regi

liftboy

Hallo liebe Regi,
als stolzer Besitzer der kompletten Präparatserie von Jungner muss ich zugeben, dass da nicht alles so schön gelaufen ist, wie versprochen. Etliche Präparate musste ich nach schon 20Jahren neu eindecken (der Herr Frauenhoffer sen. gab mir den Tip, die alten Präparate mit Xylol zu lösen und dann mit Eukitt wieder einzudecken)
Besonders lästig ist die mangelhafte Deklaration; keine Angabe von Färbung oder Einschlussmittel, zum Teil nur pauschale Bezeichnungen!
Andererseits, - wie will man an eine solche Präparatfülle gelangen? Außerdem würde ich niemals eine Katze schlachten, nur um an deren Sehnerv zu kommen!
Gruß
Wolfgang
http://www.mikroskopie-forum.de/index.php?topic=785.msg3654#msg3654
LOMO-Service
Das Erstaunen bleibt unverändert- nur unser Mut wächst, das Erstaunliche zu verstehen.
Niels Bohr

Jürgen Boschert

Hallo,

eine Feststellung und zugleich eine Frage.

Ich habe einige Serien von Jungner. Besonders störend für mich: Mikrotom-Präparate sind in Kunststoff geschnitten und auch damit eingedeckt. Resultat: Kein Pol und kein DIC möglich, da der Kunststoff anisotrop ist !

Ist das bei Euch auch so ?

Gruß !

JB
Beste Grüße !

JB

rekuwi

Lieber Jürgen,

in punkto Polarisation hatte ich eben keine Schwierigkeiten, habe nochmal das Präparat mit weiter geöffnetem Kondensorfilter fotografiert, dann gleich mal Polarisation ausprobiert. Wollte sehen ob die Speicherknöllchen eine Doppelbrechung zeigen. Das tun sich nicht, ich fand diese dann aber im Inneren der Wurzel.

Lieber Wolfgang,

klar, so eine Fülle von unterschiedlichen Präparaten kann kein Laie selbst herstellen, gerade was die Organe von Tieren betrifft. Die Präparate werden für den Lehrbereich gebraucht, da kommt es nicht unbedingt auf die Schönheit an.

Liebe Grüße
Regi

Fahrenheit

Guten Abend Regi,

nun, von einem Fließband würde ich nicht gerade reden, es ist quasi Manufakturware  ;)

Ich habe auch noch Querschnitte von einer Piniennadel und einem Pfeiffenstrauchästchen hier, die als Beigabe bei meinem Eschenbach Studio H im Kasten waren. Das Mikroskop wird heute noch angeboten - damals war es ein Qualitätssprung für mich.

Die Präparate sind nun 28 Jahre alt, zwar mies beschriftet aber sonst OK. Gut, es gibt schönere Färbungen, aber was zu sehen sein sollte, kann man, wie bei Deiner Erbse auch, sehen.

Pol funktioniert bei mir einwandfrei - habe gerade noch mal in meine Liste geschaut, die Präparate sind von Lieder, also auf jeden Fall 'Markenware'.

Herzliche Grüße
Jörg  

p.s.:
Das Photo mit dem dicken Brummer ist Dir gut gelungen. Wohl eine Art Schwebefliege?
Hier geht's zur Vorstellung: Klick !
Und hier zur Webseite des MKB: Klick !

Arbeitsmikroskop: Leica DMLS
Zum Mitnehmen: Leitz SM
Für draussen: Leitz HM

rekuwi

#7
Lieber Jörg,

der dicke Brummer ist eine HOLZBIENE wie ich oben geschrieben habe!

Grüßle
Regi

Klaus Herrmann

Liebe Regi,

vor lauter "der Schnitt ist vielleicht nicht so toll" ist völlig unter gegangen, dass deine Makros von der Platterbse wieder mal traumhaft sind!

Die Färbung könnte übrigens Etzold blau sein!
Mit herzlichen Mikrogrüßen

Klaus


ich ziehe das freundschaftliche "Du" vor! ∞ λ ¼


Vorstellung: hier klicken

Fahrenheit

Hallo Regi,

wer lesen kann ist klar im Vorteil - hatte ich übersehen.  :-[

Schöne Grüße
Jörg

Hier geht's zur Vorstellung: Klick !
Und hier zur Webseite des MKB: Klick !

Arbeitsmikroskop: Leica DMLS
Zum Mitnehmen: Leitz SM
Für draussen: Leitz HM