HISTOLOGIE: Fett tropfen und von-Kupffer-Sternzellen in der Leber

Begonnen von Ronald Schulte, September 03, 2018, 12:05:45 NACHMITTAGS

Vorheriges Thema - Nächstes Thema

Ronald Schulte

Fett tropfen und von-Kupffer-Sternzellen in der Leber


Diesen Mausleber Schnitt ist Perfusion Fixiert und nach Fixiert mit Osmium Tetroxid.
Großes unterschied mit die übliche Immersion Fixierung ist das bei Perfusion das Fixiermittel angeboten wird hindurch die vorhandene Blut Kanälen. Dadurch kann das Fixiermittel schnell und fast Ideal an das Gewebe rankommen und ist diese Fixiervorgang die Best mögliche Fixier Methode. Nachteil ist das die Prozedur ziemlich aufwendig ist und die Blutgefäße alle Leer oder fast leer vorkommen. Im lebenden Tier ist das selbstverständlich nicht so. Diese Fixiermethode wird meist nur vorgeschrieben wenn Elektronen Mikroskop Schnitte gemacht werden müssen. Bei der normale Paraffin Schnitte sind diese Vorteil nur mäßig interessant, hier reicht meist die Standard Immersion Fixierung mit Formaldehyd. Jedoch wenn man Semidünnschnitte herstellen möchte dann wird diese Methode auch Interessant weil eben die Morphologie besser ist. Das Gewebe bleibt besser enthalten.

In diese Leber zeige ich einige Zellteilen die man mit Kunststoff Einbettung (hier Epon 812 Epoxid)  gut erkennen kann.
Das Block ist geschnitten am Reichert Jung Ultracut E Ultramikrotom und geschnitten mit ein Glasmesser.
Fotografiert wie immer am Leitz Orthoplan mit Canon 700D Kamera.



Bild1,
Stammt aus Sobotta Lehrbuch Histologie (zweite Auflage), isbn: 978-3-437-44430-2, Seite 391







Bild2,
Stammt aus Sobotta Lehrbuch Histologie (zweite Auflage), isbn: 978-3-437-44430-2, Seite 393







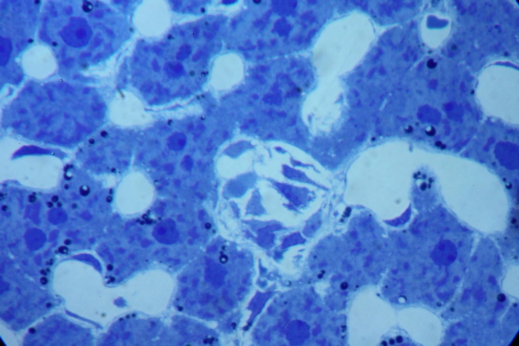
Bild3,
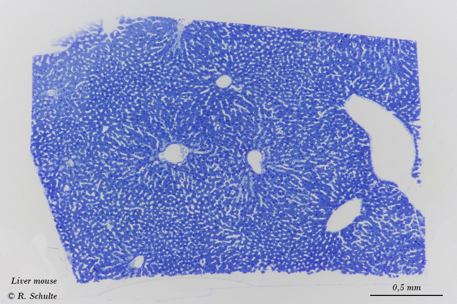
Übersicht Bild. Objektiv Leitz plan Fluotar 4x.







Bild4,
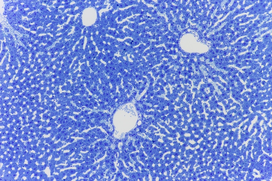
Übersicht Bild. Objektiv Leitz plan Fluotar 10x.







Bild5,
Objektiv Leitz plan Fluotar 25x.







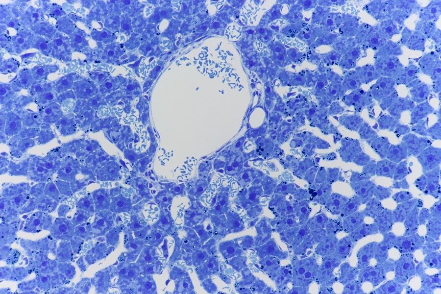
Bild6,
Objektiv Leitz plan apo 63x na 1.4.

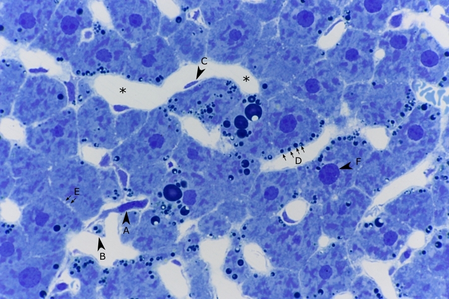
Zitat Sobotta, Seite 396-397
Die Wand der Sinusoide wird von dünnen Endothelzellen gebildet, deren Zytoplasma von Feldern mit unterschiedlich großen offenen Poren durchsetzt wird.
Ein weiterer Zelltyp ist Teil der Wand der Sinuoide, die von-Kupffer-Sternzellen (Kupffer-Zellen = Leber-makrophagen).  Sie sind reich an Lysosomen und Phagozytieren intensiv Partikel und Mikroorganismen, die über das Blut in das Leberläppchen gelangen. Bei Verlust der Milz übernehmen die Kupffer-Zellen weitgehend den Abbau der gealterten Erythrozyten. Die Kupffer-Zellen liegen dem Endothel auf, durchsetzen es aber mit einzelnen Fortsätzen. Ein Teil der Fortsätze erstreckt sich weit in das Lumen der Sinusoide, zum Teil bis zur gegenüberliegenden Wand; das hilft ihnen, Partikel abzufangen.


* = Sinusoide (meist Leer weil mit Perfusion die meisten Blutzellen weggespült werden);
A = Zellkern von-Kupfferzelle;
B = Ein Fortsatz mit abgefangen Partikel;
C = Endothelzelle;
D = Fett Tropfen die Sekundäre Osmium Fixierung enthalten bleiben;
E = Gallenkanälchen;
F = Rundliche, helle Zellkern der Hepatozyten.







Bild7,
Objektiv Leitz plan apo 63x na 1.4.








Bild8,
Objektiv Leitz plan apo 40x

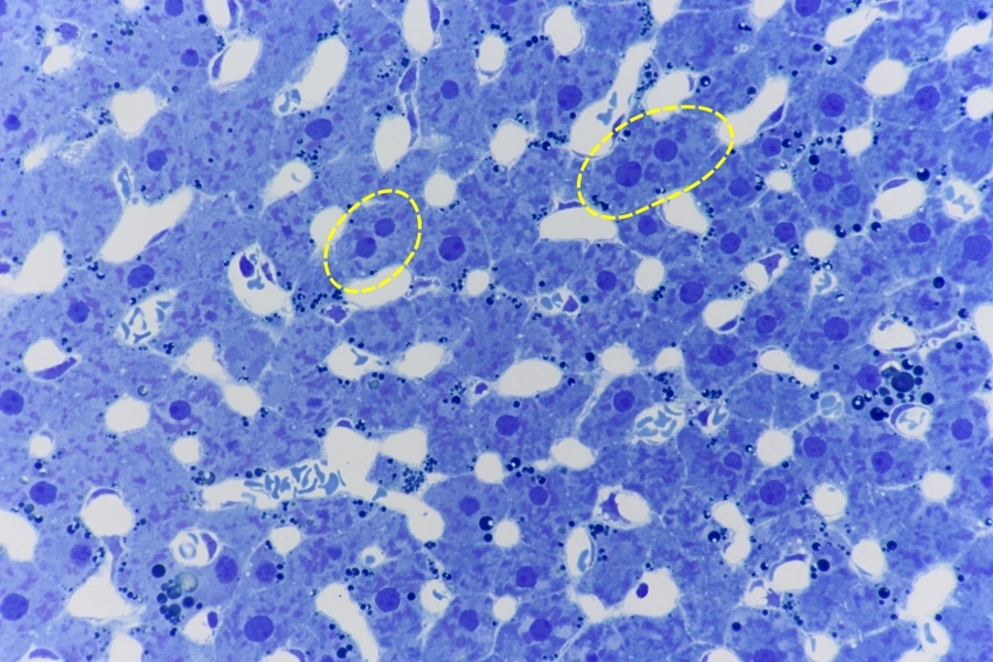
Im ,A practical Guide to the Histology of the Mouse', isbn 978-1-119-94120-0, Seite 58, wird geschrieben: "Variable sized nuclei and binucleate nuclei are common and increase with age in mice".

Den gelben Kreis zeigt deutlich eine doppelte Nukleus in eine Zelle. Ist also ein Normales Bild in altere Mauser. Ob das beim Menschen auch so ist weiß ich nicht aber hoffe das ein Pathologe hier im Forum darüber was Schreiben wird.







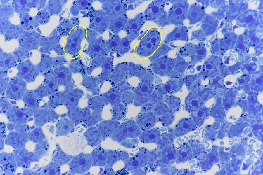
Bild9,
Objektiv Leitz plan apo 40x

Im ,A practical Guide to the Histology of the Mouse', isbn 978-1-119-94120-0, Seite 58, wird geschrieben: "Variable sized nuclei and binucleate nuclei are common and increase with age in mice".

Den gelben Kreis zeigt deutlich eine doppelte Nukleus in eine Zelle. Ist also ein Normales Bild in altere Mauser. Ob das beim Menschen auch so ist weiß ich nicht aber hoffe das ein Pathologe hier im Forum darüber was Schreiben wird.




Viel spaß beim anschauen, grüße Ronald
Mikroskope:
Leitz Orthoplan (DL, AL-Fluoreszenz und Diskussionseinrichtung).
Leica/Wild M715 Stereomikroskop.
Mikrotom:
LKB 2218 Historange Rotationsmikrotom.

reblaus

Hallo Ronald -

wie schön, dass ich die Strukturen jetzt auf einem deiner tollen Schnitte selbst suchen kann!

Gruß

Rolf

Ralf Feller

Hallo Ronald,
ich wünschte mir wäre so etwas auch einmal gelungen,
das ist TEM-Qualität.
Ich muss aber wohl noch lange Üben bis ich das hin bekomme.
Das Beispiel zeigt wieder einmal die Wichtigkeit der Fixierung.

viele Grüße, Ralf

Ronald Schulte

@Rolf,

Ich musste mal eben schnell in meine Daten suchen aber du hast tatsachlich so eins dabei. Na dann freue ich mich aber richtig weil das gerade meine Absicht war; Interesse wecken an die wunderschöne Histologie.
Schaue mal ob du auch die doppelte Nukleuse finden kannst, die müssen auch bei dir sicher dabei sein. Und auch reichliche von Kupffer Zellen kannst du sicher finden und am Mikroskop viel schöner zu beobachten wie hier im Bild natürlich.



@Ralf,

Ja die Fixierung ist nicht ganz unwichtig. Bei mir bleiben aber auch noch viele Fragen offen, z.B. warum das Pankreas das eine mal ein gut Fixiertes Bild zeigt und ein weiten Pankreas Dramatisch schlecht ist. Beide waren doch Frisch so muss es eine andere Ursache haben. Usw usw.
Mikroskope:
Leitz Orthoplan (DL, AL-Fluoreszenz und Diskussionseinrichtung).
Leica/Wild M715 Stereomikroskop.
Mikrotom:
LKB 2218 Historange Rotationsmikrotom.

Dr. Jekyll

Hallo Ronald,
Eigentlich fand ich Histologie immer nicht besonders spannend. Durch Deine Beiträge mit diesen wirklich sehr schönen Bildern kommt man aber durchaus auf den Geschmack.
Ich habe ja noch einige interessante, eingebettete Präparate aus der Pathologie und Zoologie (von R. Wacker), vielleicht sollte ich mich da doch einmal heran trauen und diese schneiden und färben.
So gut wie Deine gezeigten werden sie sicher nicht. Sie sind in Paraffin eingebettet und mir fehlt Deine Erfahrung auf diesem Gebiet. Spaß könnte es aber schon machen.......
Beste Grüße
Harald

Ronald Schulte

Harald,

Ich muss dich unbedingt ein geheim erzählen: "die Histologie ist nicht nur spannend, es ist sehr spannend"!!!!!
Was mich am meisten aufregt ist das ein Amateur wie ich bin, in die Lage ist um Gewebe aus ein Lebenden Tier zu Präparieren, ein zu betten, zu schneiden, zu Farben und dauerhaft in Harz zu gießen. Dann am Mikroskop die Details beobachten und mit Lehrbüchern in die Hand die Zellen und verschiedene Strukturen zu erkennen und Determinieren. In so ein ,Langweiligen' Leberschnitt kann man dann Stunden Studieren und man sieht einfach mehr und mehr. Ein 63x na 1.4 Objektiv ist für Semidünne Schnitte sehr erforderlich weil man eben mehr sieht. Die Auflösung ist einfach Fantastisch.

Die ,Wacker' Blöcke hast du mir ja auch geschickt und freue mich noch immer darüber nur ist es Pathologisches Material und das ist ja gar nicht so einfach. Wenn man Pathologisches ansieht und man weiß nicht wie es Histologisch ,normal' aussieht dann wird es erst richtig schwierig und eigentlich nicht sinnvoll.
Schöne Schnitte machen aber geht mit die Blöcke ziemlich einfach weil die meisten sehr gut Fixiert und eingebettet sind. Auch das Paraffin muss von eine gute Qualität sein weil die meiste Blöcke, bei mir jedenfalls, sehr einfach zu schneiden sind und gekühlt sind 3-4 µm Schnitte ziemlich einfach machbar. Es ist üben und üben. Viel Freude und Spaß damit und ich freue mich schon auf Ergebnisse.

Gruße Ronald
Mikroskope:
Leitz Orthoplan (DL, AL-Fluoreszenz und Diskussionseinrichtung).
Leica/Wild M715 Stereomikroskop.
Mikrotom:
LKB 2218 Historange Rotationsmikrotom.

reblaus

Hallo Ronald -

wenn du erlaubst, würde ich hier gerne ein Foto einer Stelle aus deinem Präparat einfügen - verbunden mit der Frage: Handelt es sich bei den Strukturen in der Bildmitte um Sternzellen oder auch nur um Endothel?


(Axioskop, Zeiss Planapo 100x/1,40, nicht optimal, da Kondensor nicht geölt)

In meiner Sammlung habe ich einige über 50 Jahre alte (10µ dicke ?) Leberschnitte (Pathologie) mit diversen Färbungen u.a. PAS, HE, Silber, Glykogen. Aber da habe ich bis jetzt nichts derartiges gefunden.

Beste Grüße

Rolf

P.S. Wenn es sich um ein Artefakt handelt, nehme ich das Foto gerne aus dem thread wieder raus!

Ronald Schulte

Rolf,

Ich habe mal dein Bild beschriftet.

Ich denke das Pfeilen A typische Endothelzellen sind und die B Pfeilen Typische von-Kupffer Zellen.
In die Mitte könnte auch ein Klumpen von-Kupffer Zellen sein aber das ist nur ein Hypothese. Sieht nicht nach ein Artefakt aus.

10µm dicke Paraffin Schnitte sind sicher Farberisch prima aber Detail sieht man da nicht mehr.




Gruße Ronald
Mikroskope:
Leitz Orthoplan (DL, AL-Fluoreszenz und Diskussionseinrichtung).
Leica/Wild M715 Stereomikroskop.
Mikrotom:
LKB 2218 Historange Rotationsmikrotom.