Histologie: Der Atemteil der Nasenschleimhaut trägt Flimmerepithel

Begonnen von Ronald Schulte, April 28, 2019, 18:58:42 NACHMITTAGS

Vorheriges Thema - Nächstes Thema

Ronald Schulte

Histologie: Der Atemteil der Nasenschleimhaut trägt Flimmerepithel

Ich sah das ich in 2018 auch schon mal ein Flimmerepithel Beitrag gemacht habe (wusste ich gar nicht mehr genau, so weit bin ich schon hin)!!
https://www.mikroskopie-forum.de/index.php?topic=30590

Das gleiche Block ist heute was weiter geschnitten und zeigt jetzt auch die beide Organe von Jacobson. Weil es so schön ist kommt hier nochmal das Flimmerepithel.

Zitat Wikipedia: Das Flimmerepithel oder respiratorische Epithel ist eine Schicht aus spezialisierten Epithelzellen, welche den größten Teil der Atemwege auskleidet. Es zeichnet sich durch Kinozilien (Flimmerhärchen) auf der lumenseitigen Zelloberfläche aus. Das respiratorische Epithel dient, auch wenn es der Name vermuten lässt, nicht dem Gasaustausch, sondern der Reinigung der Atemwege.

Zilien-tragende Zellen
Sie stellen den Hauptteil der Zellen des Flimmerepithels. Zilien sind bewegliche Ausstülpungen der Zellmembran am apikalen Zellpol, die etwa 7–10 µm lang sind und einen Durchmesser von etwa 0,3 µm aufweisen.



Fixierung: Karnovsky half strength: Formaldehyde 2%/Glutaraldehyde 2,5%;
Einbettung: Technovit 7100;
Schnittdicke: 1,5µm;
Geschnitten am: LKB 2218 Historange Mikrotom;
Messer: Kulzer Stahlmesser mit ,D' Profil;
Farbung: Toluidin Blau 1% in Natrium Tetraborat 1%;
Mikroskop: Leitz Orthoplan;
Kamera: Canon 700D.




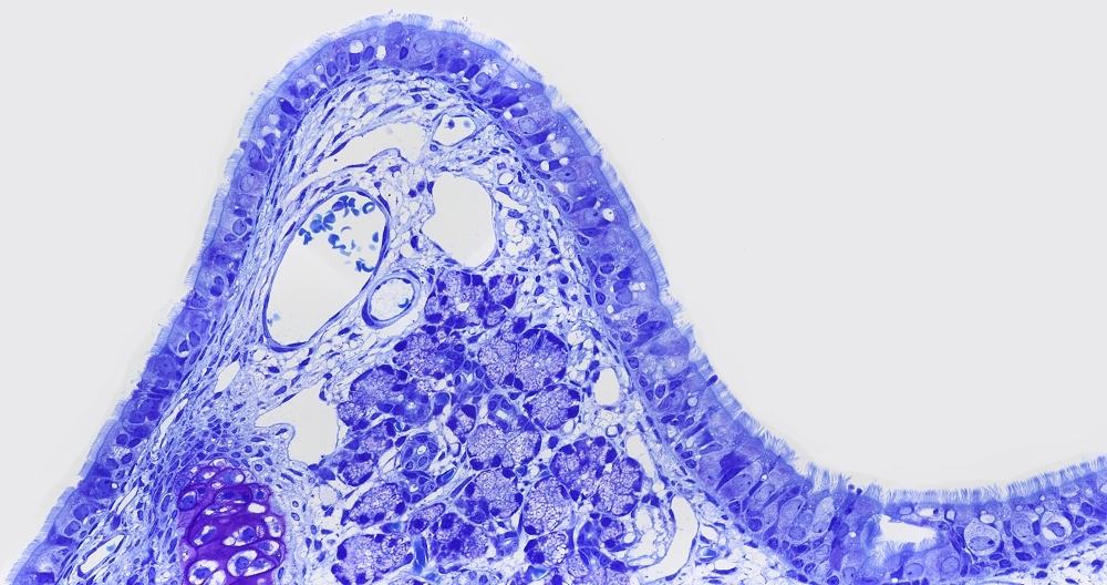
Bild 1,
Zeigt die Schnittstelle.







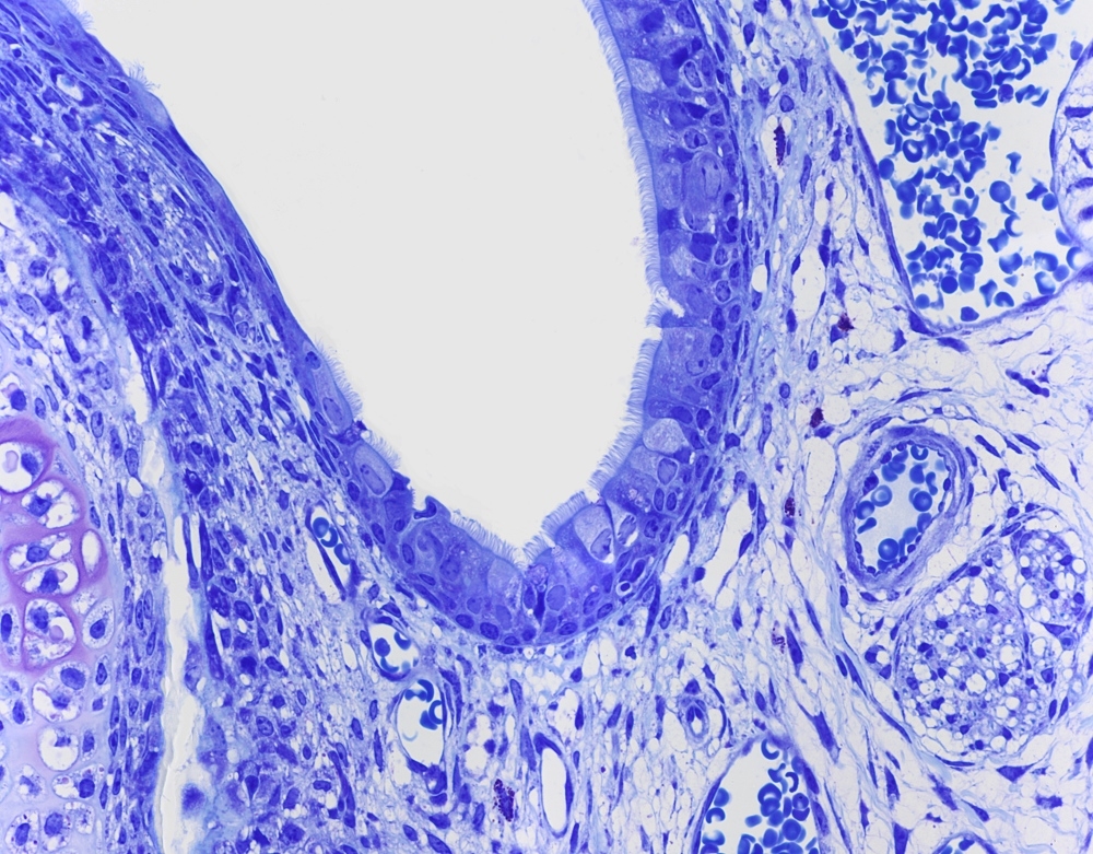
Bild 2,
Zeigt die Schnittstelle.







Bild 3,

A = Haut mit Haare;
B = Nasendrüsen;
C = Muskelzellen;
D = Erste anschnitt von Speicheldrüsen;
E = Zunge;
F = Zahne der Unterkiefer;
G = Organ von Jacobson;
H = Nasenbein;
J = Riechschleimhaut;
K = Respiratorisches Epithel der Nasenschleimhaut;
L = Zeigt den Ausschnitt von Bild 4;
* = Mund Lumen
** = Nasen Lumen







Bild 4,
Epithelzellen mit Zilien.
Ein stitch von sechs Bilder. Objektiv Leitz planapo 63x na 1.4
Im Gewebe sind Blutgefäße, Lymphe Gefäße, Drüsen und linksunten, Knorpel zu beobachten.







Bild 5,
Epithelzellen mit Zilien.
Ein stitch von vier Bilder. Objektiv Leitz planapo 63x na 1.4





Gruße Ronald
Mikroskope:
Leitz Orthoplan (DL, AL-Fluoreszenz und Diskussionseinrichtung).
Leica/Wild M715 Stereomikroskop.
Mikrotom:
LKB 2218 Historange Rotationsmikrotom.

Ralf Feller

Hallo Ronald,

die Schnitte sind wie immer super!!!
Ein so schönes Flimmerepithel sieht man selten.

Grüße, Ralf