Hauptmenü

Welche Färbung?

Begonnen von JM, August 01, 2019, 17:51:25 NACHMITTAGS

Vorheriges Thema - Nächstes Thema

JM

Hallo an die Runde,
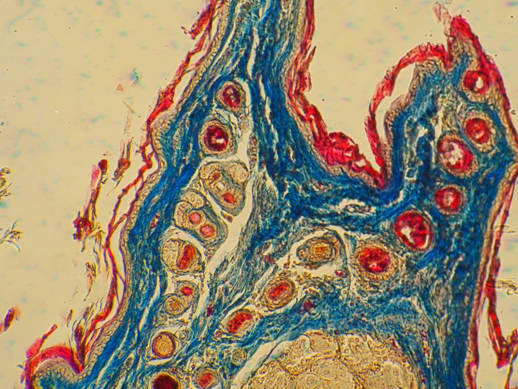
ich habe bei ebay einige Dauerpräparate erworben. Da ich von Histologie kaum Ahnung habe, möchte ich fragen, um was für eine Färbung es sich handelt. Gleichzeitig möchte ich ein Rätsel stellen: Um welches Organ des Hamsters handelt es sich hier? Auflösung später.

Beste Grüße

Jan


Klaus Herrmann

Hallo Jan 3,3 MB wie schaffst du das so eine große Datei hier einzustellen? Schon mal was von verkleinern gehört?

Das Bild ist sehr bunt, sieht es wirklich so aus? Könnte Azan sein.
Mit herzlichen Mikrogrüßen

Klaus


ich ziehe das freundschaftliche "Du" vor! ∞ λ ¼


Vorstellung: hier klicken

JM

Hallo Klaus,
ja, das Bild sieht durch das Okular genauso aus. Verkleinern, ja, das habe ich in der Tat vergessen. Ich schau mal, ob ich das noch nachträglich machen kann. Die Färbung scheint keine Standard – Färbung in der Histologie zu sein. Bin ich da richtig?

Beste Grüße
Jan

JM

So, jetzt ist das Bild kleiner, sorry dafür.

Gerd Schmahl

Hallo Jan,
auf die Gefahr mich zu blamieren rate ich mal: Eierstock?
LG Gerd
Man sagt der Teufel sei, im Detail versteckt,
doch hab' ich mit dem Mikroskop viel Göttliches entdeckt.

JM

Kennt wirklich niemand diese Färbung? Weiß niemand, welche Farbstoffe hier welche Struktur anfärben?
Das Präparat zeigt die Markierdrüse des Hamsters. Über eine Bildinterpretation würde ich mich sehr freuen.

Beste Grüße
Jan

P.S. @Gerd  Danke fürs Mitspielen. Ja, Eierstöcke sind naheliegend.


reblaus

Hallo -

Klaus vermutet richtig - es handelt sich um eine Azanfärbung. Haben wir vor 100 Jahren im Zoopraktikum II gerne benutzt weil sie so schön bunt ist. Farbstoffe sieh Romeis: Azokarmin + Anilinblau.

Gruß

Rolf

reblaus

Nachtrag:

Falls kein Romeis zur Hand - im Wikipedia hat den jemand exzerpiert:

https://de.wikipedia.org/wiki/Azan-F%C3%A4rbung

JM

Danke, Rolf,
jetzt kann ich die Präparate verstehen.
Gruß
Jan

Gerd Schmahl

Hallo Jan,
und was ist das jetzt, wenn Eierstöcke "naheliegend" sind. Was liegt denn da noch so in der Nähe?
LG Gerd
Man sagt der Teufel sei, im Detail versteckt,
doch hab' ich mit dem Mikroskop viel Göttliches entdeckt.

JM

Hallo Gerd,
Eierstöcke fand ich naheliegend, weil eben die roten Strukturen als Eizellen interpretiert werden könnten. Da Eizellen viel Cytoplasma enthalten, müssen sie auch rot sein. So habe ich jedenfalls Rolf verstanden.
Das Präparat zeigt die Markierdrüse des Hamsters, wie oben schon einmal erwähnt. Jetzt weiß ich auch, warum Hamster immer so stinken.
Beste Grüße
Jan

rekuwi

Hallo Jan,
hab mal mit Weißabgleich an Deinem Bild herumgemacht. So siehts doch besser aus.  ;)
Herzliche Grüße
Regi