Hauptmenü

Gelbflechte Querschnitt

Begonnen von Alf, Dezember 27, 2019, 17:46:07 NACHMITTAGS

Vorheriges Thema - Nächstes Thema

Alf

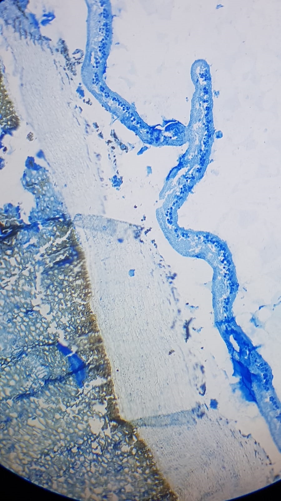
Ich präsentiere den Querschnitt (ca 4 um) der Rinde einer Kiefer, die mit Gelbflechte (Xanthoria parietina) überwachsen war. Leider ist das Anfertigen von Paraffinschnitten durch so verholztes Material schwierig, weshalb der Schnitt ein paar Falten aufweist. Gefärbt wurde mit Lactophenol-Anilinblau (leider gab es ein paar Farbstoffniederschläge).


Abb. 1: Die Gelbflechte ist als dunkelblaues "band" auf dem Holz gut zu sehen.


Abb. 2


Abb. 3: schön erkennt man den Schichtenaufbau einer Flechte; schwarz = obere Rinde; rot = Algenschicht; grün = Mark aus lockeren Hyphen; gelb = Unterrinde


Abb. 4: hier ist die Färbung etwas Schwächer ausgefallen.


Abb. 5: Ascosporen


Abb. 6: auch in tieferen Holzschichten finden sich die Hyphen der Flechte

Heiko

Hallo Alf,

in vivo bzw. gleich nach der Färbung mit Baumwollblau sehen die Sporen so aus, hier eine ältere Aufnahme:



Viele Grüße,
Heiko

ewald

Hallo, das sind wohl eher Sporen von Caloplaca (auch gelb) als von Xanthoria .
LG  Ewald

Heiko


liftboy

Hallo Alf,

ei ei ei, da hast Du Dir aber Arbeit gemacht.... allerdings mit einem duchaus sehenswürdigen Ergebnis.
Da muss ich wohl noch üben :-)

Grüße
Wolfgang
http://www.mikroskopie-forum.de/index.php?topic=785.msg3654#msg3654
LOMO-Service
Das Erstaunen bleibt unverändert- nur unser Mut wächst, das Erstaunliche zu verstehen.
Niels Bohr

Alex H.

Hallo Heiko,

vielen Dank für den tollen Link!

Grüße
Alex
Botanik, vorrangig heimische Wildpflanzen, die Morphologie der Sporen, Pollen, Blüten, Früchte und Samen, Blütenökologie, Kryptogamen im Allgemeinen;
Stereolupe: optimiertes LZOS MBS-10; Mikroskop: gut ausgestattetes LOMO Biolam;