Herzinfarkt Histologie in Paraffin und Plastik

Begonnen von Ralf Feller, Dezember 25, 2019, 12:13:11 NACHMITTAGS

Vorheriges Thema - Nächstes Thema

Ralf Feller

Liebe Kollegen,
es sind nun genau 10 Jahre her das Florian diesen tollen Beitrag über den
Herzinfarkt, der weder verbessert noch getoppt werden kann, geschrieben hat.
https://www.mikroskopie-forum.de/index.php?topic=3797.0

Da begann die große Zeit der Histologie im Forum, die einen Höhepunkt
fand als Ronald 2011 die Semidünn-Technik mit Technovit vorgestellt hat.

Davon inspiriert habe ich inzwischen selbst zwei Mikrotome angeschafft
die Kunststoffe schneiden können, und ich bin immer noch begeistert.


Harald hatte mir eine Kiste Paraffinblöckchen von Robin Wacker geschenkt,
und weil oft kein frisches Material zur Hand ist, habe ich einige Proben in
Technovit umgebettet. Ob das sinnvoll ist mag dahingestellt sein, denn
eigentlich reicht die Formalinfixierung von Leichenpräparaten nicht aus um
die Möglichkeiten der Semidünnschneidetechnik auszuschöpfen und durch
das Umbetten entstehen weitere Artefakte.

Aber trotzdem,
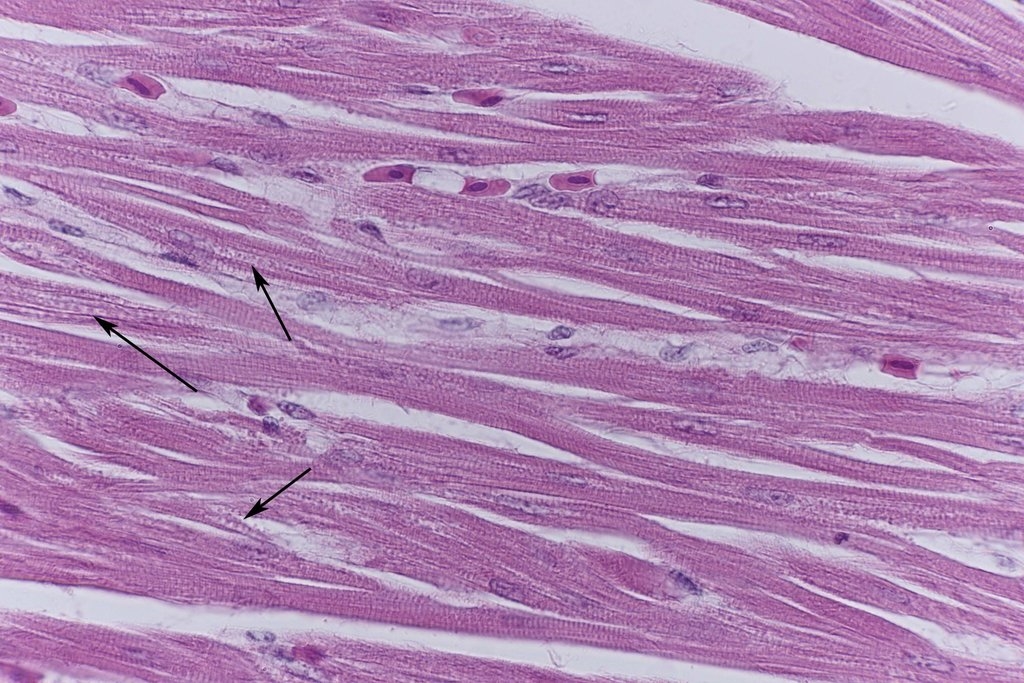
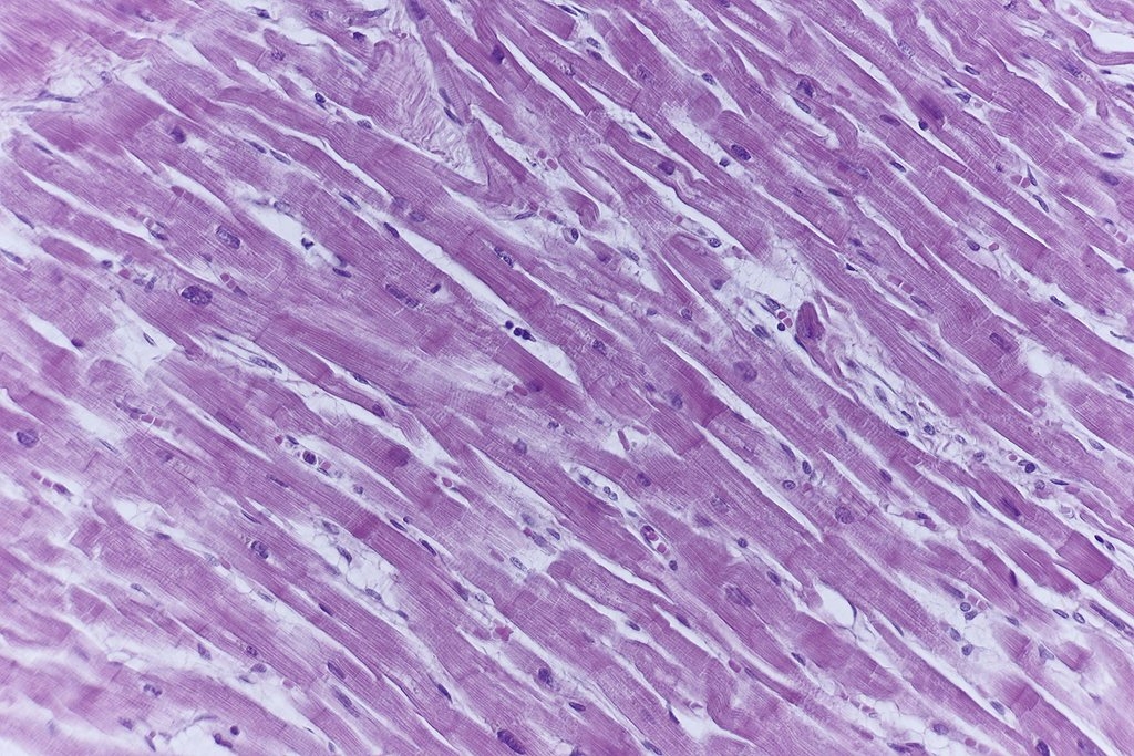
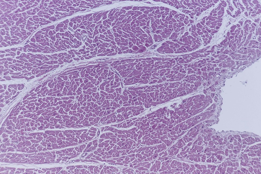
die Bilder 1 und 2 zeigen normales, vielleicht schon etwas dilatiertes Herz-
gewebe in Paraffin, 1 im Querschnitt, 2 längs getroffen.

Abb.1


Abb.2


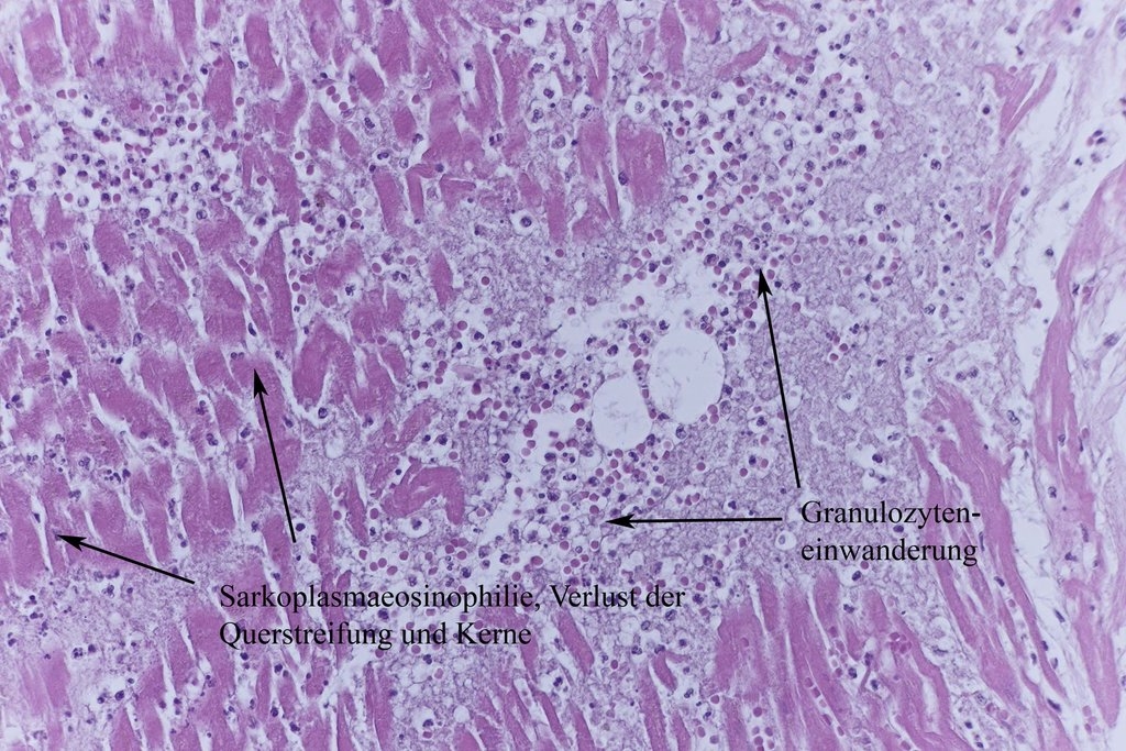
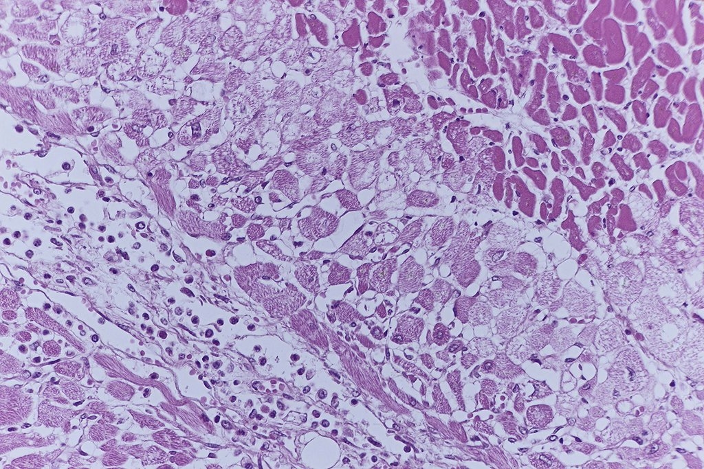
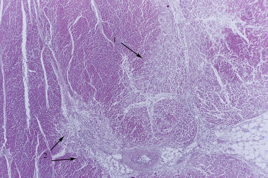
Bild 3 ist eine Übersicht eines Infarktes und man erkennt schon Unterschiede
in der HE Färbung. In der Vergrößerung wird man bei 1 einen deutlichen
Verlust der Herzmuskelfaserstruktur mit Hypereosinophilie und Verlust der
Querstreifung und der Zellkerne finden, und bei 2 eine Einwanderung von
Entzündungszellen (Bild 4 und 5, Paraffin, HE).

Abb.3


Abb.4


Abb.5


Zeitlicher Ablauf eines Herzinfarktes histologisch

Nach dem Verschluss einer Herzkranzarterie findet man nach:
30-60 min ein Aufquellen der Fasern (Myocardfaserödem)
nach 2h
eine Verklumpung und Homogenisierung der Fasern,
die Zellkerne werden klein und hyperchromatisch
nach 4-6h
voll entwickelte Nekrose,
Sarcoplasmaeosinophilie
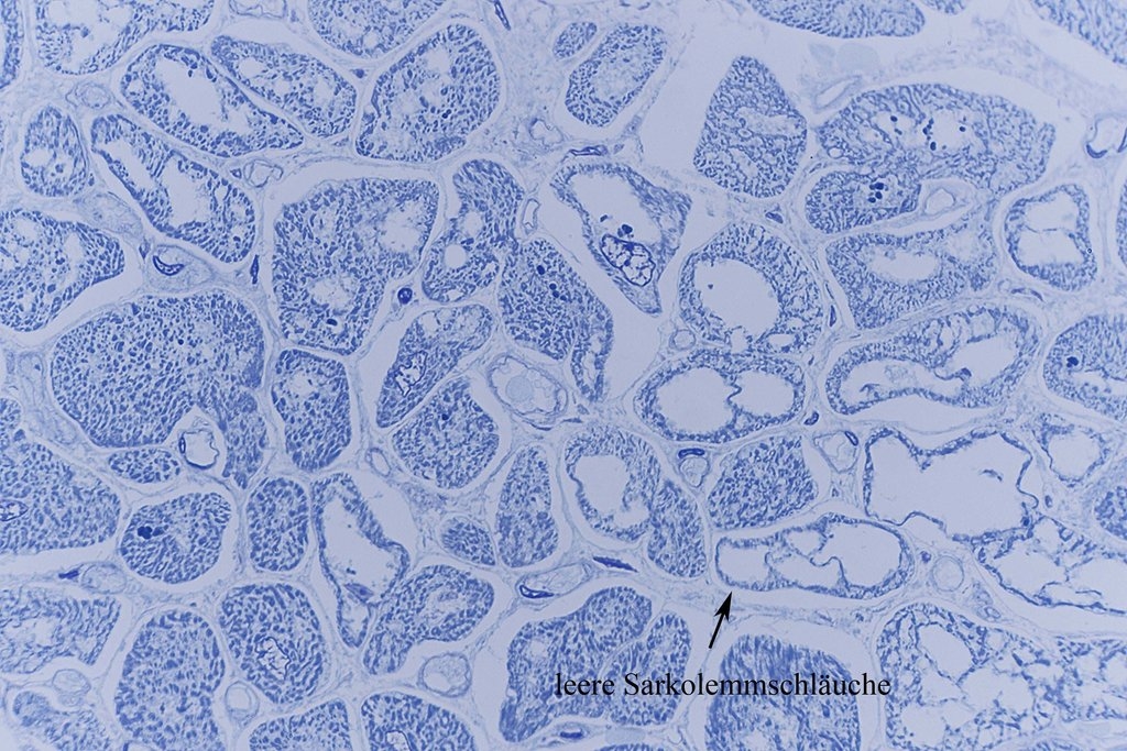
Zerfall der Muskelfasern, leere Sarcolemmschläuche
Verlust der Querstreifung
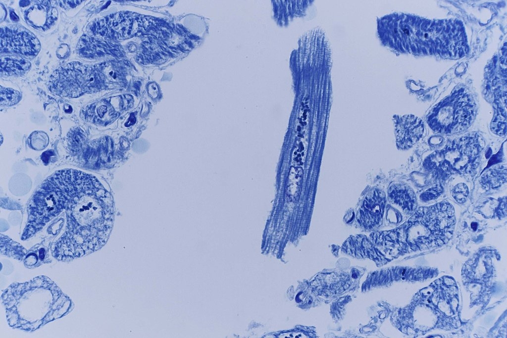
Hyperkontraktionsbänder ( Abb.8 )
innerhalb von 18-24h bilden sich blutreiche Kapillaren
und Granulozyten (Entzündungszellen) wandern ein
nach 2-3 Wochen findet sich eine Narbe

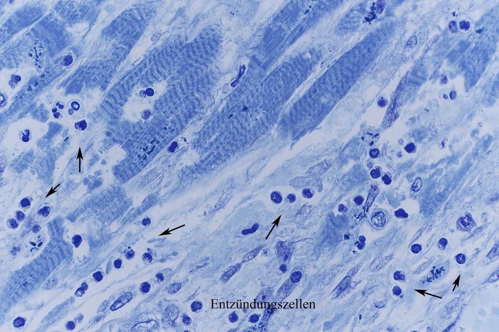
Die Bilder 6, 7 und 8 zeigen nun die gleichen Bereiche in einem
Technovit-Schnitt von 1,5µ.

Abb.6


Abb.7


Abb.8


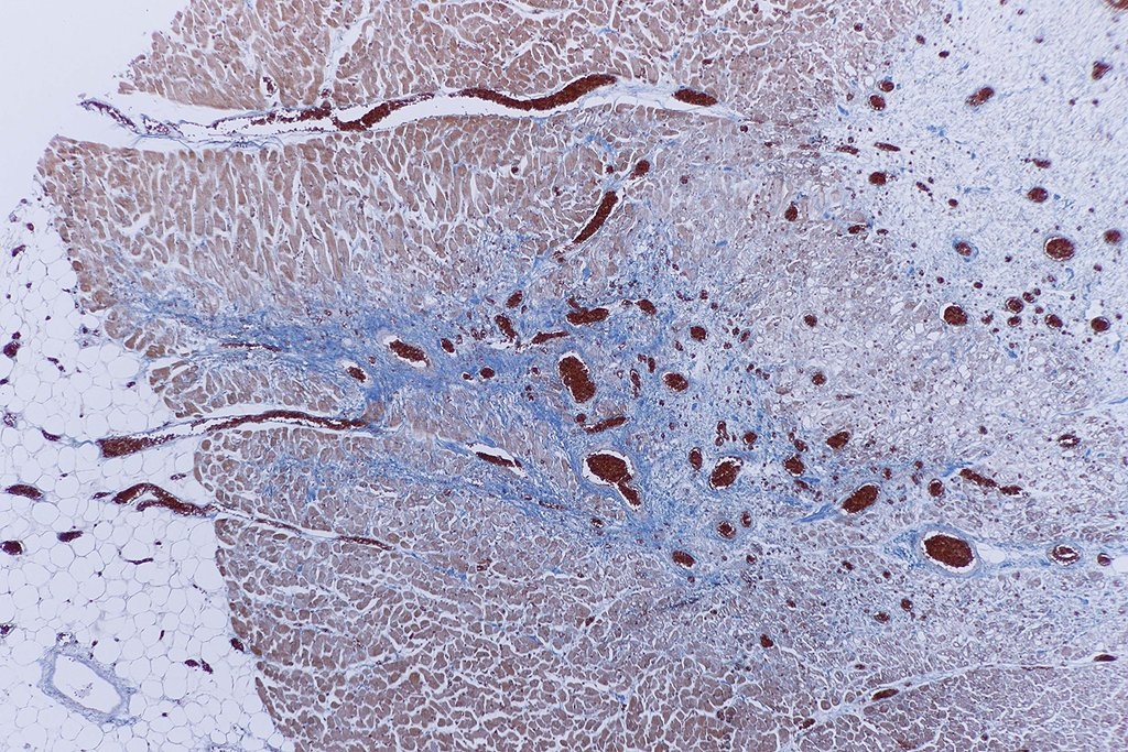
Bild 9 zeigt nun die entstandene Narbe im Paraffinschnitt,
blau in der Mallory-Färbung.

Abb.9


Wenn Jemand nun Gefallen an der Semidünnschneidetechnik gefunden
haben sollte, aus einer mail von Ronald Schulte weiß ich, das er noch
ein Ultramikrotom zu verkaufen hat.

Ich wünsche Euch allen ein frohes Fest,
LG Ralf


Dr. Jekyll

Hallo Ralf,

vielen Dank für den schönen Beitrag.
Jetzt kann ich neben den tollen Präparaten auch mal Deine beeindruckenden Mikrotome sehen ;)
Beste Grüße
Harald

Heino Lauer

Lieber Ralf,

ein beeindruckender, für mich sehr lehrreicher Beitrag, für den ich Dir herzlich danken möchte!

Viele Grüße

Heino

Ronald Schulte

Ralf,

Schönes Histologisches meine ich zu lesen! Gratuliere und auch deine Mikrotome sind toll. Da bist du ja gut bedient.

In Dein Beitrag sehe ich in Bild 8 neben den Zellkern zahlreiche dunkel blau gefärbte Körnchen.
Die gleiche Körnchen (fü mich noch immer ungeklärt) habe ich auch schon mal in 2013 gezeigt in Bild 12 von diesen Beitrag: https://www.mikroskopie-forum.de/index.php?topic=15278
Weißt du was das für Körnchen sind?

Ich verkaufe zwar ein Mikrotom aber die Histologie bleibt weil ich mein LKB Historange für Plastik behalten werde. Auch werde ich hier noch ab und zu was schreiben und neue Schnitte zeigen, das bleibt.
Mein Stein (Erz) Ausflug, Komplett mit Auflicht Mikroskop, MPV Messgerat, Schleif und Poliergerat, Steinsage usw ist alles zu verkaufen.

Gruße Ronald
Mikroskope:
Leitz Orthoplan (DL, AL-Fluoreszenz und Diskussionseinrichtung).
Leica/Wild M715 Stereomikroskop.
Mikrotom:
LKB 2218 Historange Rotationsmikrotom.

Fahrenheit

Lieber Ralf,

danke für den interessanten und lehrreichen Beitrag, den ich mit Spannung gelesen habe.

Herzliche Grüße
Jörg
Hier geht's zur Vorstellung: Klick !
Und hier zur Webseite des MKB: Klick !

Arbeitsmikroskop: Leica DMLS
Zum Mitnehmen: Leitz SM
Für draussen: Leitz HM

Ralf Feller

#5
Liebe Kollegen,
danke für Euer Lob!

@Ronald,
als ich die Aufnahmen machte habe ich mich gleich an Deinen Beitrag erinnert.
In der Diskussion mit Holger und Florian kamen ja schon einige Möglichkeiten
in Betracht wie auch mögliche Fixierartefakte. Inzwischen sehe ich bei meiner
Arbeit mit Kunststoffen, das auch die Plastikeinbettung ihre eigenen Artefakte
erzeugt, besonders durch Herauslösung von Zellbestandteilen durch den Kunststoff
und auch durch Aggregatebildung. Ein typisches Beispiel scheint mir die Leber
zu sein.

Lipofuscin wird vielfach als Ablagerung in alternden Zellen beschrieben
und keinesfalls nur in Herzmuskelzellen sondern auch im Gehirn, in der Blase
und vielen anderen Geweben. Es entsteht aber auch wohl vermehrt wenn
Zellen Stress haben. Du hast es aber ja auch in jungen Herzzellen deiner
Mäuse gefunden. Ich habe gerade beim Googeln Literatur für einige Monate
gefunden, leider fehlt mir die Zeit.
Hast Du die PAS Färbung gemacht?
Lipofuscin lässt sich durch Autofluoreszenz nachweisen
https://www.researchgate.net/profile/Rade_Injac/publication/236079052_Oxidative_Status_and_Lipofuscin_Accumulation_in_Urothelial_Cells_of_Bladder_in_Aging_Mice/links/0deec529e33a5d1659000000/Oxidative-Status-and-Lipofuscin-Accumulation-in-Urothelial-Cells-of-Bladder-in-Aging-Mice.pdf?origin=publication_detail
(ich weiss nicht ob man das ohne Anmeldung bei diesem tollen Dienst immer sehen kann? daher ein Ausschnitt)


Lipofuscin kommt auch verstärkt in Herzzellen vor die durch Bluthochdruck gestresst sind
https://doctorlib.info/medical/thoracic-pathology/256.html

Daneben gibt es wohl eine Färbemöglichkeit durch Sudan Black.

Im Herzgewebe von Schlachtvögeln habe ich so etwas auch schon
Ansatzweise gesehen, bei Embryonen und jungen Tieren müsste ich mal nachsehen.

Herzfasern eines Schlachthuhns (Formalin, HE)


viele Grüße, Ralf

Ronald Schulte

Ralf,

Ob es Lipofuscin ist? Ich weiß es nicht, ich habe damals eine PAS Reaktion durchgeführt und die war negativ. Bilder davon kann ich nicht mehr finden aber wenn es Positiv wäre hätte ich schon längst wieder berichtet.
Ob es Fixier oder Einbette Artefakte sind kann natürlich sein aber finde ich merkwürdig. Dein Schnitt ist doch ein Gewebe was ursprünglich einfach Formalin Fixiert ist in die Pathologie?
Vielleicht sind es auch Reihen von Mitochondrien, in Paraffin kaum wahr zu nehmen, in Plastik vielleicht 10x besser?

Ein Detail aus: https://www.spektrum.de/lexikon/biologie/herzmuskulatur/31530



LG Ronald
Mikroskope:
Leitz Orthoplan (DL, AL-Fluoreszenz und Diskussionseinrichtung).
Leica/Wild M715 Stereomikroskop.
Mikrotom:
LKB 2218 Historange Rotationsmikrotom.