Botanik: Oleander, Blatt *

Begonnen von Alf, Dezember 28, 2019, 21:51:52 NACHMITTAGS

Vorheriges Thema - Nächstes Thema

Alf

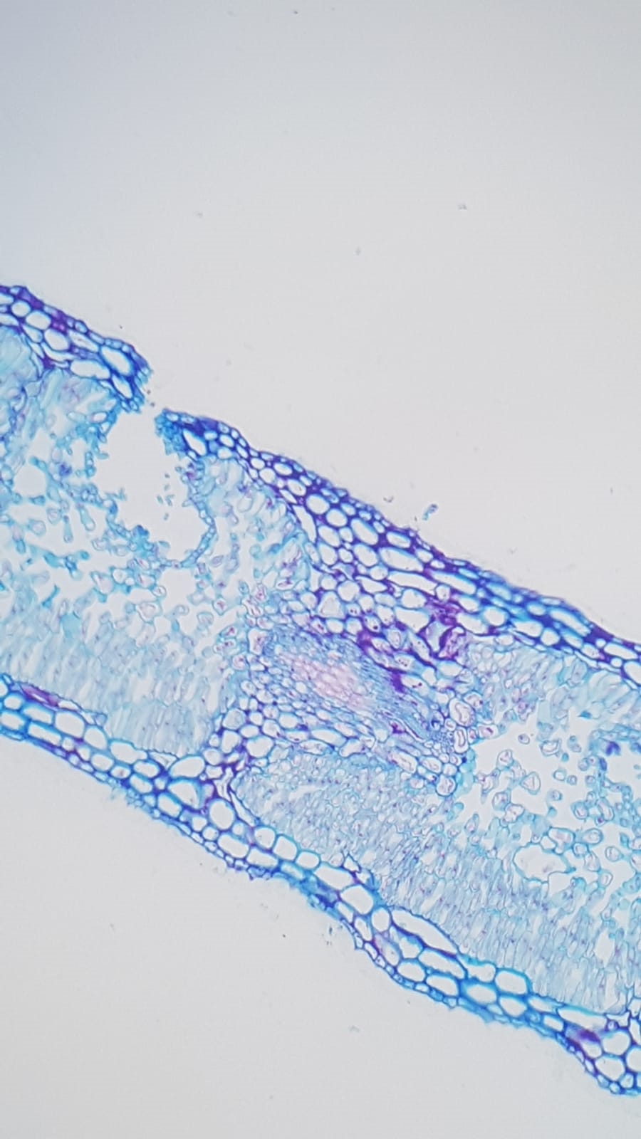
Ich präsentiere einen Querschnitt durch das Blatt eines Oleander. Es handelt sich um einen Paraffinschnitt (ca. 5 um). Gefärbt wurde mit FAC n. Etzold und in Malinol eingedeckt.


Abb. 1


Abb. 2


Abb. 3


Abb. 4


Abb. 5


Abb. 6


Abb. 7


Abb. 8: Pol-Aufnahme


Abb. 9


Abb. 10

Fahrenheit

Sieht gut aus, gelungene Färbung und sehr schöner Schnitt. Hab's gelistet.
Hier geht's zur Vorstellung: Klick !
Und hier zur Webseite des MKB: Klick !

Arbeitsmikroskop: Leica DMLS
Zum Mitnehmen: Leitz SM
Für draussen: Leitz HM

Bob

Hallo Alf,
hast Du den Schnitt aufgeklebt, z.B. mit Eiweiß-Glycerin?

Mein Eindruck aus ersten Versuchen war, dass botanische Schnitte ohne Aufkleben wegschwimmen, der Kleber aber auch für einen unsaubereren Bildhintergrund sorgt.

Viele Grüße,

Bob

Alf

Hallo Bob,

ja die Schnitte sind aufgeklebt, sie halten bei mir leider auch nicht ohne Glycerin-Eiweiß. Das sorgt oft für einen mitgefärbten Hintergrund und ist eines der größten Probleme die ich noch habe beim Anfertigen von Paraffinschnitten. Ich lasse die Präparate immer gut trocknen und lege den Objektträger dann auf eine heiße Herdplatte, sodass er richtig heiß wird und auch kurz raucht und tauche ihn dann heiß in Toluol, dadurch löst sich der meiste Dreck im Hintergrund und die Schnitte halten dann auch wirklich. Durch das starke Erwärmen können allerdings Schnitte kaputt gehen, was bei Pflanzen aber weniger das Problem ist (bei der Gelbflechte war das ein Problem zb.). Eine bessere Lösung habe ich im Moment noch nicht gefunden, am liebsten würde ich auf einen Kleber verzichten, das funktioniert bei mir aber nur bei tierischem Gewebe, das anscheinend eine bessere Haftung hat als pflanzliches Material.

Grüße,
Alf