Hauptmenü

Tulpe Fruchtknoten

Begonnen von Alf, Januar 26, 2020, 17:17:20 NACHMITTAGS

Vorheriges Thema - Nächstes Thema

Alf

Ich präsentiere den Fruchtknoten (Ovar) und den Stängel einer Tulpe.
Es handel sich um ca. 5 Mikrometer  dünne Paraffinschnitte, die mit FAC n. Etzold und Hämatoxylin-Eosin (HE) gefärbt wurden.


a) Stängel


Abb. 1: Übersicht


Abb. 2


Abb. 3


Abb. 4: Leitbündel


Abb. 5: Stängel im Längsschnitt


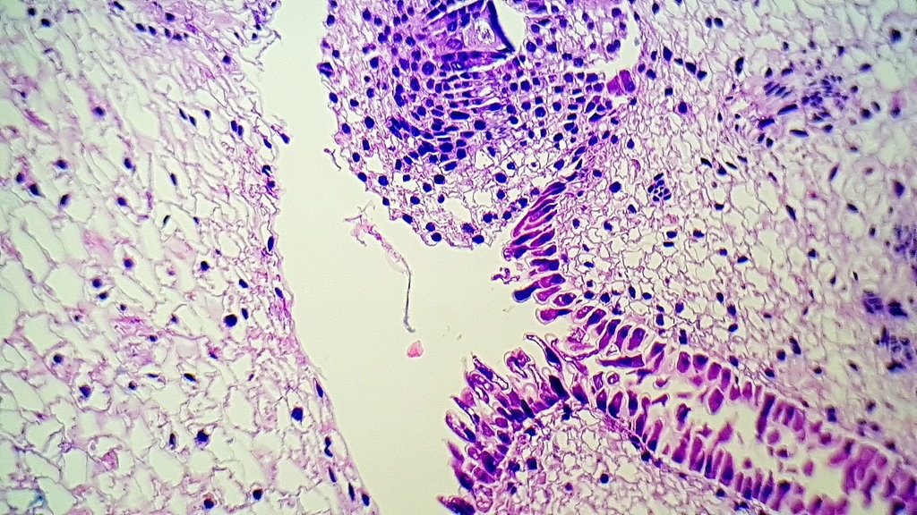
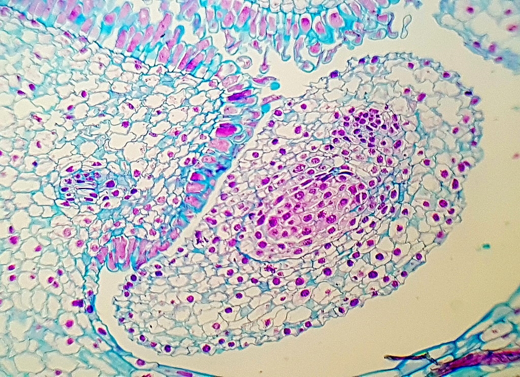
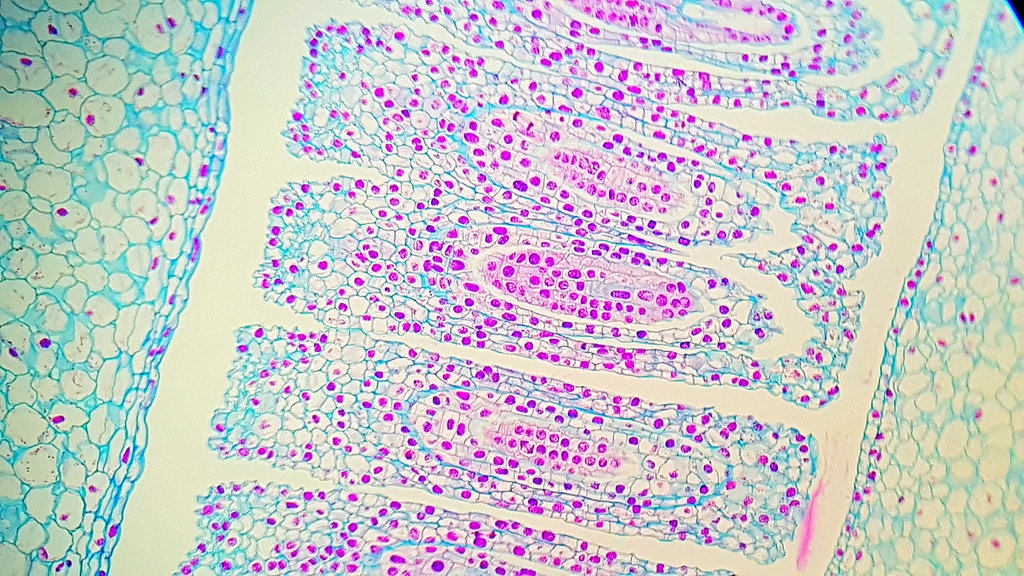
b) Ovar
Es handelt sich einmal um einen Längsschnitt und einmal um einen Querschnitt. Man sieht sehr viele Mitosestadien.


Abb. 6: das Präparat umfasst den Übergang den Stängels in den Fruchtknoten, der oben abgeschnitten wurde.


Abb. 7: Übersichtsaufnahme; Längsschnitt


Abb. 8: Längsschnitt


Abb. 9: Längsschnitt


Abb. 10: Längsschnitt


Abb. 11: Längsschnitt


Abb. 12: Querschnitt Übersichtsaufnahme


Abb. 13: Querschnitt


Abb. 14: Querschnitt


Abb. 15: Querschnitt


Abb. 16: Querschnitt; Leitbündel im Ovar


Abb. 17: Querschnitt Ovar mit Schließzelle