Hauptmenü

Galläpfel Histologie

Begonnen von Alf, April 23, 2020, 17:05:30 NACHMITTAGS

Vorheriges Thema - Nächstes Thema

Alf

Beim Spazierengehen habe ich an einer Buche ein paar Galläpfel entdeckt, die an Blättern einer Eiche gewachsen sind. Sie entstehen dadurch, dass Gallwespen befruchtete Eier in der Pflanze ablegen. Als Abwehrreaktion bildet die  Eiche eine entsprechende Wucherung.
Die befallenen Blätter wurden in AFE fixiert, die Galläpfel angeschnitten. Danach in Paraffin eingebettet und 5 Mikrometer dünne Schnitte angefertigt. Eingedeckt wurde in Malinol.
Gefärbt habe ich mit FAC n. Etzold, Hämatoxylin-Eosin und mit Lugolscher Lösung (Färbung leider nicht haltbar).


Abb. 1: AFE fixierte Galläpfel


Abb. 2: Afe fixierte Galläpfel


Abb. 3: angeschnittene Galläpfel

Die Galläpfel wachsen auf der Blattunterseite entlang der Blattadern, da die Gallwespe die Eier stets in die Blattadern ablegt. Schon makroskopisch erkennt man den konzentrischen Aufbau.


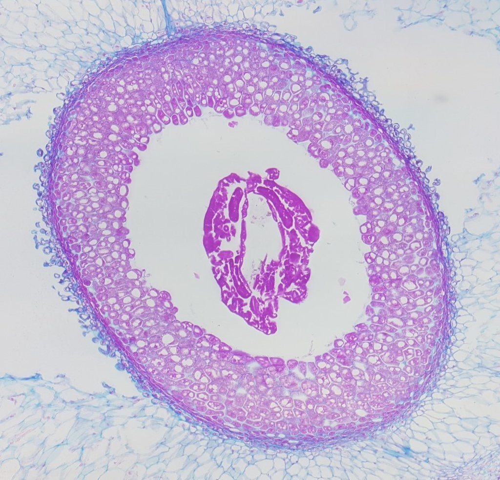
Abb. 4: Übersichtsaufnahme FAC; 2 Galläpfel, beim oberen wurde das Ende angeschnitten, weshalb man den Hohlraum in dem die Larve heranwächst nicht mehr sieht.


Abb. 5: Detailaufnahme FAC; geschichteter Aufbau; in der Mitte Hohlraum mit Larve.


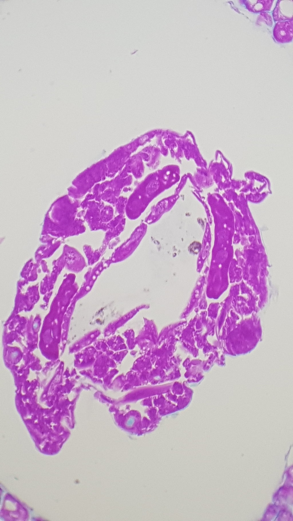
Abb. 6: Larve im Detail, FAC


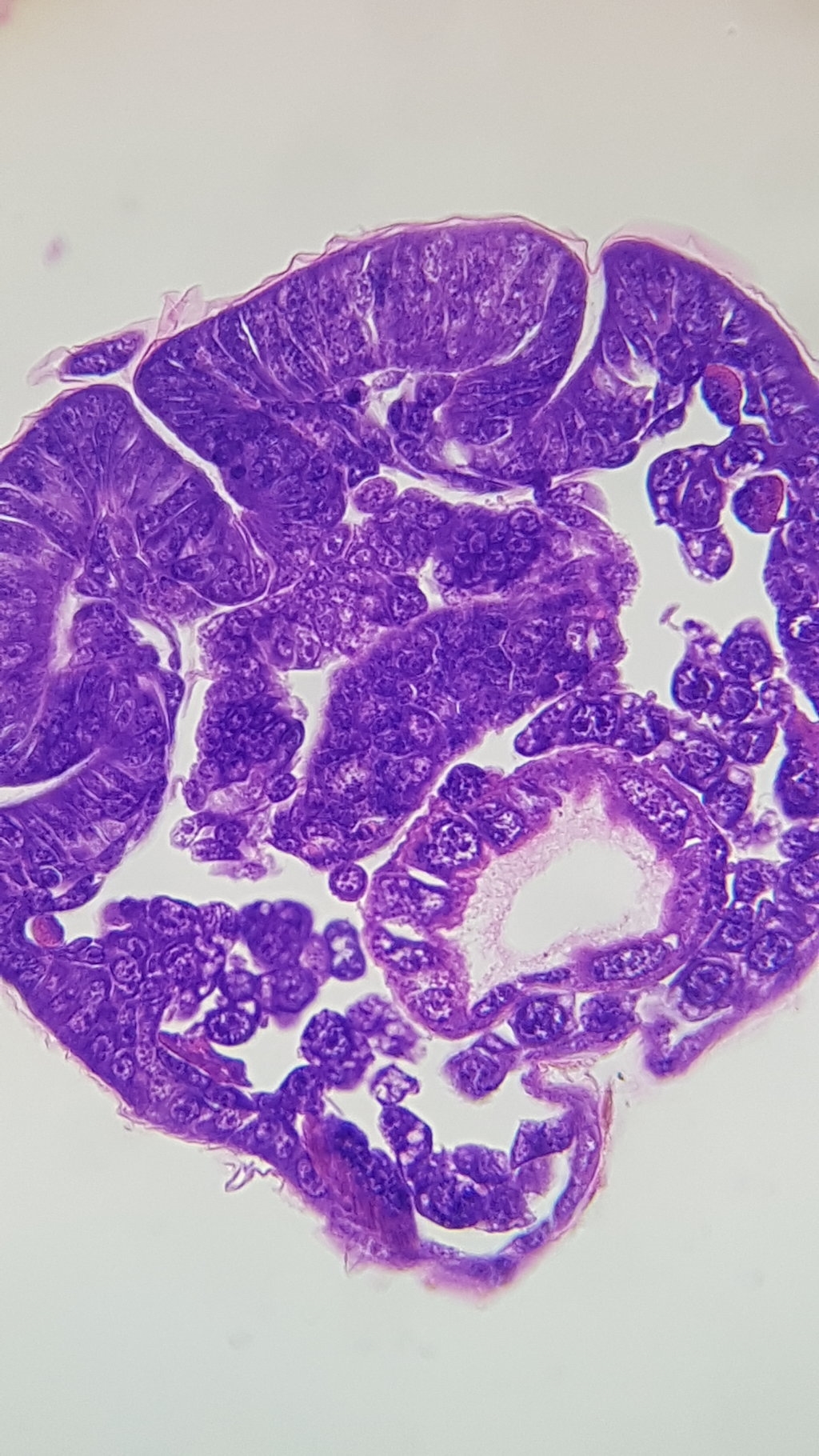
Abb. 7: HE Färbung


Abb. 8: Larve HE gefärbt


Abb. 9: Lugolsche Lösung; das innere Gewebe der Kapsel speichert viel Stärke die vermutlich der Ernährung der Larve dient, bzw. beim Schlüpfen durchgefressen wird.


Abb. 10: Lugolsche Lösung; Stärke speichernde Zellen im Detail


JB

Hallo Alf,

Grossartig. Kann mich nicht erinnern, so einen Schnitt mit Larve schon mal gesehen zu haben. Bild 5 hat das Zeug zum Mikroraetzel!

Beste Gruesse,

Jon

Reinhard

Hallo Alf,

(für mich als Laien) sehr unerwartet und sehr interessant!

Viele Grüße
Reinhard
seit wann ist Kunst ein Fehler ?



-----------------------------------------------------
www.mikrochemie.net

Gerd Schmahl

Hallo Alf,
danke für's Zeigen. Eichengallen gibt es sehr viele verschiedene. Hier sind einige schöne gezeigt.
Beste Grüße
Gerd
Man sagt der Teufel sei, im Detail versteckt,
doch hab' ich mit dem Mikroskop viel Göttliches entdeckt.

Jürgen Boschert

Hallo Alf,

ein interessantes Projekt fabelhaft umgesetzt.

Vielen Dank für´s Teilhabenlassen !

JB
Beste Grüße !

JB