Hauptmenü

Histologie Auge

Begonnen von Alf, Juli 11, 2020, 22:48:43 NACHMITTAGS

Vorheriges Thema - Nächstes Thema

Alf

Ich zeige die Histologie des Auges. Bei dem hergestellten Präparat handelt es sich um das Auge eines Fisches, dessen Aufbau allerdings mit dem menschlichem Auge ziemlich ident ist.

Das Auge wurde aus dem Fisch ausgeschnitten, Formalin fixiert, entwässert, in Paraffin eingebettet und 4 Mikrometer dünn geschnitten. Da das Fischauge in einer starren Knorpelhülle steckt, die sich kaum schneiden lässt, wurde diese entfernt. Dabei gehen auch die Hornhaut (Cornea), sowie der größte Teil der Iris und der gesamte Ciliarkörper verloren. Die Linse wurde nur teilweise mit angeschnitten, sie wurde durch den Einbettungsprozess überraschender weise steinhart und kaum schneidbar.



Abb. 1: Übersicht makroskopisch

Vorne am Auge befindet sich die Linse, deren Funktion die Nah- und Fernakkomodation sind. An ihr setzen die sogenannten Zonulafasern an, die über den Ziliarkörper mit dem Ziliarmuskel verbunden sind. Dadurch kann der Ziliarmuskel die Linse entspannen, wodurch sie Kugelförmig wird und sich die Brechkraft erhöht (= Nahakkomodation), oder die Linse anspannen, wobei sie abflacht, die Brechkraft sinkt (= Fernakkomodation).
Der eigentliche Sehprozess findet in der Retina statt, in der die Sehsinneszellen sitzen. Beim Menschen unterscheidet man Stäbchen (Hell- Dunkel) und Zapfen (Farbwahrnehmung).
Unter der Retina befindet sich die Choroidea (Aderhaut). In ihr findet man zahlreiche Gefäße und sie ist maßgeblich für die Versorgung der Retina mit Sauerstoff und Nährstoffen verantwortlich.



Abb. 2: Übersicht mikroskopisch

Abb. 2 zeigt eine mikroskopische Übersicht an der Eintrittsstelle des Sehnerven (N. opticus). Die Nervenfasern des N. opticus bilden die äußere Nervenfaserschicht der Retina. Die Eintrittsstelle markiert den sogenannten Blinden Fleck, da hier keine Sehnervenzellen liegen.



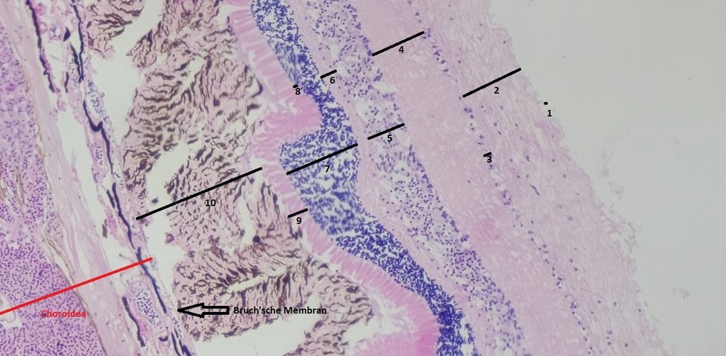
Abb. 3: Retina

Sehr schön zeigt sich beim Fischauge der 10 schichtige Aufbau der Retina, genau wie beim Menschen.

1 = Membrana limitans interna
2 = Nervenfaserschicht (N. opticus Fasern)
3 = Stratum ganglionare (Ganglienzellschicht)
4 = Stratum plexiforme internum (Axone des 2. Neurons)
5 = Stratum nucleare internum (Zellkörper des 2. Neurons = Bipolarzellen)
6 = Stratum plexiforme externum (Axone des 1. Neurons = Stäbchen/Zapfen)
7 = Stratum nucleare externum (Zellkörper der Stäbchen und Zapfen = 1. Neurone)
8 = Membrana limitans externa
9 = Stratum neuroepitheliale (enthält die lichtempfindlichen Fortsätze der Stäbchen und Zapfen)
10 = Stratum pigmentosum (Pigmentepithelschicht, das hier eher geschlängelt verläuft)

Darunter beginnt die Choroidea, die sich durch die Bruch'sche Membran zur Retina hin abgrenzt. Sie enthält zahlreiche Blutgefäße mit Erythrozyten, die bei Fischen zellkernhältig sind.


LG,
Alf

Jürgen H.

Danke, Alf für diesen histologischen Beitrag!

Die Verhärtung der Linse während der histologischen Behandlung dürfte ja die Folge der Entwässerung sein. Das führt mich zu der Frage ob auch die Presbyopie Folge eines Flüssigkeitsverlustes der Linse ist?

Schöne Grüße

Jürgen