Hauptmenü

Evernia divaricata

Begonnen von Ralf, November 27, 2009, 14:03:23 NACHMITTAGS

Vorheriges Thema - Nächstes Thema

Ralf

Liebe Flechtenfreunde,

ebenfalls aus dem Tiroler Lechtal kommt diese schöne Evernia divaricata.

- Fundortfoto



- Apothecie, bis 5 mm Durchmesser, mit Lagerrand (lecanorin), Scheibe gelb-orange bis braun.



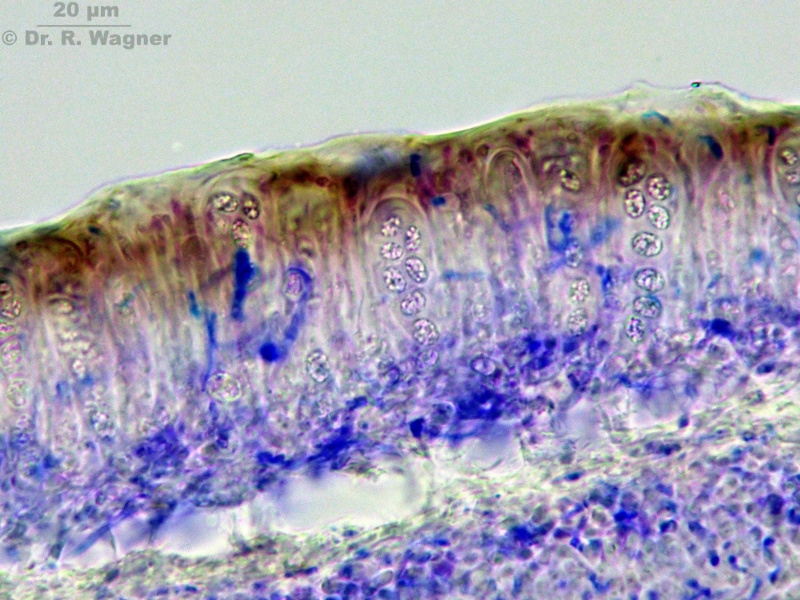
- Querschnitt Apothecie. Der Lagerrand ist mit den symbiontischen Chlororococcus spec. durchsetzt.



- Querschnitt Apothecie. Färbung mit Lactophenol-Methylblau-Säurefuchsin. Keulenförmige Asci mit Sporen.



- Ascus vom Lecanora Typ, 40 x 15 µm. Einzellige, elliptische Sporen, 8 pro Ascus, 8 x 5 µm. Färbung mit Lugol.



- Flechteninhaltsstoff: Divaricatsäure und wenig Usninsäure. Nach Extraktion mit Aceton in polarisiertem Licht. Typisch für Divaricatsäure ist die rechtwinklige Anordnung der Kristalle.



Viel Freude beim Ansehen.


derda

Hallo Ralf,

vielen Dank für diese schöne Dokumentation. Die Form, in der die Divaricatsäure auskristallisiert gefällt mir. Passend finde ich auch die zusätzlich eingefügte Strkturformel.

Viele Grüße

Erik

A. Büschlen

Hallo Ralf,

einmal mehr eine wunderschöne Dokumentation! Mit ihr wird auch sehr viel Information weiter gegeben.

Gruss Arnold Büschlen
Schwerpunkt z.Z.:
- Laub- und Lebermoose.
- Ascomyceten als Bryoparasiten.

Klaus Herrmann

Hallo Ralf,

das war ja ein wahrhaft großartiger Fund! schon erstaunlich, dass die riesige Flechte über sicher Jahrzente ungestört diese Dimension entwickeln konnte!

Deine Dokumentation ist wieder mal vorbildlich! Ungewöhnlich finde ich auch die von Dir erwähnte - und schön dokumentierte - Kristallform der Divaricatsäure. Das Molekül ist ja (fast) symmetrisch. Kristallisiert die Säure rein aus dem Acetonextrakt aus oder ist sie wie üblich umkristallisiert? Wenn umkristallisiert aus welchem Medium?
Mit herzlichen Mikrogrüßen

Klaus


ich ziehe das freundschaftliche "Du" vor! ∞ λ ¼


Vorstellung: hier klicken

Bernhard Lebeda

Hallo Ralf

ich schliesse mich meinen Vorrednern an: wirklich tolle und informative Dokumentation!!



Viele Mikrogrüsse


Bernhard
Ich bevorzuge das "DU"

Vorstellung

Ralf

Zitat von: Klaus Herrmann in November 27, 2009, 15:24:36 NACHMITTAGS
Kristallisiert die Säure rein aus dem Acetonextrakt aus oder ist sie wie üblich umkristallisiert? Wenn umkristallisiert aus welchem Medium?

Hallo Klaus,

rein aus dem Acetonextrakt kristallisiert. Felix Schumm, dem ich hier vielmals für seine Unterstützung bei der Bestimmung danke, empfiehlt noch Glycerin-Eisessig (2:1) oder Glycerin-Ethanol-Wasser (1:1:1) zum Umkristallisieren. Das war aber hier nicht notwendig.


Ernst Hippe

Hallo Herr Wagner,

da ich mich ja für Kristalle besonders interessiere, habe ich dieses wunderbare Beispiel in meine Sammlung fremder Glanzlichter aufgenommen. Leider verstehe ich von der nötigen Chemie zu wenig, um die Flechten selbst zu bearbeiten. Sie sind aber auch so interessant genug!
Gruß Ernst Hippe
Vorstellung:Hier klicken

Ralf

Zitat von: Ernst Hippe in November 27, 2009, 18:22:29 NACHMITTAGS
habe ich dieses wunderbare Beispiel in meine Sammlung fremder Glanzlichter aufgenommen

Lieber Herr Hippe,

da fühle ich mich sehr geehrt und freue mich, dass das Pol-Bild so viel Beachtung gefunden hat.