Hauptmenü

Anthrakose der Lunge

Begonnen von Michael W., Dezember 20, 2009, 18:19:58 NACHMITTAGS

Vorheriges Thema - Nächstes Thema

Michael W.

Hallo,

ich möchte nun endlich auch mal Fotos zeigen, und fange mit einem Kaufpräparat an. Botanische Schnitte gibt es dann demnächst.

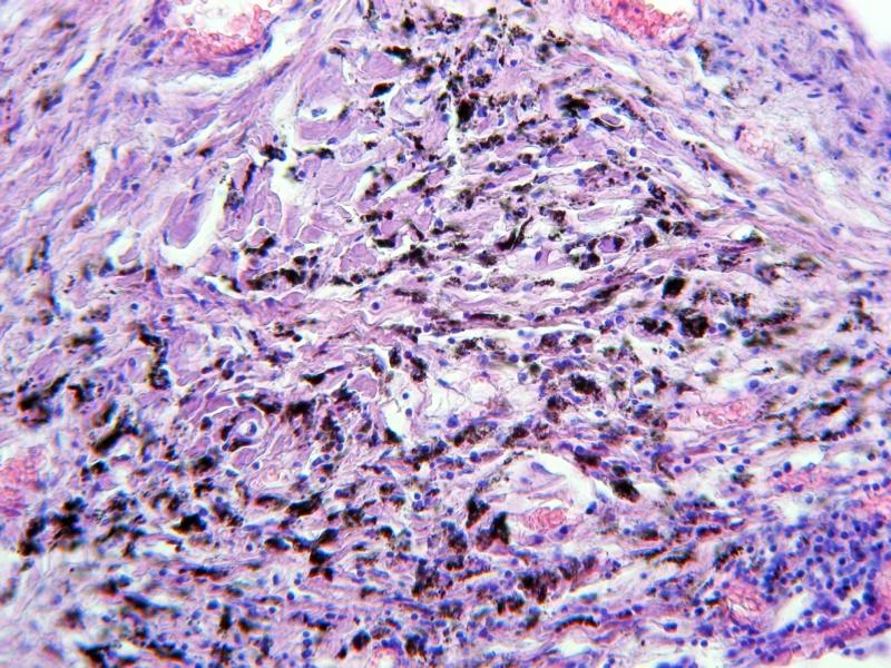
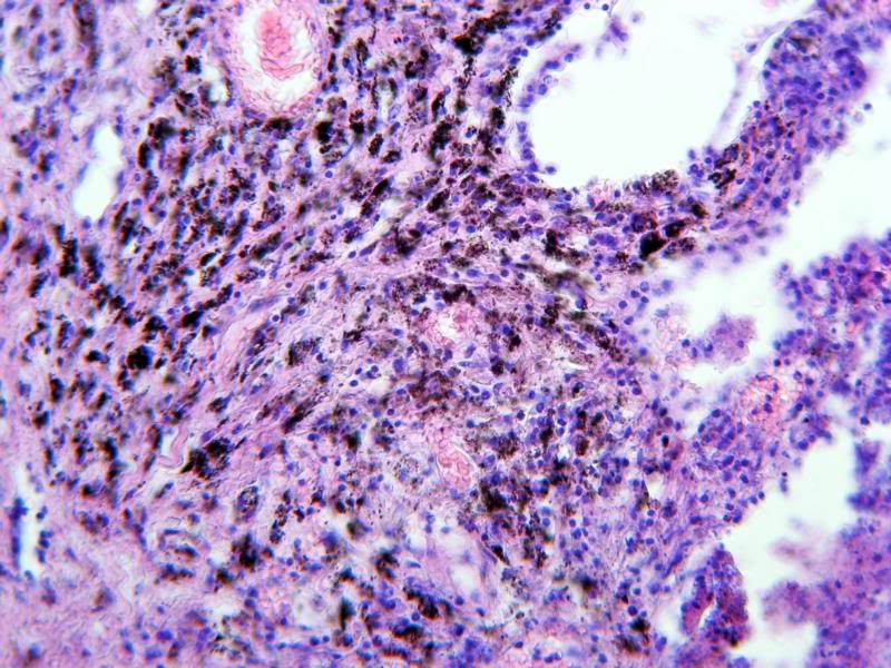
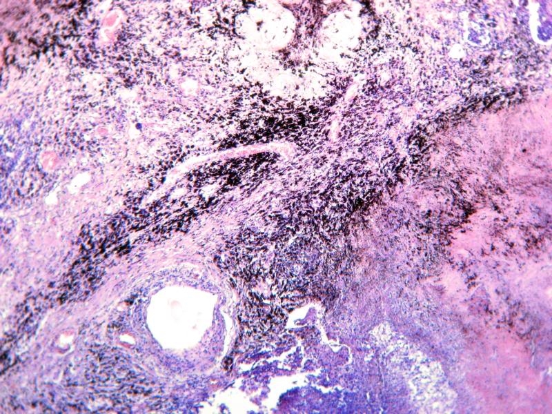
Ihr seht einen Lungenschnitt, der die Anthrakose (auch Staublunge) deutlich zeigt. Dabei handelt es sich um eine Staubinhalationskrankheit. Die vielen schwarzen Punkte sind mit kohlestäuben beladene Makrophagen. Ursache dieser Veränderung ist das häufige Einatmen von Stäuben z.B. aus Autoabgasen oder auch Zigarettenrauch. Diese Krankheit wurde erstmals bei den Arbeitern der Steinkohleminen festgestellt und erforscht.











Ich hoffe die Bilder gefallen euch. Sie sind zwar nicht ganz optimal, aber das wesentliche erkennt man. Zum Histologischen kann ich euch leider nicht mehr erzählen, dazu fehlt mir einfach das Wissen. Ich finde es aber trotzdem sehr interessant, sich diese Ablagerungen anzusehen. Die Bilder selbst wurden alle mit meiner A540 am Zeiss Standard gemacht und mit PSE 5.0 leicht nachbearbeitet.

Viele Grüße
Michael
Am liebsten per "Du"

Oliver S.

Hallo Michael,
ja das ist wirklich sehr beeindruckend. Jetzt müsste man zum Vergleich noch einen Schnitt durchs gesunde Lungengewebe daneben haben. Oder sieht das genauso nur ohne schwarze Einschlüsse aus?
Gruß,
Oliver
(gern per "Du" )

KeKe

Ich war schon sehr lange nicht mehr im Mikroskopie-Forum, habe aber gerade, dieses Diskussion zum Thema Staub-Lunge gesehen: Nein, gesunde Lungenbläschen sehen anders aus. Es ist nicht  wie auf dem obigen Bild nur mit schwarzen Einschlüssen. Für die Lungenfunktion ist eine große Oberfläche notwendig, die durch viele winzige Lungenbläschen (Alveolen) erzielt wird.  Bei der Staublunge ist dagegen ein großer Teil des Gewebes durch Bindegewebs-Strukturen ersetzt, die Oberfläche der Lungenbläschen ist darum nur noch klein. Dadurch ist die Lungenfunktion bei einer Staublunge stark beeinträchtigt.
Ich füge hier noch ein Foto von einer gesunden Lunge bei. Man erkennt gut die Bläschen-Struktur und die daraus entstehende große Oberfläche, die für den Gasaustausch in der Lunge wichtig ist.  Das was auf dem Foto der gesunden Lunge  wie dunkel-lila Flecken aussieht sind die Blutgefäße. (Auch ich habe für dieses Foto ein Fertigpräparat verwendet. )

Oliver S.

Danke für die Antwort. Ich bin aber auch nur noch selten hier :)
(gern per "Du" )