Cochliopodium - Eine plastische Schalenamöbe

Begonnen von KayZed, März 15, 2022, 17:46:02 NACHMITTAGS

Vorheriges Thema - Nächstes Thema

KayZed

Hallo Mikrofreunde,

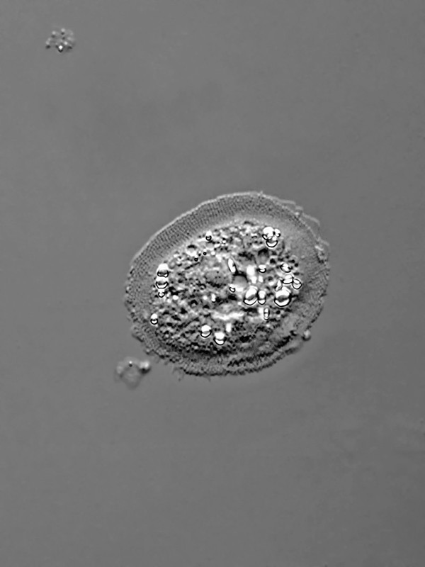
ich habe gestern an einem schwimmenden Deckglas aus einer Wassergraben-Feuchtwiesen-Kultur eine seltsame Amöbe gefunden. Es handelt sich vermutlich um Cochliopodium bilimbosum. Sie ist zwar im "Wassertropfen" abgebildet (S. 202), war dort für mich aber nicht zu erkennen.

Das Simmelried-Buch von Martin Kreuz ( S. 99) hat mich wahrscheinlich auf die richtige Fährte geführt.
Die Amöbe bewegt sich sehr langsam. Auffällig ist der hyaline Saum um den Zellkörper, der eine feine Oberflächenriffelung aufweist. Interessanterweise zählt Cochliopodium zu den Schalenamöben, deren Schale sich den Bewegungen plastisch anpasst.

Einen aufschlussreichen Beitrag mit tollen REM-Aufnahmen der Schale findet man auf der Penard Amöbenseite:

http://www.penard.de/Explorer/Amoebozoa/Discosea/Himatismenida/

Da ich diese Art im Forum noch nicht gefunden habe, möchte ich zwei Bilder einstellen.
Sie wurden mit DIK 50x 0,95 aufgenommen.





Viele Grüße
KlausZ

Zeiss Stemi 508
Zeiss Jenaval Kontrast
Nikon Z7

MikroMicha

#1
Hallo Klaus,

Das ist ja hoch interessant!

Ich habe diese Amöbe auch vor einigen Jahren in einer meiner Proben entdeckt, wie sie gemächlich dahinkroch. Ich habe damals zwei Videos angefertigt, einmal bei 630-facher, und einmal bei 1000-facher Vergrößerung.
Ich hätte allerdings nicht gedacht, dass es sich dabei um eine Schalenamöbe handelt.  Ich hätte auf eine besondere Form einer Nacktamöbe getippt. Wieder etwas dazugelernt und danke fürs Zeigen!  :)
Herzliche Grüße sendet

Michael (MikroMicha)

KayZed

#2
Hallo Michael,

ja, die Mikrowelt bietet immer wieder spannende Überraschungen. Das macht gerade dieses Hobby so faszinierend.

Es wäre interessant, welche Molekülformen die Schale aufbauen, um eine solche Mischung aus Festigkeit und Verformbarkeit zu ermöglichen. Die REM-Bilder von der Penardseite zeigen einen sehr komplexen Aufbau aus einer doppelwandigen Gerüststruktur mit säulenartigen Verbindungen.

Die zackenförmigen Ausbuchtungen, wie sie im "Wassertropfen" gezeichnet sind, konnte ich in abgeschwächter Form auch beobachten. Sie entstehen wohl immer auf der von der Bewegungsrichtung abgewandten Seite.

Ich habe übrigens nochmal zwei Bilder gestackt, um die Klarheit und Schärfe etwas zu verbessern.



Herzliche Grüße
KlausZ
Zeiss Stemi 508
Zeiss Jenaval Kontrast
Nikon Z7