Limoniidae, Fettkörper, Malpighische Gefäße

Begonnen von Jürgen H., Februar 17, 2010, 22:37:17 NACHMITTAGS

Vorheriges Thema - Nächstes Thema

Jürgen H.

Liebe Mitmikroskopiker,

Heute möchte ich kurz zwei wichtige Organe der Mücken (und anderer Insekten) an Hand eines Schnittes und einer Zeichnung vorstellen:



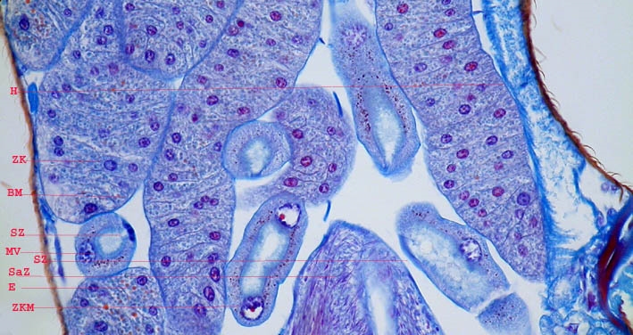
Das Bild stammt vom Abdomen der Mücke. Zur Orientierung dient das schlauchförmige hellblau gefärbte Herz H, das dorsal verläuft.

Erkennbar sind die großen lappenförmigen Fettkörper. Sie sind von einer tiefblau gefärbten Basalmembran BM umgeben. Diese Membran grenzt die Fettkörper einerseits vom Hämolymphraum ab, vermittelt andrerseits aber auch zwischen der Hämolymphe und dem Fettkörper als Selektionsorgan. Im Fettkörper werden diverse Stoffe aufgebaut und gelagert, nicht nur Fette, wie der Name vermuten lässt, sondern auch verschiedenste Proteine und Glykogene. Es werden aber dort auch andere Stoffe z.B. Urate entsorgt. Auffällig sind die vielen punktförmigen Einschlüsse E, die verschiedene Färbungen annehmen können, und die ich mir als Vakuolen diverser Stoffe deute. Die Zellkerne ZK sind deutlich sichtbar, hingegen sind die Zellwände an vielen Stellen im Präparat wenig deutlich zu sehen, oftmals scheinen sie gar zu fehlen.

Die Größe der Fettkörper ist in meinen Präparaten sehr unterschiedlich. In einigen Präparaten füllen die Fettkörperlappen das gesamte Abdomen aus. In anderen Präparaten hingegen sind die ersten Segmente des Abdomens fast völlig leer: Dort scheinen sich nur das Herz und der Darm zu befinden, so dass sich ein großer Hohlraum ergibt; alle Fettkörperlappen liegen dann ausschließlich in den hinteren Segmenten , dort aber dicht gedrängt. Ob diese Erscheinung mit dem Alter der Imago zusammenhängt, die Mücke sich den Wanst also im larvalen Zustand anfrißt und sodann als Imago verbraucht, oder ob es schlicht vom Ernährungszustand der Imago, ihren Futterquellen abhängt, welche Größe der Fettkörper annimmt, kann ich nicht sagen. Unabhängig hiervon scheint es mir aber so zu sein, dass die punktförmigen Einschlüsse des Fettkörpers vergrößert und vermehrt auftreten, wenn sich der Fettkörper auf den hinteren Teil des Abdomens beschränkt. Daher mögen diese Einschlüsse vielleicht  als Vakuolen zu deuten sein, die der Entsorgung von Stoffen dienen.

Entsorgungsorgane sind in jedem Fall die nach ihrem Entdecker Malpighi genannten Malpighischen Gefäße. Sie liegen auf der einen Seite blind und auf der anderen Seite im Darm endend im Abdomen und  filtern aus der Hämolymphe vor allem Urate aus. Am unteren Bildrand, etwas links von der Mitte  ist ein Teilstück zu sehen, das - wie sich aus der Schniittserie erweist - der untere Teil eines ubogenförmigen Abschnittes ist. Ganz links am unteren Bildrand hingegen liegt ein Querschnitt durch ein solches Gefäß. Gut erkennbar ist, dass die Zellen einlagig einen Hohlraum bilden, der gleichfalls gegen den Hämolymphraum durch eine Basalmembran abgeschlossen ist. Verblüffend finde ich die riesige Größe der Zellkerne ZKM. Im Inneren des gebildeten Hohlkörpers sind recht deutlich Mikrovilli MV zu erkennen, die dem Abtransport der Stoffe dienen werden.  

Und nur der Vollständigkeit halber noch zu diesem Bild: Genau mittig am unteren Bildrand reife Samenzellen SZ.

Und nun zu einer Zeichnung:



An einigen Stellen erweist sich, dass die Malpighischen Gefäße aus zwei verschiedenen Zelltypen bestehen: Der eine Typ bildet eine recht dicke Wand der Schläuche. Ihm gehören auch die riesigen rundlich geformten Zellkerne an. Nur sie sind mit Mikrovilli besetzt. Der andere Zelltyp ist  hingegen recht dünn und besitzt nur kleine langgestreckte Zellkerne. Ein Mikrovillibesatz fehlt anscheinend völlig. Diese Art Zellen bilden  eine Art dünne Naht der Schläuche. Auf den Querschnitten ist diese "Naht" nahezu überall zu sehen. Auf Längsschnitten erwischt man sie manchmal, wie hier,  in größerer Ausdehnung längs der Gefäße. Auffällig ist dann, dass sich die Basalmembran an diesen Stellen erheblich kräuselt, was allerdings auch ein Artefakt der Präparation sein könnte.

Die Funktion dieser Zellen ist mir unbekannt. In der Literatur habe ich nur ähnliche Zellen beschrieben gefunden, die dort als Sternzellen bezeichnet wurden, weil die "Nähte" sich bei den dort beschriebenen Zellen sternförmig über die M. Gefäße erstrecken. In meinen Präparaten habe ich jedoch nie Stellen gefunden, in denen Querschnitte zwei Nähte aufwiesen, so dass bei den Limoniidae keine solchen sternförmigen Zellen, sondern lediglich langgestreckte Zellen vorzuliegen scheinen.

Mikrogrüße

Jürgen


Fahrenheit

Lieber Jürgen,

danke für Dein wie immer perfektes Präparat und die lehrreichen Erläuterungen! Auch die Zeichnung zur Verdeutlichung der angesprochenen Strukturen finde ich klasse, da sie mir als "Pflanzenschnibbler" erlaubt, mir ein Bild von den angesprochenen Strukturen zu machen.

Herzliche Grüße
Jörg
Hier geht's zur Vorstellung: Klick !
Und hier zur Webseite des MKB: Klick !

Arbeitsmikroskop: Leica DMLS
Zum Mitnehmen: Leitz SM
Für draussen: Leitz HM