Blütenzapfen einer Trauerzypresse

Begonnen von Frank Fox, April 28, 2010, 19:30:44 NACHMITTAGS

Vorheriges Thema - Nächstes Thema

Frank Fox

Hallo,

viel musste ich üben, um diese Schnitte zu erstellen.  ;)

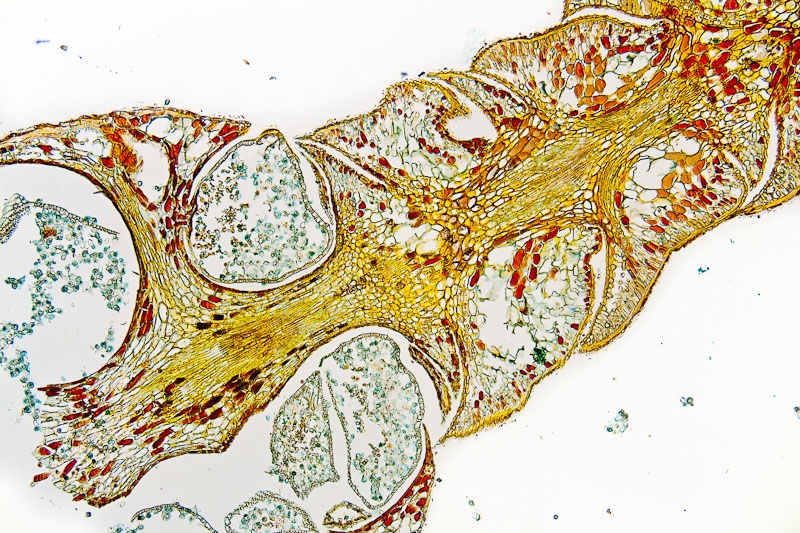
Schnitte eines Blütenzapfen (männlich) einer Trauerzypresse in etwa 10µm.

http://de.wikipedia.org/w/index.php?title=Datei:Cupressus-sempervirens-conos.jpg&filetimestamp=20070221220739

Gefärbt mit Wackerfärbung und in Euparal eingeschlossen.

Kommentare und Kritik sind wie immer willkommen!!!


































Amplival - Umbau unendlich

GF Plan-Apo 12,5/0,35
GF Plan-Apo 25/0,65
GF Plan-Apo 50/0,95
Voll-Format Kamera 5D-MKII

Grüße Frank Fox
Mikrofotografie
www.mikro-foto.de
www.fotofind.eu

Faszination Mikroskopie
www.dustri.com/nc/de/hachinger-verlag/category/sachbuch.html

Zeitschrift Mikroskopie
http://www.mikroskopie-journal.de/

YouTube - Kanal
www.youtube.com/channel/UC32f7n_zGHMphTHSTC5wylg

Fahrenheit

Lieber Frank,

die Schnitte sind Dir sehr gut gelungen, genau so wie die Färbung und die Photografien Deiner Präparate.
Respekt!

Ich würde mich sehr freuen, wenn Du zu Deinen mikroskopischen Aufnahmen noch ein makroskopisches Bild eines solchen Blütenzapfens zeigen könntest.

Herzliche Grüße
Jörg
Hier geht's zur Vorstellung: Klick !
Und hier zur Webseite des MKB: Klick !

Arbeitsmikroskop: Leica DMLS
Zum Mitnehmen: Leitz SM
Für draussen: Leitz HM

Frank Fox

#2
Hallo lieber Jörg,

ich habe einen Link zu wikipedia eingestellt.

Die Blütenzapfen lagen fast ein ganzes Jahr in AFE und waren als ganzes nicht mehr so schön  ;).

Herzliche Grüße
Frank
Mikrofotografie
www.mikro-foto.de
www.fotofind.eu

Faszination Mikroskopie
www.dustri.com/nc/de/hachinger-verlag/category/sachbuch.html

Zeitschrift Mikroskopie
http://www.mikroskopie-journal.de/

YouTube - Kanal
www.youtube.com/channel/UC32f7n_zGHMphTHSTC5wylg

derda

Hallo Frank,

tolle Schnitte und ebenso gute Färbung!!! Ich würde dir noch zum "Bilderputzen" und Stitchen raten => da bekommst du in guter Auflösung schön Übersichtsbilder hin.

Viele Grüße

Erik

ps: der Einsendeschluss für die Nikon-Smallworld naht...

Michael W.

Hallo Frank,

wow, das sind ja wirklich super schöne und interessante Bilder! Dein Üben hat sich wirklich gelohnt.
Die Färbung ist auch toll ausdifferenziert. Auch die Fotos sind von der Belichtung und von der Farbwiedergabe her besser. Vor allem die Detailaufnahmen beeindrucken.  ;D ;D ;D

Viele Grüße
Michael
Am liebsten per "Du"