HISTOLOGIE: Frage fur Histo- oder Pathologen; Rattenniere: Vene oder Lymphgefäß?

Begonnen von Ronald Schulte, Dezember 17, 2010, 22:23:21 NACHMITTAGS

Vorheriges Thema - Nächstes Thema

Ronald Schulte

Allen,

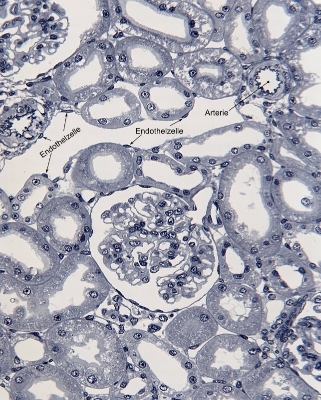
In einen meine Nieren Schnitte war ich auf suche nach Podozyten aber da sah ich an die oberen Seite eines Glomerulus eine Vene oder Lymphgefäß.
Da es ein ziemlich Größen Raum ist mit Endothelzellen vermute ich das es sich um eine Vene handelt aber sehe auch keine Blutzellen.
Wer kann mich helfen?

Übrigens ist die Färbung eine Eisenhaematoxyline nach Weigert.

Grüße Ronald


Mikroskope:
Leitz Orthoplan (DL, AL-Fluoreszenz und Diskussionseinrichtung).
Leica/Wild M715 Stereomikroskop.
Mikrotom:
LKB 2218 Historange Rotationsmikrotom.

Ulf Titze

#1
Hallo Ronald,

da wir uns hier im Kortex befinden, ist dieses Gefäß aller Wahrscheinlichkeit nach als ein Blutgefäß zu klassifizieren. Lymphgefäße sind in der Niere ein sehr umstrittenes Kapitel. Manche meinen, hier gibt es keine - was ich mir aber nicht vorstellen kann.

Ich habe aber schon mehrmals den Versuch gemacht und Schnitte vom Nierenkortex immunhistologisch mit Antikörpern gegen CD34 (Blutgefäße) und Podoplanin (Lymphgefäße) gefärbt - es dominieren in der Tat die Blutgefäße bei weitem. Diese Gefäße sind sehr wichtig für die Beurteilung einer akuten humoralen Rejektion bei transplantierten Nieren.

Nierenzellkarzinome metastasieren bevorzugt hämatogen. Dies liegt zum einen an ihrem charakteristischen Wachstumsmuster, eine andere Erklärung könnte aber auch einfach die DOminanz von kleinen Venen mit Nierenparenchym sein.

Grüße

Ulf

"Do not worry about your problems with mathematics, I assure you mine are far greater." (A. Einstein)

"Komm wir essen Opi!" - Satzzeichen können Leben retten!!!

Ronald Schulte

Ulf,

Danke für deine Auskunft. In meine Histo-Bücher wird auch nicht genau beschrieben wie es sein konnte. Eigentlich doch fremd das es da noch keine eindeutige Theorie gibt.
Ich bezeigne es wie eine Vene.

Grüße Ronald
Mikroskope:
Leitz Orthoplan (DL, AL-Fluoreszenz und Diskussionseinrichtung).
Leica/Wild M715 Stereomikroskop.
Mikrotom:
LKB 2218 Historange Rotationsmikrotom.

Ulf Titze

Lieber Ronald,

nun ja, das liegt in der eigentümlichen Gefäßanatomie der Niere begründet. Hier haben wir ja ein zweites Kapillarbett, das die Tubuli umgibt. Das ist ein absoluter Sonderfall!

In der Literatur werden diese Blutgefäße nicht als arteriell oder venös gekennzeichnet, sondern einfach als "peritubuläre Kapillaren" - im englischen Schrifttum auch als PTC abgekürzt. Bei Menschen mit transplantierten Nieren manifestiert sich hier eine der beiden Abstoßungsformen - speziell die humoral bedingte Rejektion. Diagnostisch wichtigste Hinweise hierfür sind wandständige Granulozyten und Ablagerungen bestimmter Komplement-Faktoren (C4d) in den Wänden dieser PTC.

Jetzt bewegen wir uns aber wirklich nicht mehr im kleinen Einmaleins der Histologie!

Grüße

Ulf
"Do not worry about your problems with mathematics, I assure you mine are far greater." (A. Einstein)

"Komm wir essen Opi!" - Satzzeichen können Leben retten!!!

Florian Stellmacher

Lieber Ronald,

zum "Kleinen Einmaleins" würde allerdings noch gehören, dass eine Vene eine muskuläre Wand hat, die an Deinem tollen Schnitt nicht zu sehen ist. Rein histomorphologisch ist es kaum möglich, Kapillaren (also ohne Muskel) und Lymphspalten sicher zu unterscheiden.

Herzliche Grüße,
Florian
Vorwiegende Arbeitsmikroskope:
Zeiss Axioskop 2
Olympus BHS (DL, Pol, Multidiskussionseinrichtung)
Zeiss Axiophot (DIK und AL-Fluoreszenz)
Zeiss Axiovert (Fluoreszenz)
Wild M400 Fotomakroskop (DL, DF, AL, Pol)