Hauptmenü

Ciliaten in Paraffinschnitten

Begonnen von Ole, Januar 05, 2011, 20:17:19 NACHMITTAGS

Vorheriges Thema - Nächstes Thema

Ole

Hallo!
Die "Zeit zwischen den Jahren" hatte ich genutzt, um endlich einmal einen alten Paraffinblock mit einer Kaulquappe unseres heimischen Grasfrosches zu schneiden.
Zu meiner Überraschung fand ich in der Kaulquappe diverse Ciliaten. Sowohl die Cilien als auch der schlangenförmige Makronukleus sind im Schnitt erkennbar. Eine kurze Internetrecherche zeigte, dass Ciliaten sowohl im Darm als auch der Kloake von Anuren vorkommen können (z.T. parasitisch).
Die Ciliaten haben die ganze Prozedur (Monate in AFE gelagert, Alkoholreihe, Paraffin-Einbettung, Schneiden und Färbung) erstaunlich gut überstanden.
Auch wenn der Fund wohl nicht ungewöhnlich ist, wollte ich die Bilder gerne einmal zeigen.
Viele Grüße,
Ole


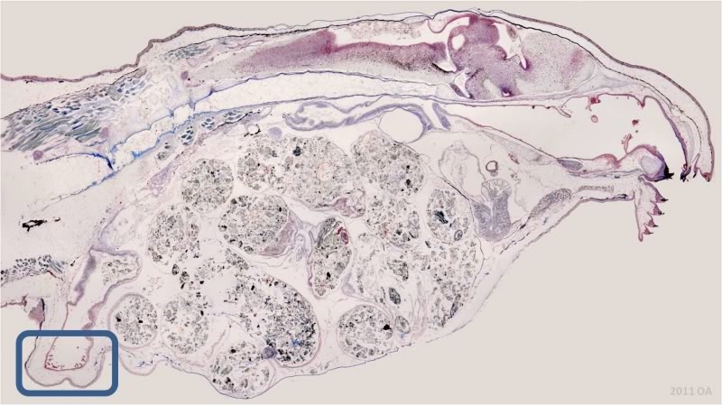
Foto 1: Kaulquappe längs, 46 Aufnahmen "gesticht" (PL FL 5x/0.15) . Das Kästchen zeigt die Position der Ciliaten


Foto 2:  PL APO 20x/0.60, 3 Bilder mit CZP gestackt, HE


Foto 3: PL APO 40x/0.75, Schiefe Beleuchtung, AZAN.

Florian Stellmacher

Hallo Ole,

das ist ja interessant!

Ich habe im Schnittpräparat nie darauf geachtet, was die Kaulquappen so alles im Darm haben, aber "Koproskopie" ist offenbar hochgradig spannend. Ich werde mal nachsehen, was sich in meinen Schnitten so tummelt. Vielen Dank für Deinen Beitrag!

Beste Grüße,
Florian
Vorwiegende Arbeitsmikroskope:
Zeiss Axioskop 2
Olympus BHS (DL, Pol, Multidiskussionseinrichtung)
Zeiss Axiophot (DIK und AL-Fluoreszenz)
Zeiss Axiovert (Fluoreszenz)
Wild M400 Fotomakroskop (DL, DF, AL, Pol)

Holger Adelmann

#2
Hallo Ole - einfach unglaublich was Du uns da zeigst.
Haette nie fuer moeglich gehalten dass die Ciliaten im Paraffinschnitt so hervorragend erhalten sind.

Kannst Du noch paar Fotos mit der Oelimmersion machen ?

Was ist das denn fuer eine Art? Ich bin im Moment in UK und hab meine Literatur nicht zur Hand.
Anscheinend sind sie nicht kontraktil - oder ? Ich koennte mir vorstellen, dass kontraktile Arten wie z. B Glockentierchen bei Kontakt mit dem Fixiermittel noch schnell kontraktieren bevor die Fixierung einsetzt.

Herzliche Gruesse
Holger

Bernhard Lebeda

Hallo Ole

wirklich ein fantastischer Fund!!

Über Ciliaten (Parasiten und Endokommensalen) bei Anuren kann man tatsächlich was finden über Google, aber interessanterweise ist nie von peritrichen Ciliaten die Rede! Vielleicht doch ungewöhnlich?

Viele Grüsse

Bernhard
Ich bevorzuge das "DU"

Vorstellung

Ole

Hallo,
ich habe noch einmal drei weitere Aufnahmen ergänzt.
@Holger: Leider kann ich nichts zur Bestimmung beitragen, meine (spärliche) Literatur über Ciliaten lässt keine sicheren Aussagen zu. Ich sehe solche endoparasitischen (oder kommensalischen ?) Formen zum ersten Mal.
Viele Grüße,
Ole



100x/1.30, CZP(7 Einzelaufnahmen)


40x/0.75 Phako


40x/1.25 Hier noch einmal ein Gesichtsfeld mit mehreren Ciliaten

Bernd

Hallo Ole,

ein wirklich interessanter Fund. Ich habe gleich mal den Kahl herausgeholt und mich an der Bestimmung versucht (ich bin aber definitiv kein Experte darin).

Offensichtlich ist, daß es sich um einen peritrichen Ciliaten handelt, der nicht in einem Gehäuse lebt, also Peritriacha, Aloricata. Da das Hinterende keinen von der Scopula ausgeschiedenen Stiel besitzt, handelt es sich um die Familie Scyphidiidae. Das Hinterende scheint nicht stielartig verjüngt zu sein, deshalb könnte es sich um die Gattungg Scyphidia handeln.
Kahl schreibt: "Die Gattung Scyphidia umfaßt die peritrichen Arten, welche ohne Stielbildung mittels einer sezernierten Haftscheibe einem Substrat, meist einem Metazoon aufsitzen." Bei den Metazooen handelt es sich um Schnecken, Fische oder Würmer. Bei den Artbescheibungen wird keine Art erwähnt, die auf oder gar in Fröschen lebt. Die abgebildeten Arten weisen aber eine deutliche Ähnlichkeit zu den von dir gezeigten Ciliaten auf.
Es gibt aber auch eine marine Art, Scyphidia (Paravorticella) clymenellae, die als Endoparasit im (!) Enddarm des marinen Wurms Clymenella torquata lebt (http://digitalcommons.unl.edu/cgi/viewcontent.cgi?article=1749&context=jrnlparasitology).

Mehr kann ich leider nicht beitragen. Da ich auch völlig falsch liegen kann, hoffe ich, daß noch ein Experte etwas beitragen kann.

Viele Grüße
Bernd


Florian Stellmacher

Hallo Ole,

die Ciliaten sind verblüfend gut erhalten und zum Glück sogar z. T. in einer Schnittebene komplett erfasst. Die Histologie Deines Schnittes erscheint keineswegs zu dick zu sein, daher sind Deine Fotos ganz getroffener Ciliaten umso verblüffender. Darf man fragen, wie dick Du geschnitten hast?

Das Azokarmin hast Du sehr schön differenziert. Erstaunlich, dass die Protozoenkerne noch so viel Farbstoff enthalten. Offenbar ist die DNA hier stärker kondensiert, während bei der Kaulquappe wohl relativ viel DNA abgespult und transkribiert wird, daher ist das Chromatin hier wesentlich offener. Sogar die Kerntrümmer in den Nahrungsvakuolen der Ciliaten sind noch stark gefärbt.

Beste Grüße,
Florian
Vorwiegende Arbeitsmikroskope:
Zeiss Axioskop 2
Olympus BHS (DL, Pol, Multidiskussionseinrichtung)
Zeiss Axiophot (DIK und AL-Fluoreszenz)
Zeiss Axiovert (Fluoreszenz)
Wild M400 Fotomakroskop (DL, DF, AL, Pol)

Peter V.

Hallo Ole,

das hat mich auch erstaunt, dass die Ciliaten praktisch vollständig in einer Ebene geschnitten sind.
Vermutlich schon ein eher seltener wirklicher Glückstreffer.

Herzliche Grüße
Peter
Dieses Posting ist frei von kultureller Aneigung, vegan und wurde CO2-frei erstellt. Für 100 Posts lasse ich ein Gänseblümchen in Ecuador pflanzen.

Ole

Hallo,
vielen Dank an alle für die Kommentare und Hinweise zur Bestimmung!
@Bernd: Die in dem Artikel abgebildeten Ciliaten sehen denen, die ich in der Kaulquappe gefunden habe, doch sehr ähnlich. Vielleicht handelt es sich tatsächlich um eine parasitische Art. Danke für den Verweis auf die Artikel!
@Florian: Die Schnittdicke lag jeweils zwischen 8µm (Rotationsmikrotom) und 10µm (Schlittenmikrotom).
Viele Grüße,
Ole