Hauptmenü

Umbilicaria proboscidea *

Begonnen von Ralf, August 14, 2011, 21:11:19 NACHMITTAGS

Vorheriges Thema - Nächstes Thema

Ralf

Liebe Flechtenfreunde,

diese eher seltene Umbilicaria proboscidea habe ich in der Nähe der Blankarseen in Tirol in ca. 2300 m Höhe auf einem Silikatfelsen gefunden.


- Fundortfoto. Thallus ca. 4 cm, dünn, Oberseite dunkelgrau, rauh, netzartig mit weißlichen Rippen belegt. Zentaler Nabel. Unterseite blass, dunkelbraun, glatt, kaum Rhizinen. Chemie: C+ rot, K+ gelb, dann rot, KC rot, P+- gelb (gyrophoric and norstictic acids)
Auf Silikatgestein in hellen Lagen, montan, alpin.



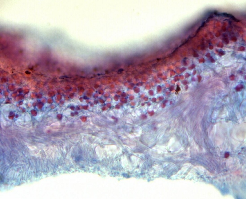
- Querschnitt Lobe. Beidseitig berindet. Färbung mit Lactophenol-Methylblau-Acidfuchsin.



- Querschnitt Lobe. Nahansicht Oberseite. Färbung mit Lactophenol-Methylblau-Acidfuchsin.



- Querschnitt Lobe. Nahansicht Unterseite. Färbung mit Lactophenol-Methylblau-Acidfuchsin.







Ronald Schulte

#1
Ralf,

Die Blaue Farbe sieht besonders schön aus.
Ich kann mich mein erstes Präparat gut erinnern, war fast gleich nur nicht so schön Fotografiert natürlich.





Grüße Ronald
Mikroskope:
Leitz Orthoplan (DL, AL-Fluoreszenz und Diskussionseinrichtung).
Leica/Wild M715 Stereomikroskop.
Mikrotom:
LKB 2218 Historange Rotationsmikrotom.

Ralf

Hallo Ronald,

freut mich, dass die Bilder Dir gefallen. Ich habe gar nicht gewusst, dass Du auch einmal Flechten (hier vermutlich Xanthoria parietina, Schattenform) bearbeitet hast. Finde ich natürlich toll.

Deine Beiträge zur Histologie lese ich immer mit großem Interesse.



A. Büschlen

Hallo Ralf,

schöner Beitrag!
Machst du deine Standortaufnahmen mit der G9?

Gruss Arnold
Schwerpunkt z.Z.:
- Laub- und Lebermoose.
- Ascomyceten als Bryoparasiten.

Ralf

Zitat von: A. Büschlen in August 19, 2011, 10:57:27 VORMITTAG

Machst du deine Standortaufnahmen mit der G9?




Lieber Arnold,

urlaubsbedingt kommt meine Antwort etwas verspätet:

Diese Aufnahme hier ist tatsächlich mit der G9 gemacht. Die Aufnahmen mit der G9 werden aber nicht immer so gut, wie diese hier. Ich habe noch eine Sony Alpha 900 mit Tamran 90 mm Makro. Wenn meine Frau diese nicht gerade benutzt, mache ich Fundortfotos auch gerne damit.