Hauptmenü

erste Versuche UV

Begonnen von Karl73, Dezember 23, 2012, 14:36:16 NACHMITTAGS

Vorheriges Thema - Nächstes Thema

Karl73

Liebe Mikroskopiefreunde,
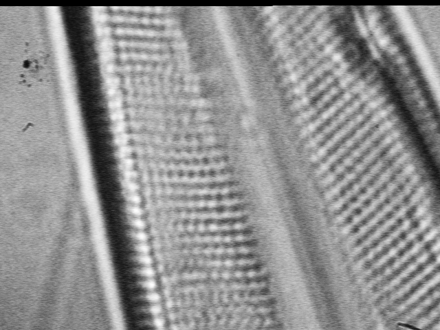
inspiriert durch die Seite von Peter Höbel und die vorherigen Beiträge habe ich mal erste Schritte in Richtung UV-Mikroskopie versucht. Lichtquelle ist eine Edison Federal 1W UV LED mit 395nm. Ala Kamera diente eine alte CCD Überwachungskamera (Monacor TV-CCD-2006). Die Aufnahme entstand mit einem 100er Apo Öl am Zeiss Ampival. Es ist ein Frame aus einer Videosquenz. Das stacken hat noch nicht so funktioniert... Aufnahme über LogiLink Videograbber, SharpCap, Einzelbilder mit VirtualDub extrahiert.

vermutlich Amphipeura...



So nochmal mit verändertem Abstand Kamera-Projektiv (K5:1). Ich bitte den Dreck zu entschuldigen...  :-



Frohe Weihnachten...
Fluoval mit HF, DF, Phv, AL und DL Fluoreszenz, Pol (hilfsweise)
Epival Interphako
Jenamed 2 fluorecence

Gerne per "Du"

Nomarski

Hallo Karl,

wie breit ist denn dein Aufnahmefeld?

Karl73

wie breit? hmmm ich hab leider kein Bild von meinem Maßstab mit gemacht... hab ich glatt vergessen vor lauter Begeisterung ;-). Wäre sicher wichtig um die Auflösung (deren Gewinn?) einschätzen zu können. Hole ich nach. Habe auch das Gefühl alle Einstellungen zu Apertur und Blende sind irgendwie anders...
Fluoval mit HF, DF, Phv, AL und DL Fluoreszenz, Pol (hilfsweise)
Epival Interphako
Jenamed 2 fluorecence

Gerne per "Du"

Nomarski

Hallo Karl,

deinem eingeblendeten Maßbalken nach zu urteilen, sind das keine sonderlich schwierigen Diatomeen. Auf 10µm liegen etwa 10 Poren, laß es von mir aus 15 sein. Aber dazu braucht man kein 100er Öl-Immersion, um das darstellen zu können. Probier es mal mit einer echten Amphipleura. Wenn du die damit auföst, dann soll mich der Dreck auf dem Foto ein Dreck interessieren! ;D

VG
Bernd

Lothar Gutjahr

Hallo Karl,

das Stacken kann dir unter Umständen sehr leicht gelingen, wenn du mit der Videoaufnahme einen Übergang in der Schärfe erwischst und diese Sequenz mit einem Videoschnittprogramm herausschneidest und in Einzelbilder umwandelst. Dem Stacker zugeführt kommen ganz passable Ergebnisse dabei heraus. Einfach unnütze Bilder am Anfang und Ende des Clips abschneiden.

Gruß Lothar

Karl73

Lieber Lothar, danke für den Tip. Du wirst mir unheimlich! So viel Wissen zur Mikroskopie ;-)

Viele Grüße
Karl
Fluoval mit HF, DF, Phv, AL und DL Fluoreszenz, Pol (hilfsweise)
Epival Interphako
Jenamed 2 fluorecence

Gerne per "Du"

Nomarski

Hallo Lothar,

auch ich bin zutiefst beeindruckt.

Viele Grüße
Bernd

Lothar Gutjahr

Hmm..Ooh,  habe ich euch zweien jetzt einen aus der Bananenkiste erzählt ? Äh nicht Bananen, Banalitäten.

War aber trotzdem gut gemeint. (Ja ich weiß, "Videostackling" das konnte man schon vor Monaten in "Edelweißnews" lesen.)

Schönen Abend wünscht

Lothar

Nomarski

Hallo Lothar,

ZitatHmm..Ooh,  habe ich euch zweien jetzt einen aus der Bananenkiste erzählt ? Äh nicht Bananen, Banalitäten.

War aber trotzdem gut gemeint. (Ja ich weiß, "Videostackling" das konnte man schon vor Monaten in "Edelweißnews" lesen.)
dort stehen aber nur Plumositäten.

Schönen Abend
Bernd