Echinococcus granulosus, der Hundebandwurm

Begonnen von Ralf Feller, März 19, 2017, 19:46:12 NACHMITTAGS

Vorheriges Thema - Nächstes Thema

Ralf Feller

Ich möchte hier über den Fall eines 10jährigen Migrantenkindes berichten das unter
der Verdachtsdiagnose ,,Pneumonie" mit Fieber und Brustschmerzen aufgenommen
wurde. Radiologisch fand sich eine Raumforderung im linken Lungenunterlappen,
der dann chirurgisch entfernt wurde.

Die Präparation des entnommenen Lungenlappens zeigt ein verfestigtes Lungengewebe
mit einer zentralen mit Flüssigkeit gefüllten Zyste.

Abb. 1 zeigt drei Bereiche des Lungengewebes:
1.Der Bereich unter der Pleura ist deutlich verbreitert, hier finden sich dilatierte
Gefäße und lockeres Bindegewebe mit Entzündungszellen.
2.Lungengewebe mit deutlich erweiterten Kapillaren.
3.Eitrige Entzündung von den Bronchiolen ausgehend (Bronchopneumonie)
Abb.1


Im Abb. 2, 3 und 4 in der Vergrößerung.
Abb. 2 erweiterte Lungenkapillaren


Abb. 3 erweiterte Lungenkapillaren,
ich zeige dieses Bild nur weil sich hier sehr schön der Aufbau der Lungenalveolen
darstellt, wie man es sonst nur in Dünnschnitten von Ronald Schulte sehen kann.
Z.B. https://www.mikroskopie-forum.de/index.php?topic=9640.0


Abb. 4 bronchopneumonisches Infiltrat um einen Bronchiolus


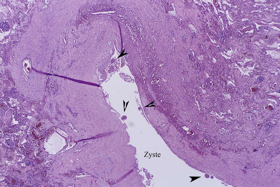
Abb. 5 zeigt die mit Entzündungszellen durchsetzte Wandung der Zyste die
mit einer hyalinen Membran ausgekleidet war, die sich im Verlaufe der Präparation
wohl abgelöst hat (Abb. 6). Im Bereich der Zytenwand erkennt man kleine runde bis
ovale Körperchen (Pfeile).
Abb. 5


Abb. 6


In der Vergrößerung (Abb. 7 und 8 ) erweisen sich diese Körperchen als Protoskolizes
des Hundebandwurms (Echinicoccus granulosus) mit typischem Hakenkranz.
Abb. 7

Abb. 8


Die Veränderungen an der Lunge, die hier zu sehen sind gehören nicht in das typische
Bild der Echinokokkose. Die gefundene ,,Pleuraverdickung", erweiterte Lungenkapillaren
und pneumonische Infiltrate sind am ehesten die Folge der Verlagerung des Lungenlappens
durch Verdrängung durch die Zyste mit gefolgter Minderbelüftung und Entzündung.

Der Hundebandwurm
ist ein sehr kleiner (3-6mm) Bandwurm der in Massen im Dünndarm seiner
Endwirte (Hunde, Füchse, Katzen) lebt. Hier ist die Infektion meistens
symptomlos. Der Endwirt scheidet etwa 2mm lange Bandwurmglieder
(Proglottiden) aus, die Eier mit reifen Larven (Oncosphären) enthalten.
Im Hundekot können zwar Bandwurmeier nachgewiesen werden, sie sind jedoch
nicht von denen der Taenien zu unterscheiden. Eine sichere Diagnose ist
nur durch Antigennachweis oder PCR möglich.

Der Zwischenwirt infiziert sich über den Kot der Endwirte oder kontaminiertes
Obst und Gemüse mit Bandwurmeiern oral. Diese gelangen in den Darm
wo die Larven schlüpfen, die Darmwand durchdringen, und sich über das
Blut (Pfortader) ausbreiten. Die Larven siedeln sich dann hauptsächlich in
der Leber (70%), der Lunge (20%) oder Gehirn, Niere Knochen (10%) an.

Zwischenwirte sind pflanzenfressende Wiederkäuer, aber auch Hausrinder,
-schafe, -ziegen, -schweine, -pferde, -esel sowie Kamele, Kaninchen,
Affen und der Menschen als Fehlzwischenwirt.

In den Organen des Zwischenwirtes entwickeln sich die Larven zur blasigen,
flüssigkeitsgefüllten Zysten die sehr groß werden können und in denen die
Anlagen der späteren Würmer (Protoscolices) entstehen. Frisst ein Endwirt
zystenhaltiges Fleisch, so entwickeln sich die Protoscolices in seinem
Dünndarm zu neuen Bandwürmern.

Bei der Diagnosefindung sind Röntgen, CT und Ultraschall wegweisend.
Serologische Bluttests sind wichtig, aber in bis zu 20% falsch negativ.
Die Zystenflüssigkeit kann auf Protoscolices mikroskopiert werden
(sehr unsicher, man findet fast nie etwas), besser ist ein PCR-Nachweis.

Ich möchte Hundebesitzer nicht verunsichern, der Hundebandwurm kommt
zwar weltweit vor, ist aber bei uns sehr selten. Erkrankungen kommen meist
bei Menschen vor die mit ihren Hunden und Nutztieren sehr eng zusammen
leben, und wo entsprechende Schlachtabfälle der Zwischenwirte von
Hunden gefressen werden.

Güsse aus Mülheim, Ralf

Dünnschliffbohrer

#1
Hallo Ralf,

ein sehr interessanter spannender Beitrag! Ich habe auch ein Echinococcus-Präparat, aber leider nur die äußere geschichtet aufgebaute Zystenwandung zeigt.

Interessant (und einleuchtend) finde ich einen Hinweis zu dem verwandten Fuchsbandwurm in dem Kosmos-Büchlein "Plagegeister des Menschen" von Matthes & Matthes. Demzufolge eignet sich die auch Hauskatze als Endwirt des Fuchsbandwurmes, so dass sich ein Zyklus Hauskatze / Feld- bzw. Hausmaus / Hauskatze ausbilden kann. Dieser Kreislauf spielt sich dann in gefährlicher Nähe zum Menschen ab.

Dass eine Katze eine mit dem gefährlicheren Fuchsbandwurm infizierte Maus frisst, erscheint mir sehr viel wahrscheinlicher, als dass ein Haushund hier in Mitteleuropa noch mit Schlachtabfällen gefüttert wird, welche noch Finnen (Zysten) des Hundebandwurmes enthalten. Zumal der (infizierte) Fuchsbestand in den letzten Jahrzehnten stark zugenommen hat, und die Füchse auch in die Städte eindringen, wo sie die innerstädtische Mäusepopulation infizieren können. Und die so geschwächten Mäuse sind wahrscheinlich die ersten, die von dem Stubentiger beim nächtlichen Ausgang erbeutet und "zum Abendbrot" verzehrt werden. In der Wohnung kann dann das ach so saubere Kätzchen sich das Hinterteil ablecken, die Eier aus dem Proglottiden im Fell und sonstwo verteilen, und wenn die Infektion bei Herrchen und Frauchen dann viele Jahre später symptomatisch wird, erinnert sich niemand mehr daran, und es werden wieder mal irgendwelche ungewaschenen Heidelbeeren und Waldhimbeeren angeschuldigt.

Wohl bekomms, und allen einen guten Abend!
"Und Gott sprach: Es ist nicht gut, daß der Mensch allein sei; und er schuf um ihn Laubmoose und Lebermoose und Flechten und ein Mikroskop!"
[aus: Kleeberg, Bernhard (2005): Theophysis, Ernst Haeckels Philosophie des Naturganzen,  S. 90]

Dr. Jekyll

Lieber Ralf,

Sehr interessanter und informativer Beitrag, danke👍

Beste Grüße
Harald

JoachimHLD

Hallo Dünnschliffbohrer,
"als dass ein Haushund hier in Mitteleuropa noch mit Schlachtabfällen gefüttert wird"
da täuschst Du dich leider ich kenne Hundebesitzer die stolz sind ihre Hunde noch "naturnah" zu füttern  >:(
Viele Grüsse
Joachim

Heino Lauer

Lieber Ralf,

vielen Dank für diesen schönen und lehrreichen Beitrag.

Corrin und Nicholson (2011) schreiben, daß bei einem Cystennachweis in der Lunge nahezu immer auch ein entsprechender Leberbefund vorliegt. War das im beschriebenen Fall auch so?

Herzlicher Gruß

Heino

Corrin B, Nicholson A (2011): Pathology of the Lungs. 3rd ed. Edinburgh: Churchill Livingstone, 256 f


Ralf Feller

@ Dünnschliffbohrer
Du hast recht, der gefährlichere Fuchsbandwurm war normalerweise
in Deutschland, Österreich, der Schweiz und Frankreich häufiger
als der Hundebandwurm. Er ist auch familiennäher durch die
Verbreitung über Mäuse (Zwischenwirt) die dann von Füchsen und
Katzen gefressen werden. In Deutschland finden sich so etwa 20-30
Fälle pro Jahr.
Durch die deutlich gestiegene Migration nach Deutschland finden wir
aber inzwischen genau so viele Fälle vom Hundebandwurm, wobei
sich dieser hier wohl  nicht ausbreitet weil in der Regel ja keine
Schlachtabfälle an Hunde verfüttert werden, und wenn doch sind die
Wiederkäuer bei uns nicht infiziert. Der Hundebandwurm scheint mir ein
typisches Problem der Migranten und von importierten Hunden zu sein.

@ Heino
Ich habe extra noch einmal nachgesehen, wir haben erstaunlicherweise
keine Veränderungen in der Leber gefunden, obwohl das wegen des
der Verbreitung über die Pfortader ja wahrscheinlich währe.

Allgemein scheint mir (ich führe keine Statistik), dass die Zahl der
Parasitosen, aber besonders auch die Fälle von Tuberkulose und
multiresistenten Erregern durch die Migration bei uns deutlich
angestiegen ist. Auch Masernausbrüche sehen wir gerade wider.

Viele Grüße, Ralf

Heino Lauer

Lieber Ralf,

vielen Dank für diese Ergänzung und den schönen Beitrag insgesamt, er war mir Anlass, mich noch einmal mit dieser interessanten Parasitose zu befassen. Die Bilder sind beeindruckend; Du arbeitest doch auch am Orthoplan, wenn ich mich recht erinnere?

Für die cystische Echinokokkose verzeichnete das RKI mit Datenbasis 1.März 2016 (Epidemiologisches Jahrbuch für 2015) 77 Fälle, offenbar relativ konstant über die letzten Jahre. Es wird interessant sein, die Zahlen für 2016 (Datenbasis März 2017) zu erfahren. Für die Tuberkulose bestätigt sich Dein Eindruck unbedingt, das RKI hat einige interessante Publikationen dazu:

http://www.rki.de/DE/Content/InfAZ/T/Tuberkulose/Download/TB2015.pdf?__blob=publicationFile

http://www.rki.de/DE/Content/InfAZ/T/Tuberkulose/Tuberkulose.html


Danke, daß Du uns an Deiner interessanten Beobachtung teilhaben lässt.

Herzlicher Gruß

Heino