Freitagabendtümplerrätsel: Scheitelansicht Euastrum crassum

Begonnen von Monsti, Oktober 04, 2013, 21:23:05 NACHMITTAGS

Vorheriges Thema - Nächstes Thema

Monsti

Hallo zusammen,

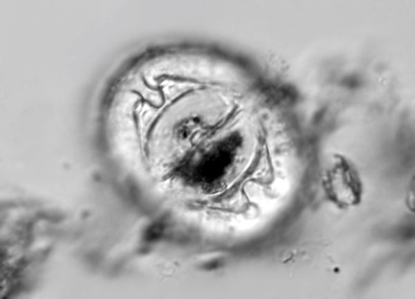
was habe ich da fotografiert?



Länge des Objekts: um 150 µm. Wegen grausamer Farbränder in sw konvertiert, ansonsten nicht bearbeitet.

Bin gespannt, ob jemand draufkommt.

Herzliche Grüße
Angie

Ernst Hippe

Ein vom "Kopf" her aufgenommenes Rädertier, z.B. Rotaria??
Gruß Ernst Hippe
Vorstellung:Hier klicken

Monsti

Lieber Ernst,

nein, es ist etwas Pflanzliches. Es gibt in der Literatur auch Abbildungen davon.

Herzliche Grüße
Angie

Fahrenheit

Liebe Regie,

was Pflanzliches? Vielleicht ein Stoma unter einer Luftblase?
Aber das wäre zu einfach ...

Herzliche Grüße
Jörg
Hier geht's zur Vorstellung: Klick !
Und hier zur Webseite des MKB: Klick !

Arbeitsmikroskop: Leica DMLS
Zum Mitnehmen: Leitz SM
Für draussen: Leitz HM

Monsti

Hallo Jörg,

zwar bin ich nicht Regi, aber ich antworte trotzdem.  ;D  Es die Ansicht einer Pflanze aus einer bestimmten Perspektive. Falls Rupert Lenzenweger hier reinschaut, sollte er die Lösung nennen können. So, mehr verrate ich nicht.

Herzliche Grüße
Angie

r.lenzenweger

Hallo Angie,
Rupert hat soeben hineingeschaut und glaubt da die Scheitelansicht von Euastrum crassum zu erkennen.
Herzliche Grüße
Rupert

Monsti

Lieber Rupert,

schön, Dich hier zu sehen!  :) Das ist natürlich korrekt, und selbstverständlich habe ich von Dir auch nichts anderes erwartet.  ;) Diese Ansicht erinnert mich immer an einen weit aufgerissenen Mund beim Zahnarzt ...

Für Dich und die anderen die "Normalansicht" (Fundort: Moor am Gieringer Weiher, Reith bei Kitzbühel) -->



Danke fürs Rätseln und herzliche Rundrumgrüße von
Angie

Fahrenheit

Liebe Angie,

sorry! Ist das peinlich ...  :-[

Herzliche Grüße
Jörg
Hier geht's zur Vorstellung: Klick !
Und hier zur Webseite des MKB: Klick !

Arbeitsmikroskop: Leica DMLS
Zum Mitnehmen: Leitz SM
Für draussen: Leitz HM

Monsti

#8
Lieber Jörg,

peinlich? Warum denn das?  ??? Wäre es so einfach, hätte ich kein Rätsel daraus gemacht.  ;)

Herzliche Grüße
Angie

P.S. Oder meintest Du die Namensverwechslung. Auch das ist nicht peinlich.

Fahrenheit

Liebe Angie,

das ich mit dem Rätsel nicht richtig liegen würde, hatte ich geahnt - das Stoma wäre ja quasi sauber ausgestanzt in Deine Wasserprobe geraten ...

Nee, ich hab' ein ziemlich fieses Problem mit Namen - schön, dass Du es locker nimmst.

Herzliche Grüße
Jörg
Hier geht's zur Vorstellung: Klick !
Und hier zur Webseite des MKB: Klick !

Arbeitsmikroskop: Leica DMLS
Zum Mitnehmen: Leitz SM
Für draussen: Leitz HM