Vergleich 15W Halogenbeleuchtung zu LED (mit Fotos) an HE-Färbung

Begonnen von Wilfred Mott, Dezember 01, 2013, 18:34:36 NACHMITTAGS

Vorheriges Thema - Nächstes Thema

Wilfred Mott

Ein herzliches Hallo von meiner Seite,

ich möchte mit Euch meine erste wichtige Erkenntnis teilen, die ich bezüglich Mikroskopie habe: Die Wichtigkeit der richtigen [Spektralverteilung der] Beleuchtung. Dieser Beitrag soll einen ausgewogenen Mix aus Theorie und Verbildlichung darstellen, der unmittelbare Vergleich soll zwischen einer Niedervolt Halogenbeleuchtung (6V 15W) und einer weißlicht LED-Kopfbandleuchte von Energizer mit unbekannten LEDs stattfinden. Ein Update ist bereits in Planung; wenn die Teile für den LED-Umbau eingetroffen und erfolgreich verbaut sind, wird als weitere Referenz eine Cree XLamp MX-6 angefügt. Vorweg möchte ich betonen, dass dies kein erschöpfender, objektiver Vergleich der verschiedenen Beleuchtungsmethoden ist – insbesondere erwarte ich von leistungsfähigen Halogenbeleuchtungen mit Weißfilter deutlich bessere Resultate und stelle an objektive Resultate die Anforderung von Messwerten, die ich aktuell in Ermangelung von Spektrometer etc. nicht erfüllen kann. Der Vergleich ist m.E. insofern zweckdienlich, als der von mir und einem befreundetem Biolaboranten wahrgenommene Unterschied zwischen der Originalbeleuchtung eines älteren einfachen Markenmikroskops – was wohl in die Kategorie der Kurs- oder Routinemikroskope einzuordnen ist – und einer modernen LED verdeutlicht wird.

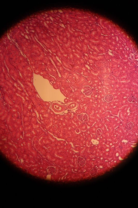
Das Referenzpräparat ist ein ca. 5µm dicker Parafinschnitt durch die Niere einer Ratte in der sehr gebräuchlichen HE-Färbung. Die Fotografien wurden – in Ermangelung der Fertigstellung der geplanten EOS Adaption - mit einer 5MP Kamera eines Smartphones durch das Okular angefertigt. Entsprechend bitte ich die eher bescheidene Abbildungsqualität zu entschuldigen.
Das verwendete Mikroskop ist ein Wilomed der Firma Will Wetzlar, Okular 10x/WF und 40x achromatisches Phasenkonstrast-Objektiv mit Apertur 0,65.
Der Weißabgleich wurde in der Adroid Kamera-Software auf Fluoreszenz gestellt, da dies subjektiv am ehesten den Unterschied wiedergibt (je nach Weißabgleichstyp sieht die Fotografie deutlich besser aus, als das im Okular direkt wahrgenommene Bild).

Die Hämatoxylin-Eosin-Färbung (HE-Färbung) ist ein weitverbreitetes Färbeverfahren in der Histologie. Der Einsatz von zwei Farbstoffen dient einer Unterscheidung verschiedener Gewebestrukturen wie folgt: Eine Blaufärbung der basophilen Strukturen – insbesondere der Zellkerne mit RNA / DNA und des Endoplasmatischen Retikulums – wird mit Hämatoxylin erreicht. Eosin wird demgegenüber zur Rotfärbung acidophiler Strukturen – insbesondere der Zellplasmaproteine, der Mitochondrien, des glatten endoplasmatischen Retikulums und des Kollagens – verwendet. Für eine optimale Abbildung des Präparats ist es in diesem Fall also insbesondere wichtig ein Gleichgewicht des roten und blauen Farbspektrums zu erreichen (natürlicht ist es streng genommen ein böses Foul, da das menschliche Auge eine unterschiedliche Empfindlichkeit für die unterschiedlichen Wellenlängen hat – wenn man sich aber an der Spektralverteilung des Sonnenlichts orientiert, sind die Schwankungen im zu vergleichenden Bereich nicht so massiv. Es sei an dieser Stelle auf http://commons.wikimedia.org/wiki/File:Sonne_Strahlungsintensitaet.svg verwiesen).

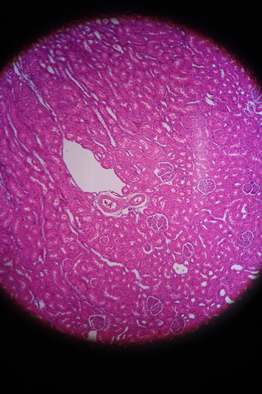
Leider ist dieses Gleichgewicht bei Betrachtung mit Originalbeleuchtung des Wilomed sehr stark in das rote hinein verschoben:



Das gesamte Bild erscheint rotstichig, die Zellkerne sind noch ganz gut sichtbar, es ist aber ein sehr deutlicher Unterschied zu Beispielen in Lehrbüchern oder Internet sichtbar (z.B. Google Bildersuche ,,HE Färbung"). Interessanterweise wird der Unterschied sehr viel geringer, sobald der Weißabgleich in der Kamera-Software auf Automatik gestellt wird, dann unterscheidet sich die Fotografie aber sehr stark vom direkten Bildeindruck durch das Okular!

Bei Betrachtung der Spektralverteilung einer Halogenlampe wird augenfällig, dass die Lichtenergie im blauen Bereich am geringsten ist – diese erreicht gerade mal etwa 10-20% der Lichtenergie im roten Bereich:


(Quelle: Wikimedia)

Demgegenüber ist der Vergleich mit folgendem Aufbau:



Die Abbildung verdeutlicht, dass dies bei weitem kein optimaler Aufbau ist, trotzdem können die Ergebnisse sich m.E. relativ gut sehen lassen:



Leider liegt mir bezüglich der LED kein konkretes Spektrum vor – von der Abbildung her würde ich aber darauf schließen, dass dieses Ungleichgewicht zu sehr in das blaue hinein verschoben wurde – trotzdem zeigt sich bei diesem Präparat m.E. ein besser differenzierbarer Bildeindruck.

Bei einem Blick in die Spektralverteilung der Cree LED erwarte ich leider auch einen gewissen Blaustich im Bild – ein entsprechendes Update erfolgt dann hoffentlich nächste Woche.

Bis dahin verbleibe ich mit herzlichen Grüßen und hoffe dem ein oder anderen Anregungen gegeben zu haben,
WM.
Glauben Sie nichts, bis ich es Ihnen beweise. Aber solange ich es Ihnen noch nicht bewiesen habe, müssen Sie mir schon mal glauben!

Gerne per Du.

Peter V.

Hallo Wilfried,

"eigentlich" ist aber - nach wie vor! - das Halogenlicht wegen seines vollständigen Spektrums als optimal anzusehen. Was Dir fehlt, ist ein Blaufilter (sog. "Konversionsfilter"), weshlab Dir die Bilder in der Kamera rotstichig erscheinen. Mit einem solchen Blaufilter sähe die Sache schon ganz anders aus.

Herzliche Grüße
Peter
Dieses Posting ist frei von kultureller Aneigung, vegan und wurde CO2-frei erstellt. Für 100 Posts lasse ich ein Gänseblümchen in Ecuador pflanzen.

Wilfred Mott

#2
Hallo Peter,

die Sache mit dem Filter ist wohl richtig - der macht ja eben die gewünschte Verschiebung des Spektrums... Das war wohl wieder eine meiner "warum einfach wenn es auch kompliziert geht" Lösungen. Ich habe jetzt mal mit ein paar durchsichtigen blauen Kunststoffen experimentiert und habe recht gute Ergebnisse erzielt (wenn auch die Helligkeit erwartungsgemäß enorm gelitten hat).

Zur Diskussion anfügen möchte ich aber den Hinweis auf ein neues Produkt von Osram (weder verwandt, verschwägert noch durch Aktienpakete verbunden), auf das ich kürzlich aufmerksam wurde:
http://catalog.osram-os.com/catalogue/catalogue.do?favOid=0000000e0003129100220023&act=showBookmark
Die LED hat einen Farbwiedergabeindex von 95 und laut Datenblat eine sehr vielversprechende Spektralverteilung, darüber hinaus wird sie vom Hersteller explizit u.a. für Mikroskopie beworben. Leider habe ich diese noch nicht im Einzelhandel gefunden.

Herzliche Grüße,
WM.
Glauben Sie nichts, bis ich es Ihnen beweise. Aber solange ich es Ihnen noch nicht bewiesen habe, müssen Sie mir schon mal glauben!

Gerne per Du.

reblaus

Hallo WM -

leider besteht der Emitter aus 4 Chips für unterschiedliche Farben. Das gibt erfahrungsgemäß die größten Probleme bei der Homogenität der Ausleuchtung. Für die Mikroskopbeleuchtung brauchen wir eine möglichst große homogenen Emitterfläche. Außerdem sehe ich bei den Spektrumskurven immer noch die bekannte Grünlücke.

Gruß
Rolf

the_playstation

Hallo,
Zur Frage Halogen vs LED:
Mmmmh. Mittlerweile sollte es auch LEDs mit recht gleichmässiger Intensitätsverteilung geben.

Meine größten Probleme mit Halogen Beleuchtungen:
1.) Farbtemperatur ist beim dimmen nicht konstant. Ein Blaufilter verfälscht mehr oder weniger. Auch läßt Er sich nur stufenweise einsetzen.
Er ist nicht kontinuierlich dimmbar.
2.) Eine Halogenlampe erzeugt Wärmestrahlung, die gefiltert werden muß.
3.) Eine Glühwendel ist konstruktionsbedingt nicht so vielseitig herstellbar. Es gibt mittlerweile viele verschiedene LED Emitter.
4.) Auch das Spektrum einer Halogenlampe ist begrenzt (Quantenmechanik) und läßt sich nicht beliebig in den UV Bereich verschieben.

Jede Beleuchtungsform hat ihre Stärken und Schwächen.

Für mich überwiegen trotzdem die Vorteile der LED:
Konstantes Spektrum.
Geringe Wärmestrahlung
Sparsam
Hält länger

Liebe Grüße Jorrit.
Die Realität wird bestimmt durch den Betrachter.

JoachimHLD

Hallo Jorrit,

ein Nachteil der Halogen-Lampen fehlt noch:
wenn man die Lampe start dimmt nimmt die Lebensdauer ab da die Lampe dann ausserhalb ihrer optimalen Betriebstemperatur betrieben wird und
der Vorteil eines geringeren Materialschwunds am Wendel gegenüber "normalen" Glühlampen weg ist.
Flachwendel-Leuchtkörper sind auch ganz schön teuer.

Viele Grüsse
Joachim

Wilfred Mott

So,

die Bestellung ist heute angekommen und wurde sogleich verbaut - allerdings hat sich der Testaufbau insofern geändert, als das ich mitlerweile mit der SLR fotografieren kann (auch wenn da noch ein bisschen was an der Qualität zu tun ist und ich vor allen Dingen wohl köhlern lernen muss). Um das ganze möglichst vergleichbar zu gestalten, habe ich neue Fotos angefertigt - diese wurden mit einem 10er Achromat Objektiv und fest eingestelltem Weissabgleich im EOS Utility angefertigt. Darüber hinaus habe ich im Nierenpräparat eine gut wiederfindbare Stelle gesucht, die ich in die Bildmitte gesetzt habe.

Halogen ohne Filter



Halogen mit einem improvisiertem Blaufilter



Energizer Headlamp im Aufbau wie oben abgebildet



Cree XLamp MX6



Ich muss allerdings sagen, dass der Bildeindruck durch das Okular bei der Cree LED deutlich besser ist. Diese hat deutlich mehr Licht und das Bild am Auge ist weniger blaustichig als mir in der Abbildung erscheint. Ich habe zumindest wenig Probleme die basophilen und acidophilen Strukturen zu unterscheiden. Das Licht wirkt erwartungsgemäß kälter als bei der Halogen, tatsächlich gefällt mir das aber.
Einen Nachteil habe ich bei der LED noch festgestellt: Der Handwärmer im Fuß funktioniert nicht mehr ;-)
Glauben Sie nichts, bis ich es Ihnen beweise. Aber solange ich es Ihnen noch nicht bewiesen habe, müssen Sie mir schon mal glauben!

Gerne per Du.