Hauptmenü

Vergleich Blitz Halogen LED

Begonnen von Gernot Armbruster, April 02, 2009, 23:40:26 NACHMITTAGS

Vorheriges Thema - Nächstes Thema

Gernot Armbruster

Hallo Forumsgemeinde,

Nachdem ich nun weiß wie man Bilder einstellt komme ich gleich mit einem reichlich bebilderten Beitrag.

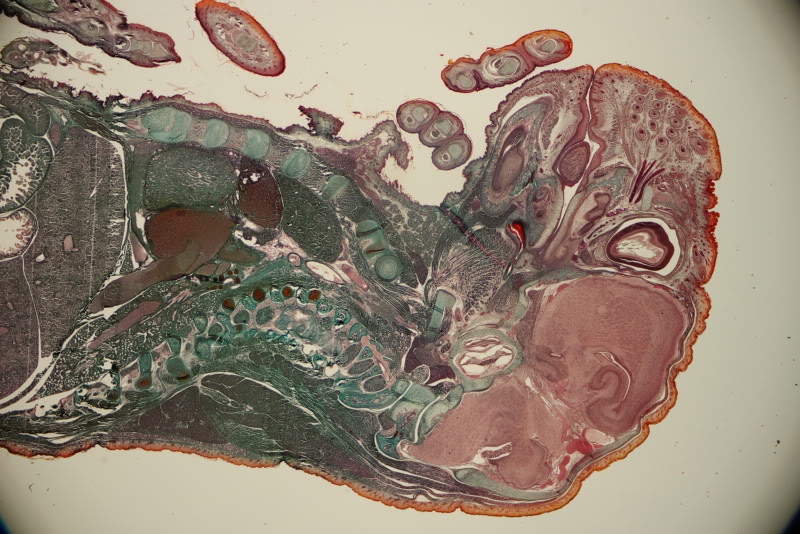
Um die Beleuchtungsdiskussion am Leben zu erhalten habe ich mal einen Vergleich von Blitz, Halogen und LED angstellt. Die Bilder sind mit folgender Einrichtung entstanden:

Mikroskop: CZJ Jenaval
Objektiv: CZJ GF Planachromat 1,6x/0,045 spez/-A
Kamera: Pentax ist DS
Adapter: Prinzip "Ofenrohr" also ohne Optik, Zwischenbild wird direkt auf den Chip projiziert
Objekt: Embryo von Rattus norvegicus dorso-ventral 10my Eukitt, eine Schülerarbeit einer MTA
Bildbeschreibung: Beleuchtungsart - Weißabgleich - Filter

Und hier die Bilder zur begutachtung durch die Experten.

Blitz - Blitz - Graufilter


Halogen - Kunstlicht - Graufilter


Halogen - Tageslicht Schatten - Blaufilter - Graufilter


Halogen - Tageslicht - Sonne - Blaufilter - Graufilter


Halogen - Tageslicht - Wolken - Blaufilter - Graufilter


LED - Leuchtstoffröhre W


Ich weiß nicht, warum die Bilder verschieden groß geworden sind. Wahrscheinlich habe ich wieder was falsch gemacht. Vielleicht finde ich den Fehler morgen, heute bin ich schon bettreif.

Schöne bebilderte Grüße

Gernot Armbruster
Theorie ist gut, Experiment ist besser.

Manfred Rath

Guten Morgen Gernot,

die Qualität der Bilder ist über alle Zweifel erhaben,jede Art der Beleuchtung hat ihren eigenen Reiz und ist meines Erachtens Geschmackssache.
Ein klein wenig störend (soll jetzt keine Kritik sein) finde ich die Vignettierungen an den Bildecken :D
Noch kurz ein Wort zu den unterschiedlich großen Bildern:
Ich benutze zur Komprimierung meiner Bilder für die für dieses Forum notwendige Größe folgendes (Gratis)programm:
"Top" (Herunterzuladen bei "Traumflieger online picture")
Es ist ein "tool to batch-compress JPG-files to a max.limit of kilobytes".

Das Programm ist denkbar einfach handzuhaben,schärft auch das Bild nach der Komprimierung auf einen vorher mittels Schieberegler festgelegten Wert nach .

Schönen Tag,
Manfred
Ich lebe in der Region "Steirisches Vulkanland" - bin aber kein Vulkanier sondern waschechter Steirer.

G. Helbig

Hallo Herr Armbruster,

Was wollten Sie mit den Bildern zeigen?

Die unterschiedliche Farbtemperturen der Beleuchtung? Ich denke wenn Sie jeweils nach dem Beleuchtungswechsel einen manuellen Weißabgleich durchgeführt hätten wäre kein allzugroßer farblicher Unterschied bei den Bildern. Oder Sie fotografieren im RAW-Format und können nachträglich diesen durchführen.

Oder die Beleuchtung im Bezug auf die Erschütterungen eines Spiegelschlages mit einer Spiegelreflex-Kamera? Hier sehe ich keinen Unterschied - aber es kommt auf die Belichtungslänge darauf an. Außerdem ist dafür das Objekt etwas ungünstig gewählt.

Viele Grüße

Gerald Helbig

Gernot Armbruster

Hallo Manfred,
ja die Vignettierung ist mir schon bewußt. Die ließ sich aber nicht vermeiden bei dieser Konstellation 1,6x Objektiv und optiklosem Adapter. Bei allen anderen Objektiven gibt es keine Vignettierung. Aber um möglichst das ganze Präparat zu zeigen habe ich die Vignettierung in Kauf genommen.

Danke für den Programmtipp, werde ich gleich ausprobieren.

Hallo Herr Helbig,
nachdem es schon sehr ausführliche Diskussionen über Vor-und Nachteile von Halogen und LED gegeben hat, wollte ich es einmal wissen, habe mein Mik auf die drei Beleuchtungen umgerüstet und dachte mir, das Ergebnis ist auch für das Forum interessant. Der Spiegelschlag spielte da keine Rolle, weil die Belichtungszeiten bis zu 1/4000 sek. waren. manchmal war sogar ein Graufilter nötig. Das mit dem manuellen Weißabgleich muß ich noch probieren. Geht aber erst nach Ostern, weil ich bis dahin nicht zu Hause bin.

Mit leuchtenden Grüßen

Gernot Armbruster
Theorie ist gut, Experiment ist besser.

G. Helbig

Hallo Herr Armbruster,

ok - dann sollten Sie sich mit dem manuellen Weißabgleich Ihrer Kamera beschäftigen. Denn als Ergebnis Ihrer Vergleichsreihe sehe ich die Erkenntnis, dass die Weißabgleichsvorgaben der Digitalkamera nicht optimal sind.

Leider waren in die EXIF-Daten von dem Blitz-Bild gelöscht - somit konnte ich die Belichtungszeit nicht auslesen. Die Belichtungszeit zur Blitzsynchronisation liegt meist zwischen ca. 1/80s und 1/200s - 1/4000s wäre hier zu kurz. Einfach mal in der Bedienungsanleitung nachlesen: Blitzsynchronisation

Viele Grüße

Gerald Helbig


Gernot Armbruster

Hallo Herr Helbig,

die eingestellte Belichtungszeit bei Blitz war natürlich nicht 1/4000, das vergaß ich zu sagen, sondern 1/125 sek.
Weißabgleich manuell, wie gesagt nach Ostern, wenn ich wieder zu Hause bin.

Viele Grüße

Gernot Armbruster
Theorie ist gut, Experiment ist besser.

Gernot Armbruster

Hallo die Runde, hallo Herr Helbig,

nun liegen die Bilder mit manuellem Weißabgleich vor. Bei dem geblitzten Bild hat der manuelle Weißabgleich nicht funktioniert, wahrscheinlich ist die Belichtung für den Vorgang zu kurz. Daher habe ich für dieses Bild wieder "Weißabgleich für Blitz" gewählt.

Halogen Weißabgleich manuell


LED Weißabgleich manuell



Blitz Weißabgleich Blitz



Also große Unterschiede kann ich nicht erkennen. Was sagen die Fotoexperten dazu?

Schöne Grüße

Gernot Armbruster

Theorie ist gut, Experiment ist besser.

G. Helbig

Hallo Herr Armbruster,

das Halogen-Bild mit dem manuellen Weißabgleich ist für mich in Ordnung. Es lässt sich schwer mit den Halogenbildern aus der ersten Serie vergleichen da hier bei drei Bildern mit einem Blaufilter gearbeitet wurde. In der Gegenüberstellung mit dem einzigen Halogenbild aus der ersten Serie ohne Blaufilter ist das Bild mit dem manuellen Weißabgleich für mich nicht blaustichig. Einen kleinen Tick heller noch (kann aber auch an meinem Monitor liegen) und dann wäre es doch optimal.

Über das Bild mit der LED-Beleuchtung und dem manuellen Weißablgleich bin ich doch etwas verwundert. Ich frage mal ganz vorsichtig: kann Ihnen da ein Fehler beim Weißabgleich unterlaufen sein? Es ist sehr gelb-/ grünstichig. Ich kann mir gar nicht vorstellen dass das Ihre Kamera nicht besser abgleichen kann.

Können Sie im RAW-Format fotografieren und somit den Weißabgleich hinterher durchführen?

Viele Grüße

Gerald Helbig

sirdul

Hallo Herr Helbig, hallo Herr Armbruster,

ich möchte mich der Meinung von Herrn Helbig anschliessen: das Halogenbild mit dem manuellen Weissabgleich ist ohne nennenswerten Farbstich,eventuell leichter Rotstich.
Bild 2 mit LED Beleuchtung ist grünstichig. Auch Bild 3 zeigt einen Farbstich und zwar einen gelben. Bei einer Blitzaufnahme mit automatischem Weissabgleich hätte ich einen neutralen bis leicht ins Blaue gehenden Farbton erwartet. Betrachtet wurden die Fotos auf einen Eizo Flexscan S2100, der kalibriert ist.


Mit freundlichem Gruss

Ludger Benning

Gernot Armbruster

Hallo Herr Helbig,

durch Ihre Anregung habe ich endlich einen Anlaß gefunden, mich mit RAW - Bildverarbeitung auseinanderzusetzen. Hier die Ergebnisse. Bitte um Nachsicht, wenn diese nicht hundertprozentig sind, ich mache das zum ersten Mal. Ich habe einfach die Farbtemperatur eingestellt nach der mir das Bild mit dem geringsten Farbstich erschienen ist, sofern das mit einem LCD-Laptop-Bildschirm möglich ist. Ich hoffe, daß ich das so richtig gemacht habe.

Halogen 3330K


LED 5560K + Feineinstellung bei Bernstein und Magenta


Blitz5000K


Ich glaube zu erkennen, daß sich die Bilder auf Grund der unterschiedlichen Beleuchtung gar nicht mehr so sehr unterscheiden. Und bei mehr Erfahrung bei der Barbeitung kann man wahrscheinlich gar keinen Unterschied mehr feststellen. Als einen ganz wesentlichen Vorteil der LED-Beleuchtung empfinde ich, daß man die Belichtung fein und stufenlos einstellen kann, ohne daß sich die Farbtemperatur ändert.

Beste Mikrogrüße

Gernot Armbruster
Theorie ist gut, Experiment ist besser.

G. Helbig

Hallo Herr Armbruster,

das ist ja schon ein großer Unterschied zu den Bildern in der ersten Serie :).

Die Farbtemperatur einzustellen ist der eine Weg.

Haben Sie in der RAW-Bearbeitungs-Software die Option mit einer Pipette einen Bereich anzuklicken und diesem Bereich "weiß" zuzuweisen? Dies würde schneller gehen als die Farbtemperatur einzustellen.

Wie Sie schreiben: mit ein bisschen Übung wird es noch einen Tick besser.

Viele Grüße

Gerald Helbig

Gernot Armbruster

Hallo Her Helbig,

ZitatHaben Sie in der RAW-Bearbeitungs-Software die Option mit einer Pipette einen Bereich anzuklicken und diesem Bereich "weiß" zuzuweisen? Dies würde schneller gehen als die Farbtemperatur einzustellen.

das Programm bietet auch diese Möglichkeit, aber mir hat das Eingeben der Farbtemperatur vorerst einmal besser gefallen. Wie gesagt : Üben und probieren.

Jedenfalls besten Dank für die Anleitung, habe wieder etwas dazugelernt.

Beste Grüße

Gernot Armbruster
Theorie ist gut, Experiment ist besser.